JavaScript is disabled in your browser. Please enable JavaScript to view this website.
AB180462

Anti-DDX4 / MVH antibody [mAbcam27591] - BSA and Azide free

Be the first to review this product! Submit a review

|

(0 Publication)

Mouse Recombinant Monoclonal DDX4 / MVH antibody. Carrier free. Suitable for WB, ICC/IF, IHC-Fr, IHC-P and reacts with Mouse, Common marmoset, Human samples.

View Alternative Names

VASA, DDX4, Probable ATP-dependent RNA helicase DDX4, DEAD box protein 4, Vasa homolog

4 Images
Immunohistochemistry (Formalin/PFA-fixed paraffin-embedded sections) - Anti-DDX4 / MVH antibody [mAbcam27591] - BSA and Azide free (AB180462)
  • IHC-P

Lab

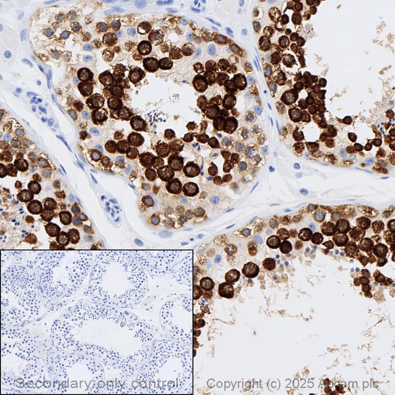
Immunohistochemistry (Formalin/PFA-fixed paraffin-embedded sections) - Anti-DDX4 / MVH antibody [mAbcam27591] - BSA and Azide free (AB180462)

This data was developed using ab27591, the same antibody clone in a different buffer formulation.

Immunohistochemical analysis of formalin fixed paraffin embedded human testis labelling DDX4/MVH with ab27591 at a concentration of 0.1µg/ml. The immunostaining was performed on a Ventana DISCOVERY ULTRA (Roche Tissue Diagnostics) instrument with a OptiView DAB IHC Detection Kit. Heat mediated antigen retrieval was performed with DISCOVERY cell conditioning solution (CC1) 100°C, pH8.5 for 32mins.

ab27591 anti-DDX4/MVH antibody [mAbcam27591] was incubated for 16mins at 37°C. Sections were counterstained with Hematoxylin II. Image inset shows absence of staining in secondary antibody only control.

Customers are encouraged to optimise antigen retrieval conditions, antibody concentration, incubation times and temperature for best results in their own IHC assay workflow (automated and manual)

Immunocytochemistry/ Immunofluorescence - Anti-DDX4 / MVH antibody [mAbcam27591] - BSA and Azide free (AB180462)
  • ICC/IF

Supplier Data

Immunocytochemistry/ Immunofluorescence - Anti-DDX4 / MVH antibody [mAbcam27591] - BSA and Azide free (AB180462)

This data was developed using the same antibody clone in a different buffer formulation (ab27591). ab27591 staining DDX4/MVH in mES cells. The cells were fixed with 100% methanol (5 min) then permeabilized with 0.1% Triton X-100 for 5 minutes and then blocked with 1% BSA/10% normal goat serum/0.3M glycine in 0.1% PBS-Tween for 1h. The cells were then incubated with ab27591 at 10μg/ml concentration and ab6046 (Rabbit polyclonal to beta Tubulin) at 1/1000 dilution overnight at 4°C followed by a further incubation at room temperature for 1h with a goat secondary antibody to mouse IgG (Alexa Fluor® 488) (ab150117) at 2 μg/ml (shown in green) and a goat secondary antibody to rabbit IgG (Alexa Fluor® 594) (ab150080) at 2 μg/ml (shown in red). Nuclear DNA was labelled in blue with DAPI. Image was taken with a confocal microscope (Leica-Microsystems TCS SP8).

