JavaScript is disabled in your browser. Please enable JavaScript to view this website.
AB27591

Anti-DDX4 / MVH antibody [mAbcam27591]

4

(8 Reviews)

|

(143 Publications)

Anti-DDX4 / MVH antibody [mAbcam27591] (ab27591) is a mouse monoclonal antibody detecting DDX4 / MVH in Western Blot, IHC-P, IHC-Fr, ICC/IF. Suitable for Common marmoset, Human, Mouse.

- Over 100 publications

View Alternative Names

VASA, DDX4, Probable ATP-dependent RNA helicase DDX4, DEAD box protein 4, Vasa homolog

7 Images
Immunohistochemistry (Formalin/PFA-fixed paraffin-embedded sections) - Anti-DDX4 / MVH antibody [mAbcam27591] (AB27591)
  • IHC-P

Lab

Immunohistochemistry (Formalin/PFA-fixed paraffin-embedded sections) - Anti-DDX4 / MVH antibody [mAbcam27591] (AB27591)

IHC image of DDX4/MVH antibody staining in a section of formalin-fixed paraffin-embedded normal human testis* performed on a Leica BONDTM system using the standard protocol. The section was pre-treated using heat mediated antigen retrieval with sodium citrate buffer (pH6, epitope retrieval solution 1) for 20mins. The section was then incubated with ab27591, 1ug/ml, for 15 mins at room temperature and detected using an HRP conjugated compact polymer system. DAB was used as the chromogen. The section was then counterstained with haematoxylin and mounted with DPX.

For other IHC staining systems (automated and non-automated) customers should optimize variable parameters such as antigen retrieval conditions, primary antibody concentration and antibody incubation times.

*Tissue obtained from the Human Research Tissue Bank, supported by the NIHR Cambridge Biomedical Research Centre

Immunohistochemistry (Formalin/PFA-fixed paraffin-embedded sections) - Anti-DDX4 / MVH antibody [mAbcam27591] (AB27591)
  • IHC-P

AbReview33758****

Immunohistochemistry (Formalin/PFA-fixed paraffin-embedded sections) - Anti-DDX4 / MVH antibody [mAbcam27591] (AB27591)

IHC-P image of DDX4 / MVH (ab27591) on adult marmoset testis. The sections were fixed with Formaldehyde and blocked in 5% milk for 30 minutes, before incubation with the DDX4 antibody (1/50 dilution) for 18 hours at 4°C. Cytoplasmic staining is seen with ab27591 (green), DAPI was used to stain nuclei (blue).

This image is courtesy of an abreview from Zachary Yu-Ching Lin.

Immunohistochemistry (Formalin/PFA-fixed paraffin-embedded sections) - Anti-DDX4 / MVH antibody [mAbcam27591] (AB27591)
  • IHC-P

Lab

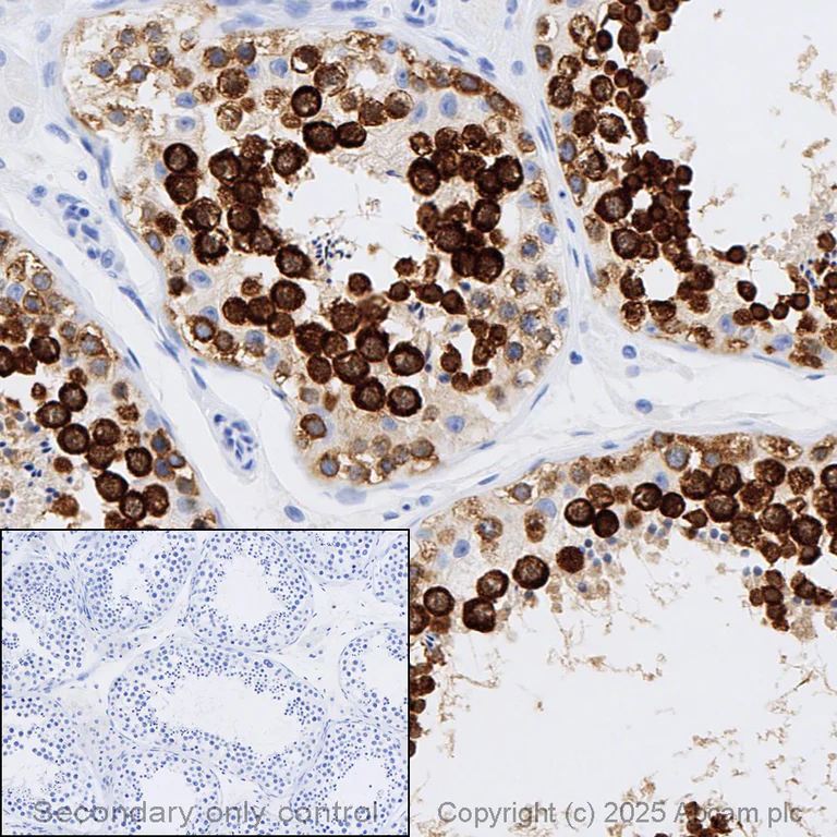
Immunohistochemistry (Formalin/PFA-fixed paraffin-embedded sections) - Anti-DDX4 / MVH antibody [mAbcam27591] (AB27591)

