JavaScript is disabled in your browser. Please enable JavaScript to view this website.
AB270534

Anti-DDX4 / MVH antibody [EPR24148-58]

  • BOND RX™ Validated
  • 20ul selling size
  • RabMAb
  • Advanced Validation
  • Recombinant
  • What is this?

5

(1 Review)

|

(15 Publications)

Rabbit Recombinant Monoclonal DDX4 / MVH antibody. Suitable for mIHC, WB, IHC-Fr, IHC-P and reacts with Human, Mouse, Rat samples. Cited in 15 publications.

View Alternative Names

VASA, DDX4, Probable ATP-dependent RNA helicase DDX4, DEAD box protein 4, Vasa homolog

23 Images
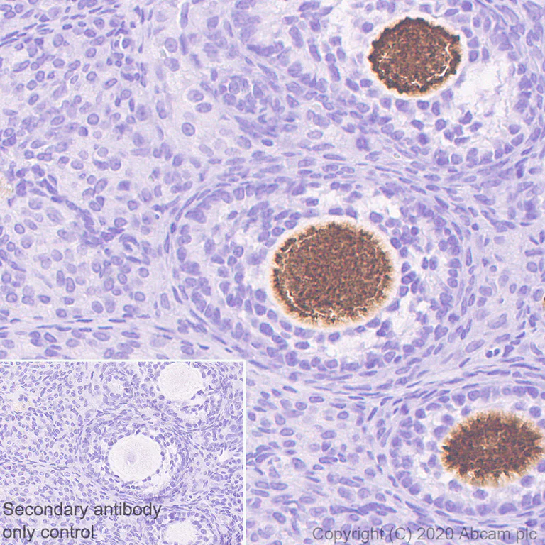
Immunohistochemistry (Formalin/PFA-fixed paraffin-embedded sections) - Anti-DDX4 / MVH antibody [EPR24148-58] (AB270534)
  • IHC-P

Supplier Data

Immunohistochemistry (Formalin/PFA-fixed paraffin-embedded sections) - Anti-DDX4 / MVH antibody [EPR24148-58] (AB270534)

Immunohistochemical analysis of paraffin-embedded Human ovary tissue labeling DDX4 / MVH with ab270534 at 1/2000 (0.228 ug/ml) dilution followed by a ready to use Rabbit specific IHC polymer detection kit HRP/DAB (ab209101). Cytoplasmic staining in oocytes of human ovary (PMID : 26444630).The section was incubated with ab270534 for 10 mins at room temperature. The immunostaining was performed on a Leica Biosystems BOND® RX instrument. Counterstained with Hematoxylin.

Secondary antibody only control : Secondary antibody is a ready to use Rabbit specific IHC polymer detection kit HRP/DAB (ab209101).

Heat mediated antigen retrieval with Tris-EDTA buffer (pH 9.0, epitope retrieval solution2) for 20 mins.

Multiplex immunohistochemistry - Anti-DDX4 / MVH antibody [EPR24148-58] (AB270534)
  • mIHC

Lab

Multiplex immunohistochemistry - Anti-DDX4 / MVH antibody [EPR24148-58] (AB270534)

Multiplex immunohistochemistry analysis of formalin/PFA-fixed paraffin-embedded human testis tissue staining Oligodendrocyte Specific Protein with ab323317 at a 1/500 dilution, ab315800 anti-CYP51A1 used at 1/2000 dilution and ab270534 anti-DDX4/MVH used at a 1/2000 dilution.

Panel A : anti-Oligodendrocyte Specific Protein (green; Opal™520), anti-CYP51A1 (magenta; Opal™690) and anti-DDX/MVH (gray; Opal™570) on human testis.

Panel B : anti-Oligodendrocyte Specific Protein staining apical Sertoli cell crypts in human testis.

Panel C : anti-CYP51A1 staining Leydig cells in human testis.

Panel D : anti-DDX4/MVH staining spermatogonia in human testis.

Nuclear DNA was labeled with DAPI (shown in blue).

The section was incubated in three rounds of staining : in the order of ab323317, ab315800 and ab270534 for 30 mins at room temperature. Each round was followed by a separate fluorescent tyramide signal amplification system.

The immunostaining was performed on a Leica Biosystems BOND® RX instrument with an Opal™ 4-color kit. Image acquisition was performed with Leica SP8 confocal microscope.

Heat mediated antigen retrieval was performed with Tris-EDTA buffer (pH 9.0, Epitope Retrieval Solution 2) for 20 mins.

Multiplex immunohistochemistry - Anti-DDX4 / MVH antibody [EPR24148-58] (AB270534)
  • mIHC

Lab

Multiplex immunohistochemistry - Anti-DDX4 / MVH antibody [EPR24148-58] (AB270534)

Panel A : anti-Oligodendrocyte Specific Protein (green; Opal™520), anti-LAMA1 (magenta; Opal™690) and anti-DDX/MVH (gray; Opal™570) on human testis. Panel B : anti-Oligodendrocyte Specific Protein staining apical Sertoli cell crypts in human testis. Panel C : anti-LAMA1 staining basement membrane in human testis. Panel D : anti-DDX4/MVH staining spermatogonia in human testis. Nuclear DNA was labeled with DAPI (shown in blue). The section was incubated in three rounds of staining : in the order of ab323317, ab315275 and ab270534 for 30 mins at room temperature. Each round was followed by a separate fluorescent tyramide signal amplification system. The immunostaining was performed on a Leica Biosystems BOND® RX instrument with an Opal™ 4-color kit. Image acquisition was performed with Leica SP8 confocal microscope.

Multiplex immunohistochemistry - Anti-DDX4 / MVH antibody [EPR24148-58] (AB270534)
  • mIHC

Lab

Multiplex immunohistochemistry - Anti-DDX4 / MVH antibody [EPR24148-58] (AB270534)

Multiplex immunohistochemistry analysis of formalin/PFA-fixed paraffin-embedded human testis tissue staining Oligodendrocyte Specific Protein with ab323317 at a 1/500 dilution, ab315275 anti-LAMA1 used at 1/500 dilution and ab270534 anti-DDX4/MVH used at a 1/2000 dilution.

Panel A : anti-Oligodendrocyte Specific Protein (green; Opal™520), anti-LAMA1 (magenta; Opal™690) and anti-DDX/MVH (gray; Opal™570) on human testis.

