JavaScript is disabled in your browser. Please enable JavaScript to view this website.
AB180599

Anti-DDAH1 antibody [EPR13922]

4

(1 Review)

|

(11 Publications)

Rabbit Recombinant Monoclonal DDAH1 antibody. Suitable for IP, WB, ICC/IF, Flow Cyt (Intra), IHC-P and reacts with Human samples. Cited in 11 publications.

View Alternative Names

DDAH, DDAH1, DDAH-1, Dimethylarginine dimethylaminohydrolase 1, DDAHI, Dimethylargininase-1

6 Images
Flow Cytometry (Intracellular) - Anti-DDAH1 antibody [EPR13922] (AB180599)
  • Flow Cyt (Intra)

Unknown

Flow Cytometry (Intracellular) - Anti-DDAH1 antibody [EPR13922] (AB180599)

ab180599 staining DDAH1 in the human cell line 293 (human embryonic kidney) by intracellular flow cytometry. Cells were fixed with 4% paraformaldehyde, permabilised with 90% methanol and the sample was incubated with the primary antibody at a dilution of 1/20. A goat anti rabbit IgG (Alexa Fluor® 488) at a dilution of 1/2000 was used as the secondary antibody.

Isoytype control : Rabbit monoclonal IgG (Black)

Unlabelled control : Cell without incubation with primary antibody and secondary antibody (Blue)

Immunocytochemistry/ Immunofluorescence - Anti-DDAH1 antibody [EPR13922] (AB180599)
  • ICC/IF

Supplier Data

Immunocytochemistry/ Immunofluorescence - Anti-DDAH1 antibody [EPR13922] (AB180599)

Immunofluorescence analysis of 293 cells (fixative 4% paraformaldehyde) labeling DDAH1 with ab180599 at a 1/100 dilution (left image), and counterstained with Dapi (right image). Goat anti rabbit IgG (Dylight 555) secondary used at a 1/200 diution.

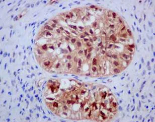
Immunohistochemistry (Formalin/PFA-fixed paraffin-embedded sections) - Anti-DDAH1 antibody [EPR13922] (AB180599)
  • IHC-P

Supplier Data

Immunohistochemistry (Formalin/PFA-fixed paraffin-embedded sections) - Anti-DDAH1 antibody [EPR13922] (AB180599)

Immunohistochemical analysis of paraffin embedded Human ovarian carcinoma tissue labeling DDAH1 with ab180599 at a 1/50 dilution. Prediluted HRP Polymer for Rabbit IgG secondary used. Counterstained with Hematoxylin.

Perform heat mediated antigen retrieval with EDTA buffer pH 9 before commencing with IHC staining protocol.

Immunoprecipitation - Anti-DDAH1 antibody [EPR13922] (AB180599)
  • IP

Supplier Data

Immunoprecipitation - Anti-DDAH1 antibody [EPR13922] (AB180599)

Immunoprecipitation analysis of Human fetal kidney lysate labeling DDAH1 with ab180599 at a 1/40 dilution. Goat Anti-Rabbit IgG (H+L) Peroxidase conjugated secondary used at a 1/1000 dilution.

All lanes:

Immunoprecipitation - Anti-DDAH1 antibody [EPR13922] (ab180599)

Predicted band size: 31 kDa

false

Western blot - Anti-DDAH1 antibody [EPR13922] (AB180599)
  • WB

Lab

Western blot - Anti-DDAH1 antibody [EPR13922] (AB180599)

Lanes 1 - 4 : Merged signal (red and green). Green - ab180599 observed at 37 kDa. Red - loading control, ab7291 (Mouse anti-Alpha Tubulin [DM1A] observed at 55kDa.

ab180599 was shown to react with DDAH1 in A431 wild-type cells in Western blot. Loss of signal was observed when DDAH1 knockout sample was used. A431 wild-type and DDAH1 knockout cell lysates were subjected to SDS-PAGE. Membranes were blocked in 3% Milk in TBS-T (0.1% Tween®) before incubation with ab180599 and ab7291 (Mouse anti-Alpha Tubulin [DM1A] overnight at 4°C at a 1 in 10000 dilution and a 1 in 20000 dilution respectively. Blots were developed with Goat anti-Rabbit IgG H&L (IRDye® 800CW) preabsorbed (ab216773) and Goat anti-Mouse IgG H&L (IRDye® 680RD) preabsorbed (ab216776) secondary antibodies at 1 in 20000 dilution for 1 hour at room temperature before imaging.

