JavaScript is disabled in your browser. Please enable JavaScript to view this website.
AB182156

Anti-DDX21 antibody [EPR14495]

Be the first to review this product! Submit a review

|

(12 Publications)

Rabbit Recombinant Monoclonal DDX21 antibody. Suitable for IHC-P, WB, ICC/IF, Flow Cyt (Intra) and reacts with Human samples. Cited in 12 publications.

View Alternative Names

Nucleolar RNA helicase 2, DEAD box protein 21, Gu-alpha, Nucleolar RNA helicase Gu, Nucleolar RNA helicase II, RH II/Gu, DDX21

7 Images
Immunocytochemistry/ Immunofluorescence - Anti-DDX21 antibody [EPR14495] (AB182156)
  • ICC/IF

Unknown

Immunocytochemistry/ Immunofluorescence - Anti-DDX21 antibody [EPR14495] (AB182156)

Immunocytochemistry/ Immunofluorescence analysis of HepG2 (Human hepatocellular carcinoma epithelial cell) cells labeling DDX21 with Purified ab182156 at 1 : 200 dilution (2.88 µg/ml). Cells were fixed in 100% Methanol and permeabilized with None. Cells were counterstained with ab195889 Anti-alpha Tubulin antibody [DM1A] - Microtubule Marker (Alexa Fluor® 594) 1 : 200 (2.5 µg/ml). Goat anti rabbit IgG (Alexa Fluor® 488, ab150077) was used as the secondary antibody at 1 : 1000 (2 µg/ml) dilution. DAPI (blue) was used as nuclear counterstain. PBS instead of the primary antibody was used as the secondary antibody only control.

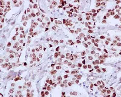
Immunohistochemistry (Formalin/PFA-fixed paraffin-embedded sections) - Anti-DDX21 antibody [EPR14495] (AB182156)
  • IHC-P

Supplier Data

Immunohistochemistry (Formalin/PFA-fixed paraffin-embedded sections) - Anti-DDX21 antibody [EPR14495] (AB182156)

Immunohistochemical analysis of paraffin-embedded Human infiltrating duct carcinoma of breast tissue, staining DDX21 with ab182156 at 1/100 dilution. Hematoxylin was used as a counterstain.

Perform heat mediated antigen retrieval with citrate buffer pH 6 before commencing with IHC staining protocol.

Flow Cytometry (Intracellular) - Anti-DDX21 antibody [EPR14495] (AB182156)
  • Flow Cyt (Intra)

Unknown

Flow Cytometry (Intracellular) - Anti-DDX21 antibody [EPR14495] (AB182156)

Intracellular Flow Cytometry analysis of HepG2 (Human hepatocellular carcinoma epithelial cell) cells labeling DDX21 with Purified ab182156 at 1/60 dilution (10 μg/ml) (Red). Cells were fixed with 4% Paraformaldehyde and permeabilised with 90% Methanol. A Goat anti rabbit IgG (Alexa Fluor® 488, ab150077) secondary antibody was used at 1/2000. Isotype control - Rabbit monoclonal IgG (Black). Unlabeled control - Cell without incubation with primary antibody and secondary antibody (Blue).

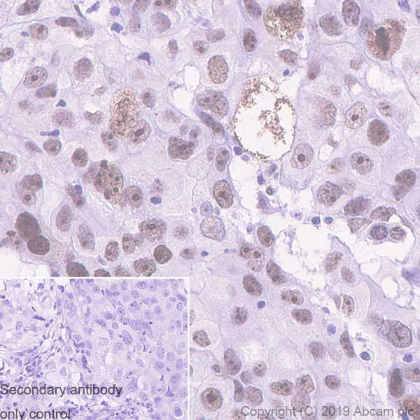
Immunohistochemistry (Formalin/PFA-fixed paraffin-embedded sections) - Anti-DDX21 antibody [EPR14495] (AB182156)
  • IHC-P