Panel B : anti-Oligodendrocyte Specific Protein staining apical Sertoli cell crypts in human testis.

Panel C : anti-LAMA1 staining basement membrane in human testis.

Panel D : anti-DDX4/MVH staining spermatogonia in human testis.

Nuclear DNA was labeled with DAPI (shown in blue).

The section was incubated in three rounds of staining : in the order of ab323317, ab315275 and ab270534 for 30 mins at room temperature. Each round was followed by a separate fluorescent tyramide signal amplification system.

The immunostaining was performed on a Leica Biosystems BOND® RX instrument with an Opal™ 4-color kit. Image acquisition was performed with Leica SP8 confocal microscope.

Heat mediated antigen retrieval was performed with Tris-EDTA buffer (pH 9.0, Epitope Retrieval Solution 2) for 20 mins.

Multiplex immunohistochemistry - Anti-DDX4 / MVH antibody [EPR24148-58] (AB270534)
  • mIHC

Lab

Multiplex immunohistochemistry - Anti-DDX4 / MVH antibody [EPR24148-58] (AB270534)

Multiplex immunohistochemistry analysis of formalin/PFA-fixed paraffin-embedded human testis tissue staining CYP51A1/CYP51 with ab315800 at a 1/2000 dilution, ab270534 anti-DDX4 / MVH used at 1/2000 dilution and ab315275 anti-LAMA1 used at a 1/500 dilution. Opal Polymer HRP Ms + Rb was used as a secondary antibody.

Panel A : merged staining of anti-CYP51A1/CYP51 (green; Opal520), anti-DDX4 / MVH (magenta; Opal690) and anti-LAMA1 (grey; Opal570) on human testis. Panel B : anti-CYP51A1/CYP51 staining leydig cells in human testis.
Panel C : anti-DDX4 / MVH staining spermatogonia and spermatocytes in human testis.
Panel D : anti-LAMA1 staining basement membrane in human testis.
Nuclear DNA was labeled with DAPI (shown in blue).

The section was incubated in three rounds of staining : in the order of ab315800, ab270834 and ab315275 for 30 mins at room temperature. Each round was followed by a separate fluorescent tyramide signal amplification system.

The immunostaining was performed on a Leica Biosystems BOND®RX instrument with an Opal 4-color kit. Image acquisition was performed with Leica SP8 confocal microscope.

Heat mediated antigen retrieval with Tris-EDTA buffer (pH 9.0, epitope retrieval solution2) for 20 mins.

Multiplex immunohistochemistry - Anti-DDX4 / MVH antibody [EPR24148-58] (AB270534)
  • mIHC

Lab

Multiplex immunohistochemistry - Anti-DDX4 / MVH antibody [EPR24148-58] (AB270534)

Multiplex immunohistochemistry (Formalin/PFA-fixed paraffin-embedded sections) analysis of human testis tissue.

Panel A : merged staining of anti-Vimentin (red; Opal™690), anti-CYP11A1 (cyan; Opal™520) and anti-DDX4 / MVH (green; Opal™570) on human testis.
Panel B : anti-CYP11A1 stained on Leydig cells.
Panel C : anti-DDX4 / MVH stained on all spermatogenic cell types.
Panel D : anti-Vimentin stained on Sertoli cells and fibroblasts.

The section was incubated in three rounds of staining : in the order of ab193555 (1 : 2000 dilution) and ab272494 (1 : 10000 dilution) for 30 mins, then ab270534 (1 : 2000 dlilution) for 10 mins at room temperature. Each round was followed by a separate fluorescent tyramide signal amplification system.

The immunostaining was performed on a Leica Biosystems BOND® RX instrument with an Opal™ 4-color kit. Image acquisition was performed with Leica SP8 confocal microscope.

DAPI was used as a nuclear counter stain. Opal Polymer HRP Ms + Rb was used as a secondary.

Antigen retrieval : Heat mediated antigen retrieval with Tris-EDTA buffer (pH 9.0, epitope retrieval solution2) for 20 mins.

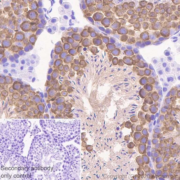
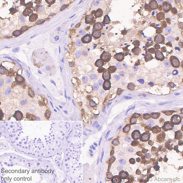
Immunohistochemistry (Formalin/PFA-fixed paraffin-embedded sections) - Anti-DDX4 / MVH antibody [EPR24148-58] (AB270534)
  • IHC-P

Supplier Data

Immunohistochemistry (Formalin/PFA-fixed paraffin-embedded sections) - Anti-DDX4 / MVH antibody [EPR24148-58] (AB270534)

Immunohistochemical analysis of paraffin-embedded Human testis tissue labeling DDX4 / MVH with ab270534 at 1/2000 (0.228 ug/ml) dilution followed by a ready to use Rabbit specific IHC polymer detection kit HRP/DAB (ab209101). Cytoplasmic staining in spermatogonia and spermatocytes of human testis (PMID : 26444630). The section was incubated with ab270534 for 10 mins at room temperature. The immunostaining was performed on a Leica Biosystems BOND® RX instrument Counterstained with Hematoxylin.

Secondary antibody only control : Secondary antibody is a ready to use Rabbit specific IHC polymer detection kit HRP/DAB (ab209101).

Heat mediated antigen retrieval with Tris-EDTA buffer (pH 9.0, epitope retrieval solution2) for 20 mins.

Multiplex immunohistochemistry - Anti-DDX4 / MVH antibody [EPR24148-58] (AB270534)
  • mIHC

Lab

Multiplex immunohistochemistry - Anti-DDX4 / MVH antibody [EPR24148-58] (AB270534)

Multiplex immunohistochemistry analysis of formalin/PFA-fixed paraffin-embedded mouse testis tissue staining Oligodendrocyte Specific Protein with ab323317 at a 1/500 dilution, ab315800 anti-CYP51A1 used at 1/2000 dilution and ab270534 anti-DDX4/MVH used at a 1/2000 dilution.

Panel A : anti-Oligodendrocyte Specific Protein (green; Opal™520), anti-CYP51A1 (magenta; Opal™690) and anti-DDX/MVH (gray; Opal™570) on human testis.

Panel B : anti-Oligodendrocyte Specific Protein staining apical Sertoli cell crypts in mouse testis.

Panel C : anti-CYP51A1 staining Leydig cells in mouse testis.

