JavaScript is disabled in your browser. Please enable JavaScript to view this website.
AB70252

Anti-DDX1 antibody

5

(4 Reviews)

|

(3 Publications)

Rabbit Polyclonal DDX1 antibody. Suitable for IHC-P, IP, WB and reacts with Human, Mouse samples. Cited in 3 publications. Immunogen corresponding to Synthetic Peptide within Human DDX1.

View Alternative Names

ATP-dependent RNA helicase DDX1, DEAD box protein 1, DEAD box protein retinoblastoma, DBP-RB, DDX1

4 Images
Immunohistochemistry (Formalin/PFA-fixed paraffin-embedded sections) - Anti-DDX1 antibody (AB70252)
  • IHC-P

Supplier Data

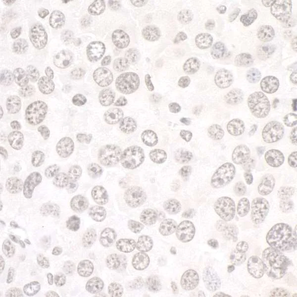
Immunohistochemistry (Formalin/PFA-fixed paraffin-embedded sections) - Anti-DDX1 antibody (AB70252)

Immunohistochemistry (Formalin/PFA-fixed paraffin-embedded sections) analysis of human ovarian seminoma tissue labelling DDX1 with ab70252 at 1/200 (1μg/ml). Detection : DAB.

Immunohistochemistry (Formalin/PFA-fixed paraffin-embedded sections) - Anti-DDX1 antibody (AB70252)
  • IHC-P

Supplier Data

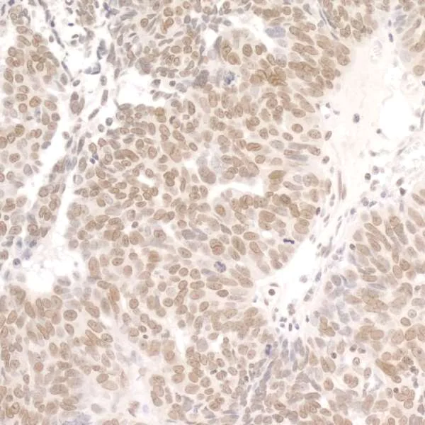
Immunohistochemistry (Formalin/PFA-fixed paraffin-embedded sections) - Anti-DDX1 antibody (AB70252)

Immunohistochemistry (Formalin/PFA-fixed paraffin-embedded sections) analysis of mouse renal seminoma tissue labelling DDX1 with ab70252 at 1/200 (1μg/ml). Detection : DAB.

Immunoprecipitation - Anti-DDX1 antibody (AB70252)
  • IP

Supplier Data

Immunoprecipitation - Anti-DDX1 antibody (AB70252)

All lanes:

Immunoprecipitation - Anti-DDX1 antibody (ab70252)

Predicted band size: 82 kDa

false

Exposure time: 1s

Western blot - Anti-DDX1 antibody (AB70252)
  • WB

Supplier Data

Western blot - Anti-DDX1 antibody (AB70252)

All lanes:

Western blot - Anti-DDX1 antibody (ab70252) at 0.1 µg/mL

Lane 1:

HeLa cell lysate at 50 µg

Lane 2:

HEK293T cell lysate at 50 µg

Lane 3:

NIH3T3 cell lysate at 50 µg

Predicted band size: 82 kDa

false

Exposure time: 1s

Key facts

Host species

Rabbit

Clonality

Polyclonal

Isotype

IgG

Carrier free

No

Reacts with

Mouse, Human

Applications

IHC-P, IP, WB

applications

Immunogen

Synthetic Peptide within Human DDX1. The exact immunogen used to generate this antibody is proprietary information.

