JavaScript is disabled in your browser. Please enable JavaScript to view this website.
AB244457

Anti-DDX21 antibody

Be the first to review this product! Submit a review

|

(1 Publication)

Rabbit Polyclonal DDX21 antibody. Suitable for IHC-P, WB, ICC/IF and reacts with Human samples. Cited in 1 publication. Immunogen corresponding to Recombinant Fragment Protein within Human Nucleolar RNA helicase 2 aa 1-150.

View Alternative Names

Nucleolar RNA helicase 2, DEAD box protein 21, Gu-alpha, Nucleolar RNA helicase Gu, Nucleolar RNA helicase II, RH II/Gu, DDX21

4 Images
Immunohistochemistry (Formalin/PFA-fixed paraffin-embedded sections) - Anti-DDX21 antibody (AB244457)
  • IHC-P

Supplier Data

Immunohistochemistry (Formalin/PFA-fixed paraffin-embedded sections) - Anti-DDX21 antibody (AB244457)

Paraffin-embedded human skeletal tissue (Negative control) shows no staining for DDX21 using ab244457 at 1/200 dilution in immunohistochemical analysis.

Immunohistochemistry (Formalin/PFA-fixed paraffin-embedded sections) - Anti-DDX21 antibody (AB244457)
  • IHC-P

Supplier Data

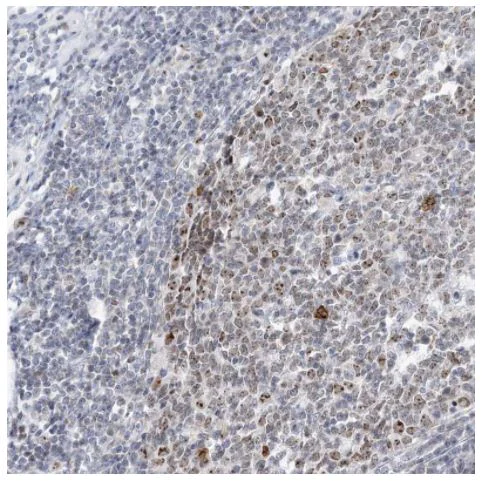
Immunohistochemistry (Formalin/PFA-fixed paraffin-embedded sections) - Anti-DDX21 antibody (AB244457)

Paraffin-embedded human appendix tissue stained for DDX21 using ab244457 at 1/200 dilution in immunohistochemical analysis.

Immunocytochemistry/ Immunofluorescence - Anti-DDX21 antibody (AB244457)
  • ICC/IF

Unknown

Immunocytochemistry/ Immunofluorescence - Anti-DDX21 antibody (AB244457)

PFA-fixed, Triton X-100 permeabilized U-251 MG (human brain glioma cell line) cells stained for DDX21 (green) using ab244457 at 4 μg/ml in ICC/IF.

Western blot - Anti-DDX21 antibody (AB244457)
  • WB

Unknown

Western blot - Anti-DDX21 antibody (AB244457)

All lanes:

Western blot - Anti-DDX21 antibody (ab244457) at 0.4 µg/mL

Lane 1:

Caco-2 (human colorectal adenocarcinoma cell line) cell lysate

Lane 2:

HeLa (human epithelial cell line from cervix adenocarcinoma) cell lysate

Predicted band size: 87 kDa

false

Key facts

Host species

Rabbit

Clonality

Polyclonal

Isotype

IgG

Carrier free

No

Reacts with

Human

Applications

WB, IHC-P, ICC/IF

applications

Immunogen

Recombinant Fragment Protein within Human Nucleolar RNA helicase 2 aa 1-150. The exact immunogen used to generate this antibody is proprietary information.

Q9NR30

Reactivity data

{ "title": "Reactivity Data", "filters": { "stats": ["", "Species", "Dilution Info", "Notes"], "tabs": { "all-applications": {"fullname" : "All Applications", "shortname": "All Applications"}, "IHCP" : {"fullname" : "Immunohistochemistry (Formalin/PFA-fixed paraffin-embedded sections)", "shortname":"IHC-P"}, "WB" : {"fullname" : "Western blot", "shortname":"WB"}, "ICCIF" : {"fullname" : "Immunocytochemistry/ Immunofluorescence", "shortname":"ICC/IF"} }, "product-promise": { "all": "all", "testedAndGuaranteed": "tested", "guaranteed": "expected", "predicted": "predicted", "notRecommended": "not-recommended" } }, "values": { "Human": { "IHCP-species-checked": "testedAndGuaranteed", "IHCP-species-dilution-info": "1/200 - 1/500", "IHCP-species-notes": "<p></p> Perform heat-mediated antigen retrieval with citrate buffer pH 6 before commencing with IHC staining protocol.", "WB-species-checked": "testedAndGuaranteed", "WB-species-dilution-info": "0.04-0.4 µg/mL", "WB-species-notes": "<p></p>", "ICCIF-species-checked": "testedAndGuaranteed", "ICCIF-species-dilution-info": "0.25-2 µg/mL", "ICCIF-species-notes": "<p>Fixation/Permeabilization: PFA/Triton X-100.</p>" } } }

Properties and storage information

Form
Liquid
Purification technique
Affinity purification Immunogen
Storage buffer
pH: 7.2 Preservative: 0.02% Sodium azide Constituents: PBS, 40% Glycerol (glycerin, glycerine)
Shipped at conditions
Blue Ice
Appropriate short-term storage duration
1-2 weeks
Appropriate short-term storage conditions
+4°C
Appropriate long-term storage conditions
-20°C
Aliquoting information
Upon delivery aliquot
Storage information
Avoid freeze / thaw cycle

Supplementary information

This supplementary information is collated from multiple sources and compiled automatically.

