JavaScript is disabled in your browser. Please enable JavaScript to view this website.
AB126730

Anti-DDX5 antibody [EPR7239]

5

(2 Reviews)

|

(38 Publications)

Rabbit Recombinant Monoclonal DDX5 antibody. Suitable for WB, IP, IHC-P, ICC/IF, Flow Cyt (Intra) and reacts with Human, Mouse, Rat samples. Cited in 38 publications.

View Alternative Names

G17P1, HELR, HLR1, DDX5, Probable ATP-dependent RNA helicase DDX5, DEAD box protein 5, RNA helicase p68

8 Images
Immunocytochemistry/ Immunofluorescence - Anti-DDX5 antibody [EPR7239] (AB126730)
  • ICC/IF

Lab

Immunocytochemistry/ Immunofluorescence - Anti-DDX5 antibody [EPR7239] (AB126730)

Immunocytochemistry/Immunofluorescence analysis of SH-SY5Y (human neuroblastoma) cells labelling DDX5 (green) with purified ab126730 at 1/250. Cells were fixed with 4% Paraformaldehyde and permeabilized with 0.1% Triton X-100. ab150077, Alexa Fluor® 488-conjugated goat anti-rabbit IgG (1/1000) was used as the secondary antibody. DAPI (blue) was used as a nuclear counterstain.

Secondary Only Control : PBS was used instead of the primary antibody as the negative control.

Immunocytochemistry/ Immunofluorescence - Anti-DDX5 antibody [EPR7239] (AB126730)
  • ICC/IF

Unknown

Immunocytochemistry/ Immunofluorescence - Anti-DDX5 antibody [EPR7239] (AB126730)

ab126730, at a dilution of 1/100, staining DDX5 in HeLa cells by Immunofluorescence.

Flow Cytometry (Intracellular) - Anti-DDX5 antibody [EPR7239] (AB126730)
  • Flow Cyt (Intra)

Lab

Flow Cytometry (Intracellular) - Anti-DDX5 antibody [EPR7239] (AB126730)

ab126730 staining DDX5 in the human cell line HeLa (Human cervix adenocarcinoma epithelial cell) by intracellular flow cytometry. Cells were fixed with 4% paraformaldehyde, permeabilised with 90% methanol and the sample was incubated with the primary antibody at a dilution of 1/200. A goat anti rabbit IgG (Alexa Fluor® 488) at a dilution of 1/2000 was used as the secondary antibody.

Isoytype control : Rabbit monoclonal IgG (Black) Unlabelled control : Cell without incubation with primary antibody and secondary antibody (Blue).

Immunohistochemistry (Formalin/PFA-fixed paraffin-embedded sections) - Anti-DDX5 antibody [EPR7239] (AB126730)
  • IHC-P

Unknown

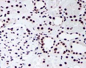
Immunohistochemistry (Formalin/PFA-fixed paraffin-embedded sections) - Anti-DDX5 antibody [EPR7239] (AB126730)

ab126730, at a dilution of 1/250, staining DDX5 in paraffin-embedded Human kidney tissue by Immunohistochemistry.

Perform heat mediated antigen retrieval with citrate buffer pH 6 before commencing with IHC staining protocol.

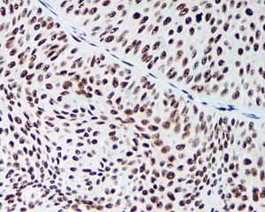
Immunohistochemistry (Formalin/PFA-fixed paraffin-embedded sections) - Anti-DDX5 antibody [EPR7239] (AB126730)
  • IHC-P

Unknown

Immunohistochemistry (Formalin/PFA-fixed paraffin-embedded sections) - Anti-DDX5 antibody [EPR7239] (AB126730)

ab126730, at a dilution of 1/250, staining DDX5 in paraffin-embedded Human bladder carcinoma tissue by Immunohistochemistry.

Perform heat mediated antigen retrieval with citrate buffer pH 6 before commencing with IHC staining protocol.

