JavaScript is disabled in your browser. Please enable JavaScript to view this website.
AB284611

Anti-DDX4 / MVH antibody [RM1022]

  • BOND RX™ Validated
  • 20ul selling size
  • RabMAb
  • Recombinant
  • What is this?

Be the first to review this product! Submit a review

|

(2 Publications)

Rabbit Recombinant Multiclonal DDX4 / MVH antibody. Suitable for WB, IHC-P, IHC-Fr and reacts with Mouse, Rat, Human samples. Cited in 2 publications.

View Alternative Names

VASA, DDX4, Probable ATP-dependent RNA helicase DDX4, DEAD box protein 4, Vasa homolog

9 Images
Immunohistochemistry (Formalin/PFA-fixed paraffin-embedded sections) - Anti-DDX4 / MVH antibody [RM1022] (AB284611)
  • IHC-P

Lab

Immunohistochemistry (Formalin/PFA-fixed paraffin-embedded sections) - Anti-DDX4 / MVH antibody [RM1022] (AB284611)

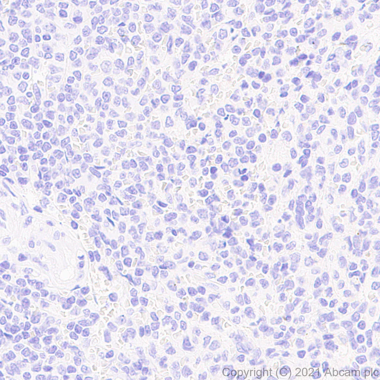
Immunohistochemical analysis of paraffin-embedded Human spleen tissue labelling DDX4 with ab284611 at 1/2000 (0.223 ug/ml) followed by a ready to use LeicaDS9800 (Bond™ Polymer Refine Detection) was used. Negative control : No staining on human spleen. The section was incubated with ab284611 for 30 mins at room temperature. The immunostaining was performed on a Leica Biosystems BOND® RX instrument Counterstained with Hematoxylin.

Secondary antibody only control : Secondary antibody is a ready to use LeicaDS9800 (Bond™ Polymer Refine Detection) was used.

Heat mediated antigen retrieval with Tris-EDTA buffer (pH 9.0, epitope retrieval solution2) for 20 mins

Immunohistochemistry (Frozen sections) - Anti-DDX4 / MVH antibody [RM1022] (AB284611)
  • IHC-Fr

Lab

Immunohistochemistry (Frozen sections) - Anti-DDX4 / MVH antibody [RM1022] (AB284611)

Immunohistochemical analysis of 4% PFA-fixed, 0.2% Triton X-100 permeabilized frozen Mouse testis tissue labeling DDX4 with ab284611 at 1/100 (4.46 ug/ml) dilution followed by ab150077 Goat Anti-Rabbit IgG H&L (Alexa Fluor® 488) at 1/1000 2 ug/ml dilution (Green). Cytoplasmic staining on mouse testis is observed. The nuclear counterstain was DAPI (Blue).

Secondary antibody control : Secondary antibody is ab150077 Goat Anti-Rabbit IgG H&L (Alexa Fluor® 488)at 1/1000 2 ug/ml dilution.

Heat mediated antigen retrieval using sodium citrate buffer (10mM citrate pH 6.0 + 0.05% Tween-20).

Immunohistochemistry (Formalin/PFA-fixed paraffin-embedded sections) - Anti-DDX4 / MVH antibody [RM1022] (AB284611)
  • IHC-P

Lab

Immunohistochemistry (Formalin/PFA-fixed paraffin-embedded sections) - Anti-DDX4 / MVH antibody [RM1022] (AB284611)

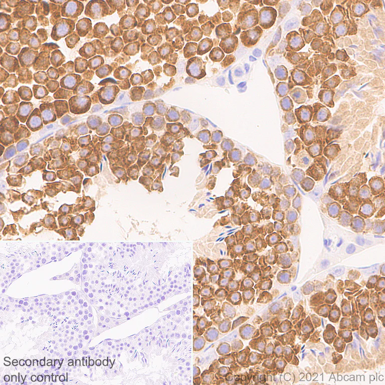
Immunohistochemical analysis of paraffin-embedded Human testis tissue labelling DDX4 with ab284611 at 1/2000 (0.223 ug/ml) followed by a ready to use LeicaDS9800 (Bond™ Polymer Refine Detection) was used. Positive staining on human testis (PMID : 26444630). The section was incubated with ab284611 for 30 mins at room temperature. The immunostaining was performed on a Leica Biosystems BOND® RX instrument Counterstained with Hematoxylin.

