JavaScript is disabled in your browser. Please enable JavaScript to view this website.
AB139807

Anti-DDX60 antibody

4

(1 Review)

|

(7 Publications)

Rabbit Polyclonal DDX60 antibody. Suitable for WB, ICC/IF and reacts with Mouse samples. Cited in 7 publications. Immunogen corresponding to Synthetic Peptide within Human DDX60.

View Alternative Names

Probable ATP-dependent RNA helicase DDX60, DEAD box protein 60, DDX60

2 Images
Immunocytochemistry/ Immunofluorescence - Anti-DDX60 antibody (AB139807)
  • ICC/IF

Unknown

Immunocytochemistry/ Immunofluorescence - Anti-DDX60 antibody (AB139807)

Immunofluorescence of DDX60 in A20 cells with ab139807 at 20 ug/mL.

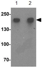
Western blot - Anti-DDX60 antibody (AB139807)
  • WB

Unknown

Western blot - Anti-DDX60 antibody (AB139807)

Lane 1:

Western blot - Anti-DDX60 antibody (ab139807) at 1 µg/mL

Lane 2:

Western blot - Anti-DDX60 antibody (ab139807) at 2 µg/mL

All lanes:

A20 cell lysate at 15 µg

Predicted band size: 198 kDa

false

Key facts

Host species

Rabbit

Clonality

Polyclonal

Isotype

IgG

Carrier free

No

Reacts with

Mouse

Applications

ICC/IF, WB

applications

Immunogen

Synthetic Peptide within Human DDX60. The exact immunogen used to generate this antibody is proprietary information.

Q8IY21

Specificity

At least three isoforms of DDX60 are known to exist; ab139807 will detect all three isoforms.

Reactivity data

{ "title": "Reactivity Data", "filters": { "stats": ["", "Species", "Dilution Info", "Notes"], "tabs": { "all-applications": {"fullname" : "All Applications", "shortname": "All Applications"}, "WB" : {"fullname" : "Western blot", "shortname":"WB"}, "ICCIF" : {"fullname" : "Immunocytochemistry/ Immunofluorescence", "shortname":"ICC/IF"} }, "product-promise": { "all": "all", "testedAndGuaranteed": "tested", "guaranteed": "expected", "predicted": "predicted", "notRecommended": "not-recommended" } }, "values": { "Mouse": { "WB-species-checked": "testedAndGuaranteed", "WB-species-dilution-info": "1-2 µg/mL", "WB-species-notes": "<p></p>", "ICCIF-species-checked": "testedAndGuaranteed", "ICCIF-species-dilution-info": "20 µg/mL", "ICCIF-species-notes": "<p></p>" } } }

Properties and storage information

Form
Liquid
Purification technique
Affinity purification Immunogen
Storage buffer
pH: 7.2 Preservative: 0.02% Sodium azide Constituents: PBS
Shipped at conditions
Blue Ice
Appropriate short-term storage conditions
+4°C
Appropriate long-term storage conditions
-20°C
Aliquoting information
Upon delivery aliquot
Storage information
Avoid freeze / thaw cycle

Supplementary information

This supplementary information is collated from multiple sources and compiled automatically.

DDX60 also known as DExD/H-box helicase 60 is a protein involved in antiviral responses. It has a molecular mass of approximately 180 kDa. DDX60 acts as an ATP-dependent RNA helicase unwinding RNA structures during viral replication processes. This protein is expressed mainly in immune-related tissues like the spleen and peripheral blood leukocytes indicating its role in immunity. Alternate names include DDX60L which denotes a related protein with similar functions.
Biological function summary

DDX60 plays an essential role in the detection of viral RNA acting as a sensor in the innate immune system. It forms part of a complex involved in recognizing and responding to viral infections. DDX60 interacts with other proteins like RIG-I a pivotal component in initiating antiviral signaling cascades. Through these interactions DDX60 facilitates the production of interferons which are key elements in mounting an effective immune response against viruses.

Pathways

DDX60 functions within the RIG-I-like receptor signaling pathway an important antiviral defense mechanism. This pathway includes proteins such as MAVS and IRF3 which work together to stimulate the expression of cytokines following pathogen recognition. DDX60's activity enhances the sensitivity of this pathway boosting the host's capacity to control viral replication and spread contributing to the overall immune response.