Unknown

Immunohistochemistry (Formalin/PFA-fixed paraffin-embedded sections) - Anti-DDX21 antibody [EPR14495] (AB182156)

Immunohistochemistry (Formalin/PFA-fixed paraffin-embedded sections) analysis of human breast carcinoma tissue sections labeling DDX21 with Purified ab182156 at 1 : 200 dilution (2.89 µg/ml). Heat mediated antigen retrieval using Bond™ Epitope Retrieval Solution 2 (pH 9.0). Rabbit specific IHC polymer detection kit HRP/DAB (ab209101) was used for detection. Negative control : PBS instead of the primary antibody. Hematoxylin was used as a counterstain.

Immunocytochemistry/ Immunofluorescence - Anti-DDX21 antibody [EPR14495] (AB182156)
  • ICC/IF

Supplier Data

Immunocytochemistry/ Immunofluorescence - Anti-DDX21 antibody [EPR14495] (AB182156)

Immunofluorescence analysis of HepG2 cells, staining DDX21 (green) with ab182156 at 1/100 dilution. An Alexa Fluor®488 goat anti rabbit IgG was used as a secondary antibody. Cells were fixed in 4% paraformaldehyde. Nuclei were counterstained with DAPI (blue).

Immunocytochemistry/ Immunofluorescence - Anti-DDX21 antibody [EPR14495] (AB182156)
  • ICC/IF

Supplier Data

Immunocytochemistry/ Immunofluorescence - Anti-DDX21 antibody [EPR14495] (AB182156)

Immunofluorescence analysis of HeLa cells, staining DDX21 (red) with ab182156 at 1/100 dilution. An Alexa Fluor®555 goat anti rabbit IgG was used as a secondary antibody. Cells were fixed with -20℃ Acetone. Nuclei were counterstained with DAPI (blue).

Western blot - Anti-DDX21 antibody [EPR14495] (AB182156)
  • WB

Lab

Western blot - Anti-DDX21 antibody [EPR14495] (AB182156)

All lanes:

Western blot - Anti-DDX21 antibody [EPR14495] (ab182156) at 1/10000 dilution

Lane 1:

HeLa (Human cervix adenocarcinoma epithelial cell) whole cell lysates at 20 µg

Lane 2:

Jurkat (Human Tcellleukemia Tlymphocyte) whole cell lysates at 20 µg

Secondary

All lanes:

Western blot - Goat Anti-Rabbit IgG H&L (HRP) (<a href='/en-us/products/secondary-antibodies/goat-rabbit-igg-h-l-hrp-ab97051'>ab97051</a>) at 1/20000 dilution

Predicted band size: 87 kDa

Observed band size: 87 kDa

false

  • 665 Alexa Fluor® 647

    Alexa Fluor® 647 Anti-DDX21 antibody [EPR14495]

  • Carrier free

    Anti-DDX21 antibody [EPR14495] - BSA and Azide free

  • 578 PE

    PE Anti-DDX21 antibody [EPR14495]

  • 660 APC

    APC Anti-DDX21 antibody [EPR14495]

  • 617 Alexa Fluor® 594

    Alexa Fluor® 594 Anti-DDX21 antibody [EPR14495]

  • 519 Alexa Fluor® 488

    Alexa Fluor® 488 Anti-DDX21 antibody [EPR14495]

  • 603 Alexa Fluor® 568

    Alexa Fluor® 568 Anti-DDX21 antibody [EPR14495]

  • 565 Alexa Fluor® 555

    Alexa Fluor® 555 Anti-DDX21 antibody [EPR14495]

  • HRP

    HRP Anti-DDX21 antibody [EPR14495]

  • 775 Alexa Fluor® 750

    Alexa Fluor® 750 Anti-DDX21 antibody [EPR14495]

Key facts

Host species

Rabbit

Clonality

Monoclonal

Clone number

EPR14495

Isotype

IgG

Carrier free

No

Reacts with

Human

Applications

IHC-P, ICC/IF, WB, Flow Cyt (Intra)

applications

Immunogen

The exact immunogen used to generate this antibody is proprietary information.

