JavaScript is disabled in your browser. Please enable JavaScript to view this website.
AB70184

Anti-DDX17 antibody

Be the first to review this product! Submit a review

|

(3 Publications)

Rabbit Polyclonal DDX17 antibody. Suitable for IHC-P, WB and reacts with Human, Mouse, Rat samples. Cited in 3 publications. Immunogen corresponding to Synthetic Peptide within Human DDX17.

View Alternative Names

Probable ATP-dependent RNA helicase DDX17, DEAD box protein 17, DEAD box protein p72, DEAD box protein p82, RNA-dependent helicase p72, DDX17

4 Images
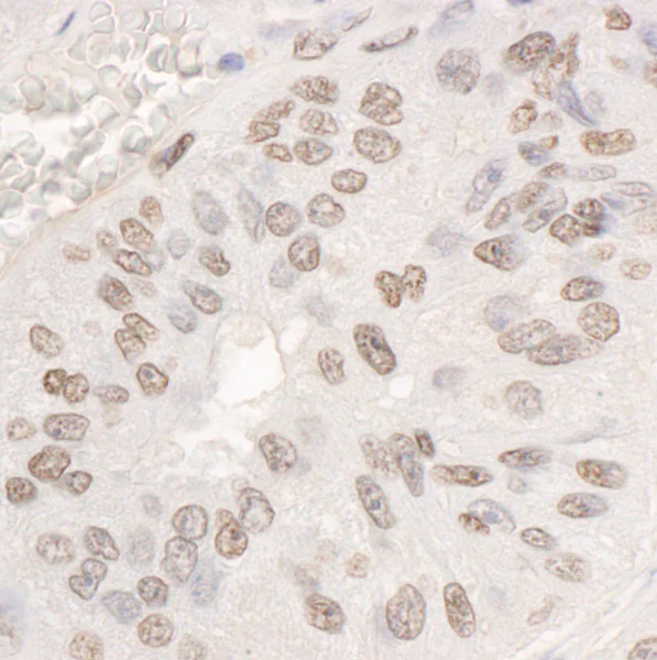
Immunohistochemistry (Formalin/PFA-fixed paraffin-embedded sections) - Anti-DDX17 antibody (AB70184)
  • IHC-P

Unknown

Immunohistochemistry (Formalin/PFA-fixed paraffin-embedded sections) - Anti-DDX17 antibody (AB70184)

Immunohistochemistry (Formalin/PFA-fixed paraffin-embedded sections) analysis of human ovarian carcinoma tissue labelling DDX17 with ab70184 at 1/1000 (1µg/ml). Detection : DAB.

Western blot - Anti-DDX17 antibody (AB70184)
  • WB

Supplier Data

Western blot - Anti-DDX17 antibody (AB70184)

All lanes:

Western blot - Anti-DDX17 antibody (ab70184) at 1 µg/mL

Lane 1:

HeLa whole cell lysate at 50 µg

Lane 2:

HeLa whole cell lysate at 15 µg

Predicted band size: 72 kDa

false

Exposure time: 1s

Western blot - Anti-DDX17 antibody (AB70184)
  • WB

Supplier Data

Western blot - Anti-DDX17 antibody (AB70184)

All lanes:

Western blot - Anti-DDX17 antibody (ab70184) at 1 µg/mL

Lane 1:

NIH/3T3 (mouse embryo fibroblast cell line) whole cell lysate at 50 µg

Lane 2:

TCMK-1 (mouse kidney epithelial cell line) whole cell lysate at 50 µg

Lane 3:

4T1 (Mouse mammary gland carcinoma cell line) whole cell lysate at 50 µg

Lane 4:

CT26.WT (Murine Colon Carcinoma) whole cell lysate at 50 µg

Lane 5:

C6 (rat glioma cell line) whole cell lysate at 50 µg

Predicted band size: 72 kDa

false

Exposure time: 3min

Western blot - Anti-DDX17 antibody (AB70184)
  • WB

CiteAb

Western blot - Anti-DDX17 antibody (AB70184)

DDX17 western blot using anti-DDX17 antibody ab70184. Publication image and figure legend from Fu, K., Tian, S., et al., 2019, BMC Biol, PubMed 31088452.

ab70184 was used in this publication in western blot. This may not be the same as the application(s) guaranteed by Abcam. For a full list of applications guaranteed by Abcam for ab70184 please see the product overview.

