JavaScript is disabled in your browser. Please enable JavaScript to view this website.
AB323745

Anti-DDR1 (phospho Y796) + DDR2 (phospho Y740) antibody [EPR28699-33] - BSA and Azide free

Be the first to review this product! Submit a review

|

(0 Publication)

Rabbit Recombinant Monoclonal CD167a/DDR1 phospho Y796 antibody. Carrier free. Suitable for Dot, IP, WB and reacts with Recombinant fragment - Human, Human samples.

View Alternative Names

CD167a, CAK, EDDR1, NEP, NTRK4, PTK3A, RTK6, TRKE, Epithelial discoidin domain-containing receptor 1, Epithelial discoidin domain receptor 1, CD167 antigen-like family member A, Cell adhesion kinase, Discoidin receptor tyrosine kinase, HGK2, Mammary carcinoma kinase 10, Protein-tyrosine kinase 3A, Protein-tyrosine kinase RTK-6, TRK E, Tyrosine kinase DDR, Tyrosine-protein kinase CAK, MCK-10

4 Images
Western blot - Anti-DDR1 (phospho Y796) + DDR2 (phospho Y740) antibody [EPR28699-33] - BSA and Azide free (AB323745)
  • WB

Supplier Data

Western blot - Anti-DDR1 (phospho Y796) + DDR2 (phospho Y740) antibody [EPR28699-33] - BSA and Azide free (AB323745)

This data was developed using ab322921, the same antibody clone in a different buffer formulation

Blocking and diluting buffer and concentration : 1% BSA/TBST.

In Western blot, Anti-GAPDH antibody [EPR16891] - Loading Control (ab181602) staining at 1/200000 dilution.

All lanes:

Western blot - Anti-DDR1 (phospho Y796) + DDR2 (phospho Y740) antibody [EPR28699-33] (<a href='/en-us/products/primary-antibodies/ddr1-phospho-y796-ddr2-phospho-y740-antibody-epr28699-33-ab322921'>ab322921</a>) at 1/1000 dilution

Lane 1:

Untreated T-47D (human ductal breast epithelial tumor epithelial cell) whole cell lysate (untreated membrane) at 10 µg

Lane 2:

T-47D treated with 20 &mu;g/ml Collagen I for 18 hours whole cell lysate (untreated membrane) at 10 µg

Lane 3:

T-47D treated with 20 &mu;g/ml Collagen I for 18 hours whole cell lysate (alkaline phosphatase treated membrane) at 10 µg

Secondary

All lanes:

Western blot - Goat Anti-Rabbit IgG H&L (HRP) (<a href='/en-us/products/secondary-antibodies/goat-rabbit-igg-h-l-hrp-ab97051'>ab97051</a>) at 1/20000 dilution

false

Exposure time: 37s

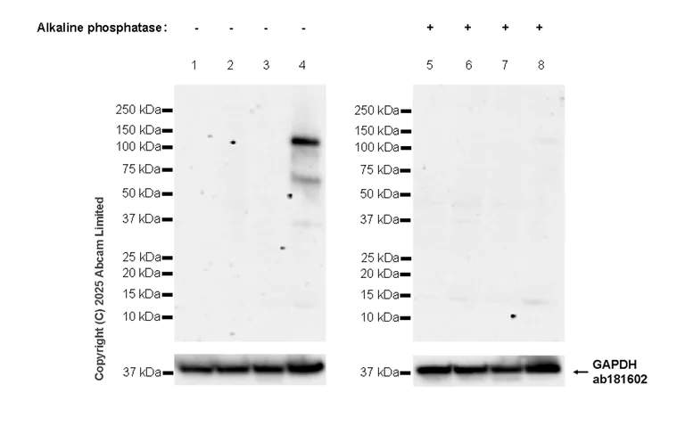
Western blot - Anti-DDR1 (phospho Y796) + DDR2 (phospho Y740) antibody [EPR28699-33] - BSA and Azide free (AB323745)
  • WB

Supplier Data

Western blot - Anti-DDR1 (phospho Y796) + DDR2 (phospho Y740) antibody [EPR28699-33] - BSA and Azide free (AB323745)

This data was developed using ab322921, the same antibody clone in a different buffer formulation

Blocking and diluting buffer and concentration : 1% BSA/TBST.

