JavaScript is disabled in your browser. Please enable JavaScript to view this website.
AB180190

Anti-DDX17 antibody [EPR13807(B)]

  • RabMAb
  • Recombinant
  • KO Validated
  • 20ul selling size
  • What is this?

Be the first to review this product! Submit a review

|

(11 Publications)

Rabbit Recombinant Monoclonal DDX17 antibody. C-terminal. Suitable for IHC-P, WB, ICC/IF, Flow Cyt (Intra) and reacts with Human, Mouse, Rat samples. Cited in 11 publications.

View Alternative Names

Probable ATP-dependent RNA helicase DDX17, DEAD box protein 17, DEAD box protein p72, DEAD box protein p82, RNA-dependent helicase p72, DDX17

8 Images
Immunohistochemistry (Formalin/PFA-fixed paraffin-embedded sections) - Anti-DDX17 antibody [EPR13807(B)] (AB180190)
  • IHC-P

Lab

Immunohistochemistry (Formalin/PFA-fixed paraffin-embedded sections) - Anti-DDX17 antibody [EPR13807(B)] (AB180190)

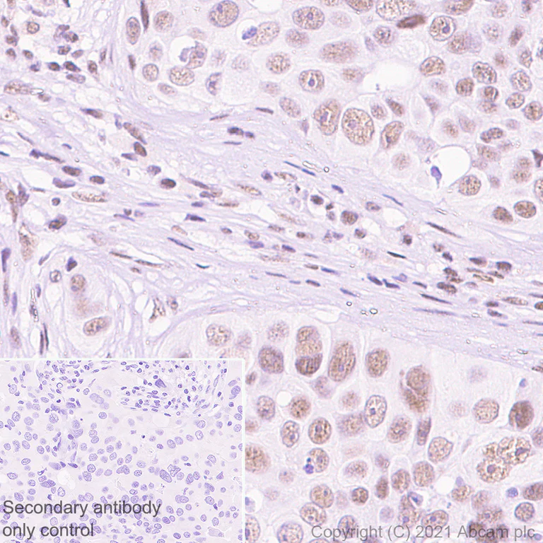
Immunohistochemistry (Formalin/PFA-fixed paraffin-embedded sections) analysis of human breast carcinoma tissue sections labeling DDX17 with Purified ab180190 at 1 : 5000 dilution (0.02 μg/ml). Heat mediated antigen retrieval was performed using . Tissue was counterstained with Hematoxylin. Perform heat mediated antigen retrieval using ab93684 (Tris/EDTA buffer, pH 9.0) secondary antibody was used at 1 : 0 dilution. PBS instead of the primary antibody was used as the negative control.

Immunocytochemistry/ Immunofluorescence - Anti-DDX17 antibody [EPR13807(B)] (AB180190)
  • ICC/IF

Lab

Immunocytochemistry/ Immunofluorescence - Anti-DDX17 antibody [EPR13807(B)] (AB180190)

Immunocytochemistry analysis of MCF7 (Human breast adenocarcinoma epithelial cell) cells labeling DDX17 with Purified ab180190 at 1 : 50 dilution (2 μg/ml). Cells were fixed in 100% Methanol and permeabilized with 0.1% tritonX-100. Cells were counterstained with ab195889 Anti-alpha Tubulin antibody [DM1A] - Microtubule Marker (Alexa Fluor® 594) 1 : 200 (2.5 μg/ml). Goat anti rabbit IgG (Alexa Fluor® 488, ab150077) was used as the secondary antibody at 1 : 1000 (2 μg/ml) dilution. DAPI (blue) was used as nuclear counterstain. PBS instead of the primary antibody was used as the secondary antibody only control.

