JavaScript is disabled in your browser. Please enable JavaScript to view this website.
AB288451

Anti-DDX3 antibody [EPR24221-72] - BSA and Azide free

Be the first to review this product! Submit a review

|

(0 Publication)

Rabbit Recombinant Monoclonal DDX3 antibody. Carrier free. Suitable for WB, IHC-P, ICC/IF, Flow Cyt (Intra) and reacts with Rat, Mouse, Human samples.

View Alternative Names

DBX, DDX3, DDX3X, ATP-dependent RNA helicase DDX3X, CAP-Rf, Helicase-like protein 2, HLP2

9 Images
Immunohistochemistry (Formalin/PFA-fixed paraffin-embedded sections) - Anti-DDX3 antibody [EPR24221-72] - BSA and Azide free (AB288451)
  • IHC-P

Lab

Immunohistochemistry (Formalin/PFA-fixed paraffin-embedded sections) - Anti-DDX3 antibody [EPR24221-72] - BSA and Azide free (AB288451)

Immunohistochemical analysis of paraffin-embedded Human breast carcinoma tissue labelling DDX3 with ab271002 at 1/1000 (0.599 ug/ml) detected by a ready to use Leica DS9800 (BOND™, Polymer Refine Detection). Positive staining in human breast carcinoma. The section was incubated with ab271002 for 30 mins at room temperature.The immunostaining was performed on a Leica Biosystems BOND® RX instrument Counterstained with Hematoxylin.

Secondary antibody only control : Secondary antibody is a ready to use Leica DS9800 (BOND™, Polymer Refine Detection) was used.

Heat mediated antigen retrieval with Tris-EDTA buffer (pH 9.0, epitope retrieval solution2) for 20 mins.

Secondary antibody only control : Secondary antibody is a ready to use LeicaDS9800 (BOND™, Polymer Refine Detection) was used.

Heat mediated antigen retrieval with Tris-EDTA buffer (pH 9.0, epitope retrieval solution2) for 20 mins

Flow Cytometry (Intracellular) - Anti-DDX3 antibody [EPR24221-72] - BSA and Azide free (AB288451)
  • Flow Cyt (Intra)

Lab

Flow Cytometry (Intracellular) - Anti-DDX3 antibody [EPR24221-72] - BSA and Azide free (AB288451)

This data was developed using ab271002, the same antibody clone in a different buffer formulation.

Flow cytometric analysis of 4% paraformaldehyde fixed 90% methanol permeabilized HeLa (human cervix adenocarcinoma epithelial cell) cells labelling DDX3 with ab271002 at 1/500 dilution (0.1ug) (Red) compared with a Rabbit monoclonal IgG (ab172730) (Black) isotype control and an unlabelled control (cells without incubation with primary antibody and secondary antibody) (Blue).

A Goat Anti-Rabbit IgG (Alexa Fluor® 488, ab150081) at 1/2000 dilution was used as the secondary antibody.

Immunocytochemistry/ Immunofluorescence - Anti-DDX3 antibody [EPR24221-72] - BSA and Azide free (AB288451)
  • ICC/IF

Lab

Immunocytochemistry/ Immunofluorescence - Anti-DDX3 antibody [EPR24221-72] - BSA and Azide free (AB288451)

This data was developed using ab271002, the same antibody clone in a different buffer formulation.

Immunofluorescent analysis of 4% Paraformaldehyde-fixed, 0.1% TritonX-100 permeabilized HeLa cells labelling DDX3 with ab271002 at 1/50 dilution, followed by ab150081 Goat Anti-Rabbit IgG H&L (Alexa Fluor® 488) preadsorbed antibody at 1/1000 dilution (Green). Confocal image showing cytoplasmic staining in HeLa cell line is observed. ab195889 Anti-alpha Tubulin mouse monoclonal antibody - Microtubule Marker (Alexa Fluor® 594) was used to counterstain tubulin at 1/200 dilution (Red). The Nuclear counterstain was DAPI (Blue).

Secondary antibody only control : Secondary antibody is ab150081 Goat Anti-Rabbit IgG H&L (Alexa Fluor® 488) preadsorbed at 1/1000 dilution.

Immunocytochemistry/ Immunofluorescence - Anti-DDX3 antibody [EPR24221-72] - BSA and Azide free (AB288451)
  • ICC/IF

Lab

Immunocytochemistry/ Immunofluorescence - Anti-DDX3 antibody [EPR24221-72] - BSA and Azide free (AB288451)

This data was developed using ab271002, the same antibody clone in a different buffer formulation.