The band beneath the target band around 60KD is likely to be degraded target fragments.

In Western blot, Anti-GAPDH antibody [EPR16891] - Loading Control (ab181602) staining at 1/200000 dilution.

All lanes:

Western blot - Anti-DDR1 (phospho Y796) + DDR2 (phospho Y740) antibody [EPR28699-33] (<a href='/en-us/products/primary-antibodies/ddr1-phospho-y796-ddr2-phospho-y740-antibody-epr28699-33-ab322921'>ab322921</a>) at 1/1000 dilution

Lane 1:

Untreated DDR1 KO MCF7(FR200431) whole cell lysate (untreated membrane) at 10 µg

Lane 2:

DDR1 KO MCF7(FR200431) treated with 100uM pervanadate for 10 minutes whole cell lysate (untreated membrane) at 10 µg

Lane 3:

Untreated MCF7 whole cell lysate 10 &mu;g (untreated membrane) at 10 µg

Lane 4:

MCF7 treated with 100uM pervanadate for 10 minutes whole cell lysate (untreated membrane) at 10 µg

Lane 5:

Untreated DDR1 KO MCF7(FR200431) whole cell lysate (alkaline phosphatase treated membrane) at 10 µg

Lane 6:

DDR1 KO MCF7(FR200431) treated with 100uM pervanadate for 10 minutes whole cell lysate (alkaline phosphatase treated membrane) at 10 µg

Lane 7:

Untreated MCF7 whole cell lysate (alkaline phosphatase treated membrane) at 10 µg

Lane 8:

MCF7 treated with 100uM pervanadate for 10 minutes whole cell lysate (alkaline phosphatase treated membrane) at 10 µg

Secondary

All lanes:

Western blot - Goat Anti-Rabbit IgG H&L (HRP) (<a href='/en-us/products/secondary-antibodies/goat-rabbit-igg-h-l-hrp-ab97051'>ab97051</a>) at 1/20000 dilution

false

Exposure time: 103s

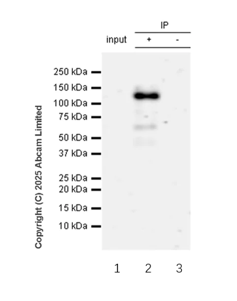
Immunoprecipitation - Anti-DDR1 (phospho Y796) + DDR2 (phospho Y740) antibody [EPR28699-33] - BSA and Azide free (AB323745)
  • IP

Supplier Data

Immunoprecipitation - Anti-DDR1 (phospho Y796) + DDR2 (phospho Y740) antibody [EPR28699-33] - BSA and Azide free (AB323745)

This data was developed using ab322921, the same antibody clone in a different buffer formulation.

DDR1 (phospho Y796) + DDR2 (phospho Y740) was immunoprecipitated from 0.35 mg T-47D treated with 20 ug/ml Collagen I for 18 hours whole cell lysate with ab322921 at 1/30 dilution (2ug in 0.35mg lysates). Western blot was performed on the immunoprecipitate using ab322921 at 1/1000 dilution.

Blocking and dilution buffer and concentration : 5% NFDM/TBST

All lanes:

Immunoprecipitation - Anti-DDR1 (phospho Y796) + DDR2 (phospho Y740) antibody [EPR28699-33] (<a href='/en-us/products/primary-antibodies/ddr1-phospho-y796-ddr2-phospho-y740-antibody-epr28699-33-ab322921'>ab322921</a>) at 1/1000 dilution

Lane 1:

T-47D treated with 20 ug/ml Collagen I for 18 hours whole cell lysate at 10 µg

Lane 2:

<a href='/en-us/products/primary-antibodies/ddr1-phospho-y796-ddr2-phospho-y740-antibody-epr28699-33-ab322921'>ab322921</a> at 1/30 IP in T-47D treated with 20 ug/ml Collagen I for 18 hours whole cell lysate at 10 µg

Lane 3:

Rabbit monoclonal IgG (<a href='/en-us/products/primary-antibodies/rabbit-igg-monoclonal-epr25a-isotype-control-ab172730'>ab172730</a>) instead of <a href='/en-us/products/primary-antibodies/ddr1-phospho-y796-ddr2-phospho-y740-antibody-epr28699-33-ab322921'>ab322921</a> in T-47D treated with 20 ug/ml Collagen I for 18 hours whole cell lysate at 10 µg