Q92499

Reactivity data

{ "title": "Reactivity Data", "filters": { "stats": ["", "Species", "Dilution Info", "Notes"], "tabs": { "all-applications": {"fullname" : "All Applications", "shortname": "All Applications"}, "IHCP" : {"fullname" : "Immunohistochemistry (Formalin/PFA-fixed paraffin-embedded sections)", "shortname":"IHC-P"}, "IP" : {"fullname" : "Immunoprecipitation", "shortname":"IP"}, "WB" : {"fullname" : "Western blot", "shortname":"WB"} }, "product-promise": { "all": "all", "testedAndGuaranteed": "tested", "guaranteed": "expected", "predicted": "predicted", "notRecommended": "not-recommended" } }, "values": { "Human": { "IHCP-species-checked": "testedAndGuaranteed", "IHCP-species-dilution-info": "1/100 - 1/500", "IHCP-species-notes": "<p></p> Perform heat-mediated antigen retrieval with citrate buffer pH 6 before commencing with IHC staining protocol.", "IP-species-checked": "testedAndGuaranteed", "IP-species-dilution-info": "3-5 µg/mg of lysate", "IP-species-notes": "<p></p>", "WB-species-checked": "testedAndGuaranteed", "WB-species-dilution-info": "1/1000 - 1/10000", "WB-species-notes": "<p></p>" }, "Mouse": { "IHCP-species-checked": "guaranteed", "IHCP-species-dilution-info": "", "IHCP-species-notes": "", "IP-species-checked": "guaranteed", "IP-species-dilution-info": "", "IP-species-notes": "", "WB-species-checked": "testedAndGuaranteed", "WB-species-dilution-info": "1/1000 - 1/10000", "WB-species-notes": "<p></p>" }, "Rat": { "IHCP-species-checked": "predicted", "IHCP-species-dilution-info": "", "IHCP-species-notes": "", "IP-species-checked": "predicted", "IP-species-dilution-info": "", "IP-species-notes": "", "WB-species-checked": "predicted", "WB-species-dilution-info": "", "WB-species-notes": "" }, "Chicken": { "IHCP-species-checked": "predicted", "IHCP-species-dilution-info": "", "IHCP-species-notes": "", "IP-species-checked": "predicted", "IP-species-dilution-info": "", "IP-species-notes": "", "WB-species-checked": "predicted", "WB-species-dilution-info": "", "WB-species-notes": "" }, "Chimpanzee": { "IHCP-species-checked": "predicted", "IHCP-species-dilution-info": "", "IHCP-species-notes": "", "IP-species-checked": "predicted", "IP-species-dilution-info": "", "IP-species-notes": "", "WB-species-checked": "predicted", "WB-species-dilution-info": "", "WB-species-notes": "" }, "Cow": { "IHCP-species-checked": "predicted", "IHCP-species-dilution-info": "", "IHCP-species-notes": "", "IP-species-checked": "predicted", "IP-species-dilution-info": "", "IP-species-notes": "", "WB-species-checked": "predicted", "WB-species-dilution-info": "", "WB-species-notes": "" }, "Dog": { "IHCP-species-checked": "predicted", "IHCP-species-dilution-info": "", "IHCP-species-notes": "", "IP-species-checked": "predicted", "IP-species-dilution-info": "", "IP-species-notes": "", "WB-species-checked": "predicted", "WB-species-dilution-info": "", "WB-species-notes": "" }, "Gorilla": { "IHCP-species-checked": "predicted", "IHCP-species-dilution-info": "", "IHCP-species-notes": "", "IP-species-checked": "predicted", "IP-species-dilution-info": "", "IP-species-notes": "", "WB-species-checked": "predicted", "WB-species-dilution-info": "", "WB-species-notes": "" }, "Guinea pig": { "IHCP-species-checked": "predicted", "IHCP-species-dilution-info": "", "IHCP-species-notes": "", "IP-species-checked": "predicted", "IP-species-dilution-info": "", "IP-species-notes": "", "WB-species-checked": "predicted", "WB-species-dilution-info": "", "WB-species-notes": "" }, "Horse": { "IHCP-species-checked": "predicted", "IHCP-species-dilution-info": "", "IHCP-species-notes": "", "IP-species-checked": "predicted", "IP-species-dilution-info": "", "IP-species-notes": "", "WB-species-checked": "predicted", "WB-species-dilution-info": "", "WB-species-notes": "" }, "Orangutan": { "IHCP-species-checked": "predicted", "IHCP-species-dilution-info": "", "IHCP-species-notes": "", "IP-species-checked": "predicted", "IP-species-dilution-info": "", "IP-species-notes": "", "WB-species-checked": "predicted", "WB-species-dilution-info": "", "WB-species-notes": "" }, "Pig": { "IHCP-species-checked": "predicted", "IHCP-species-dilution-info": "", "IHCP-species-notes": "", "IP-species-checked": "predicted", "IP-species-dilution-info": "", "IP-species-notes": "", "WB-species-checked": "predicted", "WB-species-dilution-info": "", "WB-species-notes": "" }, "Rabbit": { "IHCP-species-checked": "predicted", "IHCP-species-dilution-info": "", "IHCP-species-notes": "", "IP-species-checked": "predicted", "IP-species-dilution-info": "", "IP-species-notes": "", "WB-species-checked": "predicted", "WB-species-dilution-info": "", "WB-species-notes": "" }, "Rhesus monkey": { "IHCP-species-checked": "predicted", "IHCP-species-dilution-info": "", "IHCP-species-notes": "", "IP-species-checked": "predicted", "IP-species-dilution-info": "", "IP-species-notes": "", "WB-species-checked": "predicted", "WB-species-dilution-info": "", "WB-species-notes": "" }, "Turkey": { "IHCP-species-checked": "predicted", "IHCP-species-dilution-info": "", "IHCP-species-notes": "", "IP-species-checked": "predicted", "IP-species-dilution-info": "", "IP-species-notes": "", "WB-species-checked": "predicted", "WB-species-dilution-info": "", "WB-species-notes": "" } } }

Properties and storage information

Form
Liquid
Purification technique
Affinity purification Immunogen
Storage buffer
pH: 6.8 - 7.4 Preservative: 0.09% Sodium azide Constituents: Tris buffered saline, 0.1% BSA
Shipped at conditions
Blue Ice
Appropriate short-term storage conditions
+4°C
Appropriate long-term storage conditions
+4°C
Aliquoting information
Upon delivery aliquot
Storage information
Avoid freeze / thaw cycle

Supplementary information

This supplementary information is collated from multiple sources and compiled automatically.