Identification of MOV10-interacting proteins in the nucleus. Western blot (a) and silver staining (b) of the MOV10 IP complex from nuclear lysate. c Gene ontology analysis of MOV10-associated proteins in the nucleus. d Nine MOV10-associated splicing-related proteins were selected for validation by IP-western blot assay. The piRNA pathway proteins MILI and MOV10L1 served as negative controls. e Venn diagram showing the cross analysis of four sets of MOV10 nuclear IP-MS data. The purple line marks 32 proteins that were reproducibly identified in IP using RIPA buffer without RNase treatment and at least one other IP with RNase treatment. f Gene ontology analysis of the 32 reproducible MOV10-assoicated proteins. g FLAG-MOV10 and HA-target (SRSF1, DDX5 or DDX17) were overexpressed in HEK293T cells, and IPs were performed by FLAG and HA antibodies, followed by western blot analysis

false

Key facts

Host species

Rabbit

Clonality

Polyclonal

Isotype

IgG

Carrier free

No

Reacts with

Human, Mouse, Rat

Applications

IHC-P, WB

applications

Immunogen

Synthetic Peptide within Human DDX17. The exact immunogen used to generate this antibody is proprietary information.

Q92841

Reactivity data

{ "title": "Reactivity Data", "filters": { "stats": ["", "Species", "Dilution Info", "Notes"], "tabs": { "all-applications": {"fullname" : "All Applications", "shortname": "All Applications"}, "IHCP" : {"fullname" : "Immunohistochemistry (Formalin/PFA-fixed paraffin-embedded sections)", "shortname":"IHC-P"}, "WB" : {"fullname" : "Western blot", "shortname":"WB"} }, "product-promise": { "all": "all", "testedAndGuaranteed": "tested", "guaranteed": "expected", "predicted": "predicted", "notRecommended": "not-recommended" } }, "values": { "Human": { "IHCP-species-checked": "testedAndGuaranteed", "IHCP-species-dilution-info": "1/500 - 1/2000", "IHCP-species-notes": "<p></p> Perform heat-mediated antigen retrieval with citrate buffer pH 6 before commencing with IHC staining protocol.", "WB-species-checked": "testedAndGuaranteed", "WB-species-dilution-info": "1/1000 - 1/15000", "WB-species-notes": "<p></p>" }, "Mouse": { "IHCP-species-checked": "guaranteed", "IHCP-species-dilution-info": "", "IHCP-species-notes": "", "WB-species-checked": "testedAndGuaranteed", "WB-species-dilution-info": "1/1000 - 1/15000", "WB-species-notes": "<p></p>" }, "Rat": { "IHCP-species-checked": "guaranteed", "IHCP-species-dilution-info": "", "IHCP-species-notes": "", "WB-species-checked": "testedAndGuaranteed", "WB-species-dilution-info": "1/1000 - 1/15000", "WB-species-notes": "<p></p>" }, "Bat": { "IHCP-species-checked": "predicted", "IHCP-species-dilution-info": "", "IHCP-species-notes": "", "WB-species-checked": "predicted", "WB-species-dilution-info": "", "WB-species-notes": "" }, "Chimpanzee": { "IHCP-species-checked": "predicted", "IHCP-species-dilution-info": "", "IHCP-species-notes": "", "WB-species-checked": "predicted", "WB-species-dilution-info": "", "WB-species-notes": "" }, "Dog": { "IHCP-species-checked": "predicted", "IHCP-species-dilution-info": "", "IHCP-species-notes": "", "WB-species-checked": "predicted", "WB-species-dilution-info": "", "WB-species-notes": "" }, "Gorilla": { "IHCP-species-checked": "predicted", "IHCP-species-dilution-info": "", "IHCP-species-notes": "", "WB-species-checked": "predicted", "WB-species-dilution-info": "", "WB-species-notes": "" }, "Orangutan": { "IHCP-species-checked": "predicted", "IHCP-species-dilution-info": "", "IHCP-species-notes": "", "WB-species-checked": "predicted", "WB-species-dilution-info": "", "WB-species-notes": "" }, "Rhesus monkey": { "IHCP-species-checked": "predicted", "IHCP-species-dilution-info": "", "IHCP-species-notes": "", "WB-species-checked": "predicted", "WB-species-dilution-info": "", "WB-species-notes": "" } } }

Properties and storage information

Form
Liquid
Purification technique
Affinity purification Immunogen
Purification notes
ab70184 was affinity purified using an epitope specific to DDX17 immobilized on solid support.
Storage buffer
pH: 7 - 8 Preservative: 0.09% Sodium azide Constituents: PBS, 1.815% Tris, 1.764% Sodium citrate
Shipped at conditions
Blue Ice
Appropriate short-term storage conditions
+4°C
Appropriate long-term storage conditions
-20°C
Aliquoting information
Upon delivery aliquot
Storage information
Avoid freeze / thaw cycle

Supplementary information

This supplementary information is collated from multiple sources and compiled automatically.