Panel D : anti-DDX4/MVH staining spermatogonia in mouse testis.

Nuclear DNA was labeled with DAPI (shown in blue).

The section was incubated in three rounds of staining : in the order of ab323317, ab315800 and ab270534 for 30 mins at room temperature. Each round was followed by a separate fluorescent tyramide signal amplification system.

The immunostaining was performed on a Leica Biosystems BOND® RX instrument with an Opal™ 4-color kit. Image acquisition was performed with Leica SP8 confocal microscope.

Heat mediated antigen retrieval was performed with Tris-EDTA buffer (pH 9.0, Epitope Retrieval Solution 2) for 20 mins.

Immunohistochemistry (Formalin/PFA-fixed paraffin-embedded sections) - Anti-DDX4 / MVH antibody [EPR24148-58] (AB270534)
  • IHC-P

Supplier Data

Immunohistochemistry (Formalin/PFA-fixed paraffin-embedded sections) - Anti-DDX4 / MVH antibody [EPR24148-58] (AB270534)

Immunohistochemical analysis of paraffin-embedded Rat testis tissue labeling DDX4 / MVH with ab270534 at 1/2000 (0.228 ug/ml) dilution followed by a ready to use Rabbit specific IHC polymer detection kit HRP/DAB (ab209101). Cytoplasmic staining in spermatogonia and spermatocytes of rat testis. The section was incubated with ab270534 for 10 mins at room temperature. The immunostaining was performed on a Leica Biosystems BOND® RX instrument. Counterstained with Hematoxylin.

Secondary antibody only control : Secondary antibody is a ready to use Rabbit specific IHC polymer detection kit HRP/DAB (ab209101).

Heat mediated antigen retrieval with Tris-EDTA buffer (pH 9.0, epitope retrieval solution2) for 20 mins.

Multiplex immunohistochemistry - Anti-DDX4 / MVH antibody [EPR24148-58] (AB270534)
  • mIHC

Lab

Multiplex immunohistochemistry - Anti-DDX4 / MVH antibody [EPR24148-58] (AB270534)

Multiplex immunohistochemistry analysis of formalin/PFA-fixed paraffin-embedded mouse testis tissue staining CYP51A1/CYP51 with ab315800 at a 1/2000 dilution, ab270534 anti-DDX4 / MVH used at 1/2000 dilution and ab315275 anti-LAMA1 used at a 1/500 dilution. Opal Polymer HRP Ms + Rb was used as a secondary antibody.

Panel A : merged staining of anti-CYP51A1/CYP51 (green; Opal520), anti-DDX4 / MVH (magenta; Opal690) and anti-LAMA1 (grey; Opal570) on mouse testis. Panel B : anti-CYP51A1/CYP51 staining leydig cells in mouse testis.
Panel C : anti-DDX4 / MVH staining spermatogonia and spermatocytes in mouse testis.
Panel D : anti-LAMA1 staining basement membrane in mouse testis.
Nuclear DNA was labeled with DAPI (shown in blue).

The section was incubated in three rounds of staining : in the order of ab315800, ab270834 and ab315275 for 30 mins at room temperature. Each round was followed by a separate fluorescent tyramide signal amplification system.

The immunostaining was performed on a Leica Biosystems BOND®RX instrument with an Opal 4-color kit. Image acquisition was performed with Leica SP8 confocal microscope.

Heat mediated antigen retrieval with Tris-EDTA buffer (pH 9.0, epitope retrieval solution2) for 20 mins.

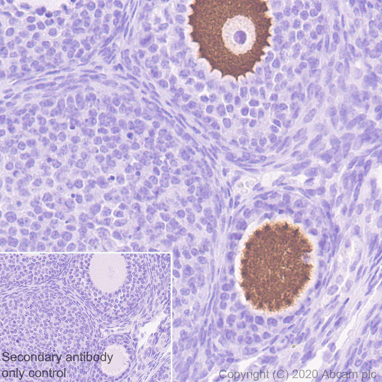
Immunohistochemistry (Formalin/PFA-fixed paraffin-embedded sections) - Anti-DDX4 / MVH antibody [EPR24148-58] (AB270534)
  • IHC-P

Supplier Data

Immunohistochemistry (Formalin/PFA-fixed paraffin-embedded sections) - Anti-DDX4 / MVH antibody [EPR24148-58] (AB270534)

Immunohistochemical analysis of paraffin-embedded Mouse ovary tissue labeling DDX4 / MVH with ab270534 at 1/2000 (0.228 ug/ml) dilution followed by a ready to use Rabbit specific IHC polymer detection kit HRP/DAB (ab209101). Cytoplasmic staining in oocytes of mouse ovary. The section was incubated with ab270534 for 10 mins at room temperature. The immunostaining was performed on a Leica Biosystems BOND® RX instrument. Counterstained with Hematoxylin.

Secondary antibody only control : Secondary antibody is a ready to use Rabbit specific IHC polymer detection kit HRP/DAB (ab209101).

Heat mediated antigen retrieval with Tris-EDTA buffer (pH 9.0, epitope retrieval solution2) for 20 mins.

Immunohistochemistry (Frozen sections) - Anti-DDX4 / MVH antibody [EPR24148-58] (AB270534)
  • IHC-Fr

Supplier Data

Immunohistochemistry (Frozen sections) - Anti-DDX4 / MVH antibody [EPR24148-58] (AB270534)

Immunohistochemical analysis of 4% PFA-fixed, 0.2% Triton X-100 permeabilized frozen Mouse testis tissue labeling DDX4 / MVH with ab270534 at 1/250 (1.824 ug/ml) dilution followed by ab150077 Goat Anti-Rabbit IgG H&L (Alexa Fluor® 488) at 1/1000 dilution (Green). Positive staining on mouse testis is observed. The nuclear counterstain was DAPI (Blue).

Secondary antibody control : Secondary antibody is ab150077 Goat Anti-Rabbit IgG H&L (Alexa Fluor® 488)at 1/1000 dilution.

Heat mediated antigen retrieval using sodium citrate buffer (10mM citrate pH 6.0 + 0.05% Tween-20).

