JavaScript is disabled in your browser. Please enable JavaScript to view this website.
AB307418

Anti-DDX6 antibody [EPR27016-10]

  • BOND RX™ Validated
  • 20ul selling size
  • RabMAb
  • Recombinant
  • KO Validated
  • What is this?

Be the first to review this product! Submit a review

|

(1 Publication)

Anti-DDX6 antibody [EPR27016-10] is a Rabbit Monoclonal antibody that is used in DDX6 ICC/IF, IHC-P, IP, Western Blot. Suitable for Human, Mouse, Rat samples.

DDX6 is an RNA helicase involved in the regulation of mRNA metabolism, including translation suppression and mRNA degradation. It plays a crucial role in the formation of P-bodies and stress granules, which are essential for the storage and decay of mRNAs. Additionally, DDX6 is required for microRNA-induced gene silencing, impacting gene expression regulation

View Alternative Names

HLR2, RCK, DDX6, Probable ATP-dependent RNA helicase DDX6, ATP-dependent RNA helicase p54, DEAD box protein 6, Oncogene RCK

12 Images
Immunohistochemistry (Formalin/PFA-fixed paraffin-embedded sections) - Anti-DDX6 antibody [EPR27016-10] (AB307418)
  • IHC-P

Supplier Data

Immunohistochemistry (Formalin/PFA-fixed paraffin-embedded sections) - Anti-DDX6 antibody [EPR27016-10] (AB307418)

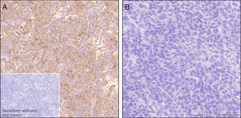
Immunohistochemical analysis of paraffin-embedded (A) Wild-type HAP1 ( tissue lABeling DDX6 with ab307418 at 1/2000 (5.17 ug/ml) followed by a ready to use LeicaDS9800 (Bond? Polymer Refine Detection) was used. Positive staining in (A) wild-type HAP1 cell pellet and no staining in (B) DDX6 knockout HAP1 cell pellet. The section was incubated with ab307418 for 30 mins at room temperature. The immunostaining was performed on a Leica Biosystems BOND? RX instrument. Counterstained with Hematoxylin. Secondary antibody only control : Secondary antibody is a ready to use LeicaDS9800 (Bond? Polymer Refine Detection) was used. Heat mediated antigen retrieval with Tris-EDTA buffer (pH 9.0, epitope retrieval solution2) for 20 mins

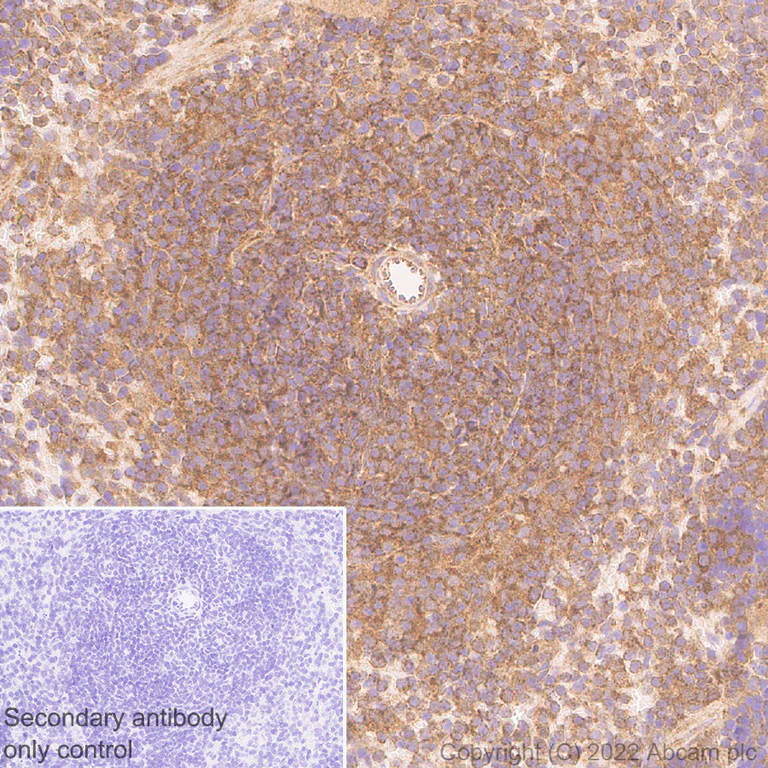
Immunohistochemistry (Formalin/PFA-fixed paraffin-embedded sections) - Anti-DDX6 antibody [EPR27016-10] (AB307418)
  • IHC-P