DDX17 also known as RNA helicase p72 is an enzyme that unwinds RNA molecules. It belongs to the DEAD-box protein family. Its mechanical action involves utilizing ATP to unwind RNA facilitating various RNA processing events. DDX17 weighs approximately 73 kDa making it a relatively large protein. The enzyme expresses in multiple tissues but shows substantial activity in HEK 293 cells a human embryonic kidney cell line.
Biological function summary

This enzyme plays a significant role in RNA metabolism. DDX17 is part of the spliceosome complex which is essential for splicing pre-mRNA into mature mRNA. Through its helicase activity DDX17 ensures the proper remodeling of RNA structures which is necessary for accurate splicing. The protein also contributes to the regulation of gene expression and has been observed to influence transcription factors.

Pathways

RNA processing and maturation are key biological functions of DDX17. The protein integrates into the mRNA splicing pathway where it orchestrates proper RNA folding and splice site selection. Furthermore DDX17 interacts with other DEAD-box proteins such as DDX5 to assist in chromatin remodeling and transcription regulation facilitating efficient gene expression.

Abnormal DDX17 expression or mutation links to certain cancers including breast cancer and leukemia. The protein along with DDX5 affects tumor progression by regulating pathways involved in cell proliferation. These pathways and protein interactions highlight the importance of DDX17 in maintaining normal cell function and its potential as a therapeutic target in cancer treatment.

Product protocols

For this product, it's our understanding that no specific protocols are required. You can visit:

Target data

As an RNA helicase, unwinds RNA and alters RNA structures through ATP binding and hydrolysis. Involved in multiple cellular processes, including pre-mRNA splicing, alternative splicing, ribosomal RNA processing and miRNA processing, as well as transcription regulation. Regulates the alternative splicing of exons exhibiting specific features (PubMed : 12138182, PubMed : 22266867, PubMed : 23022728, PubMed : 24910439). For instance, promotes the inclusion of AC-rich alternative exons in CD44 transcripts (PubMed : 12138182). This function requires the RNA helicase activity (PubMed : 12138182, PubMed : 22266867, PubMed : 23022728, PubMed : 24910439). Affects NFAT5 and histone macro-H2A.1/MACROH2A1 alternative splicing in a CDK9-dependent manner (PubMed : 22266867, PubMed : 26209609). In NFAT5, promotes the introduction of alternative exon 4, which contains 2 stop codons and may target NFAT5 exon 4-containing transcripts to nonsense-mediated mRNA decay, leading to the down-regulation of NFAT5 protein (PubMed : 22266867). Affects splicing of mediators of steroid hormone signaling pathway, including kinases that phosphorylates ESR1, such as CDK2, MAPK1 and GSK3B, and transcriptional regulators, such as CREBBP, MED1, NCOR1 and NCOR2. By affecting GSK3B splicing, participates in ESR1 and AR stabilization (PubMed : 24275493). In myoblasts and epithelial cells, cooperates with HNRNPH1 to control the splicing of specific subsets of exons (PubMed : 24910439). In addition to binding mature mRNAs, also interacts with certain pri-microRNAs, including MIR663/miR-663a, MIR99B/miR-99b, and MIR6087/miR-6087 (PubMed : 25126784). Binds pri-microRNAs on the 3' segment flanking the stem loop via the 5'-[ACG]CAUC[ACU]-3' consensus sequence (PubMed : 24581491). Required for the production of subsets of microRNAs, including MIR21 and MIR125B1 (PubMed : 24581491, PubMed : 27478153). May be involved not only in microRNA primary transcript processing, but also stabilization (By similarity). Participates in MYC down-regulation at high cell density through the production of MYC-targeting microRNAs (PubMed : 24581491). Along with DDX5, may be involved in the processing of the 32S intermediate into the mature 28S ribosomal RNA (PubMed : 17485482). Promoter-specific transcription regulator, functioning as a coactivator or corepressor depending on the context of the promoter and the transcriptional complex in which it exists (PubMed : 15298701). Enhances NFAT5 transcriptional activity (PubMed : 22266867). Synergizes with TP53 in the activation of the MDM2 promoter; this activity requires acetylation on lysine residues (PubMed : 17226766, PubMed : 19995069, PubMed : 20663877). May also coactivate MDM2 transcription through a TP53-independent pathway (PubMed : 17226766). Coactivates MMP7 transcription (PubMed : 17226766). Along with CTNNB1, coactivates MYC, JUN, FOSL1 and cyclin D1/CCND1 transcription (PubMed : 17699760). Alone or in combination with DDX5 and/or SRA1 non-coding RNA, plays a critical role in promoting the assembly of proteins required for the formation of the transcription initiation complex and chromatin remodeling leading to coactivation of MYOD1-dependent transcription. This helicase-independent activity is required for skeletal muscle cells to properly differentiate into myotubes (PubMed : 17011493, PubMed : 24910439). During epithelial-to-mesenchymal transition, coregulates SMAD-dependent transcriptional activity, directly controlling key effectors of differentiation, including miRNAs which in turn directly repress its expression (PubMed : 24910439). Plays a role in estrogen and testosterone signaling pathway at several levels. Mediates the use of alternative promoters in estrogen-responsive genes and regulates transcription and splicing of a large number of steroid hormone target genes (PubMed : 19995069, PubMed : 20406972, PubMed : 20663877, PubMed : 24275493). Contrary to splicing regulation activity, transcriptional coregulation of the estrogen receptor ESR1 is helicase-independent (PubMed : 19718048, PubMed : 24275493). Plays a role in innate immunity. Specifically restricts bunyavirus infection, including Rift Valley fever virus (RVFV) or La Crosse virus (LACV), but not vesicular stomatitis virus (VSV), in an interferon- and DROSHA-independent manner (PubMed : 25126784). Binds to RVFV RNA, likely via structured viral RNA elements (PubMed : 25126784). Promotes mRNA degradation mediated by the antiviral zinc-finger protein ZC3HAV1, in an ATPase-dependent manner (PubMed : 18334637).
See full target information DDX17

Publications (3)

Recent publications for all applications. Explore the full list and refine your search

BMC biology 17:39 PubMed31088452

2019

Biological and RNA regulatory function of MOV10 in mammalian germ cells.

Applications

Unspecified application

Species

Unspecified reactive species

Kaiqiang Fu,Suwen Tian,Huanhuan Tan,Caifeng Wang,Hanben Wang,Min Wang,Yuanyuan Wang,Zhen Chen,Yanfeng Wang,Qiuling Yue,Qiushi Xu,Shuya Zhang,Haixin Li,Jie Xie,Mingyan Lin,Mengcheng Luo,Feng Chen,Lan Ye,Ke Zheng

Molecular and cellular biology 35:2554-67 PubMed25963660

2015

Regulation of MicroRNA 183 by Cyclooxygenase 2 in Liver Is DEAD-Box Helicase p68 (DDX5) Dependent: Role in Insulin Signaling.

Applications

WB

Species

Unspecified reactive species

Omar Motiño,Daniel E Francés,Rafael Mayoral,Luis Castro-Sánchez,María Fernández-Velasco,Lisardo Boscá,Carmelo García-Monzón,Rocío Brea,Marta Casado,Noelia Agra,Paloma Martín-Sanz

Cell death and differentiation 21:1522-34 PubMed24926617

2014

p53-directed translational control can shape and expand the universe of p53 target genes.

Applications

Unspecified application

Species

Unspecified reactive species

S Zaccara,T Tebaldi,C Pederiva,Y Ciribilli,A Bisio,A Inga
View all publications

Product promise

We are committed to supporting your work with high-quality reagents, and we're here for you every step of the way. In the unlikely event that one of our products does not perform as expected, you're protected by our Product Promise.
For full details, please see our Terms & Conditions

Please note: All products are 'FOR RESEARCH USE ONLY. NOT FOR USE IN DIAGNOSTIC OR THERAPEUTIC PROCEDURES'.

For licensing inquiries, please contact partnerships@abcam.com