Immunofluorescent analysis of 4% Paraformaldehyde-fixed, 0.1% TritonX-100 permeabilized NIH/3T3 cells labelling DDX3 with ab271002 at 1/50 dilution, followed by ab150081 Goat Anti-Rabbit IgG H&L (Alexa Fluor® 488) preadsorbed antibody at 1/1000 dilution (Green). Confocal image showing cytoplasmic staining in NIH/3T3 cell line is observed. ab195889 Anti-alpha Tubulin mouse monoclonal antibody - Microtubule Marker (Alexa Fluor® 594) was used to counterstain tubulin at 1/200 dilution (Red). The Nuclear counterstain was DAPI (Blue).

Secondary antibody only control : Secondary antibody is ab150081 Goat Anti-Rabbit IgG H&L (Alexa Fluor® 488) preadsorbed at 1/1000 dilution.

Flow Cytometry (Intracellular) - Anti-DDX3 antibody [EPR24221-72] - BSA and Azide free (AB288451)
  • Flow Cyt (Intra)

Lab

Flow Cytometry (Intracellular) - Anti-DDX3 antibody [EPR24221-72] - BSA and Azide free (AB288451)

This data was developed using ab271002, the same antibody clone in a different buffer formulation.

Flow cytometric analysis of 4% paraformaldehyde fixed 90% methanol permeabilized NIH/3T3 (Mouse embryonic fibroblast) cells labelling DDX3 with ab271002 at 1/500 dilution (0.1ug) (Red) compared with a Rabbit monoclonal IgG (ab172730) (Black) isotype control and an unlabelled control (cells without incubation with primary antibody and secondary antibody) (Blue).

A Goat Anti-Rabbit IgG (Alexa Fluor® 488, ab150081) at 1/2000 dilution was used as the secondary antibody.

Immunohistochemistry (Formalin/PFA-fixed paraffin-embedded sections) - Anti-DDX3 antibody [EPR24221-72] - BSA and Azide free (AB288451)
  • IHC-P

Lab

Immunohistochemistry (Formalin/PFA-fixed paraffin-embedded sections) - Anti-DDX3 antibody [EPR24221-72] - BSA and Azide free (AB288451)

This data was developed using ab271002, the same antibody clone in a different buffer formulation.

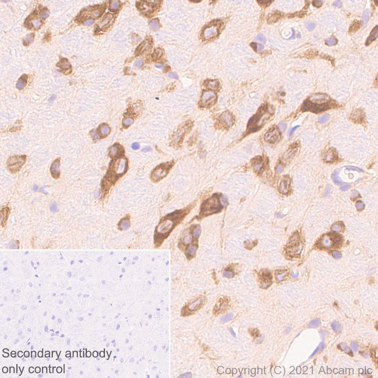
Immunohistochemical analysis of paraffin-embedded Mouse cerebrum tissue labelling DDX3 with ab271002 at 1/10000 (0.06 ug/ml) detected by a ready to use Leica DS9800 (BOND™, Polymer Refine Detection). Positive staining in mouse cerebrum. The section was incubated with ab271002 for 30 mins at room temperature.The immunostaining was performed on a Leica Biosystems BOND® RX instrument Counterstained with Hematoxylin.

Secondary antibody only control : Secondary antibody is a ready to use LeicaDS9800 (BOND™, Polymer Refine Detection) was used.

Heat mediated antigen retrieval with Tris-EDTA buffer (pH 9.0, epitope retrieval solution2) for 20 mins

Immunohistochemistry (Formalin/PFA-fixed paraffin-embedded sections) - Anti-DDX3 antibody [EPR24221-72] - BSA and Azide free (AB288451)
  • IHC-P

Lab

Immunohistochemistry (Formalin/PFA-fixed paraffin-embedded sections) - Anti-DDX3 antibody [EPR24221-72] - BSA and Azide free (AB288451)

This data was developed using ab271002, the same antibody clone in a different buffer formulation.