Supplier Data

Immunohistochemistry (Formalin/PFA-fixed paraffin-embedded sections) - Anti-DDX6 antibody [EPR27016-10] (AB307418)

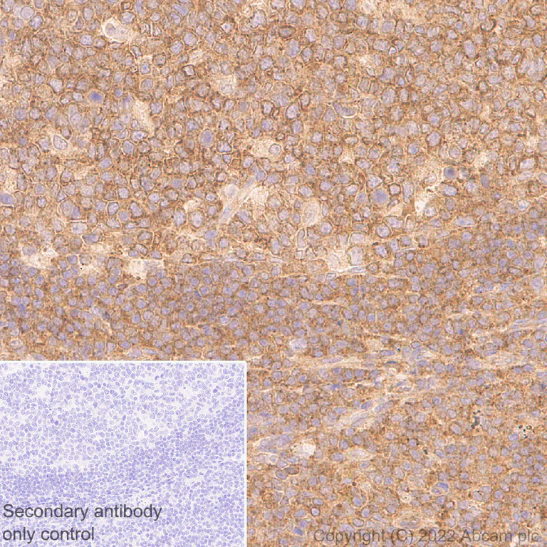
Immunohistochemical analysis of paraffin-embedded Human tonsil tissue lABeling DDX6 with ab307418 at 1/100 (5.17 ug/ml) followed by a ready to use LeicaDS9800 (Bond? Polymer Refine Detection) was used. Positive staining on human tonsil. The section was incubated with ab307418 for 30 mins at room temperature. The immunostaining was performed on a Leica Biosystems BOND? RX instrument. Counterstained with Hematoxylin. Secondary antibody only control : Secondary antibody is a ready to use LeicaDS9800 (Bond? Polymer Refine Detection) was used. Heat mediated antigen retrieval with Tris-EDTA buffer (pH 9.0, epitope retrieval solution2) for 20 mins

Immunocytochemistry/ Immunofluorescence - Anti-DDX6 antibody [EPR27016-10] (AB307418)
  • ICC/IF

Supplier Data

Immunocytochemistry/ Immunofluorescence - Anti-DDX6 antibody [EPR27016-10] (AB307418)

Immunofluorescent analysis of 100% methanol-fixed, 0.1% TritonX-100 permeABilized DDX6 KO HAP1 (DDX6 knockout human chronic myelogenous leukemia near-haploid cell) cells lABelling DDX6 with ab307418 at 1/100 (5.17 ug/ml) dilution, followed by ab150081 Goat Anti-RABbit IgG H&L (Alexa Fluor? 488) preadsorbed antibody at 1/1000 2 ug/ml dilution (Green). Confocal image showing no staining in DDX6 knockout HAP1 cells and showing punctate cytoplasmic staining in wildtype HAP1 cells.Image was taken with a confocal microscope(Leica-Microsystems, TCS SP8). is observed. ab195889 Anti-alpha Tubulin mouse monoclonal antibody - Microtubule Marker (Alexa Fluor? 594) was used to counterstain tubulin at 1/200 2.5ug/ml dilution (Red). The Nuclear counterstain was DAPI (Blue). Secondary antibody only control : Secondary antibody is ab150081 Goat Anti-RABbit IgG H&L (Alexa Fluor? 488) preadsorbed at 1/1000 2 ug/ml dilution.

Immunohistochemistry (Formalin/PFA-fixed paraffin-embedded sections) - Anti-DDX6 antibody [EPR27016-10] (AB307418)
  • IHC-P

Supplier Data

Immunohistochemistry (Formalin/PFA-fixed paraffin-embedded sections) - Anti-DDX6 antibody [EPR27016-10] (AB307418)

