JavaScript is disabled in your browser. Please enable JavaScript to view this website.
AB250190

Anti-DDX17 antibody [EPR13807(B)] - BSA and Azide free

Be the first to review this product! Submit a review

|

(0 Publication)

Rabbit Recombinant Monoclonal DDX17 antibody. Carrier free. Suitable for IHC-P, ICC/IF, WB, Flow Cyt (Intra) and reacts with Human, Mouse, Rat samples.

View Alternative Names

Probable ATP-dependent RNA helicase DDX17, DEAD box protein 17, DEAD box protein p72, DEAD box protein p82, RNA-dependent helicase p72, DDX17

8 Images
Western blot - Anti-DDX17 antibody [EPR13807(B)] - BSA and Azide free (AB250190)
  • WB

Lab

Western blot - Anti-DDX17 antibody [EPR13807(B)] - BSA and Azide free (AB250190)

This data was developed using ab180190, the same antibody clone in a different buffer formulation.

Lanes 1 - 4 : Merged signal (red and green). Green - ab180190 observed at 72 kDa. Red - loading control, ab8245, observed at 37 kDa.

ab180190 was shown to recognize DDX17 in wild-type HEK 293 cells as signal was lost at the expected MW in DDX17 knockout cells. Additional cross-reactive bands were observed in the wild-type and knockout cells. Wild-type and DDX17 knockout samples were subjected to SDS-PAGE. The membrane was blocked with 3% Milk. ab180190 and ab8245 (Mouse anti-GAPDH loading control) were incubated overnight at 4°C at 1/5000 dilution and 1/20000 dilution respectively. Blots were developed with Goat anti-Rabbit IgG H&L (IRDye® 800CW) preabsorbed ab216773 and Goat anti-Mouse IgG H&L (IRDye® 680RD) preabsorbed ab216776 secondary antibodies at 1/20000 dilution for 1 hour at room temperature before imaging.

All lanes:

Western blot - Anti-DDX17 antibody [EPR13807(B)] (<a href='/en-us/products/primary-antibodies/ddx17-antibody-epr13807b-ab180190'>ab180190</a>) at 1/5000 dilution

Lane 1:

Wild-type HEK-293 (Human epithelial cell line from embryonic kidney) whole cell lysate at 20 µg

Lane 2:

DDX17 knockout HEK-293 (Human epithelial cell line from embryonic kidney) whole cell lysate at 20 µg

Lane 2:

Western blot - Human DDX17 knockout HEK-293 cell line (<a href='/en-us/products/cell-lines/human-ddx17-knockout-hek-293-cell-line-ab261721'>ab261721</a>)

Lane 3:

HeLa (Human epithelial cell line from cervix adenocarcinoma) whole cell lysate at 20 µg

Predicted band size: 72 kDa

false

Flow Cytometry (Intracellular) - Anti-DDX17 antibody [EPR13807(B)] - BSA and Azide free (AB250190)
  • Flow Cyt (Intra)

Lab

Flow Cytometry (Intracellular) - Anti-DDX17 antibody [EPR13807(B)] - BSA and Azide free (AB250190)

This data was developed using ab250190, the same antibody clone in a different buffer formulation.
Flow Cytometry analysis of J774A.1 (Mouse reticulum cell sarcoma monocyte macrophage, Left) / NIH/3T3 (Mouse embryonic fibroblast, Right) cells labelling DDX17 with Purified ab250190 at 1 : 20 dilution (10μg/ml) (Red). Cells were fixed with 4% Paraformaldehyde and permeabilised with 90% Methanol. A Goat anti rabbit IgG (Alexa Fluor® 488, ab150077) secondary antibody was used at 1 : 2000. Isotype control - Rabbit monoclonal IgG (Black). Unlabelled control - Cell without incubation with primary antibody and secondary antibody (Blue).