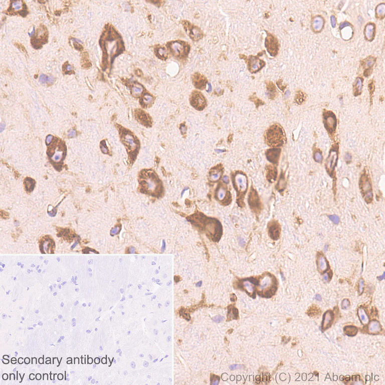
Immunohistochemical analysis of paraffin-embedded Rat cerebrum tissue labelling DDX3 with ab271002 at 1/10000 (0.06 ug/ml) followed by a ready to use Leica DS9800 (BONDTM, Polymer Refine Detection) was used. Positive staining in rat cerebrum. The section was incubated with ab271002 for 30 mins at room temperature. The immunostaining was performed on a Leica Biosystems BOND® RX instrument Counterstained with Hematoxylin.

Secondary antibody only control : Secondary antibody is a ready to use Leica DS9800 (BONDTM, Polymer Refine Detection) was used.

Heat mediated antigen retrieval with Tris-EDTA buffer (pH 9.0, epitope retrieval solution2) for 20 mins

Western blot - Anti-DDX3 antibody [EPR24221-72] - BSA and Azide free (AB288451)
  • WB

Lab

Western blot - Anti-DDX3 antibody [EPR24221-72] - BSA and Azide free (AB288451)

This data was developed using ab271002, the same antibody clone in a different buffer formulation.

Blocking and diluting buffer and concentration :

Exposure time : Lane 1-5 : 26 seconds. Lane 6 : 70 seconds

All lanes:

Western blot - Anti-DDX3 antibody [EPR24221-72] (<a href='/en-us/products/primary-antibodies/ddx3-antibody-epr24221-72-ab271002'>ab271002</a>) at 1/1000 dilution

Lane 1:

Human cerebellum tissue lysate at 20 µg

Lane 2:

HeLa (human epithelial cell line from cervix adenocarcinoma), whole cell lysate at 20 µg

Lane 3:

MCF7 (human breast adenocarcinoma epithelial cell), whole cell lysate at 20 µg

Lane 4:

NIH/3T3 (mouse embryonic fibroblast), whole cell lysate at 20 µg

Lane 5:

C2C12 (Mouse myoblasts myoblast), whole cell lysate at 20 µg

Lane 6:

C6 (rat glial tumor glial cell), whole cell lysate at 20 µg

Secondary

All lanes:

Goat Anti-Rabbit IgG, (H+L), Peroxidase conjugated (<a href='/en-us/products/secondary-antibodies/goat-rabbit-igg-h-l-hrp-ab97051'>ab97051</a>) at 1/100000 dilution

Predicted band size: 73 kDa

Observed band size: 75 kDa

false

Western blot - Anti-DDX3 antibody [EPR24221-72] - BSA and Azide free (AB288451)
  • WB

Lab

Western blot - Anti-DDX3 antibody [EPR24221-72] - BSA and Azide free (AB288451)

This data was developed using ab271002, the same antibody clone in a different buffer formulation.

Blocking and diluting buffer and concentration : Both samples are recombinant proteins expressed from an E.coli expression system.

Exposure time : 3 seconds

All lanes:

Western blot - Anti-DDX3 antibody [EPR24221-72] (<a href='/en-us/products/primary-antibodies/ddx3-antibody-epr24221-72-ab271002'>ab271002</a>) at 1/1000 dilution

Lane 1:

His-tagged human ATP-dependent RNA helicase DDX3X recombinant protein (aa1-173) at 0.01 µg

Lane 2:

His-tagged human ATP-dependent RNA helicase DDX3Y recombinant protein (aa1-171) at 0.01 µg

Secondary

All lanes:

Goat Anti-Rabbit IgG, (H+L), Peroxidase conjugated (<a href='/en-us/products/secondary-antibodies/goat-rabbit-igg-h-l-hrp-ab97051'>ab97051</a>) at 1/100000 dilution

Predicted band size: 73 kDa

Observed band size: 21 kDa

false

Key facts

Host species

Rabbit

Clonality

Monoclonal

Clone number

EPR24221-72

Isotype

IgG

Carrier free

Yes

Reacts with

Rat, Human, Mouse

Applications

IHC-P, ICC/IF, WB, Flow Cyt (Intra)

applications

Immunogen

The exact immunogen used to generate this antibody is proprietary information.

