JavaScript is disabled in your browser. Please enable JavaScript to view this website.
AB181136

Anti-DDB2 antibody [EPR9811]

Be the first to review this product! Submit a review

|

(14 Publications)

Rabbit Recombinant Monoclonal DDB2 antibody. Suitable for WB, IHC-P and reacts with Human samples. Cited in 14 publications.

View Alternative Names

DNA damage-binding protein 2, DDB p48 subunit, Damage-specific DNA-binding protein 2, UV-damaged DNA-binding protein 2, DDBb, UV-DDB 2, DDB2

6 Images
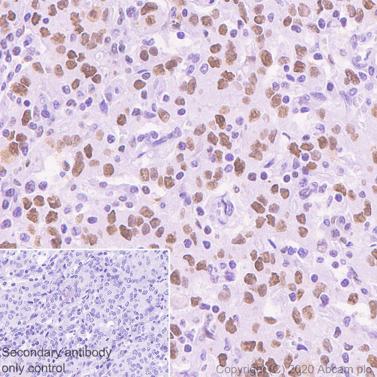
Immunohistochemistry (Formalin/PFA-fixed paraffin-embedded sections) - Anti-DDB2 antibody [EPR9811] (AB181136)
  • IHC-P

Lab

Immunohistochemistry (Formalin/PFA-fixed paraffin-embedded sections) - Anti-DDB2 antibody [EPR9811] (AB181136)

Immunohistochemistry (Formalin/PFA-fixed paraffin-embedded sections) analysis of human stomach carcinoma tissue sections labeling DDB2 with Purified ab181136 at 1/2500 dilution (0.25 µg/mL). Perform heat mediated antigen retrieval using ab93684 (Tris/EDTA buffer, pH 9.0). ImmunoHistoProbe one step HRP Polymer (ready to use) was used as the secondary antibody. Negative control : PBS instead of the primary antibody. Hematoxylin was used as a counterstain.

Western blot - Anti-DDB2 antibody [EPR9811] (AB181136)
  • WB

Unknown

Western blot - Anti-DDB2 antibody [EPR9811] (AB181136)

40kDa band might be an isomer of DNA damage-binding protein 2 (Isomer D3).

All lanes:

Western blot - Anti-DDB2 antibody [EPR9811] (ab181136) at 1/2000 dilution

Lane 1:

SH-SY5Y (Human neuroblastoma epithelial cell) whole cell lysate at 15 µg

Lane 2:

Raji (Human Burkitt's lymphoma B lymphocyte) whole cell lysate at 15 µg

Secondary

All lanes:

Western blot - Goat Anti-Rabbit IgG H&L (HRP) (<a href='/en-us/products/secondary-antibodies/goat-rabbit-igg-h-l-hrp-ab97051'>ab97051</a>) at 1/20000 dilution

Predicted band size: 48 kDa

false

Western blot - Anti-DDB2 antibody [EPR9811] (AB181136)
  • WB

Supplier Data

Western blot - Anti-DDB2 antibody [EPR9811] (AB181136)

40kDa band might be an isomer of DNA damage-binding protein 2 (Isomer D3).

All lanes:

Western blot - Anti-DDB2 antibody [EPR9811] (ab181136) at 1/1000 dilution

All lanes:

HeLa (Human cervix adenocarcinoma epithelial cell) whole cell lysate at 15 µg

Secondary

All lanes:

Western blot - Goat Anti-Rabbit IgG H&L (HRP) (<a href='/en-us/products/secondary-antibodies/goat-rabbit-igg-h-l-hrp-ab97051'>ab97051</a>) at 1/20000 dilution

Predicted band size: 48 kDa

false

Western blot - Anti-DDB2 antibody [EPR9811] (AB181136)
  • WB

Unknown

Western blot - Anti-DDB2 antibody [EPR9811] (AB181136)

Lanes 1-3 : Merged signal (red and green). Green - ab181136 observed at 48 kDa. Red - loading control, ab8245 observed at 37 kDa.

ab181136 Anti-DDB2 antibody [EPR9811] was shown to specifically react with DDB2 in wild-type HeLa cells. Loss of signal was observed when knockout cell line ab265115 (knockout cell lysate ab257177) was used. Wild-type and DDB2 knockout samples were subjected to SDS-PAGE. ab181136 and Anti-GAPDH antibody [6C5] - Loading Control (ab8245) were incubated overnight at 4°C at 1 in 1000 dilution and 1 in 20000 dilution respectively. Blots were developed with Goat anti-Rabbit IgG H&L (IRDye® 800CW) preadsorbed (ab216773) and Goat anti-Mouse IgG H&L (IRDye® 680RD) preadsorbed (ab216776) secondary antibodies at 1 in 10000 dilution for 1 hour at room temperature before imaging.

