JavaScript is disabled in your browser. Please enable JavaScript to view this website.
AB236777

Anti-DDDDK tag (Binds to FLAG® tag sequence) antibody [EPR20018-251] - BSA and Azide free

5

(1 Review)

|

(11 Publications)

Anti-DDDDK tag (Binds to FLAG® tag sequence) antibody [EPR20018-251] - BSA and Azide free (ab236777) is a rabbit recombinant monoclonal antibody provided in a PBS only buffer for easy conjugation. Suitable for Western Blot, IP, IHC-P, ICC/IF.

- BSA, sodium azide, and glycerol-free for easy conjugation
- Biophysical QC for unrivalled batch-batch consistency

View Alternative Names

DDDDK epitope tag, DDDK, DYKDDDDK, DYKDDDDK (also known as the FLAG搴 tag sequence), DYKDDDDK epitope tag, DYKDDDDK tag, ECS epitope tag, ECS tag, Enterokinase Cleavage Site epitope tag, Enterokinase Cleavage Site tag, FLAG搴, FLAG搴 tag, ddk

6 Images
Immunohistochemistry (Formalin/PFA-fixed paraffin-embedded sections) - Anti-DDDDK tag (Binds to FLAG® tag sequence) antibody [EPR20018-251] - BSA and Azide free (AB236777)
  • IHC-P

Supplier Data

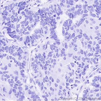
Immunohistochemistry (Formalin/PFA-fixed paraffin-embedded sections) - Anti-DDDDK tag (Binds to FLAG® tag sequence) antibody [EPR20018-251] - BSA and Azide free (AB236777)

Negative control : No staining on human hepatocellular cancer.

Immunohistochemical analysis of paraffin-embedded human hepatocellular cancer tissue stained for DDDDK tag using ab205606 at 1/750 dilution, followed by a ready to use Goat Anti-Rabbit IgG H&L (HRP). Counterstained with hematoxylin.

This data was developed using the same antibody clone in a different buffer formulation containing PBS, BSA, glycerol, and sodium azide (ab205606).

Heat mediated antigen retrieval was performed with EDTA buffer pH 9 before commencing with IHC staining protocol.

Immunocytochemistry/ Immunofluorescence - Anti-DDDDK tag (Binds to FLAG® tag sequence) antibody [EPR20018-251] - BSA and Azide free (AB236777)
  • ICC/IF

Supplier Data

Immunocytochemistry/ Immunofluorescence - Anti-DDDDK tag (Binds to FLAG® tag sequence) antibody [EPR20018-251] - BSA and Azide free (AB236777)

Immunofluorescent analysis of 4% paraformaldehyde-fixed, 0.1% Triton X-100 permeabilized HEK-293T (Human epithelial cell line from embryonic kidney transformed with large T antigen) cells labeling DDDDK tag with ab205606 at 1/100 dilution, followed by ab150077 Alexa Fluor® 488 Goat anti-Rabbit secondary at 1/1000 dilution (green).

Confocal image showing positive staining for FLAG® on HEK-293T cells transfected with DDDDK-tagged PFKFB3 expression vector. Mouse monoclonal anti-FLAG® M2 antibody was used as a counterstain at 1/500 dilution, and Alexa Fluor® 647 Goat anti-mouse secondary (ab150115) was used as the secondary antibody only control at 1/500 dilution. The nucleus is counterstained with DAPI.

This data was developed using the same antibody clone in a different buffer formulation containing PBS, BSA, glycerol, and sodium azide (ab205606).