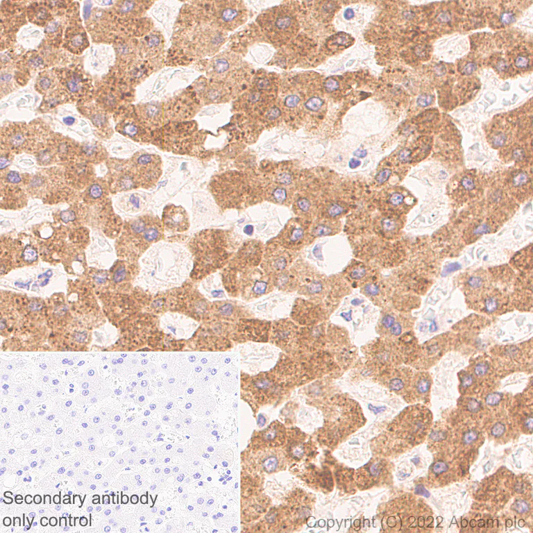
Immunohistochemical analysis of paraffin-embedded Human liver tissue lABeling DDX6 with ab307418 at 1/100 (5.17 ug/ml) followed by a ready to use LeicaDS9800 (Bond? Polymer Refine Detection) was used. Positive staining on human liver. The section was incubated with ab307418 for 30 mins at room temperature. The immunostaining was performed on a Leica Biosystems BOND? RX instrument. Counterstained with Hematoxylin. Secondary antibody only control : Secondary antibody is a ready to use LeicaDS9800 (Bond? Polymer Refine Detection) was used. Heat mediated antigen retrieval with Tris-EDTA buffer (pH 9.0, epitope retrieval solution2) for 20 mins

Immunoprecipitation - Anti-DDX6 antibody [EPR27016-10] (AB307418)
  • IP

Supplier Data

Immunoprecipitation - Anti-DDX6 antibody [EPR27016-10] (AB307418)

DDX6 was immunoprecipitated from 0.35 mg Parental HAP1 (wildtype control human chronic myelogenous leukemia near-haploid cell line) whole cell lysate 10 ug with ab307418 at 1/30 dilution (2ug in 0.35mg lysates). Western blot was performed on the immunoprecipitate using ab307418 at 1/1000 dilution. VeriBlot for IP secondary antibody (HRP) (ab131366) was used at 1/5000 dilution.

Lane 1 : Parental HAP1 (wildtype control human chronic myelogenous leukemia near-haploid cell line) whole cell lysate 10 ug
Lane 2 : ab307418 IP in Parental HAP1 whole cell lysate
Lane 3 : Rabbit monoclonal IgG (ab172730) instead of ab307418 in parental HAP1whole cell lysate

Blocking and dilution buffer and concentration : 5% NFDM/TBST.

Exposure time : 137 seconds

All lanes:

Immunoprecipitation - Anti-DDX6 antibody [EPR27016-10] (ab307418) at 1/1000 dilution

Lane 1:

Parental HAP1 (wildtype control human chronic myelogenous leukemia near-haploid cell line) whole cell lysate 10 μg

Lane 2:

Parental HAP1 whole cell lysate

Secondary

All lanes:

Immunoprecipitation - VeriBlot for IP Detection Reagent (HRP) (<a href='/en-us/products/reagents/veriblot-for-ip-detection-reagent-hrp-ab131366'>ab131366</a>) at 1/5000 dilution

Observed band size: 54 kDa

false

Exposure time: 137s

Immunocytochemistry/ Immunofluorescence - Anti-DDX6 antibody [EPR27016-10] (AB307418)
  • ICC/IF

Supplier Data

Immunocytochemistry/ Immunofluorescence - Anti-DDX6 antibody [EPR27016-10] (AB307418)

Immunofluorescent analysis of 100% methanol-fixed, 0.1% TritonX-100 permeABilized PC-12 (rat adrenal gland pheochromocytoma cell) cells lABelling DDX6 with ab307418 at 1/100 (5.17 ug/ml) dilution, followed by ab150081 Goat Anti-RABbit IgG H&L (Alexa Fluor? 488) preadsorbed antibody at 1/1000 2 ug/ml dilution (Green). Confocal image showing punctate cytoplasmic staining in PC-12 cell line.Image was taken with a confocal microscope(Leica-Microsystems, TCS SP8). is observed. ab195889 Anti-alpha Tubulin mouse monoclonal antibody - Microtubule Marker (Alexa Fluor? 594) was used to counterstain tubulin at 1/200 2.5ug/ml dilution (Red). The Nuclear counterstain was DAPI (Blue). Secondary antibody only control : Secondary antibody is ab150081 Goat Anti-RABbit IgG H&L (Alexa Fluor? 488) preadsorbed at 1/1000 2 ug/ml dilution.