All lanes:

Western blot - Anti-DDB2 antibody [EPR9811] (ab181136) at 1/1000 dilution

Lane 1:

Wild-type HeLa cell lysate at 20 µg

Lane 2:

DDB2 knockout HeLa cell lysate at 20 µg

Lane 3:

Raji cell lysate at 20 µg

Predicted band size: 48 kDa

Observed band size: 48 kDa

false

Western blot - Anti-DDB2 antibody [EPR9811] (AB181136)
  • WB

Lab

Western blot - Anti-DDB2 antibody [EPR9811] (AB181136)

Lanes 1-3 : Merged signal (red and green). Green - ab181136 observed at 48 kDa. Red - loading control, ab8245 observed at 37 kDa.

ab181136 Anti-DDB2 antibody [EPR9811] was shown to specifically react with DDB2 in wild-type HeLa cells. Loss of signal was observed when knockout cell line ab265115 (knockout cell lysate ab257177) was used. Wild-type and DDB2 knockout samples were subjected to SDS-PAGE. ab181136 and Anti-GAPDH antibody [6C5] - Loading Control (ab8245) were incubated overnight at 4°C at 1 in 1000 dilution and 1 in 20000 dilution respectively. Blots were developed with Goat anti-Rabbit IgG H&L (IRDye® 800CW) preadsorbed (ab216773) and Goat anti-Mouse IgG H&L (IRDye® 680RD) preadsorbed (ab216776) secondary antibodies at 1 in 10000 dilution for 1 hour at room temperature before imaging.

All lanes:

Western blot - Anti-DDB2 antibody [EPR9811] (ab181136) at 1/1000 dilution

Lane 1:

Wild-type HeLa cell lysate at 20 µg

Lane 2:

DDB2 knockout HeLa cell lysate at 20 µg

Lane 2:

Western blot - Human DDB2 knockout HeLa cell line (<a href='/en-us/products/cell-lines/human-ddb2-knockout-hela-cell-line-ab265115'>ab265115</a>)

Lane 3:

Raji cell lysate at 20 µg

Predicted band size: 48 kDa

Observed band size: 48 kDa

false

Western blot - Anti-DDB2 antibody [EPR9811] (AB181136)
  • WB

CiteAb

Western blot - Anti-DDB2 antibody [EPR9811] (AB181136)

DDB2 western blot using anti-DDB2 antibody [EPR9811] ab181136. Publication image and figure legend from Kumar, N., Theil, A. F., et al., 2022, Nat Commun, PubMed 35190564.

ab181136 was used in this publication in western blot. This may not be the same as the application(s) guaranteed by Abcam. For a full list of applications guaranteed by Abcam for ab181136 please see the product overview.

DDB2 binds sparse telomeric 8-oxoG independently of the DDB1-Cul4A-RBX1 E3 ligase.a Representative images showing recruitment of DDB2-mCherry to telomeric 8-oxoG in cells transfected with control, DDB1 or Cul4A siRNA. b Quantification of a. c, e DDB2-mCherry and GFP-DDB1 (c) or DDB2-mCherry and GFP-Cul4A (e) accumulation at 8-oxoG sites after dye (100 nM, 15 min) plus light (660 nm, 10 min) treatment. d, f Quantification of c and e respectively. g Western blot for DDB2 in U2OS-FAP-TRF1 cells treated with UVC, potassium bromate (KBrO3) or dye plus light at indicated doses. Independent experiments are represented by black circles. h Colocalization of DDB2-mCherry and GFP-Cul4A at damaged telomeres in U2OS-FAP-TRF1 cells transfected with control or OGG1 siRNA. i Quantification of h. Data (a–h) represents mean ± SEM from two independent experiments. 'n' represents the number of cells scored for each condition. One-way ANOVA (Sidak multiple comparison test) (b, i) was performed for statistical analysis : *p < 0.05, **p < 0.01, ***p < 0.001, ns Not significant. Scale : 5 μm. Source data are provided as a Source Data file. (See also Supplementary Fig. 5).

false

  • HRP

    HRP Anti-DDB2 antibody [EPR9811]

  • Carrier free

    Anti-DDB2 antibody [EPR9811] - BSA and Azide free

Key facts

Host species

Rabbit

Clonality

Monoclonal

Clone number

EPR9811

Isotype

IgG

Carrier free

No

Reacts with

Human

Applications

WB, IHC-P

applications

Immunogen

The exact immunogen used to generate this antibody is proprietary information.

