JavaScript is disabled in your browser. Please enable JavaScript to view this website.
AB250598

Anti-DDX21 antibody [EPR14495] - BSA and Azide free

Be the first to review this product! Submit a review

|

(1 Publication)

Rabbit Recombinant Monoclonal DDX21 antibody. Carrier free. Suitable for IHC-P, WB, ICC/IF, Flow Cyt (Intra) and reacts with Human samples. Cited in 1 publication.

View Alternative Names

Nucleolar RNA helicase 2, DEAD box protein 21, Gu-alpha, Nucleolar RNA helicase Gu, Nucleolar RNA helicase II, RH II/Gu, DDX21

3 Images
Immunocytochemistry/ Immunofluorescence - Anti-DDX21 antibody [EPR14495] - BSA and Azide free (AB250598)
  • ICC/IF

Unknown

Immunocytochemistry/ Immunofluorescence - Anti-DDX21 antibody [EPR14495] - BSA and Azide free (AB250598)

Immunocytochemistry/ Immunofluorescence analysis of HepG2 (Human hepatocellular carcinoma epithelial cell) cells labeling DDX21 with Purified ab182156 at 1 : 200 dilution (2.88 µg/ml). Cells were fixed in 100% Methanol and permeabilized with None. Cells were counterstained with ab195889 Anti-alpha Tubulin antibody [DM1A] - Microtubule Marker (Alexa Fluor® 594) 1 : 200 (2.5 µg/ml). Goat anti rabbit IgG (Alexa Fluor® 488, ab150077) was used as the secondary antibody at 1 : 1000 (2 µg/ml) dilution. DAPI (blue) was used as nuclear counterstain. PBS instead of the primary antibody was used as the secondary antibody only control.
This data was developed using the same antibody clone in a different buffer formulation containing PBS, BSA, glycerol, and sodium azide (ab182156)

Flow Cytometry (Intracellular) - Anti-DDX21 antibody [EPR14495] - BSA and Azide free (AB250598)
  • Flow Cyt (Intra)

Unknown

Flow Cytometry (Intracellular) - Anti-DDX21 antibody [EPR14495] - BSA and Azide free (AB250598)

Intracellular Flow Cytometry analysis of HepG2 (Human hepatocellular carcinoma epithelial cell) cells labeling DDX21 with Purified ab182156 at 1/60 dilution (10 μg/ml) (Red). Cells were fixed with 4% Paraformaldehyde and permeabilised with 90% Methanol. A Goat anti rabbit IgG (Alexa Fluor® 488, ab150077) secondary antibody was used at 1/2000. Isotype control - Rabbit monoclonal IgG (Black). Unlabeled control - Cell without incubation with primary antibody and secondary antibody (Blue). This data was developed using the same antibody clone in a different buffer formulation containing PBS, BSA, glycerol, and sodium azide (ab182156)

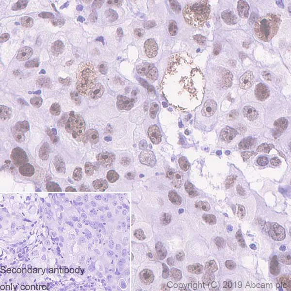
Immunohistochemistry (Formalin/PFA-fixed paraffin-embedded sections) - Anti-DDX21 antibody [EPR14495] - BSA and Azide free (AB250598)
  • IHC-P

Unknown

Immunohistochemistry (Formalin/PFA-fixed paraffin-embedded sections) - Anti-DDX21 antibody [EPR14495] - BSA and Azide free (AB250598)

Immunohistochemistry (Formalin/PFA-fixed paraffin-embedded sections) analysis of human breast carcinoma tissue sections labeling DDX21 with Purified ab182156 at 1 : 200 dilution (2.89 µg/ml). Heat mediated antigen retrieval using Bond™ Epitope Retrieval Solution 2 (pH 9.0). Rabbit specific IHC polymer detection kit HRP/DAB (ab209101) was used for detection. Negative control : PBS instead of the primary antibody. Hematoxylin was used as a counterstain.
This data was developed using the same antibody clone in a different buffer formulation containing PBS, BSA, glycerol, and sodium azide (ab182156)

Key facts

Host species

Rabbit

Clonality

Monoclonal

Clone number

EPR14495

Isotype

IgG

Carrier free

Yes

Reacts with

Human

Applications

ICC/IF, Flow Cyt (Intra), WB, IHC-P

applications

Immunogen

The exact immunogen used to generate this antibody is proprietary information.