Immunocytochemistry/ Immunofluorescence - Anti-DDX17 antibody [EPR13807(B)] - BSA and Azide free (AB250190)
  • ICC/IF

Lab

Immunocytochemistry/ Immunofluorescence - Anti-DDX17 antibody [EPR13807(B)] - BSA and Azide free (AB250190)

This data was developed using ab250190, the same antibody clone in a different buffer formulation.
Immunocytochemistry analysis of MCF7 (Human breast adenocarcinoma epithelial cell) cells labeling DDX17 with Purified ab250190 at 1 : 50 dilution (2 μg/ml). Cells were fixed in 100% Methanol and permeabilized with 0.1% tritonX-100. Cells were counterstained with ab195889 Anti-alpha Tubulin antibody [DM1A] - Microtubule Marker (Alexa Fluor® 594) 1 : 200 (2.5 μg/ml). Goat anti rabbit IgG (Alexa Fluor® 488, ab150077) was used as the secondary antibody at 1 : 1000 (2 μg/ml) dilution. DAPI (blue) was used as nuclear counterstain. PBS instead of the primary antibody was used as the secondary antibody only control.

Immunohistochemistry (Formalin/PFA-fixed paraffin-embedded sections) - Anti-DDX17 antibody [EPR13807(B)] - BSA and Azide free (AB250190)
  • IHC-P

Lab

Immunohistochemistry (Formalin/PFA-fixed paraffin-embedded sections) - Anti-DDX17 antibody [EPR13807(B)] - BSA and Azide free (AB250190)

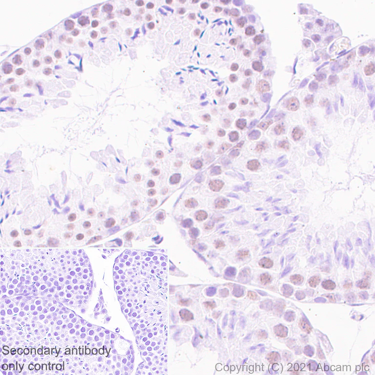
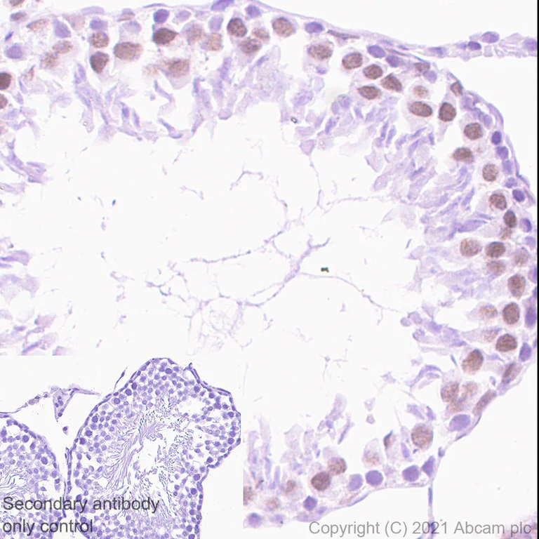
This data was developed using ab180190, the same antibody clone in a different buffer formulation.
Immunohistochemistry (Formalin/PFA-fixed paraffin-embedded sections) analysis of rat testis tissue sections labeling DDX17 with Purified ab180190 at 1 : 5000 dilution (0.02 μg/ml). Heat mediated antigen retrieval was performed using . Tissue was counterstained with Hematoxylin. Perform heat mediated antigen retrieval using ab93684 (Tris/EDTA buffer, pH 9.0) secondary antibody was used at 1 : 0 dilution. PBS instead of the primary antibody was used as the negative control.

Immunohistochemistry (Formalin/PFA-fixed paraffin-embedded sections) - Anti-DDX17 antibody [EPR13807(B)] - BSA and Azide free (AB250190)
  • IHC-P

Lab

Immunohistochemistry (Formalin/PFA-fixed paraffin-embedded sections) - Anti-DDX17 antibody [EPR13807(B)] - BSA and Azide free (AB250190)

This data was developed using ab180190, the same antibody clone in a different buffer formulation.
Immunohistochemistry (Formalin/PFA-fixed paraffin-embedded sections) analysis of human breast carcinoma tissue sections labeling DDX17 with Purified ab180190 at 1 : 5000 dilution (0.02 μg/ml). Heat mediated antigen retrieval was performed using . Tissue was counterstained with Hematoxylin. Perform heat mediated antigen retrieval using ab93684 (Tris/EDTA buffer, pH 9.0) secondary antibody was used at 1 : 0 dilution. PBS instead of the primary antibody was used as the negative control.

