JavaScript is disabled in your browser. Please enable JavaScript to view this website.
AB176348

Anti-DDX39 antibody [EPR13507(B)]

Be the first to review this product! Submit a review

|

(4 Publications)

Rabbit Recombinant Monoclonal DDX39 antibody. Suitable for IHC-P, IP, WB, ICC/IF and reacts with Human samples. Cited in 4 publications.

View Alternative Names

DDX39, DDX39A, ATP-dependent RNA helicase DDX39A, DEAD box protein 39, Nuclear RNA helicase URH49

5 Images
Immunocytochemistry/ Immunofluorescence - Anti-DDX39 antibody [EPR13507(B)] (AB176348)
  • ICC/IF

Supplier Data

Immunocytochemistry/ Immunofluorescence - Anti-DDX39 antibody [EPR13507(B)] (AB176348)

Immunofluorescent staining of HepG2 cells labeling DDX39 with ab176348 at 1/50 dilution.

Immunohistochemistry (Formalin/PFA-fixed paraffin-embedded sections) - Anti-DDX39 antibody [EPR13507(B)] (AB176348)
  • IHC-P

Supplier Data

Immunohistochemistry (Formalin/PFA-fixed paraffin-embedded sections) - Anti-DDX39 antibody [EPR13507(B)] (AB176348)

Immunohistochemical analysis of paraffin-embedded Human colon tissue labeling DDX39 with ab176348 at 1/50 dilution.

Perform heat mediated antigen retrieval with citrate buffer pH 6 before commencing with IHC staining protocol.

Immunohistochemistry (Formalin/PFA-fixed paraffin-embedded sections) - Anti-DDX39 antibody [EPR13507(B)] (AB176348)
  • IHC-P

Supplier Data

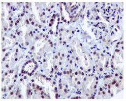
Immunohistochemistry (Formalin/PFA-fixed paraffin-embedded sections) - Anti-DDX39 antibody [EPR13507(B)] (AB176348)

Immunohistochemical analysis of paraffin-embedded Human kidney tissue labeling DDX39 with ab176348 at 1/50 dilution.

Perform heat mediated antigen retrieval with citrate buffer pH 6 before commencing with IHC staining protocol.

Immunoprecipitation - Anti-DDX39 antibody [EPR13507(B)] (AB176348)
  • IP

Supplier Data

Immunoprecipitation - Anti-DDX39 antibody [EPR13507(B)] (AB176348)

Western blot analysis on immunoprecipitation pellet from (1) Jurkat cells lysate or (2) 1X PBS (negative control) using ab176348 at 1/10 dilution, and HRP-conjugated anti-rabbit IgG preferentially detecting the non-reduced form of rabbit IgG.

All lanes:

Immunoprecipitation - Anti-DDX39 antibody [EPR13507(B)] (ab176348)

Predicted band size: 49 kDa

false

Western blot - Anti-DDX39 antibody [EPR13507(B)] (AB176348)
  • WB

Supplier Data

Western blot - Anti-DDX39 antibody [EPR13507(B)] (AB176348)

Western blot analysis on immunoprecipitation pellet from (1) Jurkat cells lysate or (2) 1X PBS (negative control) using ab176348 at 1/10 dilution and HRP-conjugated anti-rabbit IgG preferentially detecting the non-reduced form of rabbit IgG.

All lanes:

Western blot - Anti-DDX39 antibody [EPR13507(B)] (ab176348) at 1/10000 dilution

Lane 1:

Human seminoma lysate at 10 µg

Lane 2:

Jurkat cell lysate at 10 µg

Lane 3:

HeLa cell lysate at 10 µg

Lane 4:

HepG2 cell lysate at 10 µg

Lane 5:

A431 cell lysate at 10 µg

Predicted band size: 49 kDa

false

  • 578 PE

    PE Anti-DDX39 antibody [EPR13507(B)]

  • 665 Alexa Fluor® 647

    Alexa Fluor® 647 Anti-DDX39 antibody [EPR13507(B)]

  • Carrier free

    Anti-DDX39 antibody [EPR13507(B)] - BSA and Azide free

Key facts

Host species

Rabbit

Clonality

Monoclonal

Clone number

EPR13507(B)

Isotype

IgG

Carrier free

No

Reacts with

Human

Applications

ICC/IF, IHC-P, WB, IP

applications

Immunogen

The exact immunogen used to generate this antibody is proprietary information.