Immunohistochemistry (Frozen sections) - Anti-DDX4 / MVH antibody [EPR24148-58] (AB270534)
  • IHC-Fr

Supplier Data

Immunohistochemistry (Frozen sections) - Anti-DDX4 / MVH antibody [EPR24148-58] (AB270534)

Immunohistochemical analysis of 4% PFA-fixed, 0.2% Triton X-100 permeabilized frozen Rat testis tissue labeling DDX4 / MVH with ab270534 at 1/250 (1.824 ug/ml) dilution followed by ab150077 Goat Anti-Rabbit IgG H&L (Alexa Fluor® 488) at 1/1000 dilution (Green). Positive staining on rat testis is observed. The nuclear counterstain was DAPI (Blue).

Secondary antibody control : Secondary antibody is ab150077 Goat Anti-Rabbit IgG H&L (Alexa Fluor® 488)at 1/1000 dilution.

Heat mediated antigen retrieval using sodium citrate buffer (10mM citrate pH 6.0 + 0.05% Tween-20).

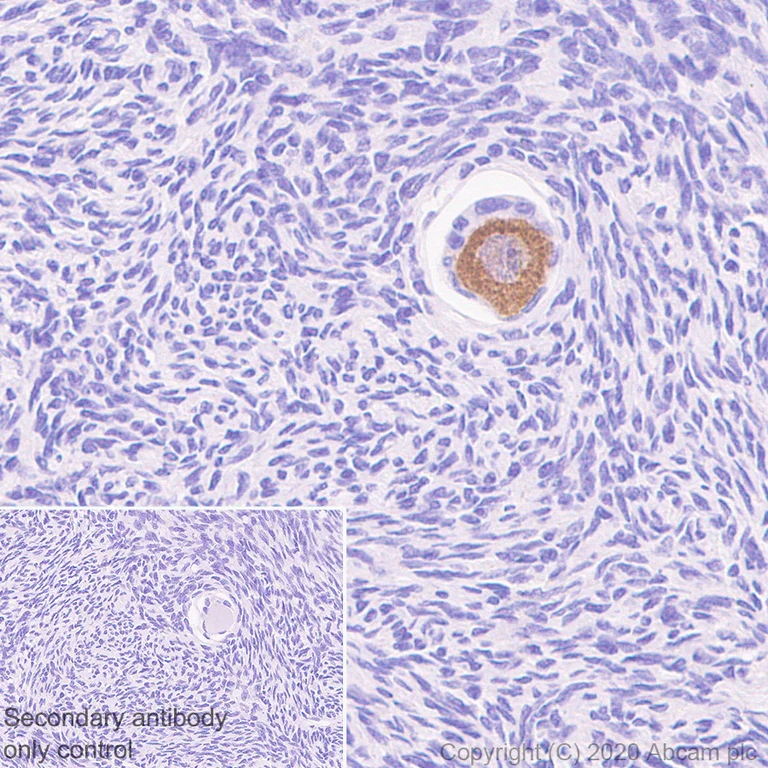
Immunohistochemistry (Formalin/PFA-fixed paraffin-embedded sections) - Anti-DDX4 / MVH antibody [EPR24148-58] (AB270534)
  • IHC-P

Supplier Data

Immunohistochemistry (Formalin/PFA-fixed paraffin-embedded sections) - Anti-DDX4 / MVH antibody [EPR24148-58] (AB270534)

Immunohistochemical analysis of paraffin-embedded Rat ovary tissue labeling DDX4 / MVH with ab270534 at 1/2000 (0.228 ug/ml) dilution followed by a ready to use Rabbit specific IHC polymer detection kit HRP/DAB (ab209101). Cytoplasmic staining in oocytes of rat ovary. The section was incubated with ab270534 for 10 mins at room temperature. The immunostaining was performed on a Leica Biosystems BOND® RX instrument Counterstained with Hematoxylin.

Secondary antibody only control : Secondary antibody is a ready to use Rabbit specific IHC polymer detection kit HRP/DAB (ab209101).

Heat mediated antigen retrieval with Tris-EDTA buffer (pH 9.0, epitope retrieval solution2) for 20 mins.

Immunohistochemistry (Formalin/PFA-fixed paraffin-embedded sections) - Anti-DDX4 / MVH antibody [EPR24148-58] (AB270534)
  • IHC-P

Supplier Data

Immunohistochemistry (Formalin/PFA-fixed paraffin-embedded sections) - Anti-DDX4 / MVH antibody [EPR24148-58] (AB270534)

Immunohistochemical analysis of paraffin-embedded Mouse testis tissue labeling DDX4 / MVH with ab270534 at 1/2000 (0.228 ug/ml) dilution followed by a ready to use Rabbit specific IHC polymer detection kit HRP/DAB (ab209101). Cytoplasmic staining in spermatogonia and spermatocytes of mouse testis. The section was incubated with ab270534 for 10 mins at room temperature.The immunostaining was performed on a Leica Biosystems BOND® RX instrument. Counterstained with Hematoxylin.

Secondary antibody only control : Secondary antibody is a ready to use Rabbit specific IHC polymer detection kit HRP/DAB (ab209101).

Heat mediated antigen retrieval with Tris-EDTA buffer (pH 9.0, epitope retrieval solution2) for 20 mins

Multiplex immunohistochemistry - Anti-DDX4 / MVH antibody [EPR24148-58] (AB270534)
  • mIHC

Lab

Multiplex immunohistochemistry - Anti-DDX4 / MVH antibody [EPR24148-58] (AB270534)

Multiplex immunohistochemistry analysis of formalin/PFA-fixed paraffin-embedded rat testis tissue staining Oligodendrocyte Specific Protein with ab323317 at a 1/500 dilution, ab315800 anti-CYP51A1 used at 1/2000 dilution and ab270534 anti-DDX4/MVH used at a 1/2000 dilution.

Panel A : anti-Oligodendrocyte Specific Protein (green; Opal™520), anti-CYP51A1 (magenta; Opal™690) and anti-DDX/MVH (gray; Opal™570) on rat testis.

Panel B : anti-Oligodendrocyte Specific Protein staining apical Sertoli cell crypts in rat testis.

Panel C : anti-CYP51A1 staining Leydig cells in rat testis.

Panel D : anti-DDX4/MVH staining spermatogonia in rat testis.

Nuclear DNA was labeled with DAPI (shown in blue).

The section was incubated in three rounds of staining : in the order of ab323317, ab315800 and ab270534 for 30 mins at room temperature. Each round was followed by a separate fluorescent tyramide signal amplification system.