Reactivity data

{ "title": "Reactivity Data", "filters": { "stats": ["", "Species", "Dilution Info", "Notes"], "tabs": { "all-applications": {"fullname" : "All Applications", "shortname": "All Applications"}, "FlowCyt" : {"fullname" : "Flow Cytometry", "shortname":"Flow Cyt"}, "WB" : {"fullname" : "Western blot", "shortname":"WB"}, "ICCIF" : {"fullname" : "Immunocytochemistry/ Immunofluorescence", "shortname":"ICC/IF"}, "IHCP" : {"fullname" : "Immunohistochemistry (Formalin/PFA-fixed paraffin-embedded sections)", "shortname":"IHC-P"} }, "product-promise": { "all": "all", "testedAndGuaranteed": "tested", "guaranteed": "expected", "predicted": "predicted", "notRecommended": "not-recommended" } }, "values": { "Human": { "FlowCyt-species-checked": "notRecommended", "FlowCyt-species-dilution-info": "", "FlowCyt-species-notes": "<p></p>", "WB-species-checked": "testedAndGuaranteed", "WB-species-dilution-info": "1/1000 - 1/10000", "WB-species-notes": "<p></p>", "ICCIF-species-checked": "notRecommended", "ICCIF-species-dilution-info": "", "ICCIF-species-notes": "<p></p>", "IHCP-species-checked": "testedAndGuaranteed", "IHCP-species-dilution-info": "1/2500", "IHCP-species-notes": "<p><strong>For unpurified use at 1/50 - 1/100.</strong></p>" } } }

Product details

Patented technology
Our RabMAb® technology is a patented hybridoma-based technology for making rabbit monoclonal antibodies. For details on our patents, please refer to RabMAb® patents.

What are the advantages of a recombinant monoclonal antibody?
This product is a recombinant monoclonal antibody, which offers several advantages including:

  • - High batch-to-batch consistency and reproducibility
  • - Improved sensitivity and specificity
  • - Long-term security of supply
  • - Animal-free batch production

For more information, read more on recombinant antibodies.

Properties and storage information

Form
Liquid
Purification technique
Affinity purification Protein A
Storage buffer
pH: 7.2 - 7.4 Preservative: 0.01% Sodium azide Constituents: PBS, 40% Glycerol (glycerin, glycerine), 0.05% BSA
Shipped at conditions
Blue Ice
Appropriate short-term storage duration
1-2 weeks
Appropriate short-term storage conditions
+4°C
Appropriate long-term storage conditions
-20°C
Aliquoting information
Upon delivery aliquot
Storage information
Avoid freeze / thaw cycle

Supplementary information

This supplementary information is collated from multiple sources and compiled automatically.

DDB2 also known as DNA damage-binding protein 2 plays a mechanical role in the nucleotide excision repair (NER) pathway. It is a part of the UV-damaged DNA-binding protein complex and assists in recognizing and cutting damaged DNA. The mass of DDB2 is approximately 48 kDa. The expression of DDB2 occurs broadly but it shows enhanced expression in tissues exposed to UV light like skin.
Biological function summary

Engagement in DNA repair mechanisms allows DDB2 to help maintain genomic stability. It forms a critical part of the DDB1-DDB2 complex which collaborates with other proteins in the initial damage recognition step of NER. This involvement ensures the repair of UV-induced damage and bulky DNA adducts preventing mutations that can cause harmful genetic alterations.

Pathways

The involvement of DDB2 is important within the nucleotide excision repair and transcription-coupled repair pathways. In these pathways DDB2 partners with proteins such as XPC and XPA facilitating the recognition and verification of DNA damage. These interactions ensure an accurate and efficient repair process protecting cells from potential genotoxic stress.