Immunohistochemistry (Formalin/PFA-fixed paraffin-embedded sections) - Anti-DDX17 antibody [EPR13807(B)] - BSA and Azide free (AB250190)
  • IHC-P

Lab

Immunohistochemistry (Formalin/PFA-fixed paraffin-embedded sections) - Anti-DDX17 antibody [EPR13807(B)] - BSA and Azide free (AB250190)

This data was developed using ab180190, the same antibody clone in a different buffer formulation.
Immunohistochemistry (Formalin/PFA-fixed paraffin-embedded sections) analysis of mouse testis tissue sections labeling DDX17 with Purified ab180190 at 1 : 5000 dilution (0.02 μg/ml). Heat mediated antigen retrieval was performed using . Tissue was counterstained with Hematoxylin. Perform heat mediated antigen retrieval using ab93684 (Tris/EDTA buffer, pH 9.0) secondary antibody was used at 1 : 0 dilution. PBS instead of the primary antibody was used as the negative control.

Western blot - Anti-DDX17 antibody [EPR13807(B)] - BSA and Azide free (AB250190)
  • WB

Unknown

Western blot - Anti-DDX17 antibody [EPR13807(B)] - BSA and Azide free (AB250190)

All lanes:

Western blot - Anti-DDX17 antibody [EPR13807(B)] (<a href='/en-us/products/primary-antibodies/ddx17-antibody-epr13807b-ab180190'>ab180190</a>) at 1/1000 dilution

Lane 1:

HEK-293 (Human embryonic kidney epithelial cell) whole cell lysate at 20 µg

Lane 2:

MCF7 (Human breast adenocarcinoma epithelial cell) whole cell lysate at 20 µg

Lane 3:

Rat brain lysate at 20 µg

Lane 4:

Rat testis lysate at 20 µg

Secondary

All lanes:

Western blot - Goat Anti-Rabbit IgG H&L (HRP) (<a href='/en-us/products/secondary-antibodies/goat-rabbit-igg-h-l-hrp-ab97051'>ab97051</a>) at 1/20000 dilution

Predicted band size: 72 kDa

false

Western blot - Anti-DDX17 antibody [EPR13807(B)] - BSA and Azide free (AB250190)
  • WB

Lab

Western blot - Anti-DDX17 antibody [EPR13807(B)] - BSA and Azide free (AB250190)

This data was developed using ab180190, the same antibody clone in a different buffer formulation.

Blocking and dilution buffer : 5% NFDM/TBST.

Exposure time : 6 seconds.

All lanes:

Western blot - Anti-DDX17 antibody [EPR13807(B)] (<a href='/en-us/products/primary-antibodies/ddx17-antibody-epr13807b-ab180190'>ab180190</a>) at 1/1000 dilution

Lane 1:

HeLa (Human colorectal adenocarcinoma epithelial cell) cell lysate at 10 µg

Lane 2:

Mouse embryo lysate at 10 µg

Lane 3:

NIH/3T3 (Mouse embryonic fibroblast) cell lysate at 10 µg

Lane 4:

J774A.1 (Mouse reticulum cell sarcoma monocyte macrophage) cell lysate at 10 µg

Lane 5:

RAW264.7 (Mouse Abelson murine leukemia virus-induced tumor macrophage) cell lysate at 10 µg

Lane 6:

C2C12 (Mouse myoblasts myoblast) cell lysate at 10 µg

Secondary

All lanes:

Western blot - Goat Anti-Rabbit IgG H&L (HRP) (<a href='/en-us/products/secondary-antibodies/goat-rabbit-igg-h-l-hrp-ab97051'>ab97051</a>) at 1/20000 dilution

Predicted band size: 72 kDa

Observed band size: 72 kDa

false

Key facts

Host species

Rabbit

Clonality

Monoclonal

Clone number

EPR13807(B)

Isotype

IgG

Carrier free

Yes

Reacts with

Mouse, Human, Rat

Applications

Flow Cyt (Intra), ICC/IF, WB, IHC-P

applications

Immunogen

The exact immunogen used to generate this antibody is proprietary information.

