JavaScript is disabled in your browser. Please enable JavaScript to view this website.
AB248227

Anti-DDX5 antibody [EPR7240] - BSA and Azide free

Be the first to review this product! Submit a review

|

(1 Publication)

Rabbit Recombinant Monoclonal DDX5 antibody. Carrier free. Suitable for IHC-P, ICC/IF, WB and reacts with Human, Mouse samples. Cited in 1 publication.

View Alternative Names

G17P1, HELR, HLR1, DDX5, Probable ATP-dependent RNA helicase DDX5, DEAD box protein 5, RNA helicase p68

5 Images
Immunohistochemistry (Formalin/PFA-fixed paraffin-embedded sections) - Anti-DDX5 antibody [EPR7240] - BSA and Azide free (AB248227)
  • IHC-P

Unknown

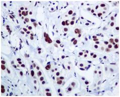
Immunohistochemistry (Formalin/PFA-fixed paraffin-embedded sections) - Anti-DDX5 antibody [EPR7240] - BSA and Azide free (AB248227)

This data was developed using ab128928, the same antibody clone in a different buffer formulation.

ab128928 at 1/100 dilution staining DDX5 in paraffin-embedded Human breast carcinoma tissue by immunohistochemistry.

Perform heat mediated antigen retrieval before commencing with IHC staining protocol.

Western blot - Anti-DDX5 antibody [EPR7240] - BSA and Azide free (AB248227)
  • WB

Unknown

Western blot - Anti-DDX5 antibody [EPR7240] - BSA and Azide free (AB248227)

This data was developed using ab128928, the same antibody clone in a different buffer formulation.

All lanes:

Western blot - Anti-DDX5 antibody [EPR7240] (<a href='/en-us/products/primary-antibodies/ddx5-antibody-epr7240-ab128928'>ab128928</a>) at 1/1000 dilution

Lane 1:

HT-29 cell lysate at 10 µg

Lane 2:

SH-SY5Y cell lysate at 10 µg

Secondary

All lanes:

Goat anti-rabbit HRP conjugated at 1/2000 dilution

Predicted band size: 124 kDa,54 kDa,65 kDa,69 kDa,70 kDa

Observed band size: 155 kDa,175 kDa,65 kDa

false

Immunocytochemistry/ Immunofluorescence - Anti-DDX5 antibody [EPR7240] - BSA and Azide free (AB248227)
  • ICC/IF

Unknown

Immunocytochemistry/ Immunofluorescence - Anti-DDX5 antibody [EPR7240] - BSA and Azide free (AB248227)

This data was developed using ab128928, the same antibody clone in a different buffer formulation.ab128928 at 1/100 dilution staining DDX5 in SHSY5Y cells by immunofluorescence.

Immunohistochemistry (Formalin/PFA-fixed paraffin-embedded sections) - Anti-DDX5 antibody [EPR7240] - BSA and Azide free (AB248227)
  • IHC-P

Unknown

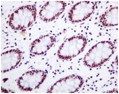
Immunohistochemistry (Formalin/PFA-fixed paraffin-embedded sections) - Anti-DDX5 antibody [EPR7240] - BSA and Azide free (AB248227)

This data was developed using ab128928, the same antibody clone in a different buffer formulation.

ab128928 at 1/100 dilution staining DDX5 in paraffin-embedded Human colon tissue by immunohistochemistry.

Perform heat mediated antigen retrieval before commencing with IHC staining protocol.

Western blot - Anti-DDX5 antibody [EPR7240] - BSA and Azide free (AB248227)
  • WB

Lab

Western blot - Anti-DDX5 antibody [EPR7240] - BSA and Azide free (AB248227)

This data was developed using ab128928, the same antibody clone in a different buffer formulation.

Lane 1 : Wild-type HAP1 whole cell lysate (20 μg)

Lane 2 : DDX5 knockout HAP1 whole cell lysate (20 μg)

Lane 3 : HeLa whole cell lysate (20 μg)

Lane 4 : MCF7 whole cell lysate (20 μg)

Lanes 1 - 4 : Merged signal (red and green). Green - ab128928 observed at 69 kDa. Red - loading control, ab9484, observed at 37 kDa.

ab128928 was shown to specifically react with DDX5 in wild-type cells as signal was lost in DDX5 knockout cells. Wild-type and DDX5 knockout samples were subjected to SDS-PAGE. ab128928 and ab9484 (Mouse anti-GAPDH loading control) were incubated overnight at 4°C at 1/1000 dilution and 1/20000 dilution respectively. Blots were developed with Goat anti-Rabbit IgG H&L (IRDye® 800CW) preabsorbed ab216773 and Goat anti-Mouse IgG H&L (IRDye® 680RD) preabsorbed ab216776 secondary antibodies at 1/20000 dilution for 1 hour at room temperature before imaging.