The immunostaining was performed on a Leica Biosystems BOND® RX instrument with an Opal™ 4-color kit. Image acquisition was performed with Leica SP8 confocal microscope.

Heat mediated antigen retrieval was performed with Tris-EDTA buffer (pH 9.0, Epitope Retrieval Solution 2) for 20 mins.

Multiplex immunohistochemistry - Anti-DDX4 / MVH antibody [EPR24148-58] (AB270534)
  • mIHC

Lab

Multiplex immunohistochemistry - Anti-DDX4 / MVH antibody [EPR24148-58] (AB270534)

Multiplex immunohistochemistry analysis of formalin/PFA-fixed paraffin-embedded mouse ovary tissue staining AMH with ab272221 at a 1 : 2000 (0.26 μg/ml) dilution, ab182744 Collagen VI used at 1 : 2000 (0.76 ug/ml) dilution and ab270534 DDX4 / MVH used at 1 : 5000 (0.1 μg/ml) dilution.

Panel A : merged staining of anti-AMH (green; Opal™570), anti-Collagen VI (magenta; Opal™690) and anti-DDX4 / MVH (gray; Opal™570) on mouse ovary.

Panel B : anti-AMH staining granulosa cells in mouse ovary.

Panel C : ant-Collagen VI staining stroma in mouse ovary.

Panel D : ant-DDX4 / MVH staining oocytes in mouse ovary.

Nuclear DNA was labelled with DAPI (shown in blue).

The section was incubated in three rounds of staining : in the order of ab272221, ab182744 and ab270534 for 30 mins at room temperature. Each round was followed by a separate fluorescent tyramide signal amplification system.

The immunostaining was performed on a Leica Biosystems BOND® RX instrument with an Opal™ 4-color kit. Image acquisition was performed with Leica SP8 confocal microscope.

Heat mediated antigen retrieval was performed with Tris-EDTA buffer (pH 9.0, Epitope Retrieval Solution2) for 20 mins.

Multiplex immunohistochemistry - Anti-DDX4 / MVH antibody [EPR24148-58] (AB270534)
  • mIHC

Lab

Multiplex immunohistochemistry - Anti-DDX4 / MVH antibody [EPR24148-58] (AB270534)

Multiplex immunohistochemistry analysis of formalin/PFA-fixed paraffin-embedded rat ovary tissue staining AMH with ab272221 at a 1 : 2000 (0.26 μg/ml) dilution, ab182744 Collagen VI used at 1 : 2000 (0.76 ug/ml) dilution and ab270534 DDX4 / MVH used at 1 : 5000 (0.1 μg/ml) dilution.

Panel A : merged staining of anti-AMH (green; Opal™570), anti-Collagen VI (magenta; Opal™690) and anti-DDX4 / MVH (gray; Opal™570) on rat ovary.

Panel B : anti-AMH staining granulosa cells in rat ovary.

Panel C : ant-Collagen VI staining stroma in rat ovary.

Panel D : ant-DDX4 / MVH staining oocytes in rat ovary.

Nuclear DNA was labelled with DAPI (shown in blue).

The section was incubated in three rounds of staining : in the order of ab272221, ab182744 and ab270534 for 30 mins at room temperature. Each round was followed by a separate fluorescent tyramide signal amplification system.

The immunostaining was performed on a Leica Biosystems BOND® RX instrument with an Opal™ 4-color kit. Image acquisition was performed with Leica SP8 confocal microscope.

Heat mediated antigen retrieval was performed with Tris-EDTA buffer (pH 9.0, Epitope Retrieval Solution2) for 20 mins.

Multiplex immunohistochemistry - Anti-DDX4 / MVH antibody [EPR24148-58] (AB270534)
  • mIHC

Lab

Multiplex immunohistochemistry - Anti-DDX4 / MVH antibody [EPR24148-58] (AB270534)

Multiplex immunohistochemistry analysis of formalin/PFA-fixed paraffin-embedded rat testis tissue staining CYP51A1/CYP51 with ab315800 at a 1/2000 dilution, ab270534 anti-DDX4 / MVH used at 1/2000 dilution and ab315275 anti-LAMA1 used at a 1/500 dilution. Opal Polymer HRP Ms + Rb was used as a secondary antibody.

Panel A : merged staining of anti-CYP51A1/CYP51 (green; Opal520), anti-DDX4 / MVH (magenta; Opal690) and anti-LAMA1 (grey; Opal570) on rat testis. Panel B : anti-CYP51A1/CYP51 staining leydig cells in rat testis.
Panel C : anti-DDX4 / MVH staining spermatogonia and spermatocytes in rat testis.
Panel D : anti-LAMA1 staining basement membrane in rat testis.
Nuclear DNA was labeled with DAPI (shown in blue).

The section was incubated in three rounds of staining : in the order of ab315800, ab270834 and ab315275 for 30 mins at room temperature. Each round was followed by a separate fluorescent tyramide signal amplification system.

The immunostaining was performed on a Leica Biosystems BOND®RX instrument with an Opal 4-color kit. Image acquisition was performed with Leica SP8 confocal microscope.

Heat mediated antigen retrieval with Tris-EDTA buffer (pH 9.0, epitope retrieval solution2) for 20 mins.

Western blot - Anti-DDX4 / MVH antibody [EPR24148-58] (AB270534)
  • WB

Lab

Western blot - Anti-DDX4 / MVH antibody [EPR24148-58] (AB270534)

Blocking and diluting buffer and concentration : 5% NFDM/TBST.

Negative control : Human spleen, Human colon (PMID : 10920202).

Exposure time : 3 minutes.

All lanes:

Western blot - Anti-DDX4 / MVH antibody [EPR24148-58] (ab270534) at 1/1000 dilution

Lane 1:

Human testis tissue lysate at 20 µg

Lane 2:

Human spleen tissue lysate at 20 µg

Lane 3:

Human colon tissue lysate at 20 µg

Secondary

All lanes:

Goat Anti-Rabbit IgG, (H+L), Peroxidase conjugated (<a href='/en-us/products/secondary-antibodies/goat-rabbit-igg-h-l-hrp-ab97051'>ab97051</a>) at 1/100000 dilution

Predicted band size: 79 kDa

Observed band size: 79 kDa

false

Western blot - Anti-DDX4 / MVH antibody [EPR24148-58] (AB270534)
  • WB

Lab

Western blot - Anti-DDX4 / MVH antibody [EPR24148-58] (AB270534)

Blocking and diluting buffer and concentration : 5% NFDM/TBST.

