JavaScript is disabled in your browser. Please enable JavaScript to view this website.
AB247889

Anti-DDX50 antibody [EPR5273] - BSA and Azide free

Be the first to review this product! Submit a review

|

(1 Publication)

Rabbit Recombinant Monoclonal DDX50 antibody. Carrier free. Suitable for IHC-P, WB and reacts with Human samples. Cited in 1 publication.

View Alternative Names

ATP-dependent RNA helicase DDX50, DEAD box protein 50, Gu-beta, Nucleolar protein Gu2, DDX50

2 Images
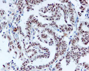
Immunohistochemistry (Formalin/PFA-fixed paraffin-embedded sections) - Anti-DDX50 antibody [EPR5273] - BSA and Azide free (AB247889)
  • IHC-P

Unknown

Immunohistochemistry (Formalin/PFA-fixed paraffin-embedded sections) - Anti-DDX50 antibody [EPR5273] - BSA and Azide free (AB247889)

This data was developed using ab109515, the same antibody clone in a different buffer formulation.

Immunohistochemical analysis of DDX50 in paraffin embedded Human thyroid gland adenocarcinoma tissue, using ab109515 at a dilution of 1/100.

Perform heat mediated antigen retrieval before commencing with IHC staining protocol.

Western blot - Anti-DDX50 antibody [EPR5273] - BSA and Azide free (AB247889)
  • WB

Unknown

Western blot - Anti-DDX50 antibody [EPR5273] - BSA and Azide free (AB247889)

This data was developed using ab109515, the same antibody clone in a different buffer formulation.

All lanes:

Western blot - Anti-DDX50 antibody [EPR5273] (<a href='/en-us/products/primary-antibodies/ddx50-antibody-epr5273-ab109515'>ab109515</a>) at 1/1000 dilution

Lane 1:

HeLa cell lysate at 10 µg

Lane 2:

293T cell lysate at 10 µg

Lane 3:

K562 cell lysate at 10 µg

Lane 4:

Jurkat cell lysate at 10 µg

Predicted band size: 83 kDa

Observed band size: 83 kDa

false

Key facts

Host species

Rabbit

Clonality

Monoclonal

Clone number

EPR5273

Isotype

IgG

Carrier free

Yes

Reacts with

Human

Applications

WB, IHC-P

applications

Immunogen

The exact immunogen used to generate this antibody is proprietary information.

Reactivity data

{ "title": "Reactivity Data", "filters": { "stats": ["", "Species", "Dilution Info", "Notes"], "tabs": { "all-applications": {"fullname" : "All Applications", "shortname": "All Applications"}, "IHCP" : {"fullname" : "Immunohistochemistry (Formalin/PFA-fixed paraffin-embedded sections)", "shortname":"IHC-P"}, "IP" : {"fullname" : "Immunoprecipitation", "shortname":"IP"}, "FlowCyt" : {"fullname" : "Flow Cytometry", "shortname":"Flow Cyt"}, "WB" : {"fullname" : "Western blot", "shortname":"WB"} }, "product-promise": { "all": "all", "testedAndGuaranteed": "tested", "guaranteed": "expected", "predicted": "predicted", "notRecommended": "not-recommended" } }, "values": { "Human": { "IHCP-species-checked": "testedAndGuaranteed", "IHCP-species-dilution-info": "", "IHCP-species-notes": "<p></p>", "IP-species-checked": "notRecommended", "IP-species-dilution-info": "", "IP-species-notes": "<p></p>", "FlowCyt-species-checked": "notRecommended", "FlowCyt-species-dilution-info": "", "FlowCyt-species-notes": "<p></p>", "WB-species-checked": "testedAndGuaranteed", "WB-species-dilution-info": "", "WB-species-notes": "<p></p>" }, "Mouse": { "IHCP-species-checked": "predicted", "IHCP-species-dilution-info": "", "IHCP-species-notes": "", "IP-species-checked": "notRecommended", "IP-species-dilution-info": "", "IP-species-notes": "", "FlowCyt-species-checked": "notRecommended", "FlowCyt-species-dilution-info": "", "FlowCyt-species-notes": "", "WB-species-checked": "predicted", "WB-species-dilution-info": "", "WB-species-notes": "" }, "Rat": { "IHCP-species-checked": "predicted", "IHCP-species-dilution-info": "", "IHCP-species-notes": "", "IP-species-checked": "notRecommended", "IP-species-dilution-info": "", "IP-species-notes": "", "FlowCyt-species-checked": "notRecommended", "FlowCyt-species-dilution-info": "", "FlowCyt-species-notes": "", "WB-species-checked": "predicted", "WB-species-dilution-info": "", "WB-species-notes": "" } } }

Product details

ab247889 is the carrier-free version of ab109515.