Immunohistochemical analysis of formalin fixed paraffin embedded human testis labelling DDX4/MVH with ab27591 at a concentration of 0.1µg/ml. The immunostaining was performed on a Ventana DISCOVERY ULTRA (Roche Tissue Diagnostics) instrument with a OptiView DAB IHC Detection Kit. Heat mediated antigen retrieval was performed with DISCOVERY cell conditioning solution (CC1) 100°C, pH8.5 for 32mins.

ab27591 anti-DDX4/MVH antibody [mAbcam27591] was incubated for 16mins at 37°C. Sections were counterstained with Hematoxylin II. Image inset shows absence of staining in secondary antibody only control.

Customers are encouraged to optimise antigen retrieval conditions, antibody concentration, incubation times and temperature for best results in their own IHC assay workflow (automated and manual)

Immunocytochemistry/ Immunofluorescence - Anti-DDX4 / MVH antibody [mAbcam27591] (AB27591)
  • ICC/IF

Lab

Immunocytochemistry/ Immunofluorescence - Anti-DDX4 / MVH antibody [mAbcam27591] (AB27591)

ab27591 staining DDX4/MVH in mES cells. The cells were fixed with 100% methanol (5 min), permeabilized with 0.1% PBS-Triton X-100 for 5 minutes and then blocked with 1% BSA/10% normal goat serum/0.3M glycine in 0.1% PBS-Tween for 1h. The cells were then incubated overnight at 4°C with ab27591 at 1µg/ml and ab6046, Rabbit polyclonal to beta Tubulin - Loading Control. Cells were then incubated with ab150117, Goat polyclonal Secondary Antibody to Mouse IgG H&L (Alexa Fluor® 488) preadsorbed at 1/1000 dilution (shown in green) and ab150080, Goat polyclonal Secondary Antibody to Rabbit IgG - H&L (Alexa Fluor® 594) at 1/1000 dilution (shown in pseudocolour red). Nuclear DNA was labelled with DAPI (shown in blue).

Image was acquired with a confocal microscope (Leica-Microsystems TCS SP8) and a single confocal section is shown.

Immunocytochemistry/ Immunofluorescence - Anti-DDX4 / MVH antibody [mAbcam27591] (AB27591)
  • ICC/IF

Supplier Data

Immunocytochemistry/ Immunofluorescence - Anti-DDX4 / MVH antibody [mAbcam27591] (AB27591)

ab27591 staining DDX4/MVH in mES cells. The cells were fixed with 100% methanol (5 min) then permeabilized with 0.1% Triton X-100 for 5 minutes and then blocked with 1% BSA/10% normal goat serum/0.3M glycine in 0.1% PBS-Tween for 1h. The cells were then incubated with ab27591 at 10μg/ml concentration and ab6046 (Rabbit polyclonal to beta Tubulin) at 1/1000 dilution overnight at 4°C followed by a further incubation at room temperature for 1h with a goat secondary antibody to mouse IgG (Alexa Fluor® 488) (ab150117) at 2 μg/ml (shown in green) and a goat secondary antibody to rabbit IgG (Alexa Fluor® 594) (ab150080) at 2 μg/ml (shown in red). Nuclear DNA was labelled in blue with DAPI. Image was taken with a confocal microscope (Leica-Microsystems TCS SP8).

Western blot - Anti-DDX4 / MVH antibody [mAbcam27591] (AB27591)
  • WB

Project4670****

Western blot - Anti-DDX4 / MVH antibody [mAbcam27591] (AB27591)

Abcam recommends using milk as the blocking agent. Abcam welcomes customer feedback and would appreciate any comments regarding this product and the data presented above.

All lanes:

Western blot - Anti-DDX4 / MVH antibody [mAbcam27591] (ab27591) at 5 µg/mL

Lane 1:

Mouse Testis Tissue Lysate at 20 µg

Lane 2:

Mouse EG (TMAS Embryonic Germ Cells) Whole Cell Lysate at 20 µg

Secondary

All lanes:

Western blot - Goat Anti-Mouse IgG H&L (HRP) preadsorbed (<a href='/en-us/products/secondary-antibodies/goat-mouse-igg-h-l-hrp-preadsorbed-ab97040'>ab97040</a>) at 1/5000 dilution

Predicted band size: 79 kDa

Observed band size: 70 kDa,80 kDa

true

Exposure time: 1min

Immunohistochemistry (Frozen sections) - Anti-DDX4 / MVH antibody [mAbcam27591] (AB27591)
  • IHC-Fr

Supplier Data

Immunohistochemistry (Frozen sections) - Anti-DDX4 / MVH antibody [mAbcam27591] (AB27591)

ab27591 staining DDX4 / MVH antibody in pig tissue sections (testis, postnatal day 42) by Immunohistochemistry (IHC-Fr - frozen sections). Tissue was fixed with paraformaldehyde, permeabilized with 0.1% 0.1% Triton X-100 in PBS and blocked with 3% BSA for 30 minutes at 20°C. Samples were incubated with primary antibody (1/200 in PBS) for 1 hour at 20°C. ab150110 at a dilution of 1/500 was used as the secondary antibody.

  • HRP

    HRP Anti-DDX4 / MVH antibody [mAbcam27591]

  • Carrier free

    Anti-DDX4 / MVH antibody [mAbcam27591] - BSA and Azide free

Key facts

Host species

Mouse

Clonality

Monoclonal

Clone number

mAbcam27591

Isotype

IgG1

Light chain type

kappa

Carrier free

No

Reacts with

Mouse, Human, Pig, Common marmoset

Applications

IHC-P, ICC/IF, IHC-Fr, WB

applications

Immunogen

The exact immunogen used to generate this antibody is proprietary information.

