JavaScript is disabled in your browser. Please enable JavaScript to view this website.
AB181859

Anti-DDAH1 antibody [EPR13921]

Be the first to review this product! Submit a review

|

(1 Publication)

Rabbit Recombinant Monoclonal DDAH1 antibody. Suitable for IP, WB, Flow Cyt (Intra), IHC-P and reacts with Human samples. Cited in 1 publication.

View Alternative Names

DDAH, DDAH1, DDAH-1, Dimethylarginine dimethylaminohydrolase 1, DDAHI, Dimethylargininase-1

5 Images
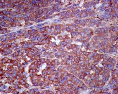
Immunohistochemistry (Formalin/PFA-fixed paraffin-embedded sections) - Anti-DDAH1 antibody [EPR13921] (AB181859)
  • IHC-P

Supplier Data

Immunohistochemistry (Formalin/PFA-fixed paraffin-embedded sections) - Anti-DDAH1 antibody [EPR13921] (AB181859)

Immunohistochemical analysis of paraffin-embedded Human hepatocellular carcinoma tissue labeling DDAH1 with ab181859 at 1/50 dilution, followed by prediluted HRP Polymer for Rabbit IgG. Counter stained with Hematoxylin.

Perform heat mediated antigen retrieval with EDTA buffer pH 9 before commencing with IHC staining protocol.

Western blot - Anti-DDAH1 antibody [EPR13921] (AB181859)
  • WB

Supplier Data

Western blot - Anti-DDAH1 antibody [EPR13921] (AB181859)

All lanes:

Western blot - Anti-DDAH1 antibody [EPR13921] (ab181859) at 1/5000 dilution

Lane 1:

293 cell lysate at 10 µg

Lane 2:

HepG2 cell lysate at 10 µg

Secondary

All lanes:

Goat Anti-Rabbit IgG, (H+L), Peroxidase conjugate at 1/1000 dilution

Predicted band size: 31 kDa

Observed band size: 37 kDa

false

Flow Cytometry (Intracellular) - Anti-DDAH1 antibody [EPR13921] (AB181859)
  • Flow Cyt (Intra)

Supplier Data

Flow Cytometry (Intracellular) - Anti-DDAH1 antibody [EPR13921] (AB181859)

Intracellular flow cytometric analysis of 2% paraformaldehyde-fixed 293 cells labeling DDAH1 with ab181859 at 1/30 dilution (red), compared to a Rabbit monoclonal IgGisotype control (green), followed by Goat anti-Rabbit IgG (FITC) secondary antibody at 1/150 dilution.

Immunoprecipitation - Anti-DDAH1 antibody [EPR13921] (AB181859)
  • IP

Supplier Data

Immunoprecipitation - Anti-DDAH1 antibody [EPR13921] (AB181859)

Western blot analysis of 293 cell lysate immunoprecipitated using ab181859 at 1/40 dilution. Goat Anti-Rabbit IgG, (H+L), Peroxidase conjugate secondary antibody was used at 1/1000 dilution.

All lanes:

Immunoprecipitation - Anti-DDAH1 antibody [EPR13921] (ab181859)

Predicted band size: 31 kDa

false

Western blot - Anti-DDAH1 antibody [EPR13921] (AB181859)
  • WB

Lab

Western blot - Anti-DDAH1 antibody [EPR13921] (AB181859)

Lanes 1 - 4 : Merged signal (red and green). Green - ab181859 observed at 37 kDa. Red - loading control, ab7291 (Mouse anti-Alpha Tubulin [DM1A] observed at 55kDa.

ab181859 was shown to react with DDAH1 in wild-type A431 cells in Western blot. Loss of signal was observed when DDAH1 knockout sample was used. Wild-type A431 and DDAH1 knockout cell lysates were subjected to SDS-PAGE. Membranes were blocked in 3% Milk in TBS-T (0.1% Tween®) before incubation with ab181859 and ab7291 (Mouse anti-Alpha Tubulin [DM1A] overnight at 4°C at a 1 in 10000 dilution and a 1 in 20000 dilution respectively. Blots were developed with Goat anti-Rabbit IgG H&L (IRDye® 800CW) preabsorbed (ab216773) and Goat anti-Mouse IgG H&L (IRDye® 680RD) preabsorbed (ab216776) secondary antibodies at 1 in 20000 dilution for 1 hour at room temperature before imaging.

All lanes:

Western blot - Anti-DDAH1 antibody [EPR13921] (ab181859) at 1/10000 dilution

Lane 1:

Wild-type A431 cell lysate at 40 µg

Lane 2:

DDAH1 knockout A431 cell lysate at 40 µg

Lane 2:

Western blot - Human DDAH1 knockout A-431 cell line (<a href='/en-us/products/cell-lines/human-ddah1-knockout-a-431-cell-line-ab261909'>ab261909</a>)

Lane 3:

HUVEC (Human umbilical vein endothelial cell line) whole cell lysate at 40 µg

Lane 4:

Hep G2 (Human liver hepatocellular carcinoma cell line) whole cell lysate at 40 µg

Predicted band size: 31 kDa

Observed band size: 37 kDa

false

Key facts

Host species

Rabbit

Clonality

Monoclonal

Clone number

EPR13921

Isotype

IgG

Carrier free

No

Reacts with

Human

Applications

Flow Cyt (Intra), WB, IHC-P, IP

applications

Immunogen

The exact immunogen used to generate this antibody is proprietary information.