Exposure times : lane 1 : 10 seconds lane 2 : 7 seconds.

All lanes:

Western blot - Anti-DDX4 / MVH antibody [EPR24148-58] (ab270534) at 1/1000 dilution

Lane 1:

Rat testis tissue lysate at 20 µg

Lane 2:

Mouse testis tissue lysate at 20 µg

Secondary

All lanes:

Goat Anti-Rabbit IgG, (H+L), Peroxidase conjugated (<a href='/en-us/products/secondary-antibodies/goat-rabbit-igg-h-l-hrp-ab97051'>ab97051</a>) at 1/100000 dilution

Predicted band size: 79 kDa

Observed band size: 79 kDa

false

Multiplex immunohistochemistry - Anti-DDX4 / MVH antibody [EPR24148-58] (AB270534)
  • mIHC

Lab

Multiplex immunohistochemistry - Anti-DDX4 / MVH antibody [EPR24148-58] (AB270534)

Multiplex immunohistochemistry analysis of formalin/PFA-fixed paraffin-embedded human testis tissue staining Hormone sensitive lipase with ab325336 at a 1/2000 (0.248 μg/ml) dilution, ab315800 anti-CYP51A1 used at a 1/2000 (0.26 μg/ml) dilution, and ab270534 anti-DDX4 used at a 1/2000 (0.238 μg/ml) dilution.

Panel A : anti-Hormone sensitive lipase (green; Opal™520), anti-CYP51A1 (magenta; Opal™690), anti-DDX4 (gray; Opal™570) on human testis.

Panel B : anti-Hormone sensitive lipase staining spermatid in human testis.

Panel C : anti-CYP51A1 staining leydig cells in human testis.

Panel D : anti-DDX4 staining spermatogonia in human testis.

Nuclear DNA was labeled with DAPI (shown in blue).

The section was incubated in three rounds of staining : in the order of ab325336, ab315800 and ab270534 for 30 mins at room temperature. Each round was followed by a separate fluorescent tyramide signal amplification system.

The immunostaining was performed on a Leica Biosystems BOND® RX instrument with an Opal™ 4-color kit. Image acquisition was performed with Leica SP8 confocal microscope.

Heat mediated antigen retrieval was performed with Tris-EDTA buffer (pH 9.0, Epitope Retrieval Solution2) for 20 mins.

Multiplex immunohistochemistry - Anti-DDX4 / MVH antibody [EPR24148-58] (AB270534)
  • mIHC

Lab

Multiplex immunohistochemistry - Anti-DDX4 / MVH antibody [EPR24148-58] (AB270534)

Multiplex immunohistochemistry analysis of formalin/PFA-fixed paraffin-embedded human testis tissue staining PLCZ1 with ab325528 at a 1/500 (1.028 μg/ml) dilution, ab270534 anti-DDX4 used at a 1/2000 (0.238 μg/ml) dilution, and ab267377 anti-Wilms tumor protein used at a 1/500 (0.706 μg/ml) dilution.

Panel A : anti-PLCZ1 (green; Opal™520), anti-DDX4 (magenta; Opal™690), anti-Wilms tumor protein (gray; Opal™570) on human testis.

Panel B : anti-PLCZ1 staining spermatid in human testis.

Panel C : anti-DDX4 staining spermatogonia in human testis.

Panel D : anti-Wilms tumor protein staining Sertoli cells in human testis.

Nuclear DNA was labeled with DAPI (shown in blue).

The section was incubated in three rounds of staining : in the order of ab325528, ab270534 and ab267377 for 30 mins at room temperature. Each round was followed by a separate fluorescent tyramide signal amplification system.

The immunostaining was performed on a Leica Biosystems BOND® RX instrument with an Opal™ 4-color kit. Image acquisition was performed with Leica SP8 confocal microscope.

Heat mediated antigen retrieval was performed with Tris-EDTA buffer (pH 9.0, Epitope Retrieval Solution2) for 20 mins.

  • Carrier free

    Anti-DDX4 / MVH antibody [EPR24148-58] - BSA and Azide free

  • Carrier free

    Anti-DDX4 / MVH antibody [EPR24148-58] - Chicken IgY (Chimeric) - BSA and Azide free

  • 660 APC

    APC Anti-DDX4 / MVH antibody [EPR24148-58]

  • 519 Alexa Fluor® 488

    Alexa Fluor® 488 Anti-DDX4 / MVH antibody [EPR24148-58]

  • 565 Alexa Fluor® 555

    Alexa Fluor® 555 Anti-DDX4 / MVH antibody [EPR24148-58]

  • 617 Alexa Fluor® 594

    Alexa Fluor® 594 Anti-DDX4 / MVH antibody [EPR24148-58]

  • 665 Alexa Fluor® 647

    Alexa Fluor® 647 Anti-DDX4 / MVH antibody [EPR24148-58]

  • 775 Alexa Fluor® 750

    Alexa Fluor® 750 Anti-DDX4 / MVH antibody [EPR24148-58]

  • 578 PE

    PE Anti-DDX4 / MVH antibody [EPR24148-58]

Key facts

Host species

Rabbit

Clonality

Monoclonal

Clone number

EPR24148-58

Isotype

IgG

Carrier free

No

Reacts with

Mouse, Rat, Human

Applications

IHC-Fr, WB, mIHC, IHC-P

applications

Immunogen

The exact immunogen used to generate this antibody is proprietary information.