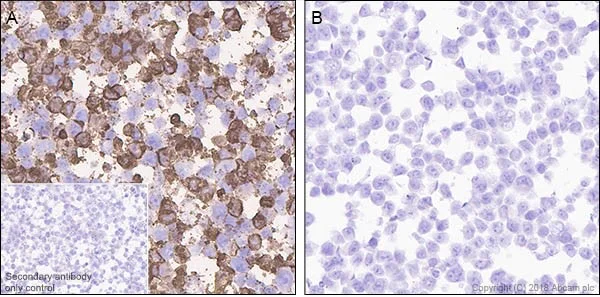
Immunohistochemistry (Formalin/PFA-fixed paraffin-embedded sections) - Anti-DDDDK tag (Binds to FLAG® tag sequence) antibody [EPR20018-251] - BSA and Azide free (AB236777)
  • IHC-P

Supplier Data

Immunohistochemistry (Formalin/PFA-fixed paraffin-embedded sections) - Anti-DDDDK tag (Binds to FLAG® tag sequence) antibody [EPR20018-251] - BSA and Azide free (AB236777)

Immunhistochemical analysis of agarose-embedded HEK-293T (Human epithelial cell line from embryonic kidney transformed with large T antigen) transfected with DDDDK-tagged human PD-L1 expression vector labeling DDDDK tag with ab205606 at 1/750 dilution, followed by a ready to use Goat Anti-Rabbit IgG H&L (HRP). Counterstained with hematoxylin.

Positive staining on HEK-293T cells transfected with DDDDK-tagged human PD-L1 expression vector (Panel A) is observed. No signal was detected on HEK-293T transfected with an empty vector (vector control), containing a C-terminal DDDDK tag (Panel B).

This data was developed using the same antibody clone in a different buffer formulation containing PBS, BSA, glycerol, and sodium azide (ab205606).

Heat mediated antigen retrieval was performed with EDTA buffer pH 9 before commencing with IHC staining protocol.

Immunoprecipitation - Anti-DDDDK tag (Binds to FLAG® tag sequence) antibody [EPR20018-251] - BSA and Azide free (AB236777)
  • IP

Supplier Data

Immunoprecipitation - Anti-DDDDK tag (Binds to FLAG® tag sequence) antibody [EPR20018-251] - BSA and Azide free (AB236777)

DDDDK tag was immunoprecipitated from 0.35 mg HEK-293T (Human epithelial cell line from embryonic kidney transformed with large T antigen) transfected with DDDDK-tagged human PFKFB3 expression vector whole cell lysate with ab205606 at 1/30 dilution. Western blot was performed from the immunoprecipitate using ab205606 at 1/1000 dilution. VeriBlot for IP Detection Reagent (HRP) (ab131366), was used for detection at 1/10000 dilution.

Lane 1 : HEK-293T transfected with DDDDK-tagged human PFKFB3 expression vector whole cell lysate (input).

Lane 2 : ab205606 IP in HEK-293T transfected with DDDDK-tagged human PFKFB3 expression vector whole cell lysate.

Lane 3 : Rabbit monoclonal IgG (ab172730) instead of ab205606 in HEK-293T transfected with DDDDK-tagged human PFKFB3 expression vector whole cell lysate.

Blocking/Dilution buffer : 5% NFDM/TBST
Exposure time : 3 seconds.

This data was developed using the same antibody clone in a different buffer formulation containing PBS, BSA, glycerol, and sodium azide (ab205606).

All lanes:

Immunoprecipitation - Anti-DDDDK tag (Binds to FLAG® tag sequence) antibody [EPR20018-251] (<a href='/en-us/products/primary-antibodies/ddddk-tag-binds-to-flag-tag-sequence-antibody-epr20018-251-ab205606'>ab205606</a>)

false

Immunohistochemistry (Formalin/PFA-fixed paraffin-embedded sections) - Anti-DDDDK tag (Binds to FLAG® tag sequence) antibody [EPR20018-251] - BSA and Azide free (AB236777)
  • IHC-P

Supplier Data

Immunohistochemistry (Formalin/PFA-fixed paraffin-embedded sections) - Anti-DDDDK tag (Binds to FLAG® tag sequence) antibody [EPR20018-251] - BSA and Azide free (AB236777)

Negative control : No staining on mouse spleen.