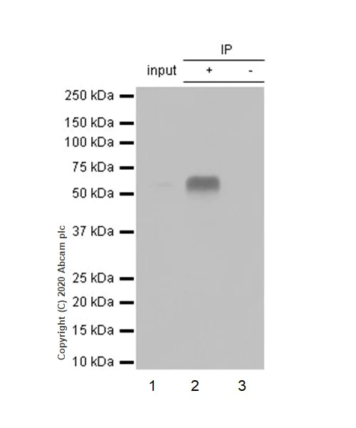
Immunoprecipitation - Anti-DDX5 antibody [EPR7239] (AB126730)
  • IP

Unknown

Immunoprecipitation - Anti-DDX5 antibody [EPR7239] (AB126730)

Purified ab126730 at 1/20 dilution (1μg) immunoprecipitating DDX5 in Mouse brain lysate.
Lane 1 (input) : Mouse brain lysate 10μg
Lane 2 (+) : ab126730 + Mouse brain lysate.
Lane 3 (-) : Rabbit monoclonal IgG (ab172730) instead of ab126730 in Mouse brain lysate.
VeriBlot for IP Detection Reagent (HRP) (ab131366) (1/20,000 dilution) was used for Western blotting.
Blocking Buffer and concentration : 5% NFDM/TBST.
Diluting buffer and concentration : 5% NFDM/TBST.
Observed band size : 69 kDa

All lanes:

Immunoprecipitation - Anti-DDX5 antibody [EPR7239] (ab126730)

Predicted band size: 69 kDa

false

Western blot - Anti-DDX5 antibody [EPR7239] (AB126730)
  • WB

Unknown

Western blot - Anti-DDX5 antibody [EPR7239] (AB126730)

All lanes:

Western blot - Anti-DDX5 antibody [EPR7239] (ab126730) at 1/10000 dilution

Lane 1:

HeLa cell lysate at 10 µg

Lane 2:

SH-SY5Y cell lysate at 10 µg

Lane 3:

A431 cell lysate at 10 µg

Lane 4:

HT29 cell lysate at 10 µg

Secondary

All lanes:

HRP labelled goat anti-rabbit at 1/2000 dilution

Predicted band size: 69 kDa

false

Western blot - Anti-DDX5 antibody [EPR7239] (AB126730)
  • WB

Lab

Western blot - Anti-DDX5 antibody [EPR7239] (AB126730)

Lane 1 : Wild-type HAP1 whole cell lysate (20 μg)
Lane 2 : DDX5 knockout HAP1 whole cell lysate (20 μg)
Lane 3 : MCF7 whole cell lysate (20 μg)
Lane 4 : HeLa whole cell lysate (20 μg)

Lanes 1 - 4 : Merged signal (red and green). Green - ab126730 observed at 69 kDa. Red - loading control, ab9484, observed at 37 kDa.

ab126730 was shown to specifically react with DDX5 in wild-type cells as signal was lost in DDX5 knockout cells. Wild-type and DDX5 knockout samples were subjected to SDS-PAGE. ab126730 and ab9484 (Mouse anti-GAPDH loading control) were incubated overnight at 4°C at 1/10000 dilution and 1/20000 dilution respectively. Blots were developed with Goat anti-Rabbit IgG H&L (IRDye® 800CW) preabsorbed ab216773 and Goat anti-Mouse IgG H&L (IRDye® 680RD) preabsorbed ab216776 secondary antibodies at 1/20000 dilution for 1 hour at room temperature before imaging.

All lanes:

Western blot - Anti-DDX5 antibody [EPR7239] (ab126730)

Predicted band size: 69 kDa

false

Key facts

Host species

Rabbit

Clonality

Monoclonal

Clone number

EPR7239

Isotype

IgG

Carrier free

No

Reacts with

Mouse, Human

Applications

Flow Cyt (Intra), ICC/IF, IHC-P, WB, IP

applications

Immunogen

The exact immunogen used to generate this antibody is proprietary information.