Reactivity data

{ "title": "Reactivity Data", "filters": { "stats": ["", "Species", "Dilution Info", "Notes"], "tabs": { "all-applications": {"fullname" : "All Applications", "shortname": "All Applications"}, "mIHC" : {"fullname" : "Multiplex immunohistochemistry", "shortname":"mIHC"}, "ICCIF" : {"fullname" : "Immunocytochemistry/ Immunofluorescence", "shortname":"ICC/IF"}, "IP" : {"fullname" : "Immunoprecipitation", "shortname":"IP"}, "FlowCyt" : {"fullname" : "Flow Cytometry", "shortname":"Flow Cyt"}, "WB" : {"fullname" : "Western blot", "shortname":"WB"}, "IHCFr" : {"fullname" : "Immunohistochemistry (Frozen sections)", "shortname":"IHC-Fr"}, "IHCP" : {"fullname" : "Immunohistochemistry (Formalin/PFA-fixed paraffin-embedded sections)", "shortname":"IHC-P"} }, "product-promise": { "all": "all", "testedAndGuaranteed": "tested", "guaranteed": "expected", "predicted": "predicted", "notRecommended": "not-recommended" } }, "values": { "Human": { "mIHC-species-checked": "testedAndGuaranteed", "mIHC-species-dilution-info": "1/2000", "mIHC-species-notes": "<p></p> Perform heat-mediated antigen retrieval with Tris/EDTA buffer pH 9.0 before commencing with IHC staining protocol.", "ICCIF-species-checked": "notRecommended", "ICCIF-species-dilution-info": "", "ICCIF-species-notes": "<p></p>", "IP-species-checked": "notRecommended", "IP-species-dilution-info": "", "IP-species-notes": "<p></p>", "FlowCyt-species-checked": "notRecommended", "FlowCyt-species-dilution-info": "", "FlowCyt-species-notes": "<p></p>", "WB-species-checked": "testedAndGuaranteed", "WB-species-dilution-info": "1/1000", "WB-species-notes": "<p></p>", "IHCFr-species-checked": "guaranteed", "IHCFr-species-dilution-info": "", "IHCFr-species-notes": "", "IHCP-species-checked": "testedAndGuaranteed", "IHCP-species-dilution-info": "1/2000", "IHCP-species-notes": "<p></p> Perform heat-mediated antigen retrieval with Tris/EDTA buffer pH 9.0 before commencing with IHC staining protocol." }, "Mouse": { "mIHC-species-checked": "testedAndGuaranteed", "mIHC-species-dilution-info": "1/2000", "mIHC-species-notes": "<p></p> Perform heat-mediated antigen retrieval with Tris/EDTA buffer pH 9.0 before commencing with IHC staining protocol.", "ICCIF-species-checked": "notRecommended", "ICCIF-species-dilution-info": "", "ICCIF-species-notes": "<p></p>", "IP-species-checked": "notRecommended", "IP-species-dilution-info": "", "IP-species-notes": "<p></p>", "FlowCyt-species-checked": "notRecommended", "FlowCyt-species-dilution-info": "", "FlowCyt-species-notes": "<p></p>", "WB-species-checked": "testedAndGuaranteed", "WB-species-dilution-info": "1/1000", "WB-species-notes": "<p></p>", "IHCFr-species-checked": "testedAndGuaranteed", "IHCFr-species-dilution-info": "1/250", "IHCFr-species-notes": "<p>Heat mediated antigen retrieval using sodium citrate buffer (10mM citrate pH 6.0 + 0.05% Tween-20).</p>", "IHCP-species-checked": "testedAndGuaranteed", "IHCP-species-dilution-info": "1/2000", "IHCP-species-notes": "<p></p> Perform heat-mediated antigen retrieval with Tris/EDTA buffer pH 9.0 before commencing with IHC staining protocol." }, "Rat": { "mIHC-species-checked": "testedAndGuaranteed", "mIHC-species-dilution-info": "1/2000", "mIHC-species-notes": "<p></p> Perform heat-mediated antigen retrieval with Tris/EDTA buffer pH 9.0 before commencing with IHC staining protocol.", "ICCIF-species-checked": "notRecommended", "ICCIF-species-dilution-info": "", "ICCIF-species-notes": "<p></p>", "IP-species-checked": "notRecommended", "IP-species-dilution-info": "", "IP-species-notes": "<p></p>", "FlowCyt-species-checked": "notRecommended", "FlowCyt-species-dilution-info": "", "FlowCyt-species-notes": "<p></p>", "WB-species-checked": "testedAndGuaranteed", "WB-species-dilution-info": "1/1000", "WB-species-notes": "<p></p>", "IHCFr-species-checked": "testedAndGuaranteed", "IHCFr-species-dilution-info": "1/250", "IHCFr-species-notes": "<p>Heat mediated antigen retrieval using sodium citrate buffer (10mM citrate pH 6.0 + 0.05% Tween-20).</p>", "IHCP-species-checked": "testedAndGuaranteed", "IHCP-species-dilution-info": "1/2000", "IHCP-species-notes": "<p></p> Perform heat-mediated antigen retrieval with Tris/EDTA buffer pH 9.0 before commencing with IHC staining protocol." } } }

Product details

Patented technology
Our RabMAb® technology is a patented hybridoma-based technology for making rabbit monoclonal antibodies. For details on our patents, please refer to RabMAb® patents.

What are the advantages of a recombinant monoclonal antibody?
This product is a recombinant monoclonal antibody, which offers several advantages including:

  • - High batch-to-batch consistency and reproducibility
  • - Improved sensitivity and specificity
  • - Long-term security of supply
  • - Animal-free batch production

For more information, read more on recombinant antibodies.

Properties and storage information

Form
Liquid
Purification technique
Affinity purification Protein A
Storage buffer
Preservative: 0.01% Sodium azide Constituents: PBS, 40% Glycerol (glycerin, glycerine), 0.05% BSA
Shipped at conditions
Blue Ice
Appropriate short-term storage duration
1-2 weeks
Appropriate short-term storage conditions
+4°C
Appropriate long-term storage conditions
-20°C
Aliquoting information
Upon delivery aliquot
Storage information
Avoid freeze / thaw cycle

Supplementary information

This supplementary information is collated from multiple sources and compiled automatically.

DDX4 also known as MVH is a protein that functions as an ATP-dependent RNA helicase. This protein with a molecular mass of approximately 79 kDa belongs to the DEAD box protein family. DDX4 localizes mostly in germ cells and is notably present in the testis of organisms like chickens. Its expression is significant in the cytoplasm of spermatocytes and oocytes where it plays an essential role in the regulation of RNA metabolism during germ cell development.
Biological function summary

DDX4 supports RNA processes including splicing transport and stability within germ cells. The protein contributes to the assembly of protein-RNA complexes essential for cellular function. It operates in germ cell development by ensuring proper RNA handling and regulation. DDX4 also contributes to the formation of germ granules cellular structures important for RNA processing and storage in germ cells.