Reactivity data

{ "title": "Reactivity Data", "filters": { "stats": ["", "Species", "Dilution Info", "Notes"], "tabs": { "all-applications": {"fullname" : "All Applications", "shortname": "All Applications"}, "WB" : {"fullname" : "Western blot", "shortname":"WB"}, "IHCP" : {"fullname" : "Immunohistochemistry (Formalin/PFA-fixed paraffin-embedded sections)", "shortname":"IHC-P"}, "ICCIF" : {"fullname" : "Immunocytochemistry/ Immunofluorescence", "shortname":"ICC/IF"}, "IHCFr" : {"fullname" : "Immunohistochemistry (Frozen sections)", "shortname":"IHC-Fr"} }, "product-promise": { "all": "all", "testedAndGuaranteed": "tested", "guaranteed": "expected", "predicted": "predicted", "notRecommended": "not-recommended" } }, "values": { "Human": { "WB-species-checked": "notRecommended", "WB-species-dilution-info": "1-5 µg/mL", "WB-species-notes": "<p></p>", "IHCP-species-checked": "testedAndGuaranteed", "IHCP-species-dilution-info": "0.1-1 µg/mL", "IHCP-species-notes": "<p>If high background is observed, retest using lower primary concentration.</p>", "ICCIF-species-checked": "guaranteed", "ICCIF-species-dilution-info": "", "ICCIF-species-notes": "", "IHCFr-species-checked": "guaranteed", "IHCFr-species-dilution-info": "", "IHCFr-species-notes": "" }, "Mouse": { "WB-species-checked": "testedAndGuaranteed", "WB-species-dilution-info": "1-5 µg/mL", "WB-species-notes": "<p></p>", "IHCP-species-checked": "guaranteed", "IHCP-species-dilution-info": "", "IHCP-species-notes": "", "ICCIF-species-checked": "testedAndGuaranteed", "ICCIF-species-dilution-info": "5-10 µg/mL", "ICCIF-species-notes": "<p></p>", "IHCFr-species-checked": "testedAndGuaranteed", "IHCFr-species-dilution-info": "", "IHCFr-species-notes": "<p></p>" }, "Rat": { "WB-species-checked": "notRecommended", "WB-species-dilution-info": "", "WB-species-notes": "", "IHCP-species-checked": "notRecommended", "IHCP-species-dilution-info": "", "IHCP-species-notes": "", "ICCIF-species-checked": "notRecommended", "ICCIF-species-dilution-info": "", "ICCIF-species-notes": "", "IHCFr-species-checked": "notRecommended", "IHCFr-species-dilution-info": "", "IHCFr-species-notes": "<p></p>" }, "Common marmoset": { "WB-species-checked": "testedAndGuaranteed", "WB-species-dilution-info": "1-5 µg/mL", "WB-species-notes": "<p></p>", "IHCP-species-checked": "testedAndGuaranteed", "IHCP-species-dilution-info": "0.1-1 µg/mL", "IHCP-species-notes": "<p>If high background is observed, retest using lower primary concentration.</p>", "ICCIF-species-checked": "guaranteed", "ICCIF-species-dilution-info": "", "ICCIF-species-notes": "", "IHCFr-species-checked": "guaranteed", "IHCFr-species-dilution-info": "", "IHCFr-species-notes": "<p></p>" }, "Pig": { "WB-species-checked": "guaranteed", "WB-species-dilution-info": "", "WB-species-notes": "", "IHCP-species-checked": "guaranteed", "IHCP-species-dilution-info": "", "IHCP-species-notes": "", "ICCIF-species-checked": "guaranteed", "ICCIF-species-dilution-info": "", "ICCIF-species-notes": "", "IHCFr-species-checked": "testedAndGuaranteed", "IHCFr-species-dilution-info": "", "IHCFr-species-notes": "<p></p>" }, "Rabbit": { "WB-species-checked": "notRecommended", "WB-species-dilution-info": "", "WB-species-notes": "", "IHCP-species-checked": "predicted", "IHCP-species-dilution-info": "", "IHCP-species-notes": "", "ICCIF-species-checked": "predicted", "ICCIF-species-dilution-info": "", "ICCIF-species-notes": "", "IHCFr-species-checked": "notRecommended", "IHCFr-species-dilution-info": "", "IHCFr-species-notes": "" } } }

Product details

What is this antibody validated in?
Anti-DDX4 / MVH antibody [mAbcam27591] (ab27591) is a mouse monoclonal antibody and is validated for use in Western Blot (WB), Immunohistochemistry (IHC-P), Immunohistochemistry (IHC-Fr), Immunocytochemistry/immunofluorescence (ICC/IF) in Common marmoset, Human, Mouse samples.

What is the molecular weight of DDX4 / MVH?
Anti-DDX4 / MVH [mAbcam27591] (ab27591) specifically detects a band for DDX4 / MVH (UniProt: Q9NQI0) at a molecular weight of 76kDa.

Trusted by the scientific community
Anti-DDX4 / MVH [mAbcam27591] (ab27591) was first used in a scientific publication in 2012 and has been cited over 100 times in peer-reviewed journals.

Reviewed by scientists
Anti-DDX4 / MVH [mAbcam27591] (ab27591) has over 5 independent reviews from customers.