Reactivity data

{ "title": "Reactivity Data", "filters": { "stats": ["", "Species", "Dilution Info", "Notes"], "tabs": { "all-applications": {"fullname" : "All Applications", "shortname": "All Applications"}, "IHCP" : {"fullname" : "Immunohistochemistry (Formalin/PFA-fixed paraffin-embedded sections)", "shortname":"IHC-P"}, "WB" : {"fullname" : "Western blot", "shortname":"WB"}, "ICCIF" : {"fullname" : "Immunocytochemistry/ Immunofluorescence", "shortname":"ICC/IF"}, "FlowCytIntra" : {"fullname" : "Flow Cytometry (Intracellular)", "shortname":"Flow Cyt (Intra)"} }, "product-promise": { "all": "all", "testedAndGuaranteed": "tested", "guaranteed": "expected", "predicted": "predicted", "notRecommended": "not-recommended" } }, "values": { "Human": { "IHCP-species-checked": "testedAndGuaranteed", "IHCP-species-dilution-info": "1/200", "IHCP-species-notes": "<p>For unpurified use at 1/50 - 1/100</p>", "WB-species-checked": "testedAndGuaranteed", "WB-species-dilution-info": "1/1000 - 1/10000", "WB-species-notes": "<p></p>", "ICCIF-species-checked": "testedAndGuaranteed", "ICCIF-species-dilution-info": "1/500", "ICCIF-species-notes": "<p></p>", "FlowCytIntra-species-checked": "testedAndGuaranteed", "FlowCytIntra-species-dilution-info": "1/60", "FlowCytIntra-species-notes": "<p></p>" } } }

Product details

Patented technology
Our RabMAb® technology is a patented hybridoma-based technology for making rabbit monoclonal antibodies. For details on our patents, please refer to RabMAb® patents.

What are the advantages of a recombinant monoclonal antibody?
This product is a recombinant monoclonal antibody, which offers several advantages including:

  • - High batch-to-batch consistency and reproducibility
  • - Improved sensitivity and specificity
  • - Long-term security of supply
  • - Animal-free batch production

For more information, read more on recombinant antibodies.

Properties and storage information

Form
Liquid
Purification technique
Affinity purification Protein A
Storage buffer
pH: 7.2 Preservative: 0.01% Sodium azide Constituents: PBS, 40% Glycerol (glycerin, glycerine), 0.05% BSA
Shipped at conditions
Blue Ice
Appropriate short-term storage duration
1-2 weeks
Appropriate short-term storage conditions
+4°C
Appropriate long-term storage conditions
-20°C
Aliquoting information
Upon delivery aliquot
Storage information
Avoid freeze / thaw cycle

Supplementary information

This supplementary information is collated from multiple sources and compiled automatically.

DDX21 also known as RH-II/Gu is a member of the DEAD-box RNA helicase family. It weighs approximately 87 kDa and is expressed prominently in the nucleus. DEAD-box proteins are known for unwinding RNA secondary structures essential for various cellular processes. DDX21 plays an important role in ribosome biogenesis and transcriptional regulation. Its nuclear localization is critical for its function and it is detected in various cell types indicating a broad role in cellular mechanisms.
Biological function summary

DDX21 is involved in multiple fundamental cellular processes beyond just transcription and ribosomal RNA processing. It participates in the synthesis of rRNA and plays an active role in the regulation of ribosome assembly. Additionally DDX21 interacts with other members of the DEAD-box family forming a complex which is necessary for efficient RNA processing and modification. Its activity has influence over protein synthesis by regulating the availability of ribosomal components.

Pathways

DDX21 fits into the larger RNA processing and ribosome biogenesis pathways. It interacts with proteins like nucleolin and fibrillarin contributing to the assembly and maturation of ribosomes. In the ribosome biogenesis pathway DDX21 controls the processing of pre-rRNA together with other ribosomal proteins ensuring proper formation of functional ribosomes. DDX21 also participates in the stress response pathways indicating its integral role in adapting to cellular stress conditions.