All lanes:

Western blot - Anti-DDAH1 antibody [EPR13922] (ab180599) at 1/10000 dilution

Lane 1:

Wild-type A431 cell lysate at 40 µg

Lane 2:

Western blot - Human DDAH1 knockout A-431 cell lysate (<a href='/en-us/products/cell-lysates/human-ddah1-knockout-a-431-cell-lysate-ab261715'>ab261715</a>) at 40 µg

Lane 3:

HUVEC (Human umbilical vein endothelial cell line) whole cell lysate at 40 µg

Lane 4:

HepG2 (Human liver hepatocellular carcinoma cell line) whole cell lysate at 40 µg

Secondary

Lanes 1 - 4:

Western blot - Goat anti-Rabbit IgG H&L (IRDye® 800CW) preadsorbed (<a href='/en-us/products/secondary-antibodies/goat-rabbit-igg-h-l-irdye-800cw-preadsorbed-ab216773'>ab216773</a>) at 1/20000 dilution

Lanes 1 - 4:

Western blot - Goat anti-Mouse IgG H&L (IRDye® 680RD) preadsorbed (<a href='/en-us/products/secondary-antibodies/goat-mouse-igg-h-l-irdye-680rd-preadsorbed-ab216776'>ab216776</a>) at 1/20000 dilution

Predicted band size: 31 kDa

Observed band size: 37 kDa,55 kDa

false

Western blot - Anti-DDAH1 antibody [EPR13922] (AB180599)
  • WB

Supplier Data

Western blot - Anti-DDAH1 antibody [EPR13922] (AB180599)

All lanes:

Western blot - Anti-DDAH1 antibody [EPR13922] (ab180599) at 1/20000 dilution

Lane 1:

Human fetal brain lysate at 20 µg

Lane 2:

Human fetal liver lysate at 20 µg

Lane 3:

Human fetal kidney lysate at 20 µg

Lane 4:

293 lysate at 10 µg

Secondary

All lanes:

Goat Anti-Rabbit IgG (H+L) Peroxidase conjugated at 1/1000 dilution

Predicted band size: 31 kDa

Observed band size: 37 kDa

false

  • Carrier free

    Anti-DDAH1 antibody [EPR13922] - BSA and Azide free

  • 578 PE

    PE Anti-DDAH1 antibody [EPR13922]

  • 660 APC

    APC Anti-DDAH1 antibody [EPR13922]

  • 519 Alexa Fluor® 488

    Alexa Fluor® 488 Anti-DDAH1 antibody [EPR13922]

  • 665 Alexa Fluor® 647

    Alexa Fluor® 647 Anti-DDAH1 antibody [EPR13922]

  • 603 Alexa Fluor® 568

    Alexa Fluor® 568 Anti-DDAH1 antibody [EPR13922]

  • HRP

    HRP Anti-DDAH1 antibody [EPR13922]

  • 617 Alexa Fluor® 594

    Alexa Fluor® 594 Anti-DDAH1 antibody [EPR13922]

  • 565 Alexa Fluor® 555

    Alexa Fluor® 555 Anti-DDAH1 antibody [EPR13922]

  • 775 Alexa Fluor® 750

    Alexa Fluor® 750 Anti-DDAH1 antibody [EPR13922]

Key facts

Host species

Rabbit

Clonality

Monoclonal

Clone number

EPR13922

Isotype

IgG

Carrier free

No

Reacts with

Human

Applications

Flow Cyt (Intra), IHC-P, IP, WB, ICC/IF

applications

Immunogen

The exact immunogen used to generate this antibody is proprietary information.