Flow Cytometry (Intracellular) - Anti-DDX17 antibody [EPR13807(B)] (AB180190)
  • Flow Cyt (Intra)

Lab

Flow Cytometry (Intracellular) - Anti-DDX17 antibody [EPR13807(B)] (AB180190)

Flow Cytometry analysis of J774A.1 (Mouse reticulum cell sarcoma monocyte macrophage, Left) / NIH/3T3 (Mouse embryonic fibroblast, Right) cells labelling DDX17 with Purified ab180190 at 1 : 20 dilution (10 μg/ml) (Red). Cells were fixed with 4% Paraformaldehyde and permeabilised with 90% Methanol. A Goat anti rabbit IgG (Alexa Fluor® 488, ab150077) secondary antibody was used at 1 : 2000. Isotype control - Rabbit monoclonal IgG (Black). Unlabelled control - Cell without incubation with primary antibody and secondary antibody (Blue).

Immunohistochemistry (Formalin/PFA-fixed paraffin-embedded sections) - Anti-DDX17 antibody [EPR13807(B)] (AB180190)
  • IHC-P

Lab

Immunohistochemistry (Formalin/PFA-fixed paraffin-embedded sections) - Anti-DDX17 antibody [EPR13807(B)] (AB180190)

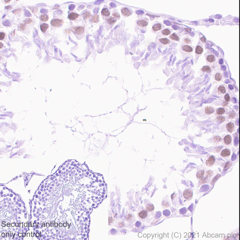
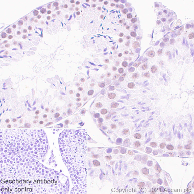
Immunohistochemistry (Formalin/PFA-fixed paraffin-embedded sections) analysis of rat testis tissue sections labeling DDX17 with Purified ab180190 at 1 : 5000 dilution (0.02 μg/ml). Heat mediated antigen retrieval was performed using . Tissue was counterstained with Hematoxylin. Perform heat mediated antigen retrieval using ab93684 (Tris/EDTA buffer, pH 9.0) secondary antibody was used at 1 : 0 dilution. PBS instead of the primary antibody was used as the negative control.

Immunohistochemistry (Formalin/PFA-fixed paraffin-embedded sections) - Anti-DDX17 antibody [EPR13807(B)] (AB180190)
  • IHC-P

Lab

Immunohistochemistry (Formalin/PFA-fixed paraffin-embedded sections) - Anti-DDX17 antibody [EPR13807(B)] (AB180190)

Immunohistochemistry (Formalin/PFA-fixed paraffin-embedded sections) analysis of mouse testis tissue sections labeling DDX17 with Purified ab180190 at 1 : 5000 dilution (0.02 μg/ml). Heat mediated antigen retrieval was performed using . Tissue was counterstained with Hematoxylin. Perform heat mediated antigen retrieval using ab93684 (Tris/EDTA buffer, pH 9.0) secondary antibody was used at 1 : 0 dilution. PBS instead of the primary antibody was used as the negative control.

Western blot - Anti-DDX17 antibody [EPR13807(B)] (AB180190)
  • WB

Lab

Western blot - Anti-DDX17 antibody [EPR13807(B)] (AB180190)

Blocking and diluting buffer and concentration : 5% NFDM/TBST

Exposure time : 6 s

All lanes:

Western blot - Anti-DDX17 antibody [EPR13807(B)] (ab180190) at 1/1000 dilution

Lane 1:

HeLa (Human colorectal adenocarcinoma epithelial cell) cell lysate at 10 µg

Lane 2:

Mouse embryo lysate at 10 µg

Lane 3:

NIH/3T3 (Mouse embryonic fibroblast) cell lysate at 10 µg

Lane 4:

J774A.1 (Mouse reticulum cell sarcoma monocyte macrophage) cell lysate at 10 µg

Lane 5:

RAW264.7 (Mouse Abelson murine leukemia virus-induced tumor macrophage) cell lysate at 10 µg

Lane 6:

C2C12 (Mouse myoblasts myoblast) cell lysate at 10 µg

Secondary

All lanes:

Western blot - Goat Anti-Rabbit IgG H&L (HRP) (<a href='/en-us/products/secondary-antibodies/goat-rabbit-igg-h-l-hrp-ab97051'>ab97051</a>) at 1/20000 dilution