Immunohistochemical analysis of paraffin-embedded mouse spleen tissue stained for DDDDK tag using ab205606 at 1/750 dilution, followed by a ready to use Goat Anti-Rabbit IgG H&L (HRP). Counterstained with hematoxylin.

This data was developed using the same antibody clone in a different buffer formulation containing PBS, BSA, glycerol, and sodium azide (ab205606).

Heat mediated antigen retrieval was performed with EDTA buffer pH 9 before commencing with IHC staining protocol.

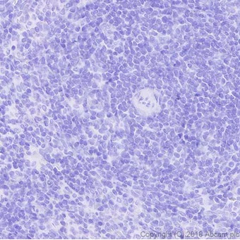
Immunohistochemistry (Formalin/PFA-fixed paraffin-embedded sections) - Anti-DDDDK tag (Binds to FLAG® tag sequence) antibody [EPR20018-251] - BSA and Azide free (AB236777)
  • IHC-P

Supplier Data

Immunohistochemistry (Formalin/PFA-fixed paraffin-embedded sections) - Anti-DDDDK tag (Binds to FLAG® tag sequence) antibody [EPR20018-251] - BSA and Azide free (AB236777)

Negative control : No staining on rat spleen.

Immunohistochemical analysis of paraffin-embedded rat spleen tissue stained for DDDDK tag using ab205606 at 1/750 dilution, followed by a ready to use Goat Anti-Rabbit IgG H&L (HRP). Counterstained with hematoxylin.

This data was developed using the same antibody clone in a different buffer formulation containing PBS, BSA, glycerol, and sodium azide (ab205606).

Heat mediated antigen retrieval was performed with EDTA buffer pH 9 before commencing with IHC staining protocol.

  • Unconjugated

    Anti-DDDDK tag (Binds to FLAG® tag sequence) antibody [EPR20018-251]

  • 519 Alexa Fluor® 488

    Alexa Fluor® 488 Anti-DDDDK tag (Binds to FLAG® tag sequence) antibody [EPR20018-251]

  • 665 Alexa Fluor® 647

    Alexa Fluor® 647 Anti-DDDDK tag (Binds to FLAG® tag sequence) antibody [EPR20018-251]

  • HRP

    HRP Anti-DDDDK tag (Binds to FLAG® tag sequence) antibody [EPR20018-251]

Key facts

Host species

Rabbit

Clonality

Monoclonal

Clone number

EPR20018-251

Isotype

IgG

Carrier free

Yes

Applications

ICC/IF, IP, IHC-P, WB

applications

Immunogen

The exact immunogen used to generate this antibody is proprietary information.

Reactivity data

{ "title": "Reactivity Data", "filters": { "stats": ["", "Species", "Dilution Info", "Notes"], "tabs": { "all-applications": {"fullname" : "All Applications", "shortname": "All Applications"}, "IP" : {"fullname" : "Immunoprecipitation", "shortname":"IP"}, "FlowCyt" : {"fullname" : "Flow Cytometry", "shortname":"Flow Cyt"}, "WB" : {"fullname" : "Western blot", "shortname":"WB"}, "IHCP" : {"fullname" : "Immunohistochemistry (Formalin/PFA-fixed paraffin-embedded sections)", "shortname":"IHC-P"}, "ICCIF" : {"fullname" : "Immunocytochemistry/ Immunofluorescence", "shortname":"ICC/IF"} }, "product-promise": { "all": "all", "testedAndGuaranteed": "tested", "guaranteed": "expected", "predicted": "predicted", "notRecommended": "not-recommended" } }, "values": { "Tag": { "IP-species-checked": "testedAndGuaranteed", "IP-species-dilution-info": "", "IP-species-notes": "<p></p>", "FlowCyt-species-checked": "notRecommended", "FlowCyt-species-dilution-info": "", "FlowCyt-species-notes": "<p></p>", "WB-species-checked": "guaranteed", "WB-species-dilution-info": "", "WB-species-notes": "<p></p>", "IHCP-species-checked": "testedAndGuaranteed", "IHCP-species-dilution-info": "", "IHCP-species-notes": "<p></p>", "ICCIF-species-checked": "testedAndGuaranteed", "ICCIF-species-dilution-info": "", "ICCIF-species-notes": "<p></p>" } } }