Reactivity data

{ "title": "Reactivity Data", "filters": { "stats": ["", "Species", "Dilution Info", "Notes"], "tabs": { "all-applications": {"fullname" : "All Applications", "shortname": "All Applications"}, "IHCP" : {"fullname" : "Immunohistochemistry (Formalin/PFA-fixed paraffin-embedded sections)", "shortname":"IHC-P"}, "ICCIF" : {"fullname" : "Immunocytochemistry/ Immunofluorescence", "shortname":"ICC/IF"}, "IP" : {"fullname" : "Immunoprecipitation", "shortname":"IP"}, "WB" : {"fullname" : "Western blot", "shortname":"WB"}, "FlowCytIntra" : {"fullname" : "Flow Cytometry (Intracellular)", "shortname":"Flow Cyt (Intra)"} }, "product-promise": { "all": "all", "testedAndGuaranteed": "tested", "guaranteed": "expected", "predicted": "predicted", "notRecommended": "not-recommended" } }, "values": { "Human": { "IHCP-species-checked": "testedAndGuaranteed", "IHCP-species-dilution-info": "", "IHCP-species-notes": "<p>Antigen retrieval is recommended.</p> Perform heat-mediated antigen retrieval with citrate buffer pH 6 before commencing with IHC staining protocol.", "ICCIF-species-checked": "testedAndGuaranteed", "ICCIF-species-dilution-info": "", "ICCIF-species-notes": "<p></p>", "IP-species-checked": "notRecommended", "IP-species-dilution-info": "", "IP-species-notes": "<p></p>", "WB-species-checked": "testedAndGuaranteed", "WB-species-dilution-info": "", "WB-species-notes": "<p></p>", "FlowCytIntra-species-checked": "guaranteed", "FlowCytIntra-species-dilution-info": "", "FlowCytIntra-species-notes": "" }, "Mouse": { "IHCP-species-checked": "testedAndGuaranteed", "IHCP-species-dilution-info": "", "IHCP-species-notes": "<p>Antigen retrieval is recommended.</p> Perform heat-mediated antigen retrieval with citrate buffer pH 6 before commencing with IHC staining protocol.", "ICCIF-species-checked": "guaranteed", "ICCIF-species-dilution-info": "", "ICCIF-species-notes": "", "IP-species-checked": "notRecommended", "IP-species-dilution-info": "", "IP-species-notes": "<p></p>", "WB-species-checked": "testedAndGuaranteed", "WB-species-dilution-info": "", "WB-species-notes": "<p></p>", "FlowCytIntra-species-checked": "testedAndGuaranteed", "FlowCytIntra-species-dilution-info": "", "FlowCytIntra-species-notes": "<p></p>" }, "Rat": { "IHCP-species-checked": "testedAndGuaranteed", "IHCP-species-dilution-info": "", "IHCP-species-notes": "<p>Antigen retrieval is recommended.</p> Perform heat-mediated antigen retrieval with citrate buffer pH 6 before commencing with IHC staining protocol.", "ICCIF-species-checked": "guaranteed", "ICCIF-species-dilution-info": "", "ICCIF-species-notes": "", "IP-species-checked": "notRecommended", "IP-species-dilution-info": "", "IP-species-notes": "<p></p>", "WB-species-checked": "testedAndGuaranteed", "WB-species-dilution-info": "", "WB-species-notes": "<p></p>", "FlowCytIntra-species-checked": "guaranteed", "FlowCytIntra-species-dilution-info": "", "FlowCytIntra-species-notes": "" } } }

Product details

ab250190 is the carrier-free version of ab180190.

Patented technology
Our RabMAb® technology is a patented hybridoma-based technology for making rabbit monoclonal antibodies. For details on our patents, please refer to RabMAb® patents.