Predicted band size: 72 kDa

Observed band size: 72 kDa

false

Western blot - Anti-DDX17 antibody [EPR13807(B)] (AB180190)
  • WB

Lab

Western blot - Anti-DDX17 antibody [EPR13807(B)] (AB180190)

Lanes 1 - 4 : Merged signal (red and green). Green - ab180190 observed at 72 kDa. Red - loading control, ab8245, observed at 37 kDa.

ab180190 was shown to recognize DDX17 in wild-type HEK 293 cells as signal was lost at the expected MW in DDX17 knockout cells. Additional cross-reactive bands were observed in the wild-type and knockout cells. Wild-type and DDX17 knockout samples were subjected to SDS-PAGE. The membrane was blocked with 3% Milk. ab180190 and ab8245 (Mouse anti-GAPDH loading control) were incubated overnight at 4°C at 1/5000 dilution and 1/20000 dilution respectively. Blots were developed with Goat anti-Rabbit IgG H&L (IRDye® 800CW) preabsorbed ab216773 and Goat anti-Mouse IgG H&L (IRDye® 680RD) preabsorbed ab216776 secondary antibodies at 1/20000 dilution for 1 hour at room temperature before imaging.

All lanes:

Western blot - Anti-DDX17 antibody [EPR13807(B)] (ab180190) at 1/5000 dilution

Lane 1:

Wild-type HEK-293 (Human epithelial cell line from embryonic kidney) whole cell lysate at 20 µg

Lane 2:

DDX17 knockout HEK-293 (Human epithelial cell line from embryonic kidney) whole cell lysate at 20 µg

Lane 2:

Western blot - Human DDX17 knockout HEK-293 cell line (<a href='/en-us/products/cell-lines/human-ddx17-knockout-hek-293-cell-line-ab261721'>ab261721</a>)

Lane 3:

HeLa (Human epithelial cell line from cervix adenocarcinoma) whole cell lysate at 20 µg

Predicted band size: 72 kDa

false

Western blot - Anti-DDX17 antibody [EPR13807(B)] (AB180190)
  • WB

Unknown

Western blot - Anti-DDX17 antibody [EPR13807(B)] (AB180190)

All lanes:

Western blot - Anti-DDX17 antibody [EPR13807(B)] (ab180190) at 1/1000 dilution

Lane 1:

HEK-293 (Human embryonic kidney epithelial cell) whole cell lysate at 20 µg

Lane 2:

MCF7 (Human breast adenocarcinoma epithelial cell) whole cell lysate at 20 µg

Lane 3:

Rat brain lysate at 20 µg

Lane 4:

Rat testis lysate at 20 µg

Secondary

All lanes:

Western blot - Goat Anti-Rabbit IgG H&L (HRP) (<a href='/en-us/products/secondary-antibodies/goat-rabbit-igg-h-l-hrp-ab97051'>ab97051</a>) at 1/20000 dilution

Predicted band size: 72 kDa

false

Key facts

Host species

Rabbit

Clonality

Monoclonal

Clone number

EPR13807(B)

Isotype

IgG

Carrier free

No

Reacts with

Mouse, Human, Rat

Applications

Flow Cyt (Intra), WB, IHC-P, ICC/IF

applications

Immunogen

The exact immunogen used to generate this antibody is proprietary information.