Product details

What is this antibody validated in?
Anti-DDDDK tag (Binds to FLAG® tag sequence) antibody [EPR20018-251] - BSA and Azide free (ab236777) is a rabbit recombinant monoclonal antibody and is validated for use in Western Blot (WB), Immunoprecipitation (IP), Immunohistochemistry (IHC-P), Immunocytochemistry/immunofluorescence (ICC/IF). Tagged protein detection
DDDDK tag (Binds to FLAG® tag sequence) antibodies are used to visualize proteins labelled with this tag in a variety of applications.

Other related products
We have a range of other formats of antibody clone [EPR20018-251] also available for your convenience: ab205606, Carrier free - ab236777, Alexa Fluor® 488 - ab245892, Alexa Fluor® 647 - ab245893, HRP - ab245895

Patented technology
Our RabMAb® technology is a patented hybridoma-based technology for making rabbit monoclonal antibodies. For details on our patents, please refer to RabMAb® patents.

What are the advantages of a recombinant monoclonal antibody?
This product is a recombinant monoclonal antibody, which offers several advantages including:

  • - High batch-to-batch consistency and reproducibility
  • - Improved sensitivity and specificity
  • - Long-term security of supply
  • - Animal-free batch production

For more information, read more on recombinant antibodies.

Conjugation ready
Our carrier-free antibodies are typically supplied in a PBS-only formulation, purified and free of BSA, sodium azide and glycerol. This conjugation-ready format is designed for use with fluorochromes, metal isotopes, oligonucleotides, and enzymes, which makes them ideal for antibody labelling, functional and cell-based assays, flow-based assays (e.g. mass cytometry) and Multiplex Imaging applications.

Use our conjugation kits for antibody conjugates that are ready-to-use in as little as 20 minutes with 1 minute hands-on-time and 100% antibody recovery: available for fluorescent dyes, HRP, biotin and gold.

Compatibility
This product is compatible with the Maxpar® Antibody Labeling Kit from Fluidigm, without the need for antibody preparation. Maxpar® is a trademark of Fluidigm Canada Inc.

FLAG® is a registered trade mark of Sigma Aldrich Biotechnology LP. It is used here for informational purposes only.

Properties and storage information

Form
Liquid
Purification technique
Affinity purification Protein A
Storage buffer
pH: 7.2 - 7.4 Constituents: PBS
Shipped at conditions
Blue Ice
Appropriate short-term storage conditions
+4°C
Appropriate long-term storage conditions
+4°C
Storage information
Do Not Freeze

Product protocols

For this product, it's our understanding that no specific protocols are required. You can visit:

Publications (11)

Recent publications for all applications. Explore the full list and refine your search

Journal for immunotherapy of cancer 13: PubMed40404207

2025

Engineered expressing anti-PD-L1/IL-15 immunocytokine induces and activates specific antitumor immunity.

Applications

Unspecified application

Species

Unspecified reactive species

Yi Mei,Junmeng Zhu,Jie Shao,Lin Li,Fangcen Liu,Xiaoxuan Sha,Yang Yang,Jie Shen,Rutian Li,Baorui Liu

Advanced science (Weinheim, Baden-Wurttemberg, Germany) 12:e2406220 PubMed39757767

2025

RTN4IP1 Contributes to ESCC via Regulation of Amino Acid Transporters.

Applications

Unspecified application

Species

Unspecified reactive species

Huifang Wei,Dengyun Zhao,Yafei Zhi,Qiong Wu,Jing Ma,Jialuo Xu,Tingting Liu,Jing Zhang,Penglei Wang,Yamei Hu,Xinyu He,Fangqin Guo,Ming Jiang,Dandan Zhang,Wenna Nie,Ran Yang,Tongjin Zhao,Zigang Dong,Kangdong Liu

Cancer biology & therapy 25:2421578 PubMed39460738

2024

DLAT promotes triple-negative breast cancer progression via YAP1 activation.