Reactivity data

{ "title": "Reactivity Data", "filters": { "stats": ["", "Species", "Dilution Info", "Notes"], "tabs": { "all-applications": {"fullname" : "All Applications", "shortname": "All Applications"}, "IHCP" : {"fullname" : "Immunohistochemistry (Formalin/PFA-fixed paraffin-embedded sections)", "shortname":"IHC-P"}, "IP" : {"fullname" : "Immunoprecipitation", "shortname":"IP"}, "WB" : {"fullname" : "Western blot", "shortname":"WB"}, "ICCIF" : {"fullname" : "Immunocytochemistry/ Immunofluorescence", "shortname":"ICC/IF"} }, "product-promise": { "all": "all", "testedAndGuaranteed": "tested", "guaranteed": "expected", "predicted": "predicted", "notRecommended": "not-recommended" } }, "values": { "Human": { "IHCP-species-checked": "testedAndGuaranteed", "IHCP-species-dilution-info": "1/50 - 1/100", "IHCP-species-notes": "<p></p> Perform heat-mediated antigen retrieval with citrate buffer pH 6 before commencing with IHC staining protocol.", "IP-species-checked": "testedAndGuaranteed", "IP-species-dilution-info": "1/10 - 1/100", "IP-species-notes": "<p></p>", "WB-species-checked": "testedAndGuaranteed", "WB-species-dilution-info": "1/1000 - 1/50000", "WB-species-notes": "<p></p>", "ICCIF-species-checked": "testedAndGuaranteed", "ICCIF-species-dilution-info": "1/50 - 1/100", "ICCIF-species-notes": "<p></p>" }, "Mouse": { "IHCP-species-checked": "predicted", "IHCP-species-dilution-info": "", "IHCP-species-notes": "", "IP-species-checked": "predicted", "IP-species-dilution-info": "", "IP-species-notes": "", "WB-species-checked": "predicted", "WB-species-dilution-info": "", "WB-species-notes": "", "ICCIF-species-checked": "predicted", "ICCIF-species-dilution-info": "", "ICCIF-species-notes": "" }, "Rat": { "IHCP-species-checked": "predicted", "IHCP-species-dilution-info": "", "IHCP-species-notes": "", "IP-species-checked": "predicted", "IP-species-dilution-info": "", "IP-species-notes": "", "WB-species-checked": "predicted", "WB-species-dilution-info": "", "WB-species-notes": "", "ICCIF-species-checked": "predicted", "ICCIF-species-dilution-info": "", "ICCIF-species-notes": "" } } }

Product details

Patented technology
Our RabMAb® technology is a patented hybridoma-based technology for making rabbit monoclonal antibodies. For details on our patents, please refer to RabMAb® patents.

What are the advantages of a recombinant monoclonal antibody?
This product is a recombinant monoclonal antibody, which offers several advantages including:

  • - High batch-to-batch consistency and reproducibility
  • - Improved sensitivity and specificity
  • - Long-term security of supply
  • - Animal-free batch production

For more information, read more on recombinant antibodies.

Properties and storage information

Form
Liquid
Purification technique
Affinity purification Protein A
Storage buffer
pH: 7.2 - 7.4 Preservative: 0.01% Sodium azide Constituents: PBS, 40% Glycerol (glycerin, glycerine), 0.05% BSA
Shipped at conditions
Blue Ice
Appropriate short-term storage duration
1-2 weeks
Appropriate short-term storage conditions
+4°C
Appropriate long-term storage conditions
-20°C
Aliquoting information
Upon delivery aliquot
Storage information
Avoid freeze / thaw cycle

Supplementary information

This supplementary information is collated from multiple sources and compiled automatically.