Reactivity data

{ "title": "Reactivity Data", "filters": { "stats": ["", "Species", "Dilution Info", "Notes"], "tabs": { "all-applications": {"fullname" : "All Applications", "shortname": "All Applications"}, "IHCP" : {"fullname" : "Immunohistochemistry (Formalin/PFA-fixed paraffin-embedded sections)", "shortname":"IHC-P"}, "IP" : {"fullname" : "Immunoprecipitation", "shortname":"IP"}, "WB" : {"fullname" : "Western blot", "shortname":"WB"}, "ICCIF" : {"fullname" : "Immunocytochemistry/ Immunofluorescence", "shortname":"ICC/IF"}, "FlowCytIntra" : {"fullname" : "Flow Cytometry (Intracellular)", "shortname":"Flow Cyt (Intra)"} }, "product-promise": { "all": "all", "testedAndGuaranteed": "tested", "guaranteed": "expected", "predicted": "predicted", "notRecommended": "not-recommended" } }, "values": { "Human": { "IHCP-species-checked": "testedAndGuaranteed", "IHCP-species-dilution-info": "1/5000", "IHCP-species-notes": "<p>Antigen retrieval is recommended.</p> Perform heat-mediated antigen retrieval with citrate buffer pH 6 before commencing with IHC staining protocol.", "IP-species-checked": "notRecommended", "IP-species-dilution-info": "", "IP-species-notes": "<p></p>", "WB-species-checked": "testedAndGuaranteed", "WB-species-dilution-info": "1/1000", "WB-species-notes": "<p></p>", "ICCIF-species-checked": "testedAndGuaranteed", "ICCIF-species-dilution-info": "1/50", "ICCIF-species-notes": "<p></p>", "FlowCytIntra-species-checked": "guaranteed", "FlowCytIntra-species-dilution-info": "", "FlowCytIntra-species-notes": "" }, "Mouse": { "IHCP-species-checked": "testedAndGuaranteed", "IHCP-species-dilution-info": "1/5000", "IHCP-species-notes": "<p>Antigen retrieval is recommended.</p> Perform heat-mediated antigen retrieval with citrate buffer pH 6 before commencing with IHC staining protocol.", "IP-species-checked": "notRecommended", "IP-species-dilution-info": "", "IP-species-notes": "<p></p>", "WB-species-checked": "testedAndGuaranteed", "WB-species-dilution-info": "1/1000", "WB-species-notes": "<p></p>", "ICCIF-species-checked": "notRecommended", "ICCIF-species-dilution-info": "1/50", "ICCIF-species-notes": "<p></p>", "FlowCytIntra-species-checked": "testedAndGuaranteed", "FlowCytIntra-species-dilution-info": "1/20", "FlowCytIntra-species-notes": "<p><a href='/en-us/products/primary-antibodies/rabbit-igg-monoclonal-epr25a-isotype-control-ab172730'>ab172730</a> - Rabbit monoclonal IgG, is suitable for use as an isotype control with this antibody.</p>" }, "Rat": { "IHCP-species-checked": "testedAndGuaranteed", "IHCP-species-dilution-info": "1/5000", "IHCP-species-notes": "<p>Antigen retrieval is recommended.</p> Perform heat-mediated antigen retrieval with citrate buffer pH 6 before commencing with IHC staining protocol.", "IP-species-checked": "notRecommended", "IP-species-dilution-info": "", "IP-species-notes": "<p></p>", "WB-species-checked": "testedAndGuaranteed", "WB-species-dilution-info": "1/1000", "WB-species-notes": "<p></p>", "ICCIF-species-checked": "guaranteed", "ICCIF-species-dilution-info": "", "ICCIF-species-notes": "", "FlowCytIntra-species-checked": "guaranteed", "FlowCytIntra-species-dilution-info": "", "FlowCytIntra-species-notes": "" } } }

Product details

Patented technology
Our RabMAb® technology is a patented hybridoma-based technology for making rabbit monoclonal antibodies. For details on our patents, please refer to RabMAb® patents.

What are the advantages of a recombinant monoclonal antibody?
This product is a recombinant monoclonal antibody, which offers several advantages including:

  • - High batch-to-batch consistency and reproducibility
  • - Improved sensitivity and specificity
  • - Long-term security of supply
  • - Animal-free batch production

For more information, read more on recombinant antibodies.

Properties and storage information

Form
Liquid
Purification technique
Affinity purification Protein A
Storage buffer
pH: 7.2 - 7.4 Preservative: 0.01% Sodium azide Constituents: PBS, 40% Glycerol (glycerin, glycerine), 0.05% BSA
Shipped at conditions
Blue Ice
Appropriate short-term storage duration
1-2 weeks
Appropriate short-term storage conditions
+4°C
Appropriate long-term storage conditions
-20°C
Aliquoting information
Upon delivery aliquot
Storage information
Avoid freeze / thaw cycle

Supplementary information

This supplementary information is collated from multiple sources and compiled automatically.