Immunocytochemistry/ Immunofluorescence - Anti-DDX6 antibody [EPR27016-10] (AB307418)
  • ICC/IF

Supplier Data

Immunocytochemistry/ Immunofluorescence - Anti-DDX6 antibody [EPR27016-10] (AB307418)

Immunofluorescent analysis of 100% methanol-fixed, 0.1% TritonX-100 permeABilized C2C12 (mouse myoblast) cells lABelling DDX6 with ab307418 at 1/100 (5.17 ug/ml) dilution, followed by ab150081 Goat Anti-RABbit IgG H&L (Alexa Fluor? 488) preadsorbed antibody at 1/1000 2 ug/ml dilution (Green). Confocal image showing punctate cytoplasmic staining in C2C12 cell line.Image was taken with a confocal microscope(Leica-Microsystems, TCS SP8). is observed. ab195889 Anti-alpha Tubulin mouse monoclonal antibody - Microtubule Marker (Alexa Fluor? 594) was used to counterstain tubulin at 1/200 2.5ug/ml dilution (Red). The Nuclear counterstain was DAPI (Blue). Secondary antibody only control : Secondary antibody is ab150081 Goat Anti-RABbit IgG H&L (Alexa Fluor? 488) preadsorbed at 1/1000 2 ug/ml dilution.

Immunohistochemistry (Formalin/PFA-fixed paraffin-embedded sections) - Anti-DDX6 antibody [EPR27016-10] (AB307418)
  • IHC-P

Supplier Data

Immunohistochemistry (Formalin/PFA-fixed paraffin-embedded sections) - Anti-DDX6 antibody [EPR27016-10] (AB307418)

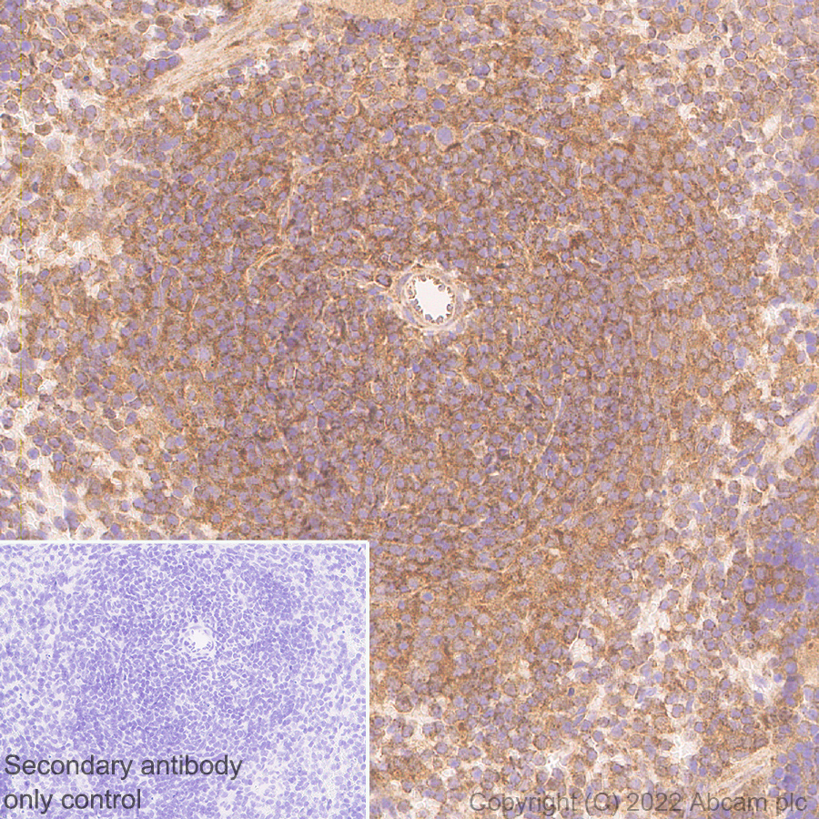
Immunohistochemical analysis of paraffin-embedded Rat spleen tissue lABeling DDX6 with ab307418 at 1/100 (5.17 ug/ml) followed by a ready to use LeicaDS9800 (Bond? Polymer Refine Detection) was used. Positive staining on rat spleen. The section was incubated with ab307418 for 30 mins at room temperature. The immunostaining was performed on a Leica Biosystems BOND? RX instrument. Counterstained with Hematoxylin. Secondary antibody only control : Secondary antibody is a ready to use LeicaDS9800 (Bond? Polymer Refine Detection) was used. Heat mediated antigen retrieval with Tris-EDTA buffer (pH 9.0, epitope retrieval solution2) for 20 mins