Reactivity data

{ "title": "Reactivity Data", "filters": { "stats": ["", "Species", "Dilution Info", "Notes"], "tabs": { "all-applications": {"fullname" : "All Applications", "shortname": "All Applications"}, "WB" : {"fullname" : "Western blot", "shortname":"WB"}, "IP" : {"fullname" : "Immunoprecipitation", "shortname":"IP"}, "IHCP" : {"fullname" : "Immunohistochemistry (Formalin/PFA-fixed paraffin-embedded sections)", "shortname":"IHC-P"}, "ICCIF" : {"fullname" : "Immunocytochemistry/ Immunofluorescence", "shortname":"ICC/IF"}, "FlowCytIntra" : {"fullname" : "Flow Cytometry (Intracellular)", "shortname":"Flow Cyt (Intra)"} }, "product-promise": { "all": "all", "testedAndGuaranteed": "tested", "guaranteed": "expected", "predicted": "predicted", "notRecommended": "not-recommended" } }, "values": { "Human": { "WB-species-checked": "testedAndGuaranteed", "WB-species-dilution-info": "1/10000 - 1/50000", "WB-species-notes": "<p></p>", "IP-species-checked": "guaranteed", "IP-species-dilution-info": "", "IP-species-notes": "", "IHCP-species-checked": "testedAndGuaranteed", "IHCP-species-dilution-info": "1/250 - 1/500", "IHCP-species-notes": "<p></p>", "ICCIF-species-checked": "testedAndGuaranteed", "ICCIF-species-dilution-info": "1/100 - 1/250", "ICCIF-species-notes": "<p></p>", "FlowCytIntra-species-checked": "testedAndGuaranteed", "FlowCytIntra-species-dilution-info": "", "FlowCytIntra-species-notes": "<p></p>" }, "Mouse": { "WB-species-checked": "guaranteed", "WB-species-dilution-info": "", "WB-species-notes": "", "IP-species-checked": "testedAndGuaranteed", "IP-species-dilution-info": "1/10 - 1/100", "IP-species-notes": "<p></p>", "IHCP-species-checked": "guaranteed", "IHCP-species-dilution-info": "", "IHCP-species-notes": "", "ICCIF-species-checked": "guaranteed", "ICCIF-species-dilution-info": "", "ICCIF-species-notes": "", "FlowCytIntra-species-checked": "guaranteed", "FlowCytIntra-species-dilution-info": "", "FlowCytIntra-species-notes": "" }, "Rat": { "WB-species-checked": "guaranteed", "WB-species-dilution-info": "1/10000 - 1/50000", "WB-species-notes": "<p></p>", "IP-species-checked": "guaranteed", "IP-species-dilution-info": "1/10 - 1/100", "IP-species-notes": "<p></p>", "IHCP-species-checked": "guaranteed", "IHCP-species-dilution-info": "1/250 - 1/500", "IHCP-species-notes": "<p></p>", "ICCIF-species-checked": "guaranteed", "ICCIF-species-dilution-info": "1/100 - 1/250", "ICCIF-species-notes": "<p></p>", "FlowCytIntra-species-checked": "guaranteed", "FlowCytIntra-species-dilution-info": "", "FlowCytIntra-species-notes": "<p></p>" } } }

Product details

Patented technology
Our RabMAb® technology is a patented hybridoma-based technology for making rabbit monoclonal antibodies. For details on our patents, please refer to RabMAb® patents.

What are the advantages of a recombinant monoclonal antibody?
This product is a recombinant monoclonal antibody, which offers several advantages including:

  • - High batch-to-batch consistency and reproducibility
  • - Improved sensitivity and specificity
  • - Long-term security of supply
  • - Animal-free batch production

For more information, read more on recombinant antibodies.

Properties and storage information

Form
Liquid
Purification technique
Affinity purification Protein A
Storage buffer
pH: 7.2 - 7.4 Preservative: 0.01% Sodium azide Constituents: PBS, 40% Glycerol (glycerin, glycerine), 0.05% BSA
Shipped at conditions
Blue Ice
Appropriate short-term storage duration
1-2 weeks
Appropriate short-term storage conditions
+4°C
Appropriate long-term storage conditions
-20°C
Aliquoting information
Upon delivery aliquot
Storage information
Stable for 12 months at -20°C

Supplementary information

This supplementary information is collated from multiple sources and compiled automatically.