Reactivity data

{ "title": "Reactivity Data", "filters": { "stats": ["", "Species", "Dilution Info", "Notes"], "tabs": { "all-applications": {"fullname" : "All Applications", "shortname": "All Applications"}, "WB" : {"fullname" : "Western blot", "shortname":"WB"}, "IHCP" : {"fullname" : "Immunohistochemistry (Formalin/PFA-fixed paraffin-embedded sections)", "shortname":"IHC-P"}, "ICCIF" : {"fullname" : "Immunocytochemistry/ Immunofluorescence", "shortname":"ICC/IF"}, "FlowCytIntra" : {"fullname" : "Flow Cytometry (Intracellular)", "shortname":"Flow Cyt (Intra)"} }, "product-promise": { "all": "all", "testedAndGuaranteed": "tested", "guaranteed": "expected", "predicted": "predicted", "notRecommended": "not-recommended" } }, "values": { "Human": { "WB-species-checked": "testedAndGuaranteed", "WB-species-dilution-info": "", "WB-species-notes": "<p></p>", "IHCP-species-checked": "testedAndGuaranteed", "IHCP-species-dilution-info": "", "IHCP-species-notes": "<p></p>", "ICCIF-species-checked": "testedAndGuaranteed", "ICCIF-species-dilution-info": "", "ICCIF-species-notes": "<p></p>", "FlowCytIntra-species-checked": "testedAndGuaranteed", "FlowCytIntra-species-dilution-info": "", "FlowCytIntra-species-notes": "<p></p>" }, "Mouse": { "WB-species-checked": "testedAndGuaranteed", "WB-species-dilution-info": "", "WB-species-notes": "<p></p>", "IHCP-species-checked": "testedAndGuaranteed", "IHCP-species-dilution-info": "", "IHCP-species-notes": "<p></p>", "ICCIF-species-checked": "testedAndGuaranteed", "ICCIF-species-dilution-info": "", "ICCIF-species-notes": "<p></p>", "FlowCytIntra-species-checked": "testedAndGuaranteed", "FlowCytIntra-species-dilution-info": "", "FlowCytIntra-species-notes": "<p></p>" }, "Rat": { "WB-species-checked": "testedAndGuaranteed", "WB-species-dilution-info": "", "WB-species-notes": "<p></p>", "IHCP-species-checked": "testedAndGuaranteed", "IHCP-species-dilution-info": "", "IHCP-species-notes": "<p></p>", "ICCIF-species-checked": "guaranteed", "ICCIF-species-dilution-info": "", "ICCIF-species-notes": "", "FlowCytIntra-species-checked": "guaranteed", "FlowCytIntra-species-dilution-info": "", "FlowCytIntra-species-notes": "" } } }

Product details

Patented technology
Our RabMAb® technology is a patented hybridoma-based technology for making rabbit monoclonal antibodies. For details on our patents, please refer to RabMAb® patents.

What are the advantages of a recombinant monoclonal antibody?
This product is a recombinant monoclonal antibody, which offers several advantages including:

  • - High batch-to-batch consistency and reproducibility
  • - Improved sensitivity and specificity
  • - Long-term security of supply
  • - Animal-free batch production

For more information, read more on recombinant antibodies.

Conjugation ready
Our carrier-free antibodies are typically supplied in a PBS-only formulation, purified and free of BSA, sodium azide and glycerol. This conjugation-ready format is designed for use with fluorochromes, metal isotopes, oligonucleotides, and enzymes, which makes them ideal for antibody labelling, functional and cell-based assays, flow-based assays (e.g. mass cytometry) and Multiplex Imaging applications.

Use our conjugation kits for antibody conjugates that are ready-to-use in as little as 20 minutes with 1 minute hands-on-time and 100% antibody recovery: available for fluorescent dyes, HRP, biotin and gold.

Compatibility
This product is compatible with the Maxpar® Antibody Labeling Kit from Fluidigm, without the need for antibody preparation. Maxpar® is a trademark of Fluidigm Canada Inc.

Properties and storage information

Form
Liquid
Purification technique
Affinity purification Protein A
Storage buffer
pH: 7.2 - 7.4 Constituents: PBS
Shipped at conditions
Blue Ice
Appropriate short-term storage conditions
+4°C
Appropriate long-term storage conditions
+4°C

Supplementary information

This supplementary information is collated from multiple sources and compiled automatically.

DDX3 also known as DEAD-box helicase 3 plays an important role mechanically as an RNA helicase involved in unwinding RNA secondary structures. The protein has a mass of approximately 73 kDa and is commonly expressed in the cytoplasm and nucleus of a wide range of cell types. Other names for DDX3 include DBX CAP-Rf and DDX3X highlighting its varied functional roles across different studies.
Biological function summary

DEAD-box helicase 3 serves as a multifunctional protein that regulates gene expression and is implicated in RNA splicing transport and translation. It forms part of various ribonucleoprotein complexes influencing processes such as mRNA export and translation initiation. DDX3 often interacts with other proteins like eIF4E which further modulates translation of specific mRNAs.