Immunohistochemistry (Formalin/PFA-fixed paraffin-embedded sections) - Anti-DDX6 antibody [EPR27016-10] (AB307418)
  • IHC-P

Supplier Data

Immunohistochemistry (Formalin/PFA-fixed paraffin-embedded sections) - Anti-DDX6 antibody [EPR27016-10] (AB307418)

Immunohistochemical analysis of paraffin-embedded Mouse spleen tissue lABeling DDX6 with ab307418 at 1/100 (5.17 ug/ml) followed by a ready to use LeicaDS9800 (Bond? Polymer Refine Detection) was used. Positive staining on mouse spleen. The section was incubated with ab307418 for 30 mins at room temperature. The immunostaining was performed on a Leica Biosystems BOND? RX instrument. Counterstained with Hematoxylin. Secondary antibody only control : Secondary antibody is a ready to use LeicaDS9800 (Bond? Polymer Refine Detection) was used. Heat mediated antigen retrieval with Tris-EDTA buffer (pH 9.0, epitope retrieval solution2) for 20 mins

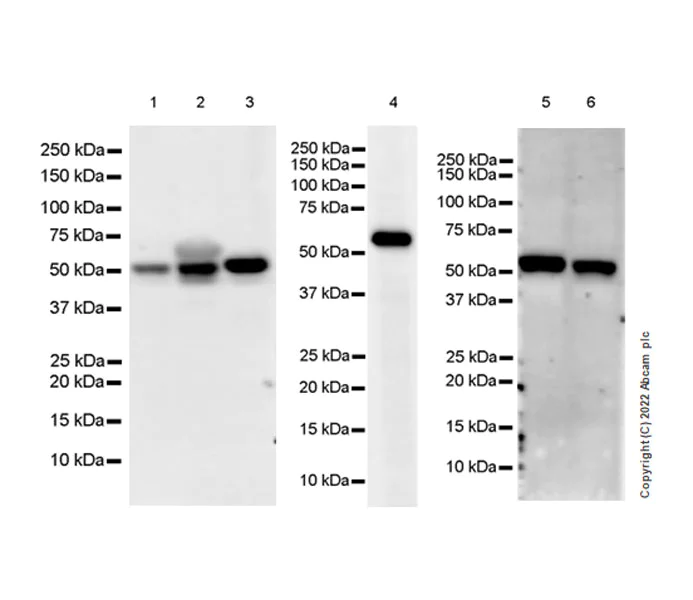
Western blot - Anti-DDX6 antibody [EPR27016-10] (AB307418)
  • WB

Supplier Data

Western blot - Anti-DDX6 antibody [EPR27016-10] (AB307418)

Blocking and diluting buffer and concentration : 5% NFDM/TBST Exposure time : Lanes 1-3 : 15 seconds; Lane 4 : 26 seconds; Lanes 5-6 : 180 seconds.

All lanes:

Western blot - Anti-DDX6 antibody [EPR27016-10] (ab307418) at 1/1000 dilution

All lanes:

Human liver tissue lysate 20 μg

Secondary

All lanes:

Goat Anti-Rabbit IgG (HRP) with minimal cross-reactivity with human IgG at 1/2000 dilution

Observed band size: 54 kDa

false

Exposure time: 180s

Western blot - Anti-DDX6 antibody [EPR27016-10] (AB307418)
  • WB

Supplier Data

Western blot - Anti-DDX6 antibody [EPR27016-10] (AB307418)