Secondary antibody only control : Secondary antibody is a ready to use LeicaDS9800 (Bond™ Polymer Refine Detection) was used.

Heat mediated antigen retrieval with Tris-EDTA buffer (pH 9.0, epitope retrieval solution2) for 20 mins

Immunohistochemistry (Formalin/PFA-fixed paraffin-embedded sections) - Anti-DDX4 / MVH antibody [RM1022] (AB284611)
  • IHC-P

Lab

Immunohistochemistry (Formalin/PFA-fixed paraffin-embedded sections) - Anti-DDX4 / MVH antibody [RM1022] (AB284611)

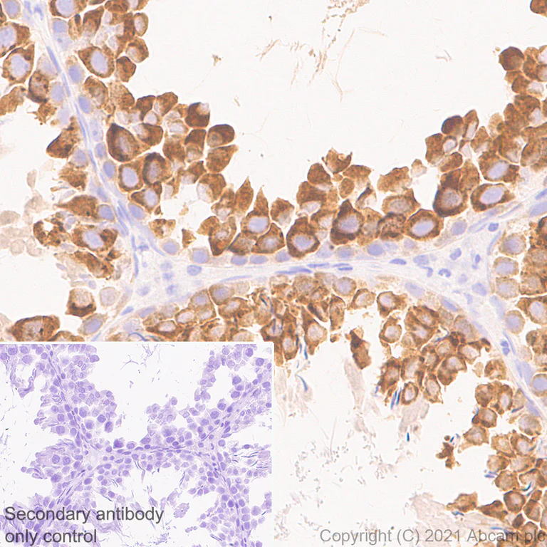
Immunohistochemical analysis of paraffin-embedded Mouse testis tissue labelling DDX4 with ab284611 at 1/2000 (0.223 ug/ml) followed by a ready to use LeicaDS9800 (Bond™ Polymer Refine Detection) was used. Positive staining on mouse testis. The section was incubated with ab284611 for 30 mins at room temperature. The immunostaining was performed on a Leica Biosystems BOND® RX instrument Counterstained with Hematoxylin.

Secondary antibody only control : Secondary antibody is a ready to use LeicaDS9800 (Bond™ Polymer Refine Detection) was used.

Heat mediated antigen retrieval with Tris-EDTA buffer (pH 9.0, epitope retrieval solution2) for 20 mins

Immunohistochemistry (Formalin/PFA-fixed paraffin-embedded sections) - Anti-DDX4 / MVH antibody [RM1022] (AB284611)
  • IHC-P

Lab

Immunohistochemistry (Formalin/PFA-fixed paraffin-embedded sections) - Anti-DDX4 / MVH antibody [RM1022] (AB284611)

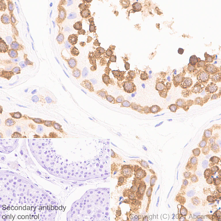
Immunohistochemical analysis of paraffin-embedded Rat testis tissue labelling DDX4 with ab284611 at 1/2000 (0.223 ug/ml) followed by a ready to use LeicaDS9800 (Bond™ Polymer Refine Detection) was used. Positive staining on rat testis. The section was incubated with ab284611 for 30 mins at room temperature. The immunostaining was performed on a Leica Biosystems BOND® RX instrument Counterstained with Hematoxylin.

Secondary antibody only control : Secondary antibody is a ready to use LeicaDS9800 (Bond™ Polymer Refine Detection) was used.

Heat mediated antigen retrieval with Tris-EDTA buffer (pH 9.0, epitope retrieval solution2) for 20 mins

Immunohistochemistry (Frozen sections) - Anti-DDX4 / MVH antibody [RM1022] (AB284611)
  • IHC-Fr

Lab

Immunohistochemistry (Frozen sections) - Anti-DDX4 / MVH antibody [RM1022] (AB284611)

Immunohistochemical analysis of 4% PFA-fixed, 0.2% Triton X-100 permeabilized frozen Mouse ovary tissue labeling DDX4 with ab284611 at 1/100 (4.46 ug/ml) dilution followed by ab150077 Goat Anti-Rabbit IgG H&L (Alexa Fluor® 488) at 1/1000 2 ug/ml dilution (Green). Positive staining on mouse oocytes is observed. The nuclear counterstain was DAPI (Blue).

Secondary antibody control : Secondary antibody is ab150077 Goat Anti-Rabbit IgG H&L (Alexa Fluor® 488) at 1/1000 2 ug/ml dilution.

Heat mediated antigen retrieval using sodium citrate buffer (10mM citrate pH 6.0 + 0.05% Tween-20).

Immunohistochemistry (Frozen sections) - Anti-DDX4 / MVH antibody [RM1022] (AB284611)
  • IHC-Fr

Lab

Immunohistochemistry (Frozen sections) - Anti-DDX4 / MVH antibody [RM1022] (AB284611)

Immunohistochemical analysis of 4% PFA-fixed, 0.2% Triton X-100 permeabilized frozen Rat ovary tissue labeling DDX4 with ab284611 at 1/100 (4.46 ug/ml) dilution followed by ab150077 Goat Anti-Rabbit IgG H&L (Alexa Fluor® 488) at 1/1000 2 ug/ml dilution (Green). Positive staining on rat oocytes is observed. The nuclear counterstain was DAPI (Blue).

Secondary antibody control : Secondary antibody is ab150077 Goat Anti-Rabbit IgG H&L (Alexa Fluor® 488)at 1/1000 2 ug/ml dilution.

Heat mediated antigen retrieval using sodium citrate buffer (10mM citrate pH 6.0 + 0.05% Tween-20).

Immunohistochemistry (Frozen sections) - Anti-DDX4 / MVH antibody [RM1022] (AB284611)
  • IHC-Fr

Lab

Immunohistochemistry (Frozen sections) - Anti-DDX4 / MVH antibody [RM1022] (AB284611)

Immunohistochemical analysis of 4% PFA-fixed, 0.2% Triton X-100 permeabilized frozen Rat testis tissue labeling DDX4 with ab284611 at 1/100 (4.46 ug/ml) dilution followed by ab150077 Goat Anti-Rabbit IgG H&L (Alexa Fluor® 488) at 1/1000 2 ug/ml dilution (Green). Cytoplasmic staining on rat testis is observed. The nuclear counterstain was DAPI (Blue).

Secondary antibody control : Secondary antibody is ab150077 Goat Anti-Rabbit IgG H&L (Alexa Fluor® 488)at 1/1000 2 ug/ml dilution.

Heat mediated antigen retrieval using sodium citrate buffer (10mM citrate pH 6.0 + 0.05% Tween-20).

Western blot - Anti-DDX4 / MVH antibody [RM1022] (AB284611)
  • WB

Lab

Western blot - Anti-DDX4 / MVH antibody [RM1022] (AB284611)

Blocking and diluting buffer and concentration : 5% NFDM/TBST

Exposure time : Lane 1 : 37 seconds. Lane 2 & 3 : 7 seconds.

All lanes:

Western blot - Anti-DDX4 / MVH antibody [RM1022] (ab284611) at 1/1000 dilution

Lane 1:

Human testis tissue lysate at 20 µg

Lane 2:

Mouse testis tissue lysate

Lane 3:

Rat testis tissue lysate

Secondary

All lanes:

Goat Anti-Rabbit IgG, (H+L), Peroxidase conjugated (<a href='/en-us/products/secondary-antibodies/goat-rabbit-igg-h-l-hrp-ab97051'>ab97051</a>) at 1/100000 dilution

Predicted band size: 79 kDa

Observed band size: 79 kDa

false

  • Carrier free

    Anti-DDX4 / MVH antibody [RM1022] - BSA and Azide free

Key facts

Host species

Rabbit

Clonality

Multiclonal

Clone number

RM1022

Isotype

IgG

Carrier free

No

Reacts with

Human, Mouse, Rat

Applications

WB, IHC-Fr, IHC-P

applications

Immunogen

The exact immunogen used to generate this antibody is proprietary information.