The protein DDX1 also known as DEAD-box helicase 1 is an RNA helicase with a mass of approximately 82 kDa. This protein facilitates the unwinding of RNA or RNA-DNA duplexes which is essential for various RNA metabolic processes. DDX1 possesses ATPase activity that fuels its helicase function enabling it to remodel RNA secondary structures. The protein is expressed in multiple tissues with significant expression observed in the nucleus and cytoplasm of cells.
Biological function summary

DDX1 plays a role in RNA processing and ribonucleoprotein complex formation. It participates in pre-mRNA splicing and ribosomal RNA processing contributing to efficient macromolecular synthesis. DDX1 associates with the Drosha-DGCR8 complex playing a role in microRNA biogenesis which is important for regulating gene expression. By aiding these processes DDX1 supports cellular growth and division which are fundamental to normal cellular function.

Pathways

DDX1 is involved in both RNA transport and processing pathways. In the RNA transport pathway it interacts with other proteins like Exportin-1 to mediate the translocation of RNA molecules between the nucleus and the cytoplasm. Within the RNA processing pathways DDX1 functions alongside proteins such as DDX5 to modulate splicing events that are vital for generating mature messenger RNAs. These pathways highlight DDX1's central role in managing RNA fate within the cell.

DDX1 has associations with certain cancers and neurological disorders. In particular its dysregulation is linked to neuroblastoma where altered DDX1 expression might affect cell proliferation. Additionally DDX1 interacts with BRCA1 during DNA repair processes implicating its potential involvement in breast cancer. Understanding DDX1's role in these conditions can help in exploring therapeutic strategies targeting its pathway interactions.

Product protocols

For this product, it's our understanding that no specific protocols are required. You can visit:

Target data

Acts as an ATP-dependent RNA helicase, able to unwind both RNA-RNA and RNA-DNA duplexes. Possesses 5' single-stranded RNA overhang nuclease activity. Possesses ATPase activity on various RNA, but not DNA polynucleotides. May play a role in RNA clearance at DNA double-strand breaks (DSBs), thereby facilitating the template-guided repair of transcriptionally active regions of the genome. Together with RELA, acts as a coactivator to enhance NF-kappa-B-mediated transcriptional activation. Acts as a positive transcriptional regulator of cyclin CCND2 expression. Binds to the cyclin CCND2 promoter region. Associates with chromatin at the NF-kappa-B promoter region via association with RELA. Binds to poly(A) RNA. May be involved in 3'-end cleavage and polyadenylation of pre-mRNAs. Component of the tRNA-splicing ligase complex required to facilitate the enzymatic turnover of catalytic subunit RTCB : together with archease (ZBTB8OS), acts by facilitating the guanylylation of RTCB, a key intermediate step in tRNA ligation (PubMed : 24870230). Component of a multi-helicase-TICAM1 complex that acts as a cytoplasmic sensor of viral double-stranded RNA (dsRNA) and plays a role in the activation of a cascade of antiviral responses including the induction of pro-inflammatory cytokines via the adapter molecule TICAM1. Specifically binds (via helicase ATP-binding domain) on both short and long poly(I : C) dsRNA (By similarity).. (Microbial infection) Required for HIV-1 Rev function as well as for HIV-1 and coronavirus IBV replication. Binds to the RRE sequence of HIV-1 mRNAs.. (Microbial infection) Required for Coronavirus IBV replication.
See full target information DDX1

Publications (3)

Recent publications for all applications. Explore the full list and refine your search

Nucleic acids research 53: PubMed40087883

2025

Armadillo domain of ARID1A directly interacts with DNA-PKcs to couple chromatin remodeling with nonhomologous end joining (NHEJ) pathway.

Applications

Unspecified application

Species

Unspecified reactive species

Shin-Ichiro Kanno,Takayasu Kobayashi,Reiko Watanabe,Akihiro Kurimasa,Kozo Tanaka,Akira Yasui,Ayako Ui

Cell biology international 45:580-598 PubMed33200434

2021

Comparative nuclear matrix proteome analysis of skeletal muscle cells in different cellular states.

Applications

Unspecified application

Species

Unspecified reactive species

Deepika Puri,Ch V B Swamy,Jyotsna Dhawan,Rakesh K Mishra

Genome research 28:1405-1414 PubMed30108179

2018

Human proteins that interact with RNA/DNA hybrids.

Applications

Unspecified application

Species

Unspecified reactive species

Isabel X Wang,Christopher Grunseich,Jennifer Fox,Joshua Burdick,Zhengwei Zhu,Niema Ravazian,Markus Hafner,Vivian G Cheung
View all publications

Product promise

We are committed to supporting your work with high-quality reagents, and we're here for you every step of the way. In the unlikely event that one of our products does not perform as expected, you're protected by our Product Promise.
For full details, please see our Terms & Conditions

Please note: All products are 'FOR RESEARCH USE ONLY. NOT FOR USE IN DIAGNOSTIC OR THERAPEUTIC PROCEDURES'.

For licensing inquiries, please contact partnerships@abcam.com