Blocking and diluting buffer and concentration : Intercept? (TBS) Blocking Buffer diluted with an equal volume of 0.1% TBSThe samples were run on a Bis-Tris gel. Performed under reducing conditions. False colour image of Western blot : Anti-DDX6 antibody [EPR27016-10] (ab307418) staining at 1/1000 dilution, shown in green; Mouse anti-GAPDH antibody [6C5] (ab8245) loading control staining at 1/20000 dilution, shown in red. In Western blot, ab307418 was shown to bind specifically to DDX6. A band was observed at 54 kDa in wild-type HAP1 cell lysates whereas no signal observed at this size in DDX6 knockout cell line. To generate this image, wild-type and DDX6 knockout HAP1 cell lysates were analyzed. First, samples were run on a SDS-PAGE gel then transferred onto an immobilon-FL PVDF membrane. Membranes were blocked in in Intercept? (TBS) Blocking Buffer diluted with an equal volume of 0.1% TBS before incubation with primary antibodies overnight at 4 ЎгC. Blots were washed four times in TBS-T, incubated with secondary antibodies for 1 h at room temperature, washed again four times then imaged. Secondary antibodies used were Goat anti-Rabbit IgG H&L (IRDye? 800CW) preabsorbed (ab216773) at 1/10000 dilution and Goat anti-Mouse IgG H&L (IRDye? 680RD) preabsorbed (ab216776) at 1/20000 dilution. Exposure time :

All lanes:

Western blot - Anti-DDX6 antibody [EPR27016-10] (ab307418) at 1/1000 dilution

Lane 1:

Wild-type HAP1 whole cell lysate 20 μg

Lane 2:

DDX6 knockout HAP1 whole cell lysate 20 μg

Lane 3:

HeLa (human cervical adenocarcinoma epithelial cell) whole cell lysate 20 μg

Secondary

Lanes 1 - 3:

Western blot - Goat anti-Rabbit IgG H&L (IRDye® 800CW) preadsorbed (<a href='/en-us/products/secondary-antibodies/goat-rabbit-igg-h-l-irdye-800cw-preadsorbed-ab216773'>ab216773</a>) at 1/10000 dilution

Lanes 1 - 3:

Western blot - Goat anti-Mouse IgG H&L (IRDye® 680RD) preadsorbed (<a href='/en-us/products/secondary-antibodies/goat-mouse-igg-h-l-irdye-680rd-preadsorbed-ab216776'>ab216776</a>) at 1/20000 dilution

Observed band size: 54 kDa

false

Western blot - Anti-DDX6 antibody [EPR27016-10] (AB307418)
  • WB

Supplier Data

Western blot - Anti-DDX6 antibody [EPR27016-10] (AB307418)

Blocking and diluting buffer and concentration : 5% NFDM/TBST Exposure time :

All lanes:

Western blot - Anti-DDX6 antibody [EPR27016-10] (ab307418) at 1/1000 dilution

Lane 1:

RAW 264.7 (mouse elson murine leukemia virus-induced tumor macrophage) whole cell lysate 20 μg

Lane 2:

PC-12 (rat adrenal gland pheochromocytoma cell) whole cell lysate 20 μg

Lane 3:

NIH/3T3 (mouse embryonic fibroblast) whole cell lysate 20 μg

Lane 4:

C2C12 (mouse myoblast) whole cell lysate 20 μg

Lane 5:

Mouse spleen tissue lysate 20 μg

Lane 6:

Rat spleen tissue lysate 20 μg

Secondary

All lanes:

Western blot - Goat Anti-Rabbit IgG H&L (HRP) (<a href='/en-us/products/secondary-antibodies/goat-rabbit-igg-h-l-hrp-ab97051'>ab97051</a>) at 1/20000 dilution

Observed band size: 54 kDa

false

Exposure time: 15s

  • Carrier free

    Anti-DDX6 antibody [EPR27016-10] - BSA and Azide free

Key facts

Host species

Rabbit

Clonality

Monoclonal

Clone number

EPR27016-10

Isotype

IgG

Carrier free

No

Reacts with

Human, Mouse, Rat

Applications

IHC-P, ICC/IF, IP, WB

applications

Immunogen

The exact immunogen used to generate this antibody is proprietary information.