Immunocytochemistry/ Immunofluorescence - Anti-DDX4 / MVH antibody [mAbcam27591] - BSA and Azide free (AB180462)
  • ICC/IF

Lab

Immunocytochemistry/ Immunofluorescence - Anti-DDX4 / MVH antibody [mAbcam27591] - BSA and Azide free (AB180462)

This data was developed using the same antibody clone in a different buffer formulation without PBS and sodium azide (ab27591)

ab27591 staining DDX4/MVH in mES cells. The cells were fixed with 100% methanol (5 min), permeabilized with 0.1% PBS-Triton X-100 for 5 minutes and then blocked with 1% BSA/10% normal goat serum/0.3M glycine in 0.1% PBS-Tween for 1h. The cells were then incubated overnight at 4°C with ab27591 at 1µg/ml and ab6046, Rabbit polyclonal to beta Tubulin - Loading Control. Cells were then incubated with ab150117, Goat polyclonal Secondary Antibody to Mouse IgG H&L (Alexa Fluor® 488) preadsorbed at 1/1000 dilution (shown in green) and ab150080, Goat polyclonal Secondary Antibody to Rabbit IgG - H&L (Alexa Fluor® 594) at 1/1000 dilution (shown in pseudocolour red). Nuclear DNA was labelled with DAPI (shown in blue).

Image was acquired with a confocal microscope (Leica-Microsystems TCS SP8) and a single confocal section is shown.

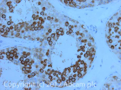
Immunohistochemistry (Formalin/PFA-fixed paraffin-embedded sections) - Anti-DDX4 / MVH antibody [mAbcam27591] - BSA and Azide free (AB180462)
  • IHC-P

Supplier Data

Immunohistochemistry (Formalin/PFA-fixed paraffin-embedded sections) - Anti-DDX4 / MVH antibody [mAbcam27591] - BSA and Azide free (AB180462)

This image was produced using the same antibody clone but in a different formulation, ab27591.

IHC image of DDX4/MVH staining in human normal testis formalin fixed paraffin embedded tissue section, performed on a Leica BondTM system using the standard protocol F. The section was pre-treated using heat mediated antigen retrieval with sodium citrate buffer (pH6, epitope retrieval solution 1) for 20 mins. The section was then incubated with ab27591, 0.1μg/ml, for 15 mins at room temperature and detected using an HRP conjugated compact polymer system. DAB was used as the chromogen. The section was then counterstained with hematoxylin and mounted with DPX.

For other IHC staining systems (automated and non-automated) customers should optimize variable parameters such as antigen retrieval conditions, primary antibody concentration and antibody incubation times.

  • HRP

    HRP Anti-DDX4 / MVH antibody [mAbcam27591]

Key facts

Host species

Mouse

Clonality

Monoclonal

Clone number

mAbcam27591

Isotype

IgG1

Light chain type

kappa

Carrier free

Yes

Reacts with

Mouse, Human, Common marmoset

Applications

IHC-P, ICC/IF, IHC-Fr, WB

applications

Immunogen

The exact immunogen used to generate this antibody is proprietary information.

Reactivity data

{ "title": "Reactivity Data", "filters": { "stats": ["", "Species", "Dilution Info", "Notes"], "tabs": { "all-applications": {"fullname" : "All Applications", "shortname": "All Applications"}, "WB" : {"fullname" : "Western blot", "shortname":"WB"}, "ICCIF" : {"fullname" : "Immunocytochemistry/ Immunofluorescence", "shortname":"ICC/IF"}, "IHCFr" : {"fullname" : "Immunohistochemistry (Frozen sections)", "shortname":"IHC-Fr"}, "IHCP" : {"fullname" : "Immunohistochemistry (Formalin/PFA-fixed paraffin-embedded sections)", "shortname":"IHC-P"} }, "product-promise": { "all": "all", "testedAndGuaranteed": "tested", "guaranteed": "expected", "predicted": "predicted", "notRecommended": "not-recommended" } }, "values": { "Human": { "WB-species-checked": "notRecommended", "WB-species-dilution-info": "", "WB-species-notes": "<p></p>", "ICCIF-species-checked": "notRecommended", "ICCIF-species-dilution-info": "", "ICCIF-species-notes": "<p></p>", "IHCFr-species-checked": "guaranteed", "IHCFr-species-dilution-info": "", "IHCFr-species-notes": "", "IHCP-species-checked": "testedAndGuaranteed", "IHCP-species-dilution-info": "", "IHCP-species-notes": "<p>If high background is observed, retest using lower primary concentration.</p>" }, "Mouse": { "WB-species-checked": "testedAndGuaranteed", "WB-species-dilution-info": "", "WB-species-notes": "<p></p>", "ICCIF-species-checked": "testedAndGuaranteed", "ICCIF-species-dilution-info": "", "ICCIF-species-notes": "<p></p>", "IHCFr-species-checked": "testedAndGuaranteed", "IHCFr-species-dilution-info": "", "IHCFr-species-notes": "<p></p>", "IHCP-species-checked": "guaranteed", "IHCP-species-dilution-info": "", "IHCP-species-notes": "" }, "Rat": { "WB-species-checked": "notRecommended", "WB-species-dilution-info": "", "WB-species-notes": "", "ICCIF-species-checked": "notRecommended", "ICCIF-species-dilution-info": "", "ICCIF-species-notes": "", "IHCFr-species-checked": "notRecommended", "IHCFr-species-dilution-info": "", "IHCFr-species-notes": "<p></p>", "IHCP-species-checked": "notRecommended", "IHCP-species-dilution-info": "", "IHCP-species-notes": "" }, "Common marmoset": { "WB-species-checked": "guaranteed", "WB-species-dilution-info": "", "WB-species-notes": "", "ICCIF-species-checked": "guaranteed", "ICCIF-species-dilution-info": "", "ICCIF-species-notes": "", "IHCFr-species-checked": "guaranteed", "IHCFr-species-dilution-info": "", "IHCFr-species-notes": "", "IHCP-species-checked": "testedAndGuaranteed", "IHCP-species-dilution-info": "", "IHCP-species-notes": "<p>If high background is observed, retest using lower primary concentration.</p>" }, "Pig": { "WB-species-checked": "notRecommended", "WB-species-dilution-info": "", "WB-species-notes": "", "ICCIF-species-checked": "notRecommended", "ICCIF-species-dilution-info": "", "ICCIF-species-notes": "", "IHCFr-species-checked": "notRecommended", "IHCFr-species-dilution-info": "", "IHCFr-species-notes": "", "IHCP-species-checked": "predicted", "IHCP-species-dilution-info": "", "IHCP-species-notes": "" }, "Rabbit": { "WB-species-checked": "notRecommended", "WB-species-dilution-info": "", "WB-species-notes": "", "ICCIF-species-checked": "notRecommended", "ICCIF-species-dilution-info": "", "ICCIF-species-notes": "", "IHCFr-species-checked": "notRecommended", "IHCFr-species-dilution-info": "", "IHCFr-species-notes": "", "IHCP-species-checked": "predicted", "IHCP-species-dilution-info": "", "IHCP-species-notes": "" } } }

Product details

ab180462 is the carrier-free version of ab27591.

Want a custom formulation?
This antibody clone is manufactured by Abcam. If you require a custom buffer formulation or conjugation for your experiments, please contact orders@abcam.com

Conjugation ready
Our carrier-free antibodies are typically supplied in a PBS-only formulation, purified and free of BSA, sodium azide and glycerol. This conjugation-ready format is designed for use with fluorochromes, metal isotopes, oligonucleotides, and enzymes, which makes them ideal for antibody labelling, functional and cell-based assays, flow-based assays (e.g. mass cytometry) and Multiplex Imaging applications.

Use our conjugation kits for antibody conjugates that are ready-to-use in as little as 20 minutes with 1 minute hands-on-time and 100% antibody recovery: available for fluorescent dyes, HRP, biotin and gold.

Compatibility
This product is compatible with the Maxpar® Antibody Labeling Kit from Fluidigm, without the need for antibody preparation. Maxpar® is a trademark of Fluidigm Canada Inc.

Properties and storage information

Form
Liquid
Purification technique
Affinity purification
Storage buffer
Constituents: PBS
Shipped at conditions
Blue Ice
Appropriate short-term storage conditions
+4°C
Appropriate long-term storage conditions
+4°C
Storage information
Do Not Freeze

Supplementary information

This supplementary information is collated from multiple sources and compiled automatically.