Pathways

DEAD-box helicase 3 acts as an essential component in several cellular pathways. It plays roles in the Wnt/β-catenin signaling pathway where it can influence gene transcription important for cell fate decisions. DDX3 also participates in the innate immune response pathway interacting with proteins like MAVS to modulate antiviral defense mechanisms.

DEAD-box helicase 3 has been associated with various cancers including hepatocellular carcinoma and breast cancer. Abnormal DDX3 function or expression can disrupt cell cycle regulation leading to uncontrolled cell growth. Additionally in viral infections such as Hepatitis C DDX3 interacts with viral proteins to facilitate replication showcasing its role in both promoting and hindering disease progression.

Product protocols

For this product, it's our understanding that no specific protocols are required. You can visit:

Target data

Multifunctional ATP-dependent RNA helicase (PubMed : 17357160, PubMed : 21589879, PubMed : 31575075). The ATPase activity can be stimulated by various ribo-and deoxynucleic acids indicative for a relaxed substrate specificity (PubMed : 29222110). In vitro can unwind partially double-stranded DNA with a preference for 5'-single-stranded DNA overhangs (PubMed : 17357160, PubMed : 21589879). Binds RNA G-quadruplex (rG4s) structures, including those located in the 5'-UTR of NRAS mRNA (PubMed : 30256975). Involved in many cellular processes, which do not necessarily require its ATPase/helicase catalytic activities (Probable). Involved in transcription regulation (PubMed : 16818630, PubMed : 18264132). Positively regulates CDKN1A/WAF1/CIP1 transcription in an SP1-dependent manner, hence inhibits cell growth. This function requires its ATPase, but not helicase activity (PubMed : 16818630, PubMed : 18264132). CDKN1A up-regulation may be cell-type specific (PubMed : 18264132). Binds CDH1/E-cadherin promoter and represses its transcription (PubMed : 18264132). Potentiates HNF4A-mediated MTTP transcriptional activation; this function requires ATPase, but not helicase activity. Facilitates HNF4A acetylation, possibly catalyzed by CREBBP/EP300, thereby increasing the DNA-binding affinity of HNF4 to its response element. In addition, disrupts the interaction between HNF4 and SHP that forms inactive heterodimers and enhances the formation of active HNF4 homodimers. By promoting HNF4A-induced MTTP expression, may play a role in lipid homeostasis (PubMed : 28128295). May positively regulate TP53 transcription (PubMed : 28842590). Associates with mRNPs, predominantly with spliced mRNAs carrying an exon junction complex (EJC) (PubMed : 17095540, PubMed : 18596238). Involved in the regulation of translation initiation (PubMed : 17667941, PubMed : 18628297, PubMed : 22872150). Not involved in the general process of translation, but promotes efficient translation of selected complex mRNAs, containing highly structured 5'-untranslated regions (UTR) (PubMed : 20837705, PubMed : 22872150). This function depends on helicase activity (PubMed : 20837705, PubMed : 22872150). Might facilitate translation by resolving secondary structures of 5'-UTRs during ribosome scanning (PubMed : 20837705). Alternatively, may act prior to 43S ribosomal scanning and promote 43S pre-initiation complex entry to mRNAs exhibiting specific RNA motifs, by performing local remodeling of transcript structures located close to the cap moiety (PubMed : 22872150). Independently of its ATPase activity, promotes the assembly of functional 80S ribosomes and disassembles from ribosomes prior to the translation elongation process (PubMed : 22323517). Positively regulates the translation of cyclin E1/CCNE1 mRNA and consequently promotes G1/S-phase transition during the cell cycle (PubMed : 20837705). May activate TP53 translation (PubMed : 28842590). Required for endoplasmic reticulum stress-induced ATF4 mRNA translation (PubMed : 29062139). Independently of its ATPase/helicase activity, enhances IRES-mediated translation; this activity requires interaction with EIF4E (PubMed : 17667941, PubMed : 22323517). Independently of its ATPase/helicase activity, has also been shown specifically repress cap-dependent translation, possibly by acting on translation initiation factor EIF4E (PubMed : 17667941). Involved in innate immunity, acting as a viral RNA sensor. Binds viral RNAs and promotes the production of type I interferon (IFN-alpha and IFN-beta) (PubMed : 20127681, PubMed : 21170385, PubMed : 31575075). Potentiate MAVS/RIGI-mediated induction of IFNB in early stages of infection (PubMed : 20127681, PubMed : 21170385). Enhances IFNB1 expression via IRF3/IRF7 pathway and participates in NFKB activation in the presence of MAVS and TBK1 (PubMed : 18583960, PubMed : 18636090, PubMed : 19913487, PubMed : 21170385, PubMed : 27980081). Involved in TBK1 and IKBKE-dependent IRF3 activation leading to IFNB induction, acts as a scaffolding adapter that links IKBKE and IRF3 and coordinates their activation (PubMed : 23478265). Involved in the TLR7/TLR8 signaling pathway leading to type I interferon induction, including IFNA4 production. In this context, acts as an upstream regulator of IRF7 activation by MAP3K14/NIK and CHUK/IKKA. Stimulates CHUK autophosphorylation and activation following physiological activation of the TLR7 and TLR8 pathways, leading to MAP3K14/CHUK-mediated activatory phosphorylation of IRF7 (PubMed : 30341167). Also stimulates MAP3K14/CHUK-dependent NF-kappa-B signaling (PubMed : 30341167). Negatively regulates TNF-induced IL6 and IL8 expression, via the NF-kappa-B pathway. May act by interacting with RELA/p65 and trapping it in the cytoplasm (PubMed : 27736973). May also bind IFNB promoter; the function is independent of IRF3 (PubMed : 18583960). Involved in both stress and inflammatory responses (By similarity). Independently of its ATPase/helicase activity, required for efficient stress granule assembly through its interaction with EIF4E, hence promotes survival in stressed cells (PubMed : 21883093). Independently of its helicase activity, regulates NLRP3 inflammasome assembly through interaction with NLRP3 and hence promotes cell death by pyroptosis during inflammation. This function is independent of helicase activity (By similarity). Therefore DDX3X availability may be used to interpret stress signals and choose between pro-survival stress granules and pyroptotic NLRP3 inflammasomes and serve as a live-or-die checkpoint in stressed cells (By similarity). In association with GSK3A/B, negatively regulates extrinsic apoptotic signaling pathway via death domain receptors, including TNFRSF10B, slowing down the rate of CASP3 activation following death receptor stimulation (PubMed : 18846110). Cleavage by caspases may inactivate DDX3X and relieve the inhibition (PubMed : 18846110). Independently of its ATPase/helicase activity, allosteric activator of CSNK1E. Stimulates CSNK1E-mediated phosphorylation of DVL2, thereby involved in the positive regulation of Wnt/beta-catenin signaling pathway. Also activates CSNK1A1 and CSNK1D in vitro, but it is uncertain if these targets are physiologically relevant (PubMed : 23413191, PubMed : 29222110). ATPase and casein kinase-activating functions are mutually exclusive (PubMed : 29222110). May be involved in mitotic chromosome segregation (PubMed : 21730191).. (Microbial infection) Facilitates hepatitis C virus (HCV) replication (PubMed : 29899501). During infection, HCV core protein inhibits the interaction between MAVS and DDX3X and therefore impairs MAVS-dependent INFB induction and might recruit DDX3X to HCV replication complex (PubMed : 21170385).. (Microbial infection) Facilitates HIV-1 replication (PubMed : 15507209, PubMed : 18583960, PubMed : 21589879, PubMed : 22872150, PubMed : 29899501). Acts as a cofactor for XPO1-mediated nuclear export of HIV-1 Rev RNAs (PubMed : 15507209, PubMed : 18583960, PubMed : 29899501). This function is strongly stimulated in the presence of TBK1 and requires DDX3X ATPase activity (PubMed : 18583960).. (Microbial infection) Facilitates Zika virus (ZIKV) replication.. (Microbial infection) Facilitates Dengue virus (DENV) replication.. (Microbial infection) Facilitates Venezuelan equine encephalitis virus (VEEV) replication.
See full target information DDX3X

Product promise

We are committed to supporting your work with high-quality reagents, and we're here for you every step of the way. In the unlikely event that one of our products does not perform as expected, you're protected by our Product Promise.
For full details, please see our Terms & Conditions

Please note: All products are 'FOR RESEARCH USE ONLY. NOT FOR USE IN DIAGNOSTIC OR THERAPEUTIC PROCEDURES'.

For licensing inquiries, please contact partnerships@abcam.com