Secondary

All lanes:

Immunoprecipitation - Goat Anti-Rabbit IgG H&L (HRP) (<a href='/en-us/products/secondary-antibodies/goat-rabbit-igg-h-l-hrp-ab97051'>ab97051</a>) at 1/5000 dilution

false

Exposure time: 76s

Dot Blot - Anti-DDR1 (phospho Y796) + DDR2 (phospho Y740) antibody [EPR28699-33] - BSA and Azide free (AB323745)
  • Dot

Supplier Data

Dot Blot - Anti-DDR1 (phospho Y796) + DDR2 (phospho Y740) antibody [EPR28699-33] - BSA and Azide free (AB323745)

All lanes:

Dot Blot - Anti-DDR1 (phospho Y796) + DDR2 (phospho Y740) antibody [EPR28699-33] (<a href='/en-us/products/primary-antibodies/ddr1-phospho-y796-ddr2-phospho-y740-antibody-epr28699-33-ab322921'>ab322921</a>) at 1/1000 dilution

Lane 1:

Human DDR1 (pTyr796) recombinant fragment

Lane 2:

Human DDR2 (pY740) recombinant fragment

Lane 3:

Human DDR1 recombinant fragment

Lane 4:

Human DDR2 recombinant fragment

Secondary

All lanes:

Dot Blot - Goat Anti-Rabbit IgG H&L (HRP) (<a href='/en-us/products/secondary-antibodies/goat-rabbit-igg-h-l-hrp-ab97051'>ab97051</a>) at 1/100000 dilution

false

Exposure time: 180s

  • Unconjugated

    Anti-DDR1 (phospho Y796) + DDR2 (phospho Y740) antibody [EPR28699-33]

Key facts

Host species

Rabbit

Clonality

Monoclonal

Clone number

EPR28699-33

Isotype

IgG

Carrier free

Yes

Reacts with

Human

Applications

IP, Dot, WB

applications

Immunogen

The exact immunogen used to generate this antibody is proprietary information.

Reactivity data

{ "title": "Reactivity Data", "filters": { "stats": ["", "Species", "Dilution Info", "Notes"], "tabs": { "all-applications": {"fullname" : "All Applications", "shortname": "All Applications"}, "Dot" : {"fullname" : "Dot Blot", "shortname":"Dot"}, "IP" : {"fullname" : "Immunoprecipitation", "shortname":"IP"}, "WB" : {"fullname" : "Western blot", "shortname":"WB"}, "ICCIF" : {"fullname" : "Immunocytochemistry/ Immunofluorescence", "shortname":"ICC/IF"}, "IHCP" : {"fullname" : "Immunohistochemistry (Formalin/PFA-fixed paraffin-embedded sections)", "shortname":"IHC-P"} }, "product-promise": { "all": "all", "testedAndGuaranteed": "tested", "guaranteed": "expected", "predicted": "predicted", "notRecommended": "not-recommended" } }, "values": { "Human": { "Dot-species-checked": "guaranteed", "Dot-species-dilution-info": "", "Dot-species-notes": "", "IP-species-checked": "testedAndGuaranteed", "IP-species-dilution-info": "", "IP-species-notes": "<p></p>", "WB-species-checked": "testedAndGuaranteed", "WB-species-dilution-info": "", "WB-species-notes": "<p></p>", "ICCIF-species-checked": "notRecommended", "ICCIF-species-dilution-info": "", "ICCIF-species-notes": "<p></p>", "IHCP-species-checked": "notRecommended", "IHCP-species-dilution-info": "", "IHCP-species-notes": "<p></p>" }, "Mouse": { "Dot-species-checked": "notRecommended", "Dot-species-dilution-info": "", "Dot-species-notes": "", "IP-species-checked": "notRecommended", "IP-species-dilution-info": "", "IP-species-notes": "<p></p>", "WB-species-checked": "notRecommended", "WB-species-dilution-info": "", "WB-species-notes": "", "ICCIF-species-checked": "notRecommended", "ICCIF-species-dilution-info": "", "ICCIF-species-notes": "<p></p>", "IHCP-species-checked": "notRecommended", "IHCP-species-dilution-info": "", "IHCP-species-notes": "<p></p>" }, "Rat": { "Dot-species-checked": "notRecommended", "Dot-species-dilution-info": "", "Dot-species-notes": "", "IP-species-checked": "notRecommended", "IP-species-dilution-info": "", "IP-species-notes": "", "WB-species-checked": "notRecommended", "WB-species-dilution-info": "", "WB-species-notes": "", "ICCIF-species-checked": "notRecommended", "ICCIF-species-dilution-info": "", "ICCIF-species-notes": "", "IHCP-species-checked": "notRecommended", "IHCP-species-dilution-info": "", "IHCP-species-notes": "<p></p>" }, "Recombinant fragment - Human": { "Dot-species-checked": "testedAndGuaranteed", "Dot-species-dilution-info": "", "Dot-species-notes": "<p></p>", "IP-species-checked": "notRecommended", "IP-species-dilution-info": "", "IP-species-notes": "", "WB-species-checked": "notRecommended", "WB-species-dilution-info": "", "WB-species-notes": "", "ICCIF-species-checked": "notRecommended", "ICCIF-species-dilution-info": "", "ICCIF-species-notes": "", "IHCP-species-checked": "notRecommended", "IHCP-species-dilution-info": "", "IHCP-species-notes": "" } } }