Reactivity data

{ "title": "Reactivity Data", "filters": { "stats": ["", "Species", "Dilution Info", "Notes"], "tabs": { "all-applications": {"fullname" : "All Applications", "shortname": "All Applications"}, "IP" : {"fullname" : "Immunoprecipitation", "shortname":"IP"}, "WB" : {"fullname" : "Western blot", "shortname":"WB"}, "ICCIF" : {"fullname" : "Immunocytochemistry/ Immunofluorescence", "shortname":"ICC/IF"}, "FlowCytIntra" : {"fullname" : "Flow Cytometry (Intracellular)", "shortname":"Flow Cyt (Intra)"}, "IHCP" : {"fullname" : "Immunohistochemistry (Formalin/PFA-fixed paraffin-embedded sections)", "shortname":"IHC-P"} }, "product-promise": { "all": "all", "testedAndGuaranteed": "tested", "guaranteed": "expected", "predicted": "predicted", "notRecommended": "not-recommended" } }, "values": { "Human": { "IP-species-checked": "testedAndGuaranteed", "IP-species-dilution-info": "1/40", "IP-species-notes": "<p></p>", "WB-species-checked": "testedAndGuaranteed", "WB-species-dilution-info": "1/10000 - 1/50000", "WB-species-notes": "<p></p>", "ICCIF-species-checked": "testedAndGuaranteed", "ICCIF-species-dilution-info": "1/100", "ICCIF-species-notes": "<p></p>", "FlowCytIntra-species-checked": "testedAndGuaranteed", "FlowCytIntra-species-dilution-info": "1/20", "FlowCytIntra-species-notes": "<p></p>", "IHCP-species-checked": "testedAndGuaranteed", "IHCP-species-dilution-info": "1/50", "IHCP-species-notes": "<p>For antigen retrieval heat up to 98 °C, below boiling, and then let cool for 10-20 min.</p> Perform heat-mediated antigen retrieval with Tris/EDTA buffer pH 9.0 before commencing with IHC staining protocol." }, "Mouse": { "IP-species-checked": "predicted", "IP-species-dilution-info": "", "IP-species-notes": "", "WB-species-checked": "predicted", "WB-species-dilution-info": "", "WB-species-notes": "", "ICCIF-species-checked": "predicted", "ICCIF-species-dilution-info": "", "ICCIF-species-notes": "", "FlowCytIntra-species-checked": "predicted", "FlowCytIntra-species-dilution-info": "", "FlowCytIntra-species-notes": "", "IHCP-species-checked": "predicted", "IHCP-species-dilution-info": "", "IHCP-species-notes": "" }, "Rat": { "IP-species-checked": "predicted", "IP-species-dilution-info": "", "IP-species-notes": "", "WB-species-checked": "predicted", "WB-species-dilution-info": "", "WB-species-notes": "", "ICCIF-species-checked": "predicted", "ICCIF-species-dilution-info": "", "ICCIF-species-notes": "", "FlowCytIntra-species-checked": "predicted", "FlowCytIntra-species-dilution-info": "", "FlowCytIntra-species-notes": "", "IHCP-species-checked": "predicted", "IHCP-species-dilution-info": "", "IHCP-species-notes": "" }, "Cow": { "IP-species-checked": "predicted", "IP-species-dilution-info": "", "IP-species-notes": "", "WB-species-checked": "predicted", "WB-species-dilution-info": "", "WB-species-notes": "", "ICCIF-species-checked": "predicted", "ICCIF-species-dilution-info": "", "ICCIF-species-notes": "", "FlowCytIntra-species-checked": "predicted", "FlowCytIntra-species-dilution-info": "", "FlowCytIntra-species-notes": "", "IHCP-species-checked": "predicted", "IHCP-species-dilution-info": "", "IHCP-species-notes": "" } } }

Product details

Patented technology
Our RabMAb® technology is a patented hybridoma-based technology for making rabbit monoclonal antibodies. For details on our patents, please refer to RabMAb® patents.

What are the advantages of a recombinant monoclonal antibody?
This product is a recombinant monoclonal antibody, which offers several advantages including:

  • - High batch-to-batch consistency and reproducibility
  • - Improved sensitivity and specificity
  • - Long-term security of supply
  • - Animal-free batch production

For more information, read more on recombinant antibodies.