DDX5 also known as DEAD-box helicase 5 or p68 is an RNA helicase important to various RNA processing tasks. With a molecular mass of approximately 68 kDa DDX5 unwinds RNA secondary structures using energy from ATP hydrolysis. It expresses widely in human tissues with higher levels observed in regions of active cellular proliferation. The expression pattern reflects its significant involvement in pathways that require dynamic RNA structure modifications.
Biological function summary

The function of DDX5 facilitates RNA splicing transcription and ribosome biogenesis. DDX5 is a component of various RNA processing complexes interacting with other proteins to modify pre-mRNA and other RNA molecules. It plays a role in modulating gene expression and ensuring the proper processing of precursor RNA transcripts. This makes DDX5 important in cellular differentiation and development influencing stem cell renewal and pluripotency.

Pathways

DDX5 participates in the Wnt/β-catenin and p53 signaling pathways. In the Wnt/β-catenin pathway DDX5 interacts with proteins such as β-catenin to influence gene transcription involved in cell growth and differentiation. Within the p53 pathway DDX5 modulates the activity of p53 a protein known for its role in DNA damage response and apoptosis. These interactions position DDX5 at the intersection of multiple regulatory networks that govern cellular proliferation and survival.

Aberrant DDX5 expression links to cancer and neurodegenerative diseases. Overexpression or dysregulation of DDX5 has been observed in various cancers including breast cancer where it can interact with proteins such as estrogen receptor alpha promoting tumor progression. In neurodegenerative disorders particularly amyotrophic lateral sclerosis (ALS) DDX5 forms toxic aggregates with TDP-43 a protein important in RNA binding and processing. Understanding DDX5's involvement in these diseases offers insight into potential therapeutic targets and diagnostic markers.

Product protocols

For this product, it's our understanding that no specific protocols are required. You can visit:

Target data

Involved in the alternative regulation of pre-mRNA splicing; its RNA helicase activity is necessary for increasing tau exon 10 inclusion and occurs in a RBM4-dependent manner. Binds to the tau pre-mRNA in the stem-loop region downstream of exon 10. The rate of ATP hydrolysis is highly stimulated by single-stranded RNA. Involved in transcriptional regulation; the function is independent of the RNA helicase activity. Transcriptional coactivator for androgen receptor AR but probably not ESR1. Synergizes with DDX17 and SRA1 RNA to activate MYOD1 transcriptional activity and involved in skeletal muscle differentiation. Transcriptional coactivator for p53/TP53 and involved in p53/TP53 transcriptional response to DNA damage and p53/TP53-dependent apoptosis. Transcriptional coactivator for RUNX2 and involved in regulation of osteoblast differentiation. Acts as a transcriptional repressor in a promoter-specific manner; the function probably involves association with histone deacetylases, such as HDAC1. As component of a large PER complex is involved in the inhibition of 3' transcriptional termination of circadian target genes such as PER1 and NR1D1 and the control of the circadian rhythms.
See full target information DDX5

Publications (38)

Recent publications for all applications. Explore the full list and refine your search

Genes 16: PubMed40869977

2025

The Transcriptional Coactivator Gene Is a Target of the Transcription Factor E2F1 Deregulated from the Tumor Suppressor pRB.

Applications

Unspecified application

Species

Unspecified reactive species

Rinka Nakajima,Yaxuan Zhou,Mashiro Shirasawa,Mariana Fikriyanti,Ritsuko Iwanaga,Andrew P Bradford,Kenta Kurayoshi,Keigo Araki,Kiyoshi Ohtani

PLoS pathogens 21:e1013009 PubMed40257982

2025

RNA helicases, DDX5 and DDX17, facilitate lytic reactivation of gammaherpesviruses.

Applications

Unspecified application

Species

Unspecified reactive species

Praneet Kaur Sandhu,Blossom Damania

iScience 28:112219 PubMed40224004

2025

Supinoxin blocks small cell lung cancer progression by inhibiting mitochondrial respiration through DDX5.