Other related products
We have a range of other formats of antibody clone [mAbcam27591] also available for your convenience: ab27591, Carrier free - ab180462, HRP - ab196709

Want a custom formulation?
This antibody clone is manufactured by Abcam. If you require a custom buffer formulation or conjugation for your experiments, please contact orders@abcam.com

Properties and storage information

Form
Liquid
Purity
IgG fraction
Storage buffer
pH: 7.4 Preservative: 0.02% Sodium azide Constituents: PBS, 6.97% L-Arginine
Shipped at conditions
Blue Ice
Appropriate short-term storage conditions
+4°C
Appropriate long-term storage conditions
-20°C
Aliquoting information
Upon delivery aliquot
Storage information
Avoid freeze / thaw cycle

Supplementary information

This supplementary information is collated from multiple sources and compiled automatically.

DDX4 also known as MVH is a protein that functions as an ATP-dependent RNA helicase. This protein with a molecular mass of approximately 79 kDa belongs to the DEAD box protein family. DDX4 localizes mostly in germ cells and is notably present in the testis of organisms like chickens. Its expression is significant in the cytoplasm of spermatocytes and oocytes where it plays an essential role in the regulation of RNA metabolism during germ cell development.
Biological function summary

DDX4 supports RNA processes including splicing transport and stability within germ cells. The protein contributes to the assembly of protein-RNA complexes essential for cellular function. It operates in germ cell development by ensuring proper RNA handling and regulation. DDX4 also contributes to the formation of germ granules cellular structures important for RNA processing and storage in germ cells.

Pathways

DDX4 is involved in germ cell development and differentiation. It plays a role in pathways regulating meiosis and gametogenesis cooperating with proteins like PIWIL1. Within these pathways DDX4 influences small RNA pathways which are important for gene regulation during germ cell maturation. This action underlines the protein's relevance in reproductive biology and cellular lifecycle management within the gonads.

Alterations in DDX4 expression or function have associations with infertility and germ cell tumors. Aberrant activities of DDX4 can disrupt normal germ cell development linking it to disorders affecting fertility. The protein shares connections with TDRD9 another protein associated with germ cell development implicating them in similar reproductive health issues. Understanding DDX4's function could lead to better insights into reproductive diseases and potential therapeutic targets.

Product protocols

For this product, it's our understanding that no specific protocols are required. You can visit:

Target data

ATP-dependent RNA helicase required during spermatogenesis (PubMed : 10920202, PubMed : 21034600). Required to repress transposable elements and preventing their mobilization, which is essential for the germline integrity (By similarity). Acts via the piRNA metabolic process, which mediates the repression of transposable elements during meiosis by forming complexes composed of piRNAs and Piwi proteins and governs the methylation and subsequent repression of transposons (By similarity). Involved in the secondary piRNAs metabolic process, the production of piRNAs in fetal male germ cells through a ping-pong amplification cycle (By similarity). Required for PIWIL2 slicing-triggered piRNA biogenesis : helicase activity enables utilization of one of the slice cleavage fragments generated by PIWIL2 and processing these pre-piRNAs into piRNAs (By similarity).
See full target information DDX4

Publications (143)

Recent publications for all applications. Explore the full list and refine your search

Communications biology 8:1394 PubMed41028284

2025

CCAAT/enhancer binding protein beta (C/EBPβ) regulates the formation of the ovarian reserve.

Applications

Unspecified application

Species

Unspecified reactive species

Xiaoyuan Zhang,Yue Zeng,Zhanzhong Qiao,Kexin Qin,Pei Li,Jiamao Yan,Teng Zhang,Yang Zhou,Junjie Wang,Wei Shen

Reproductive biology and endocrinology : RB&E 23:95 PubMed40611136

2025

A dual-drug strategy to enhance the function of cryopreserved ovaries by promoting revascularization and inhibiting follicle over-activation.