DDX17 also known as RNA helicase p72 is an enzyme that unwinds RNA molecules. It belongs to the DEAD-box protein family. Its mechanical action involves utilizing ATP to unwind RNA facilitating various RNA processing events. DDX17 weighs approximately 73 kDa making it a relatively large protein. The enzyme expresses in multiple tissues but shows substantial activity in HEK 293 cells a human embryonic kidney cell line.
Biological function summary

This enzyme plays a significant role in RNA metabolism. DDX17 is part of the spliceosome complex which is essential for splicing pre-mRNA into mature mRNA. Through its helicase activity DDX17 ensures the proper remodeling of RNA structures which is necessary for accurate splicing. The protein also contributes to the regulation of gene expression and has been observed to influence transcription factors.

Pathways

RNA processing and maturation are key biological functions of DDX17. The protein integrates into the mRNA splicing pathway where it orchestrates proper RNA folding and splice site selection. Furthermore DDX17 interacts with other DEAD-box proteins such as DDX5 to assist in chromatin remodeling and transcription regulation facilitating efficient gene expression.

Abnormal DDX17 expression or mutation links to certain cancers including breast cancer and leukemia. The protein along with DDX5 affects tumor progression by regulating pathways involved in cell proliferation. These pathways and protein interactions highlight the importance of DDX17 in maintaining normal cell function and its potential as a therapeutic target in cancer treatment.

Product protocols

For this product, it's our understanding that no specific protocols are required. You can visit:

Target data

As an RNA helicase, unwinds RNA and alters RNA structures through ATP binding and hydrolysis. Involved in multiple cellular processes, including pre-mRNA splicing, alternative splicing, ribosomal RNA processing and miRNA processing, as well as transcription regulation. Regulates the alternative splicing of exons exhibiting specific features (PubMed : 12138182, PubMed : 22266867, PubMed : 23022728, PubMed : 24910439). For instance, promotes the inclusion of AC-rich alternative exons in CD44 transcripts (PubMed : 12138182). This function requires the RNA helicase activity (PubMed : 12138182, PubMed : 22266867, PubMed : 23022728, PubMed : 24910439). Affects NFAT5 and histone macro-H2A.1/MACROH2A1 alternative splicing in a CDK9-dependent manner (PubMed : 22266867, PubMed : 26209609). In NFAT5, promotes the introduction of alternative exon 4, which contains 2 stop codons and may target NFAT5 exon 4-containing transcripts to nonsense-mediated mRNA decay, leading to the down-regulation of NFAT5 protein (PubMed : 22266867). Affects splicing of mediators of steroid hormone signaling pathway, including kinases that phosphorylates ESR1, such as CDK2, MAPK1 and GSK3B, and transcriptional regulators, such as CREBBP, MED1, NCOR1 and NCOR2. By affecting GSK3B splicing, participates in ESR1 and AR stabilization (PubMed : 24275493). In myoblasts and epithelial cells, cooperates with HNRNPH1 to control the splicing of specific subsets of exons (PubMed : 24910439). In addition to binding mature mRNAs, also interacts with certain pri-microRNAs, including MIR663/miR-663a, MIR99B/miR-99b, and MIR6087/miR-6087 (PubMed : 25126784). Binds pri-microRNAs on the 3' segment flanking the stem loop via the 5'-[ACG]CAUC[ACU]-3' consensus sequence (PubMed : 24581491). Required for the production of subsets of microRNAs, including MIR21 and MIR125B1 (PubMed : 24581491, PubMed : 27478153). May be involved not only in microRNA primary transcript processing, but also stabilization (By similarity). Participates in MYC down-regulation at high cell density through the production of MYC-targeting microRNAs (PubMed : 24581491). Along with DDX5, may be involved in the processing of the 32S intermediate into the mature 28S ribosomal RNA (PubMed : 17485482). Promoter-specific transcription regulator, functioning as a coactivator or corepressor depending on the context of the promoter and the transcriptional complex in which it exists (PubMed : 15298701). Enhances NFAT5 transcriptional activity (PubMed : 22266867). Synergizes with TP53 in the activation of the MDM2 promoter; this activity requires acetylation on lysine residues (PubMed : 17226766, PubMed : 19995069, PubMed : 20663877). May also coactivate MDM2 transcription through a TP53-independent pathway (PubMed : 17226766). Coactivates MMP7 transcription (PubMed : 17226766). Along with CTNNB1, coactivates MYC, JUN, FOSL1 and cyclin D1/CCND1 transcription (PubMed : 17699760). Alone or in combination with DDX5 and/or SRA1 non-coding RNA, plays a critical role in promoting the assembly of proteins required for the formation of the transcription initiation complex and chromatin remodeling leading to coactivation of MYOD1-dependent transcription. This helicase-independent activity is required for skeletal muscle cells to properly differentiate into myotubes (PubMed : 17011493, PubMed : 24910439). During epithelial-to-mesenchymal transition, coregulates SMAD-dependent transcriptional activity, directly controlling key effectors of differentiation, including miRNAs which in turn directly repress its expression (PubMed : 24910439). Plays a role in estrogen and testosterone signaling pathway at several levels. Mediates the use of alternative promoters in estrogen-responsive genes and regulates transcription and splicing of a large number of steroid hormone target genes (PubMed : 19995069, PubMed : 20406972, PubMed : 20663877, PubMed : 24275493). Contrary to splicing regulation activity, transcriptional coregulation of the estrogen receptor ESR1 is helicase-independent (PubMed : 19718048, PubMed : 24275493). Plays a role in innate immunity. Specifically restricts bunyavirus infection, including Rift Valley fever virus (RVFV) or La Crosse virus (LACV), but not vesicular stomatitis virus (VSV), in an interferon- and DROSHA-independent manner (PubMed : 25126784). Binds to RVFV RNA, likely via structured viral RNA elements (PubMed : 25126784). Promotes mRNA degradation mediated by the antiviral zinc-finger protein ZC3HAV1, in an ATPase-dependent manner (PubMed : 18334637).
See full target information DDX17

