JavaScript is disabled in your browser. Please enable JavaScript to view this website.
AB154667

Anti-DDX28 antibody

Be the first to review this product! Submit a review

|

(1 Publication)

Rabbit Polyclonal DDX28 antibody. Suitable for IHC-P, WB and reacts with Human samples. Cited in 1 publication. Immunogen corresponding to Recombinant Fragment Protein within Human DDX28 aa 100-350.

View Alternative Names

MDDX28, DDX28, Probable ATP-dependent RNA helicase DDX28, Mitochondrial DEAD box protein 28

2 Images
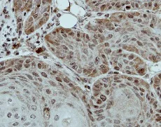
Immunohistochemistry (Formalin/PFA-fixed paraffin-embedded sections) - Anti-DDX28 antibody (AB154667)
  • IHC-P

Unknown

Immunohistochemistry (Formalin/PFA-fixed paraffin-embedded sections) - Anti-DDX28 antibody (AB154667)

Immunohistochemical analysis of paraffin embedded Cal27 xenograft tissue labelling DDX28 with ab154667 at a 1/500 dilution.

Western blot - Anti-DDX28 antibody (AB154667)
  • WB

Unknown

Western blot - Anti-DDX28 antibody (AB154667)

7.5% SDS PAGE

All lanes:

Western blot - Anti-DDX28 antibody (ab154667) at 1/1000 dilution

All lanes:

IMR32 whole cell lysate at 30 µg

Predicted band size: 60 kDa

false

Key facts

Host species

Rabbit

Clonality

Polyclonal

Isotype

IgG

Carrier free

No

Reacts with

Human

Applications

IHC-P, WB

applications

Immunogen

Recombinant Fragment Protein within Human DDX28 aa 100-350. The exact immunogen used to generate this antibody is proprietary information.

Q9NUL7

Reactivity data

{ "title": "Reactivity Data", "filters": { "stats": ["", "Species", "Dilution Info", "Notes"], "tabs": { "all-applications": {"fullname" : "All Applications", "shortname": "All Applications"}, "IHCP" : {"fullname" : "Immunohistochemistry (Formalin/PFA-fixed paraffin-embedded sections)", "shortname":"IHC-P"}, "WB" : {"fullname" : "Western blot", "shortname":"WB"} }, "product-promise": { "all": "all", "testedAndGuaranteed": "tested", "guaranteed": "expected", "predicted": "predicted", "notRecommended": "not-recommended" } }, "values": { "Human": { "IHCP-species-checked": "testedAndGuaranteed", "IHCP-species-dilution-info": "1/100 - 1/1000", "IHCP-species-notes": "<p></p> Perform heat-mediated antigen retrieval with citrate buffer pH 6 before commencing with IHC staining protocol.", "WB-species-checked": "testedAndGuaranteed", "WB-species-dilution-info": "1/500 - 1/3000", "WB-species-notes": "<p></p>" } } }

Properties and storage information

Form
Liquid
Purification technique
Affinity purification Immunogen
Storage buffer
pH: 7 Preservative: 0.01% Thimerosal (merthiolate) Constituents: 20% Glycerol (glycerin, glycerine), 1.21% Tris, 0.75% Glycine
Shipped at conditions
Blue Ice
Appropriate short-term storage conditions
+4°C
Appropriate long-term storage conditions
-20°C
Aliquoting information
Upon delivery aliquot
Storage information
Avoid freeze / thaw cycle

Supplementary information

This supplementary information is collated from multiple sources and compiled automatically.

The DDX28 protein also known as DEAD box helicase 28 is a member of the DEAD box protein family. Its molecular mass is approximately 57 kDa. This family of proteins is characterized by the conserved motif Asp-Glu-Ala-Asp (DEAD). DDX28 functions as an ATP-dependent RNA helicase which means it unwinds RNA structures and plays roles in rearranging ribonucleoprotein complexes. This protein is expressed in several tissues with significant expression in the liver and heart with the potential for further tissue-specific investigations.
Biological function summary

DDX28 participates in RNA processing and mitochondrial ribosome biogenesis activities. It is known to be a component of the mitoribosome a specialized ribosome for mitochondria. Being part of the mitoribosome DDX28 assists in the synthesis and assembly of proteins that are encoded by the mitochondrial genome. As helicases generally support the proper assembly and function of these complexes DDX28's role becomes important for maintaining mitochondrial translation integrity and efficiency.

Pathways

DDX28 interacts with several components within mitochondrial translation and RNA processing pathways. It associates notably with other mitochondrial ribosomal proteins forming a connection to the larger mitochondrial protein synthesis and assembly pathway. This connection is essential for the translation of mitochondrially-encoded proteins. DDX28 also has potential links with other helicase proteins such as DDX3X which leads to the interplay within various RNA helicase-involved pathways contributing to RNA metabolism and homeostasis in cells.

Mutations or dysregulation of DDX28 have been connected to mitochondrial dysfunction disorders including mitochondrial biogenesis deficiencies which impacts cellular energy homeostasis and can lead to serious conditions. Its involvement with other helicases such as DHX30 is also significant in certain neurodegenerative disorders. These associations highlight how alterations in DDX28's function can significantly affect cellular physiology and cascade into disease states when mitochondrial protein synthesis is impaired.

Product protocols

For this product, it's our understanding that no specific protocols are required. You can visit:

Target data

Plays an essential role in facilitating the proper assembly of the mitochondrial large ribosomal subunit and its helicase activity is essential for this function (PubMed : 25683708, PubMed : 25683715). May be involved in RNA processing or transport. Has RNA and Mg(2+)-dependent ATPase activity (PubMed : 11350955).
See full target information DDX28

Publications (1)

Recent publications for all applications. Explore the full list and refine your search

American journal of translational research 14:8117-8128 PubMed36505312

2022

miR-370 impacts the biological behavior of lung cancer cells by targeting the SMAD1 signaling pathway.

Applications

Unspecified application

Species

Unspecified reactive species

Zhaohui Tang,Yongjun Jiang,Sijuan Ding,Shaohui Jiang,Ruoting Tang,Pengfei Luo
View all publications

Product promise

We are committed to supporting your work with high-quality reagents, and we're here for you every step of the way. In the unlikely event that one of our products does not perform as expected, you're protected by our Product Promise.
For full details, please see our Terms & Conditions

Please note: All products are 'FOR RESEARCH USE ONLY. NOT FOR USE IN DIAGNOSTIC OR THERAPEUTIC PROCEDURES'.

For licensing inquiries, please contact partnerships@abcam.com