Reactivity data

{ "title": "Reactivity Data", "filters": { "stats": ["", "Species", "Dilution Info", "Notes"], "tabs": { "all-applications": {"fullname" : "All Applications", "shortname": "All Applications"}, "ICCIF" : {"fullname" : "Immunocytochemistry/ Immunofluorescence", "shortname":"ICC/IF"}, "IP" : {"fullname" : "Immunoprecipitation", "shortname":"IP"}, "WB" : {"fullname" : "Western blot", "shortname":"WB"}, "IHCP" : {"fullname" : "Immunohistochemistry (Formalin/PFA-fixed paraffin-embedded sections)", "shortname":"IHC-P"}, "IHCFr" : {"fullname" : "Immunohistochemistry (Frozen sections)", "shortname":"IHC-Fr"}, "FlowCytIntra" : {"fullname" : "Flow Cytometry (Intracellular)", "shortname":"Flow Cyt (Intra)"} }, "product-promise": { "all": "all", "testedAndGuaranteed": "tested", "guaranteed": "expected", "predicted": "predicted", "notRecommended": "not-recommended" } }, "values": { "Human": { "ICCIF-species-checked": "notRecommended", "ICCIF-species-dilution-info": "", "ICCIF-species-notes": "<p></p>", "IP-species-checked": "notRecommended", "IP-species-dilution-info": "", "IP-species-notes": "<p></p>", "WB-species-checked": "testedAndGuaranteed", "WB-species-dilution-info": "", "WB-species-notes": "<p></p>", "IHCP-species-checked": "testedAndGuaranteed", "IHCP-species-dilution-info": "", "IHCP-species-notes": "<p></p>", "IHCFr-species-checked": "guaranteed", "IHCFr-species-dilution-info": "", "IHCFr-species-notes": "", "FlowCytIntra-species-checked": "notRecommended", "FlowCytIntra-species-dilution-info": "", "FlowCytIntra-species-notes": "<p></p>" }, "Mouse": { "ICCIF-species-checked": "notRecommended", "ICCIF-species-dilution-info": "", "ICCIF-species-notes": "<p></p>", "IP-species-checked": "notRecommended", "IP-species-dilution-info": "", "IP-species-notes": "", "WB-species-checked": "testedAndGuaranteed", "WB-species-dilution-info": "", "WB-species-notes": "<p></p>", "IHCP-species-checked": "testedAndGuaranteed", "IHCP-species-dilution-info": "", "IHCP-species-notes": "<p></p>", "IHCFr-species-checked": "testedAndGuaranteed", "IHCFr-species-dilution-info": "", "IHCFr-species-notes": "<p>Perform heat mediated antigen retrieval with sodium citrate buffer (10mM citrate pH 6.0 + 0.05% Tween-20) before commencing with IHC staining protocol.</p>", "FlowCytIntra-species-checked": "notRecommended", "FlowCytIntra-species-dilution-info": "", "FlowCytIntra-species-notes": "<p></p>" }, "Rat": { "ICCIF-species-checked": "notRecommended", "ICCIF-species-dilution-info": "", "ICCIF-species-notes": "", "IP-species-checked": "notRecommended", "IP-species-dilution-info": "", "IP-species-notes": "", "WB-species-checked": "testedAndGuaranteed", "WB-species-dilution-info": "", "WB-species-notes": "<p></p>", "IHCP-species-checked": "testedAndGuaranteed", "IHCP-species-dilution-info": "", "IHCP-species-notes": "<p></p>", "IHCFr-species-checked": "testedAndGuaranteed", "IHCFr-species-dilution-info": "", "IHCFr-species-notes": "<p>Perform heat mediated antigen retrieval with sodium citrate buffer (10mM citrate pH 6.0 + 0.05% Tween-20) before commencing with IHC staining protocol.</p>", "FlowCytIntra-species-checked": "notRecommended", "FlowCytIntra-species-dilution-info": "", "FlowCytIntra-species-notes": "" } } }

Product details

What are recombinant multiclonals?
Recombinant multiclonals are a mixture of recombinant antibodies co-expressed from a library of heavy and light chains. They offer several advantages including:

  • - The sensitivity of polyclonal antibodies by recognising multiple epitopes
  • - High batch-to-batch consistency and reproducibility
  • - Improved sensitivity and specificity
  • - Long-term security of supply
  • - Animal-free batch production

View our range of recombinant multiclonal antibodies.

Patented technology
Our RabMAb® technology is a patented hybridoma-based technology for making rabbit monoclonal antibodies. For details on our patents, please refer to RabMAb® patents.