DDX21 also known as RH-II/Gu is a member of the DEAD-box RNA helicase family. It weighs approximately 87 kDa and is expressed prominently in the nucleus. DEAD-box proteins are known for unwinding RNA secondary structures essential for various cellular processes. DDX21 plays an important role in ribosome biogenesis and transcriptional regulation. Its nuclear localization is critical for its function and it is detected in various cell types indicating a broad role in cellular mechanisms.
Biological function summary

DDX21 is involved in multiple fundamental cellular processes beyond just transcription and ribosomal RNA processing. It participates in the synthesis of rRNA and plays an active role in the regulation of ribosome assembly. Additionally DDX21 interacts with other members of the DEAD-box family forming a complex which is necessary for efficient RNA processing and modification. Its activity has influence over protein synthesis by regulating the availability of ribosomal components.

Pathways

DDX21 fits into the larger RNA processing and ribosome biogenesis pathways. It interacts with proteins like nucleolin and fibrillarin contributing to the assembly and maturation of ribosomes. In the ribosome biogenesis pathway DDX21 controls the processing of pre-rRNA together with other ribosomal proteins ensuring proper formation of functional ribosomes. DDX21 also participates in the stress response pathways indicating its integral role in adapting to cellular stress conditions.

DDX21's function is implicated in cancer and viral infections. High levels of DDX21 have been associated with tumorigenesis connecting it with oncogenic pathways. It interacts with proteins like p53 in the regulation of cellular growth and apoptosis. Additionally DDX21 plays a part in the replication of certain viruses suggesting a role in the viral life cycle and potential as a therapeutic target. Understanding DDX21’s involvement in these conditions may offer insights into novel diagnostic and treatment strategies.

Product protocols

For this product, it's our understanding that no specific protocols are required. You can visit:

Target data

RNA helicase that acts as a sensor of the transcriptional status of both RNA polymerase (Pol) I and II : promotes ribosomal RNA (rRNA) processing and transcription from polymerase II (Pol II) (PubMed : 25470060, PubMed : 28790157). Binds various RNAs, such as rRNAs, snoRNAs, 7SK and, at lower extent, mRNAs (PubMed : 25470060). In the nucleolus, localizes to rDNA locus, where it directly binds rRNAs and snoRNAs, and promotes rRNA transcription, processing and modification. Required for rRNA 2'-O-methylation, possibly by promoting the recruitment of late-acting snoRNAs SNORD56 and SNORD58 with pre-ribosomal complexes (PubMed : 25470060, PubMed : 25477391). In the nucleoplasm, binds 7SK RNA and is recruited to the promoters of Pol II-transcribed genes : acts by facilitating the release of P-TEFb from inhibitory 7SK snRNP in a manner that is dependent on its helicase activity, thereby promoting transcription of its target genes (PubMed : 25470060). Functions as a cofactor for JUN-activated transcription : required for phosphorylation of JUN at 'Ser-77' (PubMed : 11823437, PubMed : 25260534). Can unwind double-stranded RNA (helicase) and can fold or introduce a secondary structure to a single-stranded RNA (foldase) (PubMed : 9461305). Together with SIRT7, required to prevent R-loop-associated DNA damage and transcription-associated genomic instability : deacetylation by SIRT7 activates the helicase activity, thereby overcoming R-loop-mediated stalling of RNA polymerases (PubMed : 28790157). Involved in rRNA processing (PubMed : 14559904, PubMed : 18180292). May bind to specific miRNA hairpins (PubMed : 28431233). Component of a multi-helicase-TICAM1 complex that acts as a cytoplasmic sensor of viral double-stranded RNA (dsRNA) and plays a role in the activation of a cascade of antiviral responses including the induction of pro-inflammatory cytokines via the adapter molecule TICAM1 (By similarity).
See full target information Nucleolar RNA helicase 2

Publications (1)

Recent publications for all applications. Explore the full list and refine your search

Cell metabolism 37:154-168.e7 PubMed39561766

2024

Human genetics identify convergent signals in mitochondrial LACTB-mediated lipid metabolism in cardiovascular-kidney-metabolic syndrome.

Applications

Unspecified application

Species

Unspecified reactive species

Shen Li,Hongbo Liu,Hailong Hu,Eunji Ha,Praveena Prasad,Brenita C Jenkins,Ujjalkumar Subhash Das,Sarmistha Mukherjee,Kyosuke Shishikura,Renming Hu,Daniel J Rader,Liming Pei,Joseph A Baur,Megan L Matthews,Garret A FitzGerald,Melanie R McReynolds,Katalin Susztak
View all publications

Product promise

We are committed to supporting your work with high-quality reagents, and we're here for you every step of the way. In the unlikely event that one of our products does not perform as expected, you're protected by our Product Promise.
For full details, please see our Terms & Conditions

Please note: All products are 'FOR RESEARCH USE ONLY. NOT FOR USE IN DIAGNOSTIC OR THERAPEUTIC PROCEDURES'.

For licensing inquiries, please contact partnerships@abcam.com