JavaScript is disabled in your browser. Please enable JavaScript to view this website.
AB234837

Anti-DDX6 antibody

Be the first to review this product! Submit a review

|

(1 Publication)

Rabbit Polyclonal DDX6 antibody. Suitable for WB, IHC-P, ICC/IF and reacts with Human samples. Cited in 1 publication. Immunogen corresponding to Recombinant Fragment Protein within Human DDX6 aa 1-150.

View Alternative Names

HLR2, RCK, DDX6, Probable ATP-dependent RNA helicase DDX6, ATP-dependent RNA helicase p54, DEAD box protein 6, Oncogene RCK

3 Images
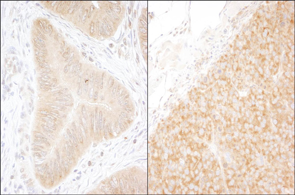
Immunohistochemistry (Formalin/PFA-fixed paraffin-embedded sections) - Anti-DDX6 antibody (AB234837)
  • IHC-P

Supplier Data

Immunohistochemistry (Formalin/PFA-fixed paraffin-embedded sections) - Anti-DDX6 antibody (AB234837)

Paraffin-embedded human colon cancer tissue stained for DDX6 with ab234837 at 1/100 dilution in immunohistochemical analysis.

Western blot - Anti-DDX6 antibody (AB234837)
  • WB

Supplier Data

Western blot - Anti-DDX6 antibody (AB234837)

All lanes:

Western blot - Anti-DDX6 antibody (ab234837) at 1/1000 dilution

All lanes:

HepG2 (Human liver hepatocellular carcinoma cell line) whole cell lysate

Secondary

All lanes:

Goat polyclonal to rabbit IgG at 1/50000 dilution

Predicted band size: 54 kDa,61 kDa

false

Immunocytochemistry/ Immunofluorescence - Anti-DDX6 antibody (AB234837)
  • ICC/IF

Supplier Data

Immunocytochemistry/ Immunofluorescence - Anti-DDX6 antibody (AB234837)

HeLa (Human epithelial cell line from cervix adenocarcinoma) cells stained for DDX6 (green) using ab234837 at 1/100 dilution in ICC/IF, followed by Alexa Fluor 488® congugated Goat Anti-Rabbit IgG (H+L).

Key facts

Host species

Rabbit

Clonality

Polyclonal

Isotype

IgG

Carrier free

No

Reacts with

Human

Applications

IHC-P, ICC/IF, WB

applications

Immunogen

Recombinant Fragment Protein within Human DDX6 aa 1-150. The exact immunogen used to generate this antibody is proprietary information.

P26196

Reactivity data

{ "title": "Reactivity Data", "filters": { "stats": ["", "Species", "Dilution Info", "Notes"], "tabs": { "all-applications": {"fullname" : "All Applications", "shortname": "All Applications"}, "WB" : {"fullname" : "Western blot", "shortname":"WB"}, "IHCP" : {"fullname" : "Immunohistochemistry (Formalin/PFA-fixed paraffin-embedded sections)", "shortname":"IHC-P"}, "ICCIF" : {"fullname" : "Immunocytochemistry/ Immunofluorescence", "shortname":"ICC/IF"} }, "product-promise": { "all": "all", "testedAndGuaranteed": "tested", "guaranteed": "expected", "predicted": "predicted", "notRecommended": "not-recommended" } }, "values": { "Human": { "WB-species-checked": "testedAndGuaranteed", "WB-species-dilution-info": "1/1000 - 1/5000", "WB-species-notes": "<p></p>", "IHCP-species-checked": "testedAndGuaranteed", "IHCP-species-dilution-info": "1/20 - 1/200", "IHCP-species-notes": "<p></p>", "ICCIF-species-checked": "testedAndGuaranteed", "ICCIF-species-dilution-info": "1/50 - 1/200", "ICCIF-species-notes": "<p></p>" }, "Mouse": { "WB-species-checked": "predicted", "WB-species-dilution-info": "", "WB-species-notes": "", "IHCP-species-checked": "predicted", "IHCP-species-dilution-info": "", "IHCP-species-notes": "", "ICCIF-species-checked": "predicted", "ICCIF-species-dilution-info": "", "ICCIF-species-notes": "" }, "Chicken": { "WB-species-checked": "predicted", "WB-species-dilution-info": "", "WB-species-notes": "", "IHCP-species-checked": "predicted", "IHCP-species-dilution-info": "", "IHCP-species-notes": "", "ICCIF-species-checked": "predicted", "ICCIF-species-dilution-info": "", "ICCIF-species-notes": "" }, "Orangutan": { "WB-species-checked": "predicted", "WB-species-dilution-info": "", "WB-species-notes": "", "IHCP-species-checked": "predicted", "IHCP-species-dilution-info": "", "IHCP-species-notes": "", "ICCIF-species-checked": "predicted", "ICCIF-species-dilution-info": "", "ICCIF-species-notes": "" }, "Xenopus laevis": { "WB-species-checked": "predicted", "WB-species-dilution-info": "", "WB-species-notes": "", "IHCP-species-checked": "predicted", "IHCP-species-dilution-info": "", "IHCP-species-notes": "", "ICCIF-species-checked": "predicted", "ICCIF-species-dilution-info": "", "ICCIF-species-notes": "" }, "Xenopus tropicalis": { "WB-species-checked": "predicted", "WB-species-dilution-info": "", "WB-species-notes": "", "IHCP-species-checked": "predicted", "IHCP-species-dilution-info": "", "IHCP-species-notes": "", "ICCIF-species-checked": "predicted", "ICCIF-species-dilution-info": "", "ICCIF-species-notes": "" } } }