DDB2 has relevance to skin cancer and xeroderma pigmentosum. Among these mutations or dysregulation involving DDB2 can lead to skin cancer due to impaired DNA repair response to UV damage. It connects to p53 a protein that regulates the cell cycle and likewise contributes to cellular responses against DNA damage. In xeroderma pigmentosum defects in components of the NER pathway including DDB2 lead to extreme sensitivity to sunlight and subsequent skin abnormalities.

Product protocols

For this product, it's our understanding that no specific protocols are required. You can visit:

Target data

Protein, which is both involved in DNA repair and protein ubiquitination, as part of the UV-DDB complex and DCX (DDB1-CUL4-X-box) complexes, respectively (PubMed : 10882109, PubMed : 11278856, PubMed : 11705987, PubMed : 12732143, PubMed : 15882621, PubMed : 16473935, PubMed : 18593899, PubMed : 32789493, PubMed : 9892649). Core component of the UV-DDB complex (UV-damaged DNA-binding protein complex), a complex that recognizes UV-induced DNA damage and recruit proteins of the nucleotide excision repair pathway (the NER pathway) to initiate DNA repair (PubMed : 10882109, PubMed : 11278856, PubMed : 11705987, PubMed : 12944386, PubMed : 14751237, PubMed : 16260596, PubMed : 32789493). The UV-DDB complex preferentially binds to cyclobutane pyrimidine dimers (CPD), 6-4 photoproducts (6-4 PP), apurinic sites and short mismatches (PubMed : 10882109, PubMed : 11278856, PubMed : 11705987, PubMed : 12944386, PubMed : 16260596). Also functions as the substrate recognition module for the DCX (DDB2-CUL4-X-box) E3 ubiquitin-protein ligase complex DDB2-CUL4-ROC1 (also known as CUL4-DDB-ROC1 and CUL4-DDB-RBX1) (PubMed : 12732143, PubMed : 15882621, PubMed : 16473935, PubMed : 18593899, PubMed : 26572825). The DDB2-CUL4-ROC1 complex may ubiquitinate histone H2A, histone H3 and histone H4 at sites of UV-induced DNA damage (PubMed : 16473935, PubMed : 16678110). The ubiquitination of histones may facilitate their removal from the nucleosome and promote subsequent DNA repair (PubMed : 16473935, PubMed : 16678110). The DDB2-CUL4-ROC1 complex also ubiquitinates XPC, which may enhance DNA-binding by XPC and promote NER (PubMed : 15882621). The DDB2-CUL4-ROC1 complex also ubiquitinates KAT7/HBO1 in response to DNA damage, leading to its degradation : recognizes KAT7/HBO1 following phosphorylation by ATR (PubMed : 26572825).. Isoform D1. Inhibits UV-damaged DNA repair.. Isoform D2. Inhibits UV-damaged DNA repair.
See full target information DDB2

Publications (14)

Recent publications for all applications. Explore the full list and refine your search

Molecular cell 84:4774-4789.e9 PubMed39591967

2024

The ribotoxic stress response drives acute inflammation, cell death, and epidermal thickening in UV-irradiated skin in vivo.

Applications

Unspecified application

Species

Unspecified reactive species

Anna Constance Vind,Zhenzhen Wu,Muhammad Jasrie Firdaus,Goda Snieckute,Gee Ann Toh,Malin Jessen,José Francisco Martínez,Peter Haahr,Thomas Levin Andersen,Melanie Blasius,Li Fang Koh,Nina Loeth Maartensson,John E A Common,Mads Gyrd-Hansen,Franklin L Zhong,Simon Bekker-Jensen

NAR cancer 5:zcad057 PubMed38058548

2023

Detection of oxaliplatin- and cisplatin-DNA lesions requires different global genome repair mechanisms that affect their clinical efficacy.

Applications

Unspecified application

Species

Unspecified reactive species

Jana Slyskova,Alba Muniesa-Vargas,Israel Tojal da Silva,Rodrigo Drummond,Jiyeong Park,David Häckes,Isabella Poetsch,Cristina Ribeiro-Silva,Amandine Moretton,Petra Heffeter,Orlando D Schärer,Wim Vermeulen,Hannes Lans,Joanna I Loizou

Experimental hematology & oncology 12:77 PubMed37679762

2023

CUL4B-DDB1-COP1-mediated UTX downregulation promotes colorectal cancer progression.