Reactivity data

{ "title": "Reactivity Data", "filters": { "stats": ["", "Species", "Dilution Info", "Notes"], "tabs": { "all-applications": {"fullname" : "All Applications", "shortname": "All Applications"}, "IP" : {"fullname" : "Immunoprecipitation", "shortname":"IP"}, "FlowCytIntra" : {"fullname" : "Flow Cytometry (Intracellular)", "shortname":"Flow Cyt (Intra)"}, "ICCIF" : {"fullname" : "Immunocytochemistry/ Immunofluorescence", "shortname":"ICC/IF"}, "IHCP" : {"fullname" : "Immunohistochemistry (Formalin/PFA-fixed paraffin-embedded sections)", "shortname":"IHC-P"}, "WB" : {"fullname" : "Western blot", "shortname":"WB"}, "IHCFr" : {"fullname" : "Immunohistochemistry (Frozen sections)", "shortname":"IHC-Fr"} }, "product-promise": { "all": "all", "testedAndGuaranteed": "tested", "guaranteed": "expected", "predicted": "predicted", "notRecommended": "not-recommended" } }, "values": { "Human": { "IP-species-checked": "testedAndGuaranteed", "IP-species-dilution-info": "1/30", "IP-species-notes": "<p></p>", "FlowCytIntra-species-checked": "notRecommended", "FlowCytIntra-species-dilution-info": "", "FlowCytIntra-species-notes": "<p></p>", "ICCIF-species-checked": "testedAndGuaranteed", "ICCIF-species-dilution-info": "1/100", "ICCIF-species-notes": "<p></p>", "IHCP-species-checked": "testedAndGuaranteed", "IHCP-species-dilution-info": "1/100 - 1/2000", "IHCP-species-notes": "<p></p> Perform heat-mediated antigen retrieval with Tris/EDTA buffer pH 9.0 before commencing with IHC staining protocol.", "WB-species-checked": "testedAndGuaranteed", "WB-species-dilution-info": "1/1000", "WB-species-notes": "<p></p>", "IHCFr-species-checked": "notRecommended", "IHCFr-species-dilution-info": "", "IHCFr-species-notes": "" }, "Mouse": { "IP-species-checked": "guaranteed", "IP-species-dilution-info": "", "IP-species-notes": "", "FlowCytIntra-species-checked": "notRecommended", "FlowCytIntra-species-dilution-info": "", "FlowCytIntra-species-notes": "<p></p>", "ICCIF-species-checked": "testedAndGuaranteed", "ICCIF-species-dilution-info": "1/100", "ICCIF-species-notes": "<p></p>", "IHCP-species-checked": "testedAndGuaranteed", "IHCP-species-dilution-info": "1/100 - 1/2000", "IHCP-species-notes": "<p></p> Perform heat-mediated antigen retrieval with Tris/EDTA buffer pH 9.0 before commencing with IHC staining protocol.", "WB-species-checked": "testedAndGuaranteed", "WB-species-dilution-info": "1/1000", "WB-species-notes": "<p></p>", "IHCFr-species-checked": "notRecommended", "IHCFr-species-dilution-info": "", "IHCFr-species-notes": "<p></p>" }, "Rat": { "IP-species-checked": "guaranteed", "IP-species-dilution-info": "", "IP-species-notes": "", "FlowCytIntra-species-checked": "notRecommended", "FlowCytIntra-species-dilution-info": "", "FlowCytIntra-species-notes": "<p></p>", "ICCIF-species-checked": "testedAndGuaranteed", "ICCIF-species-dilution-info": "1/100", "ICCIF-species-notes": "<p></p>", "IHCP-species-checked": "testedAndGuaranteed", "IHCP-species-dilution-info": "1/100 - 1/2000", "IHCP-species-notes": "<p></p> Perform heat-mediated antigen retrieval with Tris/EDTA buffer pH 9.0 before commencing with IHC staining protocol.", "WB-species-checked": "testedAndGuaranteed", "WB-species-dilution-info": "1/1000", "WB-species-notes": "<p></p>", "IHCFr-species-checked": "notRecommended", "IHCFr-species-dilution-info": "", "IHCFr-species-notes": "<p></p>" } } }

Product details

Patented technology
Our RabMAb® technology is a patented hybridoma-based technology for making rabbit monoclonal antibodies. For details on our patents, please refer to RabMAb® patents.