Publications (11)

Recent publications for all applications. Explore the full list and refine your search

Clinical and experimental medicine 25:283 PubMed40775333

2025

METTL3 stabilizes DDX17 mRNA via IGF2BP2-mediated m6A modification to suppress endometrial cancer progression.

Applications

Unspecified application

Species

Unspecified reactive species

Yuan Zhang,Mengjun Liu,Jing Liu,Jing Zhang

PLoS pathogens 21:e1013009 PubMed40257982

2025

RNA helicases, DDX5 and DDX17, facilitate lytic reactivation of gammaherpesviruses.

Applications

Unspecified application

Species

Unspecified reactive species

Praneet Kaur Sandhu,Blossom Damania

International journal of biological sciences 21:1342-1360 PubMed39897048

2025

DDX17-Mediated Upregulation of CXCL8 Promotes Hepatocellular Carcinoma Progression Co-activating β-catenin/NF-κB Complex.

Applications

Unspecified application

Species

Unspecified reactive species

Hui Liu,Xiaoliang Gao,Wenyao Zhang,Xin Fu,Jing Zhang,Qiangqiang Yuan,Jing Jin,Xinyu Du,Renlong Li,Yan Li,Jun Yu,Qiujin Zhang,Xianchun Gao,Liang Zhang,Yuwei Ling,Jing Wu,Lin Wang,Jinliang Xing,Fulin Chen,Yongzhan Nie

Clinical and translational medicine 15:e70118 PubMed39731281

2024

The antiarthritic effect of CBR-470-1 in hypoxic environment is to increase the level of NOD-like receptor family pyrin domain containing 3 ubiquitination by decreasing phosphoglycerate kinase 1 activity.

Applications

Unspecified application

Species

Unspecified reactive species

Ao Duan,Zemeng Ma,Xiaolong Shao,Zhencheng Xiong,Chaoyi Zhang,Wenzheng Liu,Guanglin Wang,Shouye Hu,Wei Lin

Nature microbiology 9:1256-1270 PubMed38649412

2024

Interferon-induced transmembrane protein-1 competitively blocks Ephrin receptor A2-mediated Epstein-Barr virus entry into epithelial cells.

Applications

Unspecified application

Species

Unspecified reactive species

Yinggui Yang,Tengteng Ding,Ying Cong,Xiaomin Luo,Changlin Liu,Ting Gong,Min Zhao,Xichun Zheng,Chenglin Li,Yuanbin Zhang,Jiayi Zhou,Chuping Ni,Xueyu Zhang,Ziliang Ji,Tao Wu,Shaodong Yang,Qingchun Zhou,Dinglan Wu,Xinqi Gong,Qingyou Zheng,Xin Li

Proceedings of the National Academy of Sciences of the United States of America 120:e2220148120 PubMed37216506

2023

ARL6IP1 mediates small-molecule-induced alleviation of Alzheimer pathology through FXR1-dependent BACE1 translation initiation.

Applications

Unspecified application

Species

Unspecified reactive species

Gui-Feng Zhou,Jing Tang,Yuan-Lin Ma,Xian Fu,Jun-Yan Liu,Ren-Zhi Yang,Hong-Sheng Zhang,Xiang-Hai Cai,Jing-Wen Wang,Xiao-Yong Xie,Li Song,Biao Luo,Jian Chen,Long Chen,Xiao-Juan Deng,Guo-Jun Chen

Brain sciences 13: PubMed37239217

2023

DEAD-Box Helicase 17 Promotes Amyloidogenesis by Regulating BACE1 Translation.

Applications

Unspecified application

Species

Unspecified reactive species

Yue Liu,Guifeng Zhou,Li Song,Qixin Wen,Shiqi Xie,Long Chen,Lu Wang,Xiaoyong Xie,Xue Chen,Yalan Pu,Guojun Chen

Cell cycle (Georgetown, Tex.) 22:1101-1115 PubMed36740902

2023

Hsa_circ_0063329 inhibits prostate cancer growth and metastasis by modulating the miR-605-5p/tgif2 axis.

Applications

Unspecified application

Species

Unspecified reactive species

Daojun Lv,Shengren Cen,Shuxin Yang,Zihao Zou,Jianfeng Zhong,Zhaojun Pan,Nan Deng,Yubin Li,Kaihui Wu,Jiamin Wang,Ping Liu

Current protocols 1:e180 PubMed34165886

2021

CAGE-prox: A Unified Approach for Time-Resolved Protein Activation in Living Systems.

Applications

Unspecified application

Species

Unspecified reactive species

Jie Wang,Yuan Liu,Yanjun Liu,Chu Wang,Peng R Chen

EMBO reports 22:e50128 PubMed33605073

2021

N(6)-methyladenosine-binding protein YTHDF1 suppresses EBV replication and promotes EBV RNA decay.

Applications

Unspecified application

Species

Unspecified reactive species

Tian-Liang Xia,Xingyang Li,Xueping Wang,Yun-Jia Zhu,Hua Zhang,Weisheng Cheng,Mei-Ling Chen,Ying Ye,Yan Li,Ao Zhang,Dan-Ling Dai,Qian-Ying Zhu,Li Yuan,Jian Zheng,Huilin Huang,Si-Qi Chen,Zhi-Wen Xiao,Hong-Bo Wang,Gaurab Roy,Qian Zhong,Dongxin Lin,Yi-Xin Zeng,Jinkai Wang,Bo Zhao,Benjamin E Gewurz,Jianjun Chen,Zhixiang Zuo,Mu-Sheng Zeng
View all publications

Product promise

We are committed to supporting your work with high-quality reagents, and we're here for you every step of the way. In the unlikely event that one of our products does not perform as expected, you're protected by our Product Promise.
For full details, please see our Terms & Conditions

Please note: All products are 'FOR RESEARCH USE ONLY. NOT FOR USE IN DIAGNOSTIC OR THERAPEUTIC PROCEDURES'.

For licensing inquiries, please contact partnerships@abcam.com