Patented technology
Our RabMAb® technology is a patented hybridoma-based technology for making rabbit monoclonal antibodies. For details on our patents, please refer to RabMAb® patents.

What are the advantages of a recombinant monoclonal antibody?
This product is a recombinant monoclonal antibody, which offers several advantages including:

  • - High batch-to-batch consistency and reproducibility
  • - Improved sensitivity and specificity
  • - Long-term security of supply
  • - Animal-free batch production

For more information, read more on recombinant antibodies.

Conjugation ready
Our carrier-free antibodies are typically supplied in a PBS-only formulation, purified and free of BSA, sodium azide and glycerol. This conjugation-ready format is designed for use with fluorochromes, metal isotopes, oligonucleotides, and enzymes, which makes them ideal for antibody labelling, functional and cell-based assays, flow-based assays (e.g. mass cytometry) and Multiplex Imaging applications.

Use our conjugation kits for antibody conjugates that are ready-to-use in as little as 20 minutes with 1 minute hands-on-time and 100% antibody recovery: available for fluorescent dyes, HRP, biotin and gold.

Compatibility
This product is compatible with the Maxpar® Antibody Labeling Kit from Fluidigm, without the need for antibody preparation. Maxpar® is a trademark of Fluidigm Canada Inc.

Properties and storage information

Form
Liquid
Purification technique
Affinity purification Protein A
Storage buffer
pH: 7.2 - 7.4 Constituents: PBS
Shipped at conditions
Blue Ice
Appropriate short-term storage conditions
+4°C
Appropriate long-term storage conditions
+4°C
Storage information
Do Not Freeze

Supplementary information

This supplementary information is collated from multiple sources and compiled automatically.

DDX50 also known as DEAD box polypeptide 50 is an RNA helicase with ATPase activity that unwinds RNA functioning in ribosome biogenesis. It belongs to the DEAD-box protein family characterized by the conserved motif Asp-Glu-Ala-Asp (D-E-A-D). The molecular weight of DDX50 is approximately 82 kDa. This protein expresses mainly in nucleoli within cells where it likely participates in pre-rRNA processing and ribosomal subunit assembly.
Biological function summary

The protein DDX50 plays roles in RNA processing and modification during ribosome production. It does not function alone but as part of a ribonucleoprotein complex that facilitates the maturation of ribosomal RNA. By interacting with other components it assists in the structural rearrangements and modifications necessary for proper ribosome assembly impacting overall cellular protein synthesis.

Pathways

Cellular processes involving ribosome assembly and function depend on proteins like DDX50. It integrates in the ribosome biogenesis pathway influencing the synthesis and assembly of ribosomal subunits. In this pathway DDX50 works with proteins such as DDX21 and NOP56 sharing functional domains to facilitate efficient rRNA modification and processing which are critical to ribosome construction and cellular growth.

Alterations in DDX50 expression or function connect to cancer and some hematological conditions. DDX50's role in ribosome biogenesis makes it a factor in tumorigenesis particularly in cancers where cell proliferation relies heavily on increased protein synthesis. Additionally DDX50 interaction with proteins like NOP56 points to a potential link to dyskeratosis congenita a disorder affecting bone marrow and the skin. Understanding these connections may open doors for developing diagnostic or therapeutic strategies targeting DDX50 and similar proteins.

Product protocols

For this product, it's our understanding that no specific protocols are required. You can visit:

Publications (1)

Recent publications for all applications. Explore the full list and refine your search

Immunity, inflammation and disease 10:e692 PubMed36301023

2022

HDAC4 depletion ameliorates IL-13-triggered inflammatory response and mucus production in nasal epithelial cells via activation of SIRT1/NF-κB signaling.

Applications

Unspecified application

Species

Unspecified reactive species

Hangyu Xu,Lingjun Wang,Huaqun Chen,Hefei Cai
View all publications

Product promise

We are committed to supporting your work with high-quality reagents, and we're here for you every step of the way. In the unlikely event that one of our products does not perform as expected, you're protected by our Product Promise.
For full details, please see our Terms & Conditions

Please note: All products are 'FOR RESEARCH USE ONLY. NOT FOR USE IN DIAGNOSTIC OR THERAPEUTIC PROCEDURES'.

For licensing inquiries, please contact partnerships@abcam.com