Reactivity data

{ "title": "Reactivity Data", "filters": { "stats": ["", "Species", "Dilution Info", "Notes"], "tabs": { "all-applications": {"fullname" : "All Applications", "shortname": "All Applications"}, "IP" : {"fullname" : "Immunoprecipitation", "shortname":"IP"}, "WB" : {"fullname" : "Western blot", "shortname":"WB"}, "FlowCytIntra" : {"fullname" : "Flow Cytometry (Intracellular)", "shortname":"Flow Cyt (Intra)"}, "IHCP" : {"fullname" : "Immunohistochemistry (Formalin/PFA-fixed paraffin-embedded sections)", "shortname":"IHC-P"} }, "product-promise": { "all": "all", "testedAndGuaranteed": "tested", "guaranteed": "expected", "predicted": "predicted", "notRecommended": "not-recommended" } }, "values": { "Human": { "IP-species-checked": "testedAndGuaranteed", "IP-species-dilution-info": "1/40", "IP-species-notes": "<p></p>", "WB-species-checked": "testedAndGuaranteed", "WB-species-dilution-info": "1/1000 - 1/10000", "WB-species-notes": "<p></p>", "FlowCytIntra-species-checked": "testedAndGuaranteed", "FlowCytIntra-species-dilution-info": "1/30", "FlowCytIntra-species-notes": "<p><a href='/en-us/products/primary-antibodies/rabbit-igg-monoclonal-epr25a-isotype-control-ab172730'>ab172730</a> - Rabbit monoclonal IgG, is suitable for use as an isotype control with this antibody.</p>", "IHCP-species-checked": "testedAndGuaranteed", "IHCP-species-dilution-info": "1/50", "IHCP-species-notes": "<p></p> Perform heat-mediated antigen retrieval with Tris/EDTA buffer pH 9.0 before commencing with IHC staining protocol." } } }

Product details

Patented technology
Our RabMAb® technology is a patented hybridoma-based technology for making rabbit monoclonal antibodies. For details on our patents, please refer to RabMAb® patents.

What are the advantages of a recombinant monoclonal antibody?
This product is a recombinant monoclonal antibody, which offers several advantages including:

  • - High batch-to-batch consistency and reproducibility
  • - Improved sensitivity and specificity
  • - Long-term security of supply
  • - Animal-free batch production

For more information, read more on recombinant antibodies.

Properties and storage information

Form
Liquid
Purification technique
Affinity purification Protein A
Storage buffer
Preservative: 0.01% Sodium azide Constituents: PBS, 40% Glycerol (glycerin, glycerine), 0.05% BSA
Shipped at conditions
Blue Ice
Appropriate short-term storage duration
1-2 weeks
Appropriate short-term storage conditions
+4°C
Appropriate long-term storage conditions
-20°C
Aliquoting information
Upon delivery aliquot
Storage information
Avoid freeze / thaw cycle

Supplementary information

This supplementary information is collated from multiple sources and compiled automatically.

The DDAH1 protein also known as dimethylarginine dimethylaminohydrolase 1 plays an important role in regulating nitric oxide (NO) production by metabolizing asymmetric dimethylarginine (ADMA) an inhibitor of nitric oxide synthase. This enzyme has a molecular mass of approximately 31 kDa and is widely expressed in various tissues including liver kidney and brain. It impacts the cardiovascular system by controlling ADMA levels which influence endothelial function and vascular tone.
Biological function summary

The actions of DDAH1 contribute significantly to cardiovascular homeostasis. Increased levels of ADMA resulting from impaired DDAH1 activity can lead to decreased NO production impacting cardiovascular health. DDAH1 does not form part of a complex but acts individually to affect NO synthesis through ADMA degradation. Understanding the biological roles of DDAH1 helps to appreciate how NO-mediated processes are tightly regulated within the body and its impact on vascular health.

Pathways

DDAH1 participates actively in the nitric oxide synthesis pathway. It modulates the levels of endothelial nitric oxide synthase (eNOS) by regulating ADMA which serves as an eNOS inhibitor. Through this pathway DDAH1 ensures a balance between NO production and regulation supporting vascular homeostasis and blood pressure control. DDAH1 shares functional connections with proteins like eNOS which are central to maintaining vascular health and preventing endothelial dysfunction.

Dysfunction of DDAH1 links closely to cardiovascular diseases and conditions like atherosclerosis. Elevated ADMA levels resulting from compromised DDAH1 activity contribute to endothelial dysfunction a precursor to atherosclerosis. The interconnected role with eNOS highlights DDAH1's importance in managing ADMA concentrations as imbalances can exacerbate disease progression. Investigating the influence of DDAH1 on these diseases offers insights into potential therapeutic targets for cardiovascular pathologies.

Product protocols

For this product, it's our understanding that no specific protocols are required. You can visit:

Target data

Hydrolyzes N(G),N(G)-dimethyl-L-arginine (ADMA) and N(G)-monomethyl-L-arginine (MMA) which act as inhibitors of NOS. Has therefore a role in the regulation of nitric oxide generation.
See full target information DDAH1

Publications (1)

Recent publications for all applications. Explore the full list and refine your search

Therapeutic hypothermia and temperature management 11:201-207 PubMed33709787

2021

Therapeutic Hypothermia Mitigates the Sepsis-Increased Permeability in EA. hy926 Cells by Preserving Rap1 Expression.

Applications

Unspecified application

Species

Unspecified reactive species

Yuehong Shen,Wu Ding
View all publications

Product promise

We are committed to supporting your work with high-quality reagents, and we're here for you every step of the way. In the unlikely event that one of our products does not perform as expected, you're protected by our Product Promise.
For full details, please see our Terms & Conditions

Please note: All products are 'FOR RESEARCH USE ONLY. NOT FOR USE IN DIAGNOSTIC OR THERAPEUTIC PROCEDURES'.

For licensing inquiries, please contact partnerships@abcam.com