Variations in DDX60 expression have been linked to autoimmune conditions like systemic lupus erythematosus (SLE) and chronic viral infections such as hepatitis C. Abnormal regulation of this protein can lead to inappropriate immune activation or impaired response to infections. DDX60's association with RIG-I suggests its involvement in these diseases as both proteins are important in the body's effort to manage viral threats and the maintenance of immune homeostasis.

Product protocols

For this product, it's our understanding that no specific protocols are required. You can visit:

Target data

Positively regulates RIGI- and IFIH1/MDA5-dependent type I interferon and interferon inducible gene expression in response to viral infection. Binds ssRNA, dsRNA and dsDNA and can promote the binding of RIGI to dsRNA. Exhibits antiviral activity against hepatitis C virus and vesicular stomatitis virus (VSV).
See full target information DDX60

Publications (7)

Recent publications for all applications. Explore the full list and refine your search

Cellular and molecular life sciences : CMLS 82:332 PubMed40892098

2025

DDX60 protects ischemic myocardial injury and heart dysfunction by improving mitochondrial function via promoting Arl2 mRNA translation.

Applications

Unspecified application

Species

Unspecified reactive species

Tianyou Yuan,Changzuan Zhou,Yifan Long,Xiaoqiang Chen,Longzhe Gao,Ya Li,Songwen Chen,Xiaofeng Lu,Juan Xu,Xiaoyu Wu,Genqing Zhou,Shaowen Liu,Wenyi Yang,Yong Wei,Lidong Cai

PLoS pathogens 21:e1013278 PubMed40577441

2025

Viral hijacking of host DDX60 promotes Crimean-Congo haemorrhagic fever virus replication via G-quadruplex unwinding.

Applications

Unspecified application

Species

Unspecified reactive species

Yutong Sui,Qi Xu,Mingsheng Liu,Xiaomei Liu,Xinpeng Liu,Yujie Wang,Xiangyuan Meng,Zinan Liu,Quanshun Li,Jinyu Liu

EMBO reports 23:e55218 PubMed36256515

2022

DDX60 selectively reduces translation off viral type II internal ribosome entry sites.

Applications

Unspecified application

Species

Unspecified reactive species

Mohammad Sadic,William M Schneider,Olga Katsara,Gisselle N Medina,Ashley Fisher,Aishwarya Mogulothu,Yingpu Yu,Meigang Gu,Teresa de Los Santos,Robert J Schneider,Meike Dittmann

Nucleic acids research 49:5537-5552 PubMed33999206

2021

The N6-methyladenosine RNA-binding protein YTHDF1 modulates the translation of TRAF6 to mediate the intestinal immune response.

Applications

Unspecified application

Species

Unspecified reactive species

Xin Zong,Xiao Xiao,Bin Shen,Qin Jiang,Hong Wang,Zeqing Lu,Fengqin Wang,Mingliang Jin,Junxia Min,Fudi Wang,Yizhen Wang

Journal of Cancer 11:893-905 PubMed31949493

2020

DNA sensors, crucial receptors to resist pathogens, are deregulated in colorectal cancer and associated with initiation and progression of the disease.

Applications

Unspecified application

Species

Unspecified reactive species

Liangmei He,Yuxia Liu,Weiling Lai,Hongbo Tian,Lingxia Chen,Lu Xie,Zhiping Liu

PLoS pathogens 12:e1005772 PubMed27454487

2016

Spliceosome SNRNP200 Promotes Viral RNA Sensing and IRF3 Activation of Antiviral Response.

Applications

WB

Species

Unspecified reactive species

Nicolas Tremblay,Martin Baril,Laurent Chatel-Chaix,Salwa Es-Saad,Alex Young Park,Robert K Koenekoop,Daniel Lamarre

Molecular therapy. Nucleic acids 5:e322 PubMed27271988

2016

Cytosolic DNA Sensor Upregulation Accompanies DNA Electrotransfer in B16.F10 Melanoma Cells.

Applications

Unspecified application

Species

Unspecified reactive species

Katarina Znidar,Masa Bosnjak,Maja Cemazar,Loree C Heller
View all publications

Product promise

We are committed to supporting your work with high-quality reagents, and we're here for you every step of the way. In the unlikely event that one of our products does not perform as expected, you're protected by our Product Promise.
For full details, please see our Terms & Conditions

Please note: All products are 'FOR RESEARCH USE ONLY. NOT FOR USE IN DIAGNOSTIC OR THERAPEUTIC PROCEDURES'.

For licensing inquiries, please contact partnerships@abcam.com