Properties and storage information

Form
Liquid
Purification technique
Affinity purification Protein A
Storage buffer
pH: 7.2 - 7.4 Preservative: 0.01% Sodium azide Constituents: 59% PBS, 40% Glycerol (glycerin, glycerine), 0.05% BSA
Shipped at conditions
Blue Ice
Appropriate short-term storage duration
1-2 weeks
Appropriate short-term storage conditions
+4°C
Appropriate long-term storage conditions
+4°C
Aliquoting information
Upon delivery aliquot
Storage information
Avoid freeze / thaw cycle

Supplementary information

This supplementary information is collated from multiple sources and compiled automatically.

DDX4 also known as MVH is a protein that functions as an ATP-dependent RNA helicase. This protein with a molecular mass of approximately 79 kDa belongs to the DEAD box protein family. DDX4 localizes mostly in germ cells and is notably present in the testis of organisms like chickens. Its expression is significant in the cytoplasm of spermatocytes and oocytes where it plays an essential role in the regulation of RNA metabolism during germ cell development.
Biological function summary

DDX4 supports RNA processes including splicing transport and stability within germ cells. The protein contributes to the assembly of protein-RNA complexes essential for cellular function. It operates in germ cell development by ensuring proper RNA handling and regulation. DDX4 also contributes to the formation of germ granules cellular structures important for RNA processing and storage in germ cells.

Pathways

DDX4 is involved in germ cell development and differentiation. It plays a role in pathways regulating meiosis and gametogenesis cooperating with proteins like PIWIL1. Within these pathways DDX4 influences small RNA pathways which are important for gene regulation during germ cell maturation. This action underlines the protein's relevance in reproductive biology and cellular lifecycle management within the gonads.

Alterations in DDX4 expression or function have associations with infertility and germ cell tumors. Aberrant activities of DDX4 can disrupt normal germ cell development linking it to disorders affecting fertility. The protein shares connections with TDRD9 another protein associated with germ cell development implicating them in similar reproductive health issues. Understanding DDX4's function could lead to better insights into reproductive diseases and potential therapeutic targets.

Product protocols

For this product, it's our understanding that no specific protocols are required. You can visit:

Target data

ATP-dependent RNA helicase required during spermatogenesis (PubMed : 10920202, PubMed : 21034600). Required to repress transposable elements and preventing their mobilization, which is essential for the germline integrity (By similarity). Acts via the piRNA metabolic process, which mediates the repression of transposable elements during meiosis by forming complexes composed of piRNAs and Piwi proteins and governs the methylation and subsequent repression of transposons (By similarity). Involved in the secondary piRNAs metabolic process, the production of piRNAs in fetal male germ cells through a ping-pong amplification cycle (By similarity). Required for PIWIL2 slicing-triggered piRNA biogenesis : helicase activity enables utilization of one of the slice cleavage fragments generated by PIWIL2 and processing these pre-piRNAs into piRNAs (By similarity).
See full target information DDX4

Publications (2)

Recent publications for all applications. Explore the full list and refine your search

Cell discovery 11:74 PubMed40921762

2025

Intrauterine hyperglycemia impairs mouse primordial germ cell development and fertility by sex-specific epigenetic reprogramming interference.

Applications

Unspecified application

Species

Unspecified reactive species

Jiangshan Cong,Qing Li,Yangyang Li,Minghao Li,Yan Shi,Peiran Hu,Xidi Yin,Qianyun Zhang,Jianzhong Sheng,Jinsong Li,Guolian Ding,Yu Zhang,Hefeng Huang

Reproductive biology and endocrinology : RB&E 23:3 PubMed39780247

2025

HnRNPM modulates alternative splicing in germ cells by recruiting PTBP1.

Applications

Unspecified application

Species

Unspecified reactive species

Peng Lv,Wenchao Xu,Sheng Xin,Yuanxuan Deng,Bin Yang,Dengjianyi Xu,Jian Bai,Deilin Ma,Tao Wang,Jihong Liu,Xiaming Liu
View all publications

Product promise

We are committed to supporting your work with high-quality reagents, and we're here for you every step of the way. In the unlikely event that one of our products does not perform as expected, you're protected by our Product Promise.
For full details, please see our Terms & Conditions

Please note: All products are 'FOR RESEARCH USE ONLY. NOT FOR USE IN DIAGNOSTIC OR THERAPEUTIC PROCEDURES'.

For licensing inquiries, please contact partnerships@abcam.com