Applications

Unspecified application

Species

Unspecified reactive species

Dakui Luo,Min Chen,Qingguo Li,Kangjunjie Wang,Kaihua Wang,Junqiang Li,Guoxiang Fu,Zezhi Shan,Qi Liu,Yufei Yang,Lei Liang,Yanlei Ma,Yi Qin,Jun Qin,Daming Gao,Xinxiang Li

Nucleic acids research 51:4881-4898 PubMed36971122

2023

UV-DDB stimulates the activity of SMUG1 during base excision repair of 5-hydroxymethyl-2'-deoxyuridine moieties.

Applications

Unspecified application

Species

Unspecified reactive species

Sunbok Jang,Sripriya J Raja,Vera Roginskaya,Matthew A Schaich,Simon C Watkins,Bennett Van Houten

Nucleic acids research 51:e39 PubMed36861323

2023

Single-molecule analysis of DNA-binding proteins from nuclear extracts (SMADNE).

Applications

Unspecified application

Species

Unspecified reactive species

Matthew A Schaich,Brittani L Schnable,Namrata Kumar,Vera Roginskaya,Rachel C Jakielski,Roman Urban,Zhou Zhong,Neil M Kad,Bennett Van Houten

Frontiers in oncology 12:1052163 PubMed36568213

2022

DDB2 represses epithelial-to-mesenchymal transition and sensitizes pancreatic ductal adenocarcinoma cells to chemotherapy.

Applications

Unspecified application

Species

Unspecified reactive species

Julie Dardare,Andréa Witz,Margaux Betz,Aurélie Francois,Morgane Meras,Laureline Lamy,Aurélien Lambert,Stéphanie Grandemange,Marie Husson,Marie Rouyer,Jessica Demange,Jean-Louis Merlin,Alexandre Harlé,Pauline Gilson

Cell death & disease 13:350 PubMed35428778

2022

Targeted CUL4A inhibition synergizes with cisplatin to yield long-term survival in models of head and neck squamous cell carcinoma through a DDB2-mediated mechanism.

Applications

Unspecified application

Species

Unspecified reactive species

Trace M Jones,Claudia M Espitia,Aikseng Ooi,Julie E Bauman,Jennifer S Carew,Steffan T Nawrocki

Nature communications 13:974 PubMed35190564

2022

Global and transcription-coupled repair of 8-oxoG is initiated by nucleotide excision repair proteins.

Applications

Unspecified application

Species

Unspecified reactive species

Namrata Kumar,Arjan F Theil,Vera Roginskaya,Yasmin Ali,Michael Calderon,Simon C Watkins,Ryan P Barnes,Patricia L Opresko,Alex Pines,Hannes Lans,Wim Vermeulen,Bennett Van Houten

Molecular cell 77:1092-1106.e9 PubMed31973889

2020

PIKES Analysis Reveals Response to Degraders and Key Regulatory Mechanisms of the CRL4 Network.

Applications

Unspecified application

Species

Unspecified reactive species

Kurt M Reichermeier,Ronny Straube,Justin M Reitsma,Michael J Sweredoski,Christopher M Rose,Annie Moradian,Willem den Besten,Trent Hinkle,Erik Verschueren,Georg Petzold,Nicolas H Thomä,Ingrid E Wertz,Raymond J Deshaies,Donald S Kirkpatrick

Cell death and differentiation 27:984-998 PubMed31367012

2019

CSNAP, the smallest CSN subunit, modulates proteostasis through cullin-RING ubiquitin ligases.

Applications

Unspecified application

Species

Unspecified reactive species

Maria G Füzesi-Levi,Irit Fainer,Radoslav Ivanov Enchev,Gili Ben-Nissan,Yishai Levin,Meital Kupervaser,Gilgi Friedlander,Tomer Meir Salame,Reinat Nevo,Matthias Peter,Michal Sharon
View all publications

Product promise

We are committed to supporting your work with high-quality reagents, and we're here for you every step of the way. In the unlikely event that one of our products does not perform as expected, you're protected by our Product Promise.
For full details, please see our Terms & Conditions

Please note: All products are 'FOR RESEARCH USE ONLY. NOT FOR USE IN DIAGNOSTIC OR THERAPEUTIC PROCEDURES'.

For licensing inquiries, please contact partnerships@abcam.com