JavaScript is disabled in your browser. Please enable JavaScript to view this website.
AB243386

Anti-DDX10 antibody

Be the first to review this product! Submit a review

|

(1 Publication)

Rabbit Polyclonal DDX10 antibody. Suitable for IHC-P, ICC/IF and reacts with Human samples. Cited in 1 publication. Immunogen corresponding to Recombinant Fragment Protein within Human DDX10 aa 400-600.

View Alternative Names

Probable ATP-dependent RNA helicase DDX10, DEAD box protein 10, DDX10

2 Images
Immunocytochemistry/ Immunofluorescence - Anti-DDX10 antibody (AB243386)
  • ICC/IF

Supplier Data

Immunocytochemistry/ Immunofluorescence - Anti-DDX10 antibody (AB243386)

Immunocytochemistry/Immunofluorescence analysis of U-2 OS (Human bone osteosarcoma epithelial cell line) cells labeling DDX10 using ab243386 at 4 μg/ml (green). Nuclear probe is visualized in blue, microtubules in red.

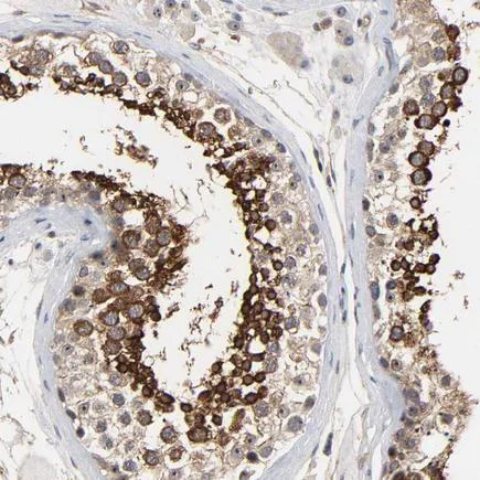
Immunohistochemistry (Formalin/PFA-fixed paraffin-embedded sections) - Anti-DDX10 antibody (AB243386)
  • IHC-P

Supplier Data

Immunohistochemistry (Formalin/PFA-fixed paraffin-embedded sections) - Anti-DDX10 antibody (AB243386)

Formalin-fixed, paraffin-embedded human testis tissue stained for DDX10 with ab243386 at a 1 : 50 dilution in immunohistochemical analysis.

Key facts

Host species

Rabbit

Clonality

Polyclonal

Isotype

IgG

Carrier free

No

Reacts with

Human

Applications

IHC-P, ICC/IF

applications

Immunogen

Recombinant Fragment Protein within Human DDX10 aa 400-600. The exact immunogen used to generate this antibody is proprietary information.

Q13206

Reactivity data

{ "title": "Reactivity Data", "filters": { "stats": ["", "Species", "Dilution Info", "Notes"], "tabs": { "all-applications": {"fullname" : "All Applications", "shortname": "All Applications"}, "IHCP" : {"fullname" : "Immunohistochemistry (Formalin/PFA-fixed paraffin-embedded sections)", "shortname":"IHC-P"}, "ICCIF" : {"fullname" : "Immunocytochemistry/ Immunofluorescence", "shortname":"ICC/IF"} }, "product-promise": { "all": "all", "testedAndGuaranteed": "tested", "guaranteed": "expected", "predicted": "predicted", "notRecommended": "not-recommended" } }, "values": { "Human": { "IHCP-species-checked": "testedAndGuaranteed", "IHCP-species-dilution-info": "1/50 - 1/200", "IHCP-species-notes": "<p></p> Perform heat-mediated antigen retrieval with citrate buffer pH 6 before commencing with IHC staining protocol.", "ICCIF-species-checked": "testedAndGuaranteed", "ICCIF-species-dilution-info": "0.25-2 µg/mL", "ICCIF-species-notes": "<p>Fixation/Permeabilization: PFA/Triton X-100.</p>" } } }

Properties and storage information

Form
Liquid
Purification technique
Affinity purification Immunogen
Storage buffer
pH: 7.2 Preservative: 0.02% Sodium azide Constituents: PBS, 40% Glycerol (glycerin, glycerine)
Shipped at conditions
Blue Ice
Appropriate short-term storage duration
1-2 weeks
Appropriate short-term storage conditions
+4°C
Appropriate long-term storage conditions
-20°C
Aliquoting information
Upon delivery aliquot
Storage information
Avoid freeze / thaw cycle

Supplementary information

This supplementary information is collated from multiple sources and compiled automatically.

DDX10 also known as DEAD box protein 10 functions as an RNA helicase assisting with the unwinding of RNA secondary structures. The protein has a mass of approximately 104 kDa. DDX10 is widely expressed in multiple tissues with higher levels in proliferative tissues. As part of the DEAD box protein family it plays a pivotal role in modulating the dynamics of RNA structures during various cellular processes.
Biological function summary

DDX10 contributes significantly to ribosome biogenesis and RNA processing. It participates in the assembly of ribonucleoprotein complexes ensuring proper assembly and maturation of ribosome subunits. DDX10 often associates with other nucleolar proteins forming complexes that regulate nucleolar activities. Its helicase activity facilitates the processing of ribosomal RNA precursors and affects ribosome production efficiency.

Pathways

DDX10 plays a role in the cell cycle and ribosome biogenesis pathways. It interacts with other proteins involved in ribosomal RNA synthesis including NOP56 and NOP58 raising efficiency rates within ribosome biogenesis pathways. Its involvement in these pathways reinforces its impact on cellular proliferation and growth. Additionally DDX10 integrates with components of the spliceosome highlighting its broader role in RNA metabolism.

DDX10 has associations with myelodysplastic syndromes and acute myeloid leukemia. Alterations in DDX10 expression or function can disrupt ribosome production influencing cell growth and differentiation in hematopoietic cells. In acute myeloid leukemia DDX10 sometimes forms fusion proteins with nucleophosmin (NPM1) which alters the normal molecular activities and contributes to oncogenesis. Understanding these interactions provides insights into potential therapeutic targets for related hematological conditions.

Product protocols

For this product, it's our understanding that no specific protocols are required. You can visit:

Target data

Putative ATP-dependent RNA helicase.
See full target information DDX10

Publications (1)

Recent publications for all applications. Explore the full list and refine your search

Cancer medicine 12:10738-10754 PubMed36880364

2023

Sulfotransferase 1C2 promotes hepatocellular carcinoma progression by enhancing glycolysis and fatty acid metabolism.

Applications

Unspecified application

Species

Unspecified reactive species

Liya Jiang,Fang Xu,Chenglong Li,Ting Liu,Qianwei Zhao,Yixian Liu,Ying Zhao,Yamei Li,Zhendong Zhang,Xiaolei Tang,Jintao Zhang
View all publications

Product promise

We are committed to supporting your work with high-quality reagents, and we're here for you every step of the way. In the unlikely event that one of our products does not perform as expected, you're protected by our Product Promise.
For full details, please see our Terms & Conditions

Please note: All products are 'FOR RESEARCH USE ONLY. NOT FOR USE IN DIAGNOSTIC OR THERAPEUTIC PROCEDURES'.

For licensing inquiries, please contact partnerships@abcam.com