Pathways

DDX4 is involved in germ cell development and differentiation. It plays a role in pathways regulating meiosis and gametogenesis cooperating with proteins like PIWIL1. Within these pathways DDX4 influences small RNA pathways which are important for gene regulation during germ cell maturation. This action underlines the protein's relevance in reproductive biology and cellular lifecycle management within the gonads.

Alterations in DDX4 expression or function have associations with infertility and germ cell tumors. Aberrant activities of DDX4 can disrupt normal germ cell development linking it to disorders affecting fertility. The protein shares connections with TDRD9 another protein associated with germ cell development implicating them in similar reproductive health issues. Understanding DDX4's function could lead to better insights into reproductive diseases and potential therapeutic targets.

Product protocols

For this product, it's our understanding that no specific protocols are required. You can visit:

Target data

ATP-dependent RNA helicase required during spermatogenesis (PubMed : 10920202, PubMed : 21034600). Required to repress transposable elements and preventing their mobilization, which is essential for the germline integrity (By similarity). Acts via the piRNA metabolic process, which mediates the repression of transposable elements during meiosis by forming complexes composed of piRNAs and Piwi proteins and governs the methylation and subsequent repression of transposons (By similarity). Involved in the secondary piRNAs metabolic process, the production of piRNAs in fetal male germ cells through a ping-pong amplification cycle (By similarity). Required for PIWIL2 slicing-triggered piRNA biogenesis : helicase activity enables utilization of one of the slice cleavage fragments generated by PIWIL2 and processing these pre-piRNAs into piRNAs (By similarity).
See full target information DDX4

Publications (15)

Recent publications for all applications. Explore the full list and refine your search

Carcinogenesis 46: PubMed39672957

2024

Testicular sex cord-stromal tumors in mice with constitutive activation of PI3K and loss of Pten.

Applications

Unspecified application

Species

Unspecified reactive species

Marija Dinevska,Lachlan McAloney,Samuel S Widodo,Gulay Filiz,Jeremy Anderson,Sebastian Dworkin,Simon P Windley,Dagmar Wilhelm,Theo Mantamadiotis

Advanced science (Weinheim, Baden-Wurttemberg, Germany) 12:e2410098 PubMed39629971

2024

Spatial Transcriptome and Single Nucleus Transcriptome Sequencing Reveals Tetrahydroxy Stilbene Glucoside Promotes Ovarian Organoids Development Through the Vegfa-Ephb2 Pair.

Applications

Unspecified application

Species

Unspecified reactive species

Chunlan Mu,Xiaoyong Li,Jiamei Yang,Geng G Tian,Hepeng Bai,Wenhui Lin,Linhui Wang,Ji Wu

Cell death & disease 15:799 PubMed39511162

2024

Oocyte death is triggered by the stabilization of TAp63α dimers in response to cisplatin.

Applications

Unspecified application

Species

Unspecified reactive species

Amirhossein Abazarikia,Wonmi So,Shuo Xiao,So-Youn Kim

ACS applied materials & interfaces 16:45989-46004 PubMed39165237

2024

Bioinspired Collagen Scaffold Loaded with bFGF-Overexpressing Human Mesenchymal Stromal Cells Accelerating Diabetic Skin Wound Healing via HIF-1 Signal Pathway Regulated Neovascularization.

Applications

Unspecified application

Species

Unspecified reactive species

Feifei Huang,Tianyun Gao,Yirui Feng,Yuanyuan Xie,Chenxu Tai,Yahong Huang,Li Ling,Bin Wang

EBioMedicine 106:105263 PubMed39067135

2024

KIT in oocytes: a key factor for oocyte survival and reproductive lifespan.

Applications

IHC-P

Species

Mouse

Yi Luan,Wonmi So,Rosemary Dong,Amirhossein Abazarikia,So-Youn Kim

Chromosoma 133:149-168 PubMed38456964

2024

Kinesin-7 CENP-E mediates chromosome alignment and spindle assembly checkpoint in meiosis I.

Applications

IHC-P

Species

Rat

Jing-Lian Zhang,Meng-Fei Xu,Jie Chen,Ya-Lan Wei,Zhen-Yu She

Frontiers in endocrinology 14:1271724 PubMed38027210

2023

RNA sequencing profiles reveals progressively reduced spermatogenesis with progression in adult cryptorchidism.

Applications

Unspecified application

Species

Unspecified reactive species

Weihao Sun,Xinhui Zhang,Lei Wang,Guanyu Ren,Shuguang Piao,Chenghua Yang,Zhiyong Liu

iScience 26:107949 PubMed37822499

2023

CD38 regulates ovarian function and fecundity via NAD metabolism.

Applications

Unspecified application

Species

Unspecified reactive species

Rosalba Perrone,Prasanna Vadhana Ashok Kumaar,Lauren Haky,Cosmo Hahn,Rebeccah Riley,Julia Balough,Giuliana Zaza,Bikem Soygur,Kaitlyn Hung,Leandro Prado,Herbert G Kasler,Ritesh Tiwari,Hiroyuki Matsui,Genesis Vega Hormazabal,Indra Heckenbach,Morten Scheibye-Knudsen,Francesca E Duncan,Eric Verdin

Human & experimental toxicology 42:9603271231188293 PubMed37550604

2023

Acrylamide-induced meiotic arrest of spermatocytes in adolescent mice by triggering excessive DNA strand breaks: Potential therapeutic effects of resveratrol.

Applications

WB

Species

Mouse

Y Gao,D Zhang,P Wang,X Qu,J Xu,Y Yu,X Zhou

Journal of ovarian research 16:76 PubMed37060101

2023

Chito-oligosaccharides and macrophages have synergistic effects on improving ovarian stem cells function by regulating inflammatory factors.

Applications

Unspecified application

Species

Unspecified reactive species

K Zheng,Wenli Hong,Haifeng Ye,Ziqiong Zhou,Shuyi Ling,Yuan Li,Yuqing Dai,Zhisheng Zhong,Ziwei Yang,Yuehui Zheng
View all publications

Product promise

We are committed to supporting your work with high-quality reagents, and we're here for you every step of the way. In the unlikely event that one of our products does not perform as expected, you're protected by our Product Promise.
For full details, please see our Terms & Conditions

Please note: All products are 'FOR RESEARCH USE ONLY. NOT FOR USE IN DIAGNOSTIC OR THERAPEUTIC PROCEDURES'.

For licensing inquiries, please contact partnerships@abcam.com