DDX21's function is implicated in cancer and viral infections. High levels of DDX21 have been associated with tumorigenesis connecting it with oncogenic pathways. It interacts with proteins like p53 in the regulation of cellular growth and apoptosis. Additionally DDX21 plays a part in the replication of certain viruses suggesting a role in the viral life cycle and potential as a therapeutic target. Understanding DDX21’s involvement in these conditions may offer insights into novel diagnostic and treatment strategies.

Product protocols

For this product, it's our understanding that no specific protocols are required. You can visit:

Target data

RNA helicase that acts as a sensor of the transcriptional status of both RNA polymerase (Pol) I and II : promotes ribosomal RNA (rRNA) processing and transcription from polymerase II (Pol II) (PubMed : 25470060, PubMed : 28790157). Binds various RNAs, such as rRNAs, snoRNAs, 7SK and, at lower extent, mRNAs (PubMed : 25470060). In the nucleolus, localizes to rDNA locus, where it directly binds rRNAs and snoRNAs, and promotes rRNA transcription, processing and modification. Required for rRNA 2'-O-methylation, possibly by promoting the recruitment of late-acting snoRNAs SNORD56 and SNORD58 with pre-ribosomal complexes (PubMed : 25470060, PubMed : 25477391). In the nucleoplasm, binds 7SK RNA and is recruited to the promoters of Pol II-transcribed genes : acts by facilitating the release of P-TEFb from inhibitory 7SK snRNP in a manner that is dependent on its helicase activity, thereby promoting transcription of its target genes (PubMed : 25470060). Functions as a cofactor for JUN-activated transcription : required for phosphorylation of JUN at 'Ser-77' (PubMed : 11823437, PubMed : 25260534). Can unwind double-stranded RNA (helicase) and can fold or introduce a secondary structure to a single-stranded RNA (foldase) (PubMed : 9461305). Together with SIRT7, required to prevent R-loop-associated DNA damage and transcription-associated genomic instability : deacetylation by SIRT7 activates the helicase activity, thereby overcoming R-loop-mediated stalling of RNA polymerases (PubMed : 28790157). Involved in rRNA processing (PubMed : 14559904, PubMed : 18180292). May bind to specific miRNA hairpins (PubMed : 28431233). Component of a multi-helicase-TICAM1 complex that acts as a cytoplasmic sensor of viral double-stranded RNA (dsRNA) and plays a role in the activation of a cascade of antiviral responses including the induction of pro-inflammatory cytokines via the adapter molecule TICAM1 (By similarity).
See full target information Nucleolar RNA helicase 2

Publications (12)

Recent publications for all applications. Explore the full list and refine your search

Viruses 17: PubMed40006921

2025

DDX21 Promotes PCV3 Replication by Binding to Cap Protein and Inhibiting Interferon Responses.

Applications

Unspecified application

Species

Unspecified reactive species

Haoyu Sun,Qianhong Dai,Beiyi Zhou,Xiaoyuan Lan,Yonghui Qiu,Qianqian Zhang,Dedong Wang,Yongqiu Cui,Jinshuo Guo,Lei Hou,Jue Liu,Jianwei Zhou

Analytical cellular pathology (Amsterdam) 2025:1018820 PubMed39866844

2025

DDX21 Is a Potential Biomarker for Predicting Recurrence and Prognosis in Hepatocellular Carcinoma.

Applications

Unspecified application

Species

Unspecified reactive species

Chengjie Ji,Qing Zhong,Huilan Su,Xiaoli Xue,Renxiang Yang,Na Li

Discover oncology 15:333 PubMed39095628

2024

DDX21 functions as a potential novel oncopromoter in pancreatic ductal adenocarcinoma: a comprehensive analysis of the DExD box family.