What are the advantages of a recombinant monoclonal antibody?
This product is a recombinant monoclonal antibody, which offers several advantages including:

  • - High batch-to-batch consistency and reproducibility
  • - Improved sensitivity and specificity
  • - Long-term security of supply
  • - Animal-free batch production

For more information, read more on recombinant antibodies.

Conjugation ready
Our carrier-free antibodies are typically supplied in a PBS-only formulation, purified and free of BSA, sodium azide and glycerol. This conjugation-ready format is designed for use with fluorochromes, metal isotopes, oligonucleotides, and enzymes, which makes them ideal for antibody labelling, functional and cell-based assays, flow-based assays (e.g. mass cytometry) and Multiplex Imaging applications.

Use our conjugation kits for antibody conjugates that are ready-to-use in as little as 20 minutes with 1 minute hands-on-time and 100% antibody recovery: available for fluorescent dyes, HRP, biotin and gold.

Compatibility
This product is compatible with the Maxpar® Antibody Labeling Kit from Fluidigm, without the need for antibody preparation. Maxpar® is a trademark of Fluidigm Canada Inc.

Properties and storage information

Form
Liquid
Purification technique
Affinity purification Protein A
Storage buffer
pH: 7.2 - 7.4 Constituents: 100% PBS
Shipped at conditions
Blue Ice
Appropriate short-term storage conditions
+4°C
Appropriate long-term storage conditions
+4°C
Storage information
Do Not Freeze

Supplementary information

This supplementary information is collated from multiple sources and compiled automatically.

DDX17 also known as RNA helicase p72 is an enzyme that unwinds RNA molecules. It belongs to the DEAD-box protein family. Its mechanical action involves utilizing ATP to unwind RNA facilitating various RNA processing events. DDX17 weighs approximately 73 kDa making it a relatively large protein. The enzyme expresses in multiple tissues but shows substantial activity in HEK 293 cells a human embryonic kidney cell line.
Biological function summary

This enzyme plays a significant role in RNA metabolism. DDX17 is part of the spliceosome complex which is essential for splicing pre-mRNA into mature mRNA. Through its helicase activity DDX17 ensures the proper remodeling of RNA structures which is necessary for accurate splicing. The protein also contributes to the regulation of gene expression and has been observed to influence transcription factors.

Pathways

RNA processing and maturation are key biological functions of DDX17. The protein integrates into the mRNA splicing pathway where it orchestrates proper RNA folding and splice site selection. Furthermore DDX17 interacts with other DEAD-box proteins such as DDX5 to assist in chromatin remodeling and transcription regulation facilitating efficient gene expression.

Abnormal DDX17 expression or mutation links to certain cancers including breast cancer and leukemia. The protein along with DDX5 affects tumor progression by regulating pathways involved in cell proliferation. These pathways and protein interactions highlight the importance of DDX17 in maintaining normal cell function and its potential as a therapeutic target in cancer treatment.

Product protocols

For this product, it's our understanding that no specific protocols are required. You can visit:

Target data

As an RNA helicase, unwinds RNA and alters RNA structures through ATP binding and hydrolysis. Involved in multiple cellular processes, including pre-mRNA splicing, alternative splicing, ribosomal RNA processing and miRNA processing, as well as transcription regulation. Regulates the alternative splicing of exons exhibiting specific features (PubMed : 12138182, PubMed : 22266867, PubMed : 23022728, PubMed : 24910439). For instance, promotes the inclusion of AC-rich alternative exons in CD44 transcripts (PubMed : 12138182). This function requires the RNA helicase activity (PubMed : 12138182, PubMed : 22266867, PubMed : 23022728, PubMed : 24910439). Affects NFAT5 and histone macro-H2A.1/MACROH2A1 alternative splicing in a CDK9-dependent manner (PubMed : 22266867, PubMed : 26209609). In NFAT5, promotes the introduction of alternative exon 4, which contains 2 stop codons and may target NFAT5 exon 4-containing transcripts to nonsense-mediated mRNA decay, leading to the down-regulation of NFAT5 protein (PubMed : 22266867). Affects splicing of mediators of steroid hormone signaling pathway, including kinases that phosphorylates ESR1, such as CDK2, MAPK1 and GSK3B, and transcriptional regulators, such as CREBBP, MED1, NCOR1 and NCOR2. By affecting GSK3B splicing, participates in ESR1 and AR stabilization (PubMed : 24275493). In myoblasts and epithelial cells, cooperates with HNRNPH1 to control the splicing of specific subsets of exons (PubMed : 24910439). In addition to binding mature mRNAs, also interacts with certain pri-microRNAs, including MIR663/miR-663a, MIR99B/miR-99b, and MIR6087/miR-6087 (PubMed : 25126784). Binds pri-microRNAs on the 3' segment flanking the stem loop via the 5'-[ACG]CAUC[ACU]-3' consensus sequence (PubMed : 24581491). Required for the production of subsets of microRNAs, including MIR21 and MIR125B1 (PubMed : 24581491, PubMed : 27478153). May be involved not only in microRNA primary transcript processing, but also stabilization (By similarity). Participates in MYC down-regulation at high cell density through the production of MYC-targeting microRNAs (PubMed : 24581491). Along with DDX5, may be involved in the processing of the 32S intermediate into the mature 28S ribosomal RNA (PubMed : 17485482). Promoter-specific transcription regulator, functioning as a coactivator or corepressor depending on the context of the promoter and the transcriptional complex in which it exists (PubMed : 15298701). Enhances NFAT5 transcriptional activity (PubMed : 22266867). Synergizes with TP53 in the activation of the MDM2 promoter; this activity requires acetylation on lysine residues (PubMed : 17226766, PubMed : 19995069, PubMed : 20663877). May also coactivate MDM2 transcription through a TP53-independent pathway (PubMed : 17226766). Coactivates MMP7 transcription (PubMed : 17226766). Along with CTNNB1, coactivates MYC, JUN, FOSL1 and cyclin D1/CCND1 transcription (PubMed : 17699760). Alone or in combination with DDX5 and/or SRA1 non-coding RNA, plays a critical role in promoting the assembly of proteins required for the formation of the transcription initiation complex and chromatin remodeling leading to coactivation of MYOD1-dependent transcription. This helicase-independent activity is required for skeletal muscle cells to properly differentiate into myotubes (PubMed : 17011493, PubMed : 24910439). During epithelial-to-mesenchymal transition, coregulates SMAD-dependent transcriptional activity, directly controlling key effectors of differentiation, including miRNAs which in turn directly repress its expression (PubMed : 24910439). Plays a role in estrogen and testosterone signaling pathway at several levels. Mediates the use of alternative promoters in estrogen-responsive genes and regulates transcription and splicing of a large number of steroid hormone target genes (PubMed : 19995069, PubMed : 20406972, PubMed : 20663877, PubMed : 24275493). Contrary to splicing regulation activity, transcriptional coregulation of the estrogen receptor ESR1 is helicase-independent (PubMed : 19718048, PubMed : 24275493). Plays a role in innate immunity. Specifically restricts bunyavirus infection, including Rift Valley fever virus (RVFV) or La Crosse virus (LACV), but not vesicular stomatitis virus (VSV), in an interferon- and DROSHA-independent manner (PubMed : 25126784). Binds to RVFV RNA, likely via structured viral RNA elements (PubMed : 25126784). Promotes mRNA degradation mediated by the antiviral zinc-finger protein ZC3HAV1, in an ATPase-dependent manner (PubMed : 18334637).
See full target information DDX17

Product promise

We are committed to supporting your work with high-quality reagents, and we're here for you every step of the way. In the unlikely event that one of our products does not perform as expected, you're protected by our Product Promise.
For full details, please see our Terms & Conditions

Please note: All products are 'FOR RESEARCH USE ONLY. NOT FOR USE IN DIAGNOSTIC OR THERAPEUTIC PROCEDURES'.

For licensing inquiries, please contact partnerships@abcam.com