Applications

Unspecified application

Species

Unspecified reactive species

Subhadeep Das,Maria P Zea,Matthew P Russon,Zheng Xing,Sandra Torregrosa-Allen,Heidi E Cervantes,Haley Anne Harper,Bennett D Elzey,Elizabeth J Tran

International journal of molecular sciences 25: PubMed39769018

2025

DEAD/H Box 5 (DDX5) Augments E2F1-Induced Cell Death Independent of the Tumor Suppressor p53.

Applications

Unspecified application

Species

Unspecified reactive species

Rinka Nakajima,Yaxuan Zhou,Mashiro Shirasawa,Naoyasu Nishimura,Lin Zhao,Mariana Fikriyanti,Yuki Kamiya,Ritsuko Iwanaga,Andrew P Bradford,Kaori Shinmyozu,Gohei Nishibuchi,Jun-Ichi Nakayama,Kenta Kurayoshi,Keigo Araki,Kiyoshi Ohtani

iScience 27:110900 PubMed39351203

2024

Superenhancer-driven circRNA Myst4 involves in pulmonary artery smooth muscle cell ferroptosis in pulmonary hypertension.

Applications

Unspecified application

Species

Unspecified reactive species

Siyu He,June Bai,Lixin Zhang,Hao Yuan,Cui Ma,Xiaoying Wang,Xiaoyu Guan,Jian Mei,Xiangrui Zhu,Wei Xin,Daling Zhu

The Kaohsiung journal of medical sciences 40:985-995 PubMed39287046

2024

Molecular mechanism of ALKBH5-mediated m6A demethylation regulating lipopolysaccharide-induced epithelial-mesenchymal transition in sepsis-induced acute kidney injury.

Applications

Unspecified application

Species

Unspecified reactive species

Hai-Hong Zhao,Chun-Ling Chen,Fen-Fang Chen,Lu-Lu Zhang,Mei-Mei Li,Ze-Bao He

Research (Washington, D.C.) 7:0451 PubMed39193132

2024

Circular RNA IGF1R Promotes Cardiac Repair via Activating β-Catenin Signaling by Interacting with DDX5 in Mice after Ischemic Insults.

Applications

Unspecified application

Species

Unspecified reactive species

Tian-Kai Shan,Tong-Tong Yang,Peng Jing,Yu-Lin Bao,Liu-Hua Zhou,Ting Zhu,Xin-Ying Shi,Tian-Wen Wei,Si-Bo Wang,Ling-Feng Gu,Jia-Wen Chen,Ye He,Ze-Mu Wang,Qi-Ming Wang,Li-Ping Xie,Ai-Hua Gu,Yang Zhao,Yong Ji,Hao Wang,Lian-Sheng Wang

Genes 15: PubMed39062620

2024

DDX5 Can Act as a Transcription Factor Participating in the Formation of Chicken PGCs by Targeting .

Applications

Unspecified application

Species

Unspecified reactive species

Qisheng Zuo,Wei Gong,Zeling Yao,Kai Jin,Yingjie Niu,Yani Zhang,Bichun Li

iScience 27:110225 PubMed39040050

2024

METTL1-modulated LSM14A facilitates proliferation and migration in glioblastoma via the stabilization of DDX5.

Applications

Unspecified application

Species

Unspecified reactive species

Changyu Wang,Yan He,Xiang Fang,Danyang Zhang,Jinhai Huang,Shuxin Zhao,Lun Li,Guangyu Li

Experimental & molecular medicine 56:1560-1573 PubMed38945954

2024

Noncoding RNA regulates the expression of Krm1 and Dkk2 to synergistically affect aortic valve lesions.

Applications

Unspecified application

Species

Unspecified reactive species

Gaopeng Xian,Rong Huang,Minhui Xu,Hengli Zhao,Xingbo Xu,Yangchao Chen,Hao Ren,Dingli Xu,Qingchun Zeng
View all publications

Product promise

We are committed to supporting your work with high-quality reagents, and we're here for you every step of the way. In the unlikely event that one of our products does not perform as expected, you're protected by our Product Promise.
For full details, please see our Terms & Conditions

Please note: All products are 'FOR RESEARCH USE ONLY. NOT FOR USE IN DIAGNOSTIC OR THERAPEUTIC PROCEDURES'.

For licensing inquiries, please contact partnerships@abcam.com