What are the advantages of a recombinant monoclonal antibody?
This product is a recombinant monoclonal antibody, which offers several advantages including:

  • - High batch-to-batch consistency and reproducibility
  • - Improved sensitivity and specificity
  • - Long-term security of supply
  • - Animal-free batch production

For more information, read more on recombinant antibodies.

Properties and storage information

Form
Liquid
Purification technique
Affinity purification Protein A
Storage buffer
pH: 7.2 - 7.4 Preservative: 0.01% Sodium azide Constituents: PBS, 40% Glycerol (glycerin, glycerine), 0.05% BSA
Shipped at conditions
Blue Ice
Appropriate short-term storage duration
1-2 weeks
Appropriate short-term storage conditions
+4°C
Appropriate long-term storage conditions
-20°C
Aliquoting information
Upon delivery aliquot
Storage information
Avoid freeze / thaw cycle

Supplementary information

This supplementary information is collated from multiple sources and compiled automatically.

DDX6 also known as RCK or p54 is an RNA helicase with a molecular mass of approximately 54 kDa. This protein is primarily located in the cytoplasm and is involved in processes such as mRNA degradation and translational repression. DDX6 acts mechanically by unwinding RNA molecules which facilitates various RNA processing events critical for cellular function. Its expression occurs broadly across different tissues indicating its significant role in diverse cellular operations.
Biological function summary

DDX6 functions as part of the RNA-induced silencing complex (RISC) and is involved in messenger ribonucleoprotein (mRNP) granule formation. These granules include P-bodies and stress granules which are essential for mRNA metabolism and storage. DDX6 collaborates with other proteins such as EDC3 and DCP1 to regulate mRNA turnover and decay. Its role in post-transcriptional control impacts gene expression regulation at multiple levels.

Pathways

The involvement of DDX6 in the RNA interference (RNAi) and nonsense-mediated mRNA decay (NMD) pathways is significant. In the RNAi pathway it interacts with proteins like AGO2 to mediate gene silencing by microRNAs. DDX6 also participates in the NMD pathway by targeting aberrant mRNAs for degradation assisting proteins like UPF1. These pathways demonstrate the important role of DDX6 in maintaining cellular RNA homeostasis and preventing the accumulation of defective RNAs.

DDX6 has been linked to cancer and neurodegenerative diseases. Its interaction with cancer-related proteins like AURKA suggests a role in tumorigenesis where it may affect cell proliferation and survival. Additionally DDX6's involvement in neurodegenerative disorders has been observed where dysregulation of its associated RNA processes may contribute to disease pathology. Understanding these connections provides insight into potential therapeutic targets for related diseases.

Product protocols

For this product, it's our understanding that no specific protocols are required. You can visit:

Target data

Essential for the formation of P-bodies, cytosolic membrane-less ribonucleoprotein granules involved in RNA metabolism through the coordinated storage of mRNAs encoding regulatory functions (PubMed : 25995375, PubMed : 27342281, PubMed : 31422817). Plays a role in P-bodies to coordinate the storage of translationally inactive mRNAs in the cytoplasm and prevent their degradation (PubMed : 27342281). In the process of mRNA degradation, plays a role in mRNA decapping (PubMed : 16364915). Blocks autophagy in nutrient-rich conditions by repressing the expression of ATG-related genes through degradation of their transcripts (PubMed : 26098573).
See full target information DDX6

Publications (1)

Recent publications for all applications. Explore the full list and refine your search

Journal of virology 97:e0121723 PubMed37815352

2023

OAS1 suppresses African swine fever virus replication by recruiting TRIM21 to degrade viral major capsid protein.

Applications

Unspecified application

Species

Unspecified reactive species

Hualin Sun,Mengli Wu,Zhonghui Zhang,Yiwang Wang,Jifei Yang,Zhijie Liu,Guiquan Guan,Jianxun Luo,Hong Yin,Qingli Niu
View all publications

Product promise

We are committed to supporting your work with high-quality reagents, and we're here for you every step of the way. In the unlikely event that one of our products does not perform as expected, you're protected by our Product Promise.
For full details, please see our Terms & Conditions

Please note: All products are 'FOR RESEARCH USE ONLY. NOT FOR USE IN DIAGNOSTIC OR THERAPEUTIC PROCEDURES'.

For licensing inquiries, please contact partnerships@abcam.com