Properties and storage information

Form
Liquid
Purification technique
Affinity purification Protein G
Purification notes
Purity >95%.
Storage buffer
pH: 7.4 Preservative: 0.03% Proclin 300 Constituents: PBS, 50% Glycerol (glycerin, glycerine)
Shipped at conditions
Blue Ice
Appropriate short-term storage duration
1-2 weeks
Appropriate short-term storage conditions
+4°C
Appropriate long-term storage conditions
-20°C
Aliquoting information
Upon delivery aliquot
Storage information
Avoid freeze / thaw cycle

Supplementary information

This supplementary information is collated from multiple sources and compiled automatically.

DDX6 also known as RCK or p54 is an RNA helicase with a molecular mass of approximately 54 kDa. This protein is primarily located in the cytoplasm and is involved in processes such as mRNA degradation and translational repression. DDX6 acts mechanically by unwinding RNA molecules which facilitates various RNA processing events critical for cellular function. Its expression occurs broadly across different tissues indicating its significant role in diverse cellular operations.
Biological function summary

DDX6 functions as part of the RNA-induced silencing complex (RISC) and is involved in messenger ribonucleoprotein (mRNP) granule formation. These granules include P-bodies and stress granules which are essential for mRNA metabolism and storage. DDX6 collaborates with other proteins such as EDC3 and DCP1 to regulate mRNA turnover and decay. Its role in post-transcriptional control impacts gene expression regulation at multiple levels.

Pathways

The involvement of DDX6 in the RNA interference (RNAi) and nonsense-mediated mRNA decay (NMD) pathways is significant. In the RNAi pathway it interacts with proteins like AGO2 to mediate gene silencing by microRNAs. DDX6 also participates in the NMD pathway by targeting aberrant mRNAs for degradation assisting proteins like UPF1. These pathways demonstrate the important role of DDX6 in maintaining cellular RNA homeostasis and preventing the accumulation of defective RNAs.

DDX6 has been linked to cancer and neurodegenerative diseases. Its interaction with cancer-related proteins like AURKA suggests a role in tumorigenesis where it may affect cell proliferation and survival. Additionally DDX6's involvement in neurodegenerative disorders has been observed where dysregulation of its associated RNA processes may contribute to disease pathology. Understanding these connections provides insight into potential therapeutic targets for related diseases.

Product protocols

For this product, it's our understanding that no specific protocols are required. You can visit:

Target data

Essential for the formation of P-bodies, cytosolic membrane-less ribonucleoprotein granules involved in RNA metabolism through the coordinated storage of mRNAs encoding regulatory functions (PubMed : 25995375, PubMed : 27342281, PubMed : 31422817). Plays a role in P-bodies to coordinate the storage of translationally inactive mRNAs in the cytoplasm and prevent their degradation (PubMed : 27342281). In the process of mRNA degradation, plays a role in mRNA decapping (PubMed : 16364915). Blocks autophagy in nutrient-rich conditions by repressing the expression of ATG-related genes through degradation of their transcripts (PubMed : 26098573).
See full target information DDX6

Publications (1)

Recent publications for all applications. Explore the full list and refine your search

Nucleic acids research 51:1326-1352 PubMed36718960

2023

Identification of RNA helicases with unwinding activity on angiogenin-processed tRNAs.

Applications

Unspecified application

Species

Unspecified reactive species

Aleksej Drino,Lisa König,Charlotte Capitanchik,Nasim Sanadgol,Eva Janisiw,Tom Rappol,Elisa Vilardo,Matthias R Schaefer
View all publications

Product promise

We are committed to supporting your work with high-quality reagents, and we're here for you every step of the way. In the unlikely event that one of our products does not perform as expected, you're protected by our Product Promise.
For full details, please see our Terms & Conditions

Please note: All products are 'FOR RESEARCH USE ONLY. NOT FOR USE IN DIAGNOSTIC OR THERAPEUTIC PROCEDURES'.

For licensing inquiries, please contact partnerships@abcam.com