All lanes:

Western blot - Anti-DDX5 antibody [EPR7240] (<a href='/en-us/products/primary-antibodies/ddx5-antibody-epr7240-ab128928'>ab128928</a>)

Predicted band size: 69 kDa

false

Key facts

Host species

Rabbit

Clonality

Monoclonal

Clone number

EPR7240

Isotype

IgG

Carrier free

Yes

Reacts with

Human, Mouse

Applications

WB, IHC-P, ICC/IF

applications

Immunogen

The exact immunogen used to generate this antibody is proprietary information.

Reactivity data

{ "title": "Reactivity Data", "filters": { "stats": ["", "Species", "Dilution Info", "Notes"], "tabs": { "all-applications": {"fullname" : "All Applications", "shortname": "All Applications"}, "IHCP" : {"fullname" : "Immunohistochemistry (Formalin/PFA-fixed paraffin-embedded sections)", "shortname":"IHC-P"}, "ICCIF" : {"fullname" : "Immunocytochemistry/ Immunofluorescence", "shortname":"ICC/IF"}, "IP" : {"fullname" : "Immunoprecipitation", "shortname":"IP"}, "FlowCyt" : {"fullname" : "Flow Cytometry", "shortname":"Flow Cyt"}, "WB" : {"fullname" : "Western blot", "shortname":"WB"} }, "product-promise": { "all": "all", "testedAndGuaranteed": "tested", "guaranteed": "expected", "predicted": "predicted", "notRecommended": "not-recommended" } }, "values": { "Human": { "IHCP-species-checked": "testedAndGuaranteed", "IHCP-species-dilution-info": "", "IHCP-species-notes": "<p></p>", "ICCIF-species-checked": "testedAndGuaranteed", "ICCIF-species-dilution-info": "", "ICCIF-species-notes": "<p></p>", "IP-species-checked": "notRecommended", "IP-species-dilution-info": "", "IP-species-notes": "<p></p>", "FlowCyt-species-checked": "notRecommended", "FlowCyt-species-dilution-info": "", "FlowCyt-species-notes": "<p></p>", "WB-species-checked": "testedAndGuaranteed", "WB-species-dilution-info": "", "WB-species-notes": "<p></p>" }, "Mouse": { "IHCP-species-checked": "guaranteed", "IHCP-species-dilution-info": "", "IHCP-species-notes": "<p></p>", "ICCIF-species-checked": "guaranteed", "ICCIF-species-dilution-info": "", "ICCIF-species-notes": "<p></p>", "IP-species-checked": "notRecommended", "IP-species-dilution-info": "", "IP-species-notes": "<p></p>", "FlowCyt-species-checked": "notRecommended", "FlowCyt-species-dilution-info": "", "FlowCyt-species-notes": "<p></p>", "WB-species-checked": "guaranteed", "WB-species-dilution-info": "", "WB-species-notes": "<p></p>" }, "Rat": { "IHCP-species-checked": "predicted", "IHCP-species-dilution-info": "", "IHCP-species-notes": "", "ICCIF-species-checked": "predicted", "ICCIF-species-dilution-info": "", "ICCIF-species-notes": "", "IP-species-checked": "notRecommended", "IP-species-dilution-info": "", "IP-species-notes": "", "FlowCyt-species-checked": "notRecommended", "FlowCyt-species-dilution-info": "", "FlowCyt-species-notes": "", "WB-species-checked": "predicted", "WB-species-dilution-info": "", "WB-species-notes": "" } } }

Product details

ab248227 is the carrier-free version of ab128928.

Patented technology
Our RabMAb® technology is a patented hybridoma-based technology for making rabbit monoclonal antibodies. For details on our patents, please refer to RabMAb® patents.

What are the advantages of a recombinant monoclonal antibody?
This product is a recombinant monoclonal antibody, which offers several advantages including:

  • - High batch-to-batch consistency and reproducibility
  • - Improved sensitivity and specificity
  • - Long-term security of supply
  • - Animal-free batch production

For more information, read more on recombinant antibodies.

Conjugation ready
Our carrier-free antibodies are typically supplied in a PBS-only formulation, purified and free of BSA, sodium azide and glycerol. This conjugation-ready format is designed for use with fluorochromes, metal isotopes, oligonucleotides, and enzymes, which makes them ideal for antibody labelling, functional and cell-based assays, flow-based assays (e.g. mass cytometry) and Multiplex Imaging applications.