Product details

ab323745 is the carrier free version of ab322921

Patented technology
Our RabMAb® technology is a patented hybridoma-based technology for making rabbit monoclonal antibodies. For details on our patents, please refer to RabMAb® patents.

What are the advantages of a recombinant monoclonal antibody?
This product is a recombinant monoclonal antibody, which offers several advantages including:

  • - High batch-to-batch consistency and reproducibility
  • - Improved sensitivity and specificity
  • - Long-term security of supply
  • - Animal-free batch production

For more information, read more on recombinant antibodies.

Conjugation ready
Our carrier-free antibodies are typically supplied in a PBS-only formulation, purified and free of BSA, sodium azide and glycerol. This conjugation-ready format is designed for use with fluorochromes, metal isotopes, oligonucleotides, and enzymes, which makes them ideal for antibody labelling, functional and cell-based assays, flow-based assays (e.g. mass cytometry) and Multiplex Imaging applications.

Use our conjugation kits for antibody conjugates that are ready-to-use in as little as 20 minutes with 1 minute hands-on-time and 100% antibody recovery: available for fluorescent dyes, HRP, biotin and gold.

Compatibility
This product is compatible with the Maxpar® Antibody Labeling Kit from Fluidigm, without the need for antibody preparation. Maxpar® is a trademark of Fluidigm Canada Inc.

Properties and storage information

Form
Liquid
Purification technique
Affinity purification Protein A
Storage buffer
pH: 7.2 - 7.4 Constituents: 100% PBS
Shipped at conditions
Blue Ice
Appropriate short-term storage conditions
+4°C
Appropriate long-term storage conditions
+4°C

Product protocols

For this product, it's our understanding that no specific protocols are required. You can visit:

Target data

Tyrosine kinase that functions as a cell surface receptor for fibrillar collagen and regulates cell attachment to the extracellular matrix, remodeling of the extracellular matrix, cell migration, differentiation, survival and cell proliferation. Collagen binding triggers a signaling pathway that involves SRC and leads to the activation of MAP kinases. Regulates remodeling of the extracellular matrix by up-regulation of the matrix metalloproteinases MMP2, MMP7 and MMP9, and thereby facilitates cell migration and wound healing. Required for normal blastocyst implantation during pregnancy, for normal mammary gland differentiation and normal lactation. Required for normal ear morphology and normal hearing (By similarity). Promotes smooth muscle cell migration, and thereby contributes to arterial wound healing. Also plays a role in tumor cell invasion. Phosphorylates PTPN11.
See full target information DDR1 phospho Y796

Additional targets

DDR2 phospho Y740

Product promise

We are committed to supporting your work with high-quality reagents, and we're here for you every step of the way. In the unlikely event that one of our products does not perform as expected, you're protected by our Product Promise.
For full details, please see our Terms & Conditions

Please note: All products are 'FOR RESEARCH USE ONLY. NOT FOR USE IN DIAGNOSTIC OR THERAPEUTIC PROCEDURES'.

For licensing inquiries, please contact partnerships@abcam.com