Reactivity data

{ "title": "Reactivity Data", "filters": { "stats": ["", "Species", "Dilution Info", "Notes"], "tabs": { "all-applications": {"fullname" : "All Applications", "shortname": "All Applications"}, "IHCP" : {"fullname" : "Immunohistochemistry (Formalin/PFA-fixed paraffin-embedded sections)", "shortname":"IHC-P"}, "WB" : {"fullname" : "Western blot", "shortname":"WB"}, "ICCIF" : {"fullname" : "Immunocytochemistry/ Immunofluorescence", "shortname":"ICC/IF"}, "FlowCytIntra" : {"fullname" : "Flow Cytometry (Intracellular)", "shortname":"Flow Cyt (Intra)"} }, "product-promise": { "all": "all", "testedAndGuaranteed": "tested", "guaranteed": "expected", "predicted": "predicted", "notRecommended": "not-recommended" } }, "values": { "Human": { "IHCP-species-checked": "testedAndGuaranteed", "IHCP-species-dilution-info": "", "IHCP-species-notes": "<p></p>", "WB-species-checked": "guaranteed", "WB-species-dilution-info": "", "WB-species-notes": "<p></p>", "ICCIF-species-checked": "testedAndGuaranteed", "ICCIF-species-dilution-info": "", "ICCIF-species-notes": "<p></p>", "FlowCytIntra-species-checked": "testedAndGuaranteed", "FlowCytIntra-species-dilution-info": "", "FlowCytIntra-species-notes": "<p></p>" } } }

Product details

ab250598 is the carrier-free version of ab182156.

Patented technology
Our RabMAb® technology is a patented hybridoma-based technology for making rabbit monoclonal antibodies. For details on our patents, please refer to RabMAb® patents.

What are the advantages of a recombinant monoclonal antibody?
This product is a recombinant monoclonal antibody, which offers several advantages including:

  • - High batch-to-batch consistency and reproducibility
  • - Improved sensitivity and specificity
  • - Long-term security of supply
  • - Animal-free batch production

For more information, read more on recombinant antibodies.

Conjugation ready
Our carrier-free antibodies are typically supplied in a PBS-only formulation, purified and free of BSA, sodium azide and glycerol. This conjugation-ready format is designed for use with fluorochromes, metal isotopes, oligonucleotides, and enzymes, which makes them ideal for antibody labelling, functional and cell-based assays, flow-based assays (e.g. mass cytometry) and Multiplex Imaging applications.

Use our conjugation kits for antibody conjugates that are ready-to-use in as little as 20 minutes with 1 minute hands-on-time and 100% antibody recovery: available for fluorescent dyes, HRP, biotin and gold.

Compatibility
This product is compatible with the Maxpar® Antibody Labeling Kit from Fluidigm, without the need for antibody preparation. Maxpar® is a trademark of Fluidigm Canada Inc.

Properties and storage information

Form
Liquid
Purification technique
Affinity purification Protein A
Storage buffer
pH: 7.2 - 7.4 Constituents: PBS
Shipped at conditions
Blue Ice
Appropriate short-term storage conditions
+4°C
Appropriate long-term storage conditions
+4°C
Storage information
Do Not Freeze

Supplementary information

This supplementary information is collated from multiple sources and compiled automatically.

DDX21 also known as RH-II/Gu is a member of the DEAD-box RNA helicase family. It weighs approximately 87 kDa and is expressed prominently in the nucleus. DEAD-box proteins are known for unwinding RNA secondary structures essential for various cellular processes. DDX21 plays an important role in ribosome biogenesis and transcriptional regulation. Its nuclear localization is critical for its function and it is detected in various cell types indicating a broad role in cellular mechanisms.
Biological function summary

DDX21 is involved in multiple fundamental cellular processes beyond just transcription and ribosomal RNA processing. It participates in the synthesis of rRNA and plays an active role in the regulation of ribosome assembly. Additionally DDX21 interacts with other members of the DEAD-box family forming a complex which is necessary for efficient RNA processing and modification. Its activity has influence over protein synthesis by regulating the availability of ribosomal components.