DDX4 also known as MVH is a protein that functions as an ATP-dependent RNA helicase. This protein with a molecular mass of approximately 79 kDa belongs to the DEAD box protein family. DDX4 localizes mostly in germ cells and is notably present in the testis of organisms like chickens. Its expression is significant in the cytoplasm of spermatocytes and oocytes where it plays an essential role in the regulation of RNA metabolism during germ cell development.
Biological function summary

DDX4 supports RNA processes including splicing transport and stability within germ cells. The protein contributes to the assembly of protein-RNA complexes essential for cellular function. It operates in germ cell development by ensuring proper RNA handling and regulation. DDX4 also contributes to the formation of germ granules cellular structures important for RNA processing and storage in germ cells.

Pathways

DDX4 is involved in germ cell development and differentiation. It plays a role in pathways regulating meiosis and gametogenesis cooperating with proteins like PIWIL1. Within these pathways DDX4 influences small RNA pathways which are important for gene regulation during germ cell maturation. This action underlines the protein's relevance in reproductive biology and cellular lifecycle management within the gonads.

Alterations in DDX4 expression or function have associations with infertility and germ cell tumors. Aberrant activities of DDX4 can disrupt normal germ cell development linking it to disorders affecting fertility. The protein shares connections with TDRD9 another protein associated with germ cell development implicating them in similar reproductive health issues. Understanding DDX4's function could lead to better insights into reproductive diseases and potential therapeutic targets.

Product protocols

For this product, it's our understanding that no specific protocols are required. You can visit:

Target data

ATP-dependent RNA helicase required during spermatogenesis (PubMed : 10920202, PubMed : 21034600). Required to repress transposable elements and preventing their mobilization, which is essential for the germline integrity (By similarity). Acts via the piRNA metabolic process, which mediates the repression of transposable elements during meiosis by forming complexes composed of piRNAs and Piwi proteins and governs the methylation and subsequent repression of transposons (By similarity). Involved in the secondary piRNAs metabolic process, the production of piRNAs in fetal male germ cells through a ping-pong amplification cycle (By similarity). Required for PIWIL2 slicing-triggered piRNA biogenesis : helicase activity enables utilization of one of the slice cleavage fragments generated by PIWIL2 and processing these pre-piRNAs into piRNAs (By similarity).
See full target information DDX4

Product promise

We are committed to supporting your work with high-quality reagents, and we're here for you every step of the way. In the unlikely event that one of our products does not perform as expected, you're protected by our Product Promise.
For full details, please see our Terms & Conditions

Associated Products

Select an associated product type
Alternative Product
Primary Antibodies

AB235443

Anti-DDX4 / MVH antibody [EPR21785]

primary-antibodies

ddx4-mvh-antibody-epr21785-ab235443

0

(0 reviews)

Alternative Product
Primary Antibodies

AB239367

Anti-DDX4 / MVH antibody [EPR22988-3]

primary-antibodies

ddx4-mvh-antibody-epr22988-3-ab239367

0

(0 reviews)

Alternative Product
Primary Antibodies

AB235442

Anti-DDX4 / MVH antibody [EPR21789]

primary-antibodies

ddx4-mvh-antibody-epr21789-ab235442

0

(0 reviews)

Alternative Product
Primary Antibodies

AB236456

Anti-DDX4 / MVH antibody [EPR21785] - BSA and Azide free

primary-antibodies

ddx4-mvh-antibody-epr21785-bsa-and-azide-free-ab236456

0

(0 reviews)

Alternative Product
Primary Antibodies

AB236462

Anti-DDX4 / MVH antibody [EPR21789] - BSA and Azide free

primary-antibodies

ddx4-mvh-antibody-epr21789-bsa-and-azide-free-ab236462

0

(0 reviews)

Alternative Version
Primary Antibodies

AB27591

Anti-DDX4 / MVH antibody [mAbcam27591]

primary-antibodies

ddx4-mvh-antibody-mabcam27591-ab27591

4

(8 reviews)

Please note: All products are 'FOR RESEARCH USE ONLY. NOT FOR USE IN DIAGNOSTIC OR THERAPEUTIC PROCEDURES'.

For licensing inquiries, please contact partnerships@abcam.com