Applications

Unspecified application

Species

Unspecified reactive species

Lingyu Li,Jian Yang,Longzhong Jia,Jing Liang,Kaixin Cheng,Xuebing Yang,Lu Mu,Ge Wang,Kaiying Geng,Qiuxian Hu,Xueqiang Xu,Zhen Li,Guoliang Xia,Ting Guo,Jiawei Zhang,Yan Zhang,Hua Zhang

Cells 14: PubMed40497959

2025

Mouse SPAG6L, a Key Cytoskeleton Modulator Essential for Male Germ Cell Development, Is Not Required for Sertoli Cell Function.

Applications

Unspecified application

Species

Unspecified reactive species

Tao Li,Wei Li,Cheng Zheng,Jannette M Dufour,William H Walker,Shuiqiao Yuan,Zhibing Zhang

Acta biochimica et biophysica Sinica : PubMed40462670

2025

A visualized and quercetin-optimized three-dimensional culture model of mouse ovaries derived from fetal gonads.

Applications

Unspecified application

Species

Unspecified reactive species

Manman Cui,Ziye Zheng,Shiyu Bai,Zhaoxiang Ouyang,Jun Chen,Xinyan Yang,Cong Wan,Yi Zheng,Jiexiang Zhao,Gang Chang,Xiao-Yang Zhao

Communications biology 8:849 PubMed40461746

2025

Spatiotemporal and single-cell atlases to dissect regional specific cell types of the developing ovary.

Applications

Unspecified application

Species

Unspecified reactive species

Zheng-Hui Zhao,Tie-Gang Meng,Xue-Ying Chen,Fei Gao,Heide Schatten,Xiang-Hong Ou,Qing-Yuan Sun

Experimental dermatology 34:e70123 PubMed40369846

2025

Memory T-Cell Phenotype in Cutaneous T-Cell Lymphoma Is Modified by Germline Gene Gametocyte Specific Factor 1.

Applications

Unspecified application

Species

Unspecified reactive species

Amelia Martínez Villarreal,Jennifer Gantchev,Pingxing Xie,Philippe Lefrançois,Brandon Ramchatesingh,Ivan V Litvinov

International journal of molecular sciences 26: PubMed40332359

2025

Single-Cell Transcriptomic Analysis of the Potential Mechanisms of Follicular Development in -Deficient Mice.

Applications

Unspecified application

Species

Unspecified reactive species

Han Wang,Qingchun Liu,Shunfeng Cheng,Lan Li,Wei Shen,Wei Ge

Frontiers in cell and developmental biology 13:1523593 PubMed40213390

2025

KIF2C is essential for meiosis and manchette dynamics in male mice.

Applications

Unspecified application

Species

Unspecified reactive species

Ryua Harima,Mayu Kishinami,Kenshiro Hara,Kentaro Tanemura

Nature communications 16:2179 PubMed40128182

2025

Non-viral generation of transgenic non-human primates via the piggyBac transposon system.

Applications

Unspecified application

Species

Unspecified reactive species

Masataka Nakaya,Chizuru Iwatani,Setsuko Tsukiyama-Fujii,Ai Mieda,Shoko Tarumoto,Taro Tsujimura,Takuya Yamamoto,Takafumi Ichikawa,Tomonori Nakamura,Ichiro Terakado,Ikuo Kawamoto,Takahiro Nakagawa,Iori Itagaki,Mitinori Saitou,Hideaki Tsuchiya,Tomoyuki Tsukiyama

STAR protocols 6:103661 PubMed40022734

2025

Protocol for identifying protein synthesis activity in specific cell types of the testicular lumen.

Applications

Unspecified application

Species

Unspecified reactive species

Dingfeng Zou,Kai Li,Yan Lu,Wei Yan,Wei Song
View all publications

Product promise

We are committed to supporting your work with high-quality reagents, and we're here for you every step of the way. In the unlikely event that one of our products does not perform as expected, you're protected by our Product Promise.
For full details, please see our Terms & Conditions

Please note: All products are 'FOR RESEARCH USE ONLY. NOT FOR USE IN DIAGNOSTIC OR THERAPEUTIC PROCEDURES'.

For licensing inquiries, please contact partnerships@abcam.com