Applications

Unspecified application

Species

Unspecified reactive species

Diya Liu,Xuehui Wang,Fengyuan Qian,Danrong Ye,Xiaochong Deng,Lin Fang

International journal of surgery (London, England) 110:7701-7719 PubMed39434688

2024

METTL16 inhibits pancreatic cancer proliferation and metastasis by promoting MROH8 RNA stability and inhibiting CAPN2 expression - experimental studies.

Applications

Unspecified application

Species

Unspecified reactive species

Tingzhuang Yi,Chunming Wang,Xia Ye,Jie Lin,Cheng Lin,Fengzhen Qin,Wanlin Yang,Yulu Ye,Dengchong Ning,Jinyan Lan,Huafu Li,Chunying Luo,Jian Ma,Zhongheng Wei

Environmental toxicology 39:4207-4220 PubMed38727079

2024

Functional mechanism of hypoxia-like conditions mediating resistance to ferroptosis in cervical cancer cells by regulating KDM4A SUMOylation and the SLC7A11/GPX4 pathway.

Applications

Unspecified application

Species

Unspecified reactive species

Jing Xiong,Puxiang Chen,Ling He,Xiaoshan Chai,Yongjing Zhang,Shujuan Sun

Journal of experimental & clinical cancer research : CR 43:7 PubMed38163859

2024

The feedback loop of EFTUD2/c-MYC impedes chemotherapeutic efficacy by enhancing EFTUD2 transcription and stabilizing c-MYC protein in colorectal cancer.

Applications

Unspecified application

Species

Unspecified reactive species

Xiaojian Zhu,Changxue Li,Yunfei Gao,Qingyuan Zhang,Tao Wang,Huaixiang Zhou,Fanqin Bu,Jia Chen,Xinjun Mao,Yulong He,Kaiming Wu,Ningning Li,Hongliang Luo

Virus evolution 8:veab106 PubMed35223082

2022

High recombination rate of hepatitis C virus revealed by a green fluorescent protein reconstitution cell system.

Applications

Unspecified application

Species

Unspecified reactive species

Andrea Galli,Ulrik Fahnøe,Jens Bukh

Cell death & disease 12:708 PubMed34267179

2021

MiR-195 inhibits the ubiquitination and degradation of YY1 by Smurf2, and induces EMT and cell permeability of retinal pigment epithelial cells.

Applications

Unspecified application

Species

Unspecified reactive species

Shu-Hua Fu,Mei-Chen Lai,Yun-Yao Zheng,Ya-Wen Sun,Jing-Jing Qiu,Fu Gui,Qian Zhang,Fei Liu

International journal of molecular medicine 47: PubMed33649815

2021

circNRIP1 facilitates keloid progression via FXR1‑mediated upregulation of miR‑503‑3p and miR‑503‑5p.

Applications

Unspecified application

Species

Unspecified reactive species

Baolin Wang,Hang Yin,Hongmei Zhang,Tiantian Wang

Molecular microbiology 116:154-167 PubMed33567150

2021

Characterization of DtrJ as an IncC plasmid conjugative DNA transfer component.

Applications

Unspecified application

Species

Unspecified reactive species

Steven J Hancock,Minh-Duy Phan,Leah W Roberts,Thu Ngoc Minh Vu,Patrick N A Harris,Scott A Beatson,Mark A Schembri
View all publications

Product promise

We are committed to supporting your work with high-quality reagents, and we're here for you every step of the way. In the unlikely event that one of our products does not perform as expected, you're protected by our Product Promise.
For full details, please see our Terms & Conditions

Please note: All products are 'FOR RESEARCH USE ONLY. NOT FOR USE IN DIAGNOSTIC OR THERAPEUTIC PROCEDURES'.

For licensing inquiries, please contact partnerships@abcam.com