Use our conjugation kits for antibody conjugates that are ready-to-use in as little as 20 minutes with 1 minute hands-on-time and 100% antibody recovery: available for fluorescent dyes, HRP, biotin and gold.

Compatibility
This product is compatible with the Maxpar® Antibody Labeling Kit from Fluidigm, without the need for antibody preparation. Maxpar® is a trademark of Fluidigm Canada Inc.

Properties and storage information

Form
Liquid
Purification technique
Affinity purification Protein A
Storage buffer
pH: 7.2 - 7.4 Constituents: PBS
Shipped at conditions
Blue Ice
Appropriate short-term storage conditions
+4°C
Appropriate long-term storage conditions
+4°C
Storage information
Do Not Freeze

Supplementary information

This supplementary information is collated from multiple sources and compiled automatically.

DDX5 also known as DEAD-box helicase 5 or p68 is an RNA helicase important to various RNA processing tasks. With a molecular mass of approximately 68 kDa DDX5 unwinds RNA secondary structures using energy from ATP hydrolysis. It expresses widely in human tissues with higher levels observed in regions of active cellular proliferation. The expression pattern reflects its significant involvement in pathways that require dynamic RNA structure modifications.
Biological function summary

The function of DDX5 facilitates RNA splicing transcription and ribosome biogenesis. DDX5 is a component of various RNA processing complexes interacting with other proteins to modify pre-mRNA and other RNA molecules. It plays a role in modulating gene expression and ensuring the proper processing of precursor RNA transcripts. This makes DDX5 important in cellular differentiation and development influencing stem cell renewal and pluripotency.

Pathways

DDX5 participates in the Wnt/β-catenin and p53 signaling pathways. In the Wnt/β-catenin pathway DDX5 interacts with proteins such as β-catenin to influence gene transcription involved in cell growth and differentiation. Within the p53 pathway DDX5 modulates the activity of p53 a protein known for its role in DNA damage response and apoptosis. These interactions position DDX5 at the intersection of multiple regulatory networks that govern cellular proliferation and survival.

Aberrant DDX5 expression links to cancer and neurodegenerative diseases. Overexpression or dysregulation of DDX5 has been observed in various cancers including breast cancer where it can interact with proteins such as estrogen receptor alpha promoting tumor progression. In neurodegenerative disorders particularly amyotrophic lateral sclerosis (ALS) DDX5 forms toxic aggregates with TDP-43 a protein important in RNA binding and processing. Understanding DDX5's involvement in these diseases offers insight into potential therapeutic targets and diagnostic markers.

Product protocols

For this product, it's our understanding that no specific protocols are required. You can visit:

Target data

Involved in the alternative regulation of pre-mRNA splicing; its RNA helicase activity is necessary for increasing tau exon 10 inclusion and occurs in a RBM4-dependent manner. Binds to the tau pre-mRNA in the stem-loop region downstream of exon 10. The rate of ATP hydrolysis is highly stimulated by single-stranded RNA. Involved in transcriptional regulation; the function is independent of the RNA helicase activity. Transcriptional coactivator for androgen receptor AR but probably not ESR1. Synergizes with DDX17 and SRA1 RNA to activate MYOD1 transcriptional activity and involved in skeletal muscle differentiation. Transcriptional coactivator for p53/TP53 and involved in p53/TP53 transcriptional response to DNA damage and p53/TP53-dependent apoptosis. Transcriptional coactivator for RUNX2 and involved in regulation of osteoblast differentiation. Acts as a transcriptional repressor in a promoter-specific manner; the function probably involves association with histone deacetylases, such as HDAC1. As component of a large PER complex is involved in the inhibition of 3' transcriptional termination of circadian target genes such as PER1 and NR1D1 and the control of the circadian rhythms.
See full target information DDX5

Publications (1)

Recent publications for all applications. Explore the full list and refine your search

Open medicine (Warsaw, Poland) 18:20220613 PubMed36694627

2023

circ-IARS depletion inhibits the progression of non-small-cell lung cancer by circ-IARS/miR-1252-5p/HDGF ceRNA pathway.

Applications

Unspecified application

Species

Unspecified reactive species

Jinhua Yang,Chunping Yang,Ping Li
View all publications

Product promise

We are committed to supporting your work with high-quality reagents, and we're here for you every step of the way. In the unlikely event that one of our products does not perform as expected, you're protected by our Product Promise.
For full details, please see our Terms & Conditions

Please note: All products are 'FOR RESEARCH USE ONLY. NOT FOR USE IN DIAGNOSTIC OR THERAPEUTIC PROCEDURES'.

For licensing inquiries, please contact partnerships@abcam.com