Properties and storage information

Form
Liquid
Purification technique
Affinity purification Protein A
Storage buffer
pH: 7.2 - 7.4 Preservative: 0.01% Sodium azide Constituents: PBS, 50% Tissue culture supernatant, 40% Glycerol (glycerin, glycerine), 0.05% BSA
Shipped at conditions
Blue Ice
Appropriate short-term storage duration
1-2 weeks
Appropriate short-term storage conditions
+4°C
Appropriate long-term storage conditions
-20°C
Aliquoting information
Upon delivery aliquot
Storage information
Avoid freeze / thaw cycle

Supplementary information

This supplementary information is collated from multiple sources and compiled automatically.

The DDAH1 protein also known as dimethylarginine dimethylaminohydrolase 1 plays an important role in regulating nitric oxide (NO) production by metabolizing asymmetric dimethylarginine (ADMA) an inhibitor of nitric oxide synthase. This enzyme has a molecular mass of approximately 31 kDa and is widely expressed in various tissues including liver kidney and brain. It impacts the cardiovascular system by controlling ADMA levels which influence endothelial function and vascular tone.
Biological function summary

The actions of DDAH1 contribute significantly to cardiovascular homeostasis. Increased levels of ADMA resulting from impaired DDAH1 activity can lead to decreased NO production impacting cardiovascular health. DDAH1 does not form part of a complex but acts individually to affect NO synthesis through ADMA degradation. Understanding the biological roles of DDAH1 helps to appreciate how NO-mediated processes are tightly regulated within the body and its impact on vascular health.

Pathways

DDAH1 participates actively in the nitric oxide synthesis pathway. It modulates the levels of endothelial nitric oxide synthase (eNOS) by regulating ADMA which serves as an eNOS inhibitor. Through this pathway DDAH1 ensures a balance between NO production and regulation supporting vascular homeostasis and blood pressure control. DDAH1 shares functional connections with proteins like eNOS which are central to maintaining vascular health and preventing endothelial dysfunction.

Dysfunction of DDAH1 links closely to cardiovascular diseases and conditions like atherosclerosis. Elevated ADMA levels resulting from compromised DDAH1 activity contribute to endothelial dysfunction a precursor to atherosclerosis. The interconnected role with eNOS highlights DDAH1's importance in managing ADMA concentrations as imbalances can exacerbate disease progression. Investigating the influence of DDAH1 on these diseases offers insights into potential therapeutic targets for cardiovascular pathologies.

Product protocols

For this product, it's our understanding that no specific protocols are required. You can visit:

Target data

Hydrolyzes N(G),N(G)-dimethyl-L-arginine (ADMA) and N(G)-monomethyl-L-arginine (MMA) which act as inhibitors of NOS. Has therefore a role in the regulation of nitric oxide generation.
See full target information DDAH1

Publications (11)

Recent publications for all applications. Explore the full list and refine your search

Cell death & disease 15:399 PubMed38849335

2024

DDAH-1 maintains endoplasmic reticulum-mitochondria contacts and protects dopaminergic neurons in Parkinson's disease.

Applications

Unspecified application

Species

Unspecified reactive species

Yichen Zhao,Weiwei Shen,Minjie Zhang,Min Guo,Yunxiao Dou,Sida Han,Jintai Yu,Mei Cui,Yanxin Zhao

Regenerative therapy 27:398-407 PubMed38694446

2024

Adipose-derived stem cells ameliorate radiation-induced lung injury by activating the DDAH1/ADMA/eNOS signaling pathway.

Applications

Unspecified application

Species

Unspecified reactive species

Quanwei Fu,Qiaohui Gao,Shengyuan Jiao,Fei Da,Juan Guo,Yunen Liu,Junye Liu

International journal of molecular sciences 22: PubMed34830164

2021

Nitric Oxide-Dependent Mechanisms Underlying MK-801- or Scopolamine-Induced Memory Dysfunction in Animals: Mechanistic Studies.