The DDX39 protein also known as DDX39A or BAT1 belongs to the DEAD box family of proteins and has a molecular mass of approximately 49 kDa. Mechanically DDX39 functions as an RNA helicase which plays a critical role in the unwinding of RNA secondary structures during various RNA metabolic processes. The protein facilitates RNA splicing transport and translation by interacting with these fundamental cellular mechanisms. DDX39 is widely expressed in various tissues including liver heart and brain highlighting its importance across different biological systems.
Biological function summary

The multifunctional attributes of DDX39 contribute significantly to RNA processing events. The protein serves as an integral part of the TREX (transcription/export) complex which mediates the export of mRNA from the nucleus to the cytoplasm. By unwinding RNA DDX39 ensures proper mRNA maturation and transport essential for accurate gene expression. The involvement of DDX39 in the TREX complex highlights its central role in maintaining cellular homeostasis.

Pathways

DDX39 participates actively in gene expression and mRNA processing pathways. The protein's role in the TREX complex links it to the mRNA export pathway important for synthesizing proteins and cell cycle progression. Through its activities DDX39 interacts with related proteins such as ALYREF and UAP56 coordinating the transfer of mRNA. These interactions highlight its collaborative function within complex cellular processes.

DDX39 has connections to cancer including breast and lung cancer where altered mRNA processing contributes to tumor progression. The protein associates closely with other mRNA processing components like ALYREF where dysregulated interactions might influence cancer cell proliferation. Additionally DDX39 abnormalities have associations with spinal muscular atrophy where its involvement in RNA processing affects motor neuron health. This links DDX39 through its complex roles in both cancer and neurodegenerative disorders.

Product protocols

For this product, it's our understanding that no specific protocols are required. You can visit:

Target data

Isoform 1. Involved in pre-mRNA splicing. Required for the export of mRNA out of the nucleus.
See full target information DDX39A

Publications (4)

Recent publications for all applications. Explore the full list and refine your search

eLife 12: PubMed37535403

2023

Promoting axon regeneration by inhibiting RNA N6-methyladenosine demethylase ALKBH5.

Applications

Unspecified application

Species

Unspecified reactive species

Dong Wang,Tiemei Zheng,Songlin Zhou,Mingwen Liu,Yaobo Liu,Xiaosong Gu,Susu Mao,Bin Yu

Nucleic acids research 51:1326-1352 PubMed36718960

2023

Identification of RNA helicases with unwinding activity on angiogenin-processed tRNAs.

Applications

Unspecified application

Species

Unspecified reactive species

Aleksej Drino,Lisa König,Charlotte Capitanchik,Nasim Sanadgol,Eva Janisiw,Tom Rappol,Elisa Vilardo,Matthias R Schaefer

Cell cycle (Georgetown, Tex.) 20:819-828 PubMed33858292

2021

NRF1-regulated CircNSUN2 promotes lymphoma progression through activating Wnt signaling pathway via stabilizing HMGA1.

Applications

Unspecified application

Species

Unspecified reactive species

Lifu Wang,Bo Yang,Ziguang Xu,Xiaoxia Song,Zhiquan Gong,Shuang Xue,Lingfei Kong

Frontiers in oncology 10:1261 PubMed32903487

2020

DDX39 Overexpression Predicts a Poor Prognosis and Promotes Aggressiveness of Melanoma by Cooperating With SNAIL.

Applications

Unspecified application

Species

Unspecified reactive species

Chengjuan Xing,Hui Tian,Yini Zhang,Kun Guo,Ying Tang,Qimin Wang,Li Lv,Lifen Wang
View all publications

Product promise

We are committed to supporting your work with high-quality reagents, and we're here for you every step of the way. In the unlikely event that one of our products does not perform as expected, you're protected by our Product Promise.
For full details, please see our Terms & Conditions

Please note: All products are 'FOR RESEARCH USE ONLY. NOT FOR USE IN DIAGNOSTIC OR THERAPEUTIC PROCEDURES'.

For licensing inquiries, please contact partnerships@abcam.com