Pathways

DDX21 fits into the larger RNA processing and ribosome biogenesis pathways. It interacts with proteins like nucleolin and fibrillarin contributing to the assembly and maturation of ribosomes. In the ribosome biogenesis pathway DDX21 controls the processing of pre-rRNA together with other ribosomal proteins ensuring proper formation of functional ribosomes. DDX21 also participates in the stress response pathways indicating its integral role in adapting to cellular stress conditions.

DDX21's function is implicated in cancer and viral infections. High levels of DDX21 have been associated with tumorigenesis connecting it with oncogenic pathways. It interacts with proteins like p53 in the regulation of cellular growth and apoptosis. Additionally DDX21 plays a part in the replication of certain viruses suggesting a role in the viral life cycle and potential as a therapeutic target. Understanding DDX21’s involvement in these conditions may offer insights into novel diagnostic and treatment strategies.

Product protocols

For this product, it's our understanding that no specific protocols are required. You can visit:

Target data

RNA helicase that acts as a sensor of the transcriptional status of both RNA polymerase (Pol) I and II : promotes ribosomal RNA (rRNA) processing and transcription from polymerase II (Pol II) (PubMed : 25470060, PubMed : 28790157). Binds various RNAs, such as rRNAs, snoRNAs, 7SK and, at lower extent, mRNAs (PubMed : 25470060). In the nucleolus, localizes to rDNA locus, where it directly binds rRNAs and snoRNAs, and promotes rRNA transcription, processing and modification. Required for rRNA 2'-O-methylation, possibly by promoting the recruitment of late-acting snoRNAs SNORD56 and SNORD58 with pre-ribosomal complexes (PubMed : 25470060, PubMed : 25477391). In the nucleoplasm, binds 7SK RNA and is recruited to the promoters of Pol II-transcribed genes : acts by facilitating the release of P-TEFb from inhibitory 7SK snRNP in a manner that is dependent on its helicase activity, thereby promoting transcription of its target genes (PubMed : 25470060). Functions as a cofactor for JUN-activated transcription : required for phosphorylation of JUN at 'Ser-77' (PubMed : 11823437, PubMed : 25260534). Can unwind double-stranded RNA (helicase) and can fold or introduce a secondary structure to a single-stranded RNA (foldase) (PubMed : 9461305). Together with SIRT7, required to prevent R-loop-associated DNA damage and transcription-associated genomic instability : deacetylation by SIRT7 activates the helicase activity, thereby overcoming R-loop-mediated stalling of RNA polymerases (PubMed : 28790157). Involved in rRNA processing (PubMed : 14559904, PubMed : 18180292). May bind to specific miRNA hairpins (PubMed : 28431233). Component of a multi-helicase-TICAM1 complex that acts as a cytoplasmic sensor of viral double-stranded RNA (dsRNA) and plays a role in the activation of a cascade of antiviral responses including the induction of pro-inflammatory cytokines via the adapter molecule TICAM1 (By similarity).
See full target information Nucleolar RNA helicase 2

Publications (1)

Recent publications for all applications. Explore the full list and refine your search

Oncology letters 26:458 PubMed37736555

2023

S100A6 is a potential diagnostic and prognostic biomarker for human glioma.

Applications

Unspecified application

Species

Unspecified reactive species

Bo Hong,Hui Zhang,Yufei Xiao,Lingwei Shen,Yun Qian
View all publications

Product promise

We are committed to supporting your work with high-quality reagents, and we're here for you every step of the way. In the unlikely event that one of our products does not perform as expected, you're protected by our Product Promise.
For full details, please see our Terms & Conditions

Please note: All products are 'FOR RESEARCH USE ONLY. NOT FOR USE IN DIAGNOSTIC OR THERAPEUTIC PROCEDURES'.

For licensing inquiries, please contact partnerships@abcam.com