Applications

Unspecified application

Species

Unspecified reactive species

Paulina Cieślik,Anna Siekierzycka,Adrianna Radulska,Agata Płoska,Grzegorz Burnat,Piotr Brański,Leszek Kalinowski,Joanna M Wierońska

iScience 24:103189 PubMed34703990

2021

Dissecting VEGF-induced acute versus chronic vascular hyperpermeability: Essential roles of dimethylarginine dimethylaminohydrolase-1.

Applications

Unspecified application

Species

Unspecified reactive species

Ying Wang,Ramcharan Singh Angom,Tanmay A Kulkarni,Luke H Hoeppner,Krishnendu Pal,Enfeng Wang,Alexander Tam,Rachael A Valiunas,Shamit K Dutta,Baoan Ji,Natalia Jarzebska,Yingjie Chen,Roman N Rodionov,Debabrata Mukhopadhyay

Glia 69:2591-2604 PubMed34270117

2021

Dimethylarginine dimethylaminohydrolase 1 as a novel regulator of oligodendrocyte differentiation in the central nervous system remyelination.

Applications

Unspecified application

Species

Unspecified reactive species

Akiko Uyeda,Lili Quan,Yuki Kato,Nagaaki Muramatsu,Shogo Tanabe,Kazuhisa Sakai,Noritaka Ichinohe,Yukio Kawahara,Tatsunori Suzuki,Rieko Muramatsu

Frontiers in cardiovascular medicine 7:615161 PubMed33365332

2020

Comprehensive Integration of Single-Cell Transcriptional Profiling Reveals the Heterogeneities of Non-cardiomyocytes in Healthy and Ischemic Hearts.

Applications

Unspecified application

Species

Unspecified reactive species

Lingfang Zhuang,Lin Lu,Ruiyan Zhang,Kang Chen,Xiaoxiang Yan

Journal of cellular and molecular medicine 24:5911-5925 PubMed32301289

2020

Dihydromyricetin increases endothelial nitric oxide production and inhibits atherosclerosis through microRNA-21 in apolipoprotein E-deficient mice.

Applications

Unspecified application

Species

Unspecified reactive species

Dafeng Yang,Zhousheng Yang,Lei Chen,Dabin Kuang,Yang Zou,Jie Li,Xu Deng,Songyuan Luo,Jianfang Luo,Jun He,Miao Yan,Guixia He,Yang Deng,Rong Li,Qiong Yuan,Yangzhao Zhou,Pei Jiang,Shenglan Tan

Clinical and experimental pharmacology & physiolog 47:1182-1192 PubMed32020664

2020

Curcumin attenuates endothelial cell fibrosis through inhibiting endothelial-interstitial transformation.

Applications

Unspecified application

Species

Unspecified reactive species

Xiao Chen,Xuliang Chen,Xiangxiang Shi,Zhan Gao,Zhigang Guo

Nitric oxide : biology and chemistry 93:44-52 PubMed31536826

2019

Interleukin enhancement binding factor 3 inhibits cardiac hypertrophy by targeting asymmetric dimethylarginine-nitric oxide.

Applications

Unspecified application

Species

Unspecified reactive species

Ruo-Han Yang,Xing Tan,Lian-Jie Ge,Jia-Cen Sun,Xiao-Dong Peng,Wei-Zhong Wang

Experimental biology and medicine (Maywood, N.J.) 243:934-944 PubMed29984607

2018

Shock waves increase pulmonary vascular leakage, inflammation, oxidative stress, and apoptosis in a mouse model.

Applications

Unspecified application

Species

Unspecified reactive species

Changci Tong,Yunen Liu,Yubiao Zhang,Peifang Cong,Xiuyun Shi,Ying Liu,Lin Shi Hongxu Jin,Mingxiao Hou
View all publications

Product promise

We are committed to supporting your work with high-quality reagents, and we're here for you every step of the way. In the unlikely event that one of our products does not perform as expected, you're protected by our Product Promise.
For full details, please see our Terms & Conditions

Please note: All products are 'FOR RESEARCH USE ONLY. NOT FOR USE IN DIAGNOSTIC OR THERAPEUTIC PROCEDURES'.

For licensing inquiries, please contact partnerships@abcam.com