Applications

Unspecified application

Species

Unspecified reactive species

Shaohan Wu,Xiaofang Sun,Ruheng Hua,Chundong Hu,Lei Qin

Frontiers in microbiology 15:1298106 PubMed38380105

2024

DEAD-box RNA helicase 21 interacts with porcine circovirus type 2 Cap protein and facilitates viral replication.

Applications

Unspecified application

Species

Unspecified reactive species

Jianwei Zhou,Jie Zhao,Haoyu Sun,Beining Dai,Ning Zhu,Qianhong Dai,Yonghui Qiu,Dedong Wang,Yongqiu Cui,Jinshuo Guo,Xufei Feng,Lei Hou,Jue Liu

Nucleic acids research 51:1326-1352 PubMed36718960

2023

Identification of RNA helicases with unwinding activity on angiogenin-processed tRNAs.

Applications

Unspecified application

Species

Unspecified reactive species

Aleksej Drino,Lisa König,Charlotte Capitanchik,Nasim Sanadgol,Eva Janisiw,Tom Rappol,Elisa Vilardo,Matthias R Schaefer

Nucleic acid therapeutics 32:280-299 PubMed35852833

2022

NAT10 and DDX21 Proteins Interact with RNase H1 and Affect the Performance of Phosphorothioate Oligonucleotides.

Applications

Unspecified application

Species

Unspecified reactive species

Lingdi Zhang,Karla D Bernardo,Timothy A Vickers,Jun Tian,Xue-Hai Liang,Stanley T Crooke

Frontiers in microbiology 13:802740 PubMed35283818

2022

Contribution of DEAD-Box RNA Helicase 21 to the Nucleolar Localization of Porcine Circovirus Type 4 Capsid Protein.

Applications

Unspecified application

Species

Unspecified reactive species

Jianwei Zhou,Yuexia Wang,Yonghui Qiu,Yongxia Wang,Xiaoyu Yang,Changzhe Liu,Yongyan Shi,Xufei Feng,Lei Hou,Jue Liu

Experimental and therapeutic medicine 23:61 PubMed34934432

2021

LIM mineralization protein-1 inhibits IL-1β-induced human chondrocytes injury by altering the NF-κB and MAPK/JNK pathways.

Applications

Unspecified application

Species

Unspecified reactive species

Dijun Ou,Sheng Liu,Changjun Tong,Hezhong Tan,Yadong Yang,Chunlei He

Phenomics (Cham, Switzerland) 1:243-256 PubMed36939770

2021

Systematic Genome-Wide Profiles Reveal Alternative Splicing Landscape and Implications of Splicing Regulator DExD-Box Helicase 21 in Aggressive Progression of Adrenocortical Carcinoma.

Applications

Unspecified application

Species

Unspecified reactive species

Wenhao Xu,Aihetaimujiang Anwaier,Wangrui Liu,Xi Tian,Wen-Kai Zhu,Jian Wang,Yuanyuan Qu,Hailiang Zhang,Dingwei Ye

mBio 12:e0100521 PubMed34125604

2021

Caspase-Dependent Cleavage of DDX21 Suppresses Host Innate Immunity.

Applications

Unspecified application

Species

Unspecified reactive species

Wei Wu,Yang Qu,Shengqing Yu,Sa Wang,Yuncong Yin,Qinfang Liu,Chunchun Meng,Ying Liao,Zaib Ur Rehman,Lei Tan,Cuiping Song,Xusheng Qiu,Weiwei Liu,Chan Ding,Yingjie Sun
View all publications

Product promise

We are committed to supporting your work with high-quality reagents, and we're here for you every step of the way. In the unlikely event that one of our products does not perform as expected, you're protected by our Product Promise.
For full details, please see our Terms & Conditions

Please note: All products are 'FOR RESEARCH USE ONLY. NOT FOR USE IN DIAGNOSTIC OR THERAPEUTIC PROCEDURES'.

For licensing inquiries, please contact partnerships@abcam.com