JavaScript is disabled in your browser. Please enable JavaScript to view this website.
AB189364

Anti-Decorin antibody

0

(1 Review)

|

(2 Publications)

Goat Polyclonal Decorin antibody. Suitable for IHC-P, WB and reacts with Human samples. Cited in 2 publications. Immunogen corresponding to Synthetic Peptide within Human DCN aa 200-250.

View Alternative Names

SLRR1B, DCN, Decorin, Bone proteoglycan II, PG-S2, PG40

2 Images
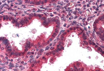
Immunohistochemistry (Formalin/PFA-fixed paraffin-embedded sections) - Anti-Decorin antibody (AB189364)
  • IHC-P

Supplier Data

Immunohistochemistry (Formalin/PFA-fixed paraffin-embedded sections) - Anti-Decorin antibody (AB189364)

Immunohistochemical analysis of formalin fixed, paraffin embedded Human breast tissue labeling Decorin with ab189364 at 3.75 μg/ml.

Western blot - Anti-Decorin antibody (AB189364)
  • WB

Supplier Data

Western blot - Anti-Decorin antibody (AB189364)

Primary incubation was 1 hour.

All lanes:

Western blot - Anti-Decorin antibody (ab189364) at 0.5 µg/mL

All lanes:

Human kidney tissue lysate in RIPA buffer at 35 µg

Predicted band size: 40 kDa

Observed band size: 38 kDa

true

Key facts

Host species

Goat

Clonality

Polyclonal

Isotype

IgG

Carrier free

No

Reacts with

Human

Applications

WB, IHC-P

applications

Immunogen

Synthetic Peptide within Human DCN aa 200-250. The exact immunogen used to generate this antibody is proprietary information.

P07585

Specificity

ab189364 is expected to recognize the three reported isoforms a, b and c (NP_001911.1; NP_598011.1; NP_598012.1 resp.). Reported variants NP_598010.1 and NP_001911.1 represent identical protein.

Reactivity data

{ "title": "Reactivity Data", "filters": { "stats": ["", "Species", "Dilution Info", "Notes"], "tabs": { "all-applications": {"fullname" : "All Applications", "shortname": "All Applications"}, "IHCP" : {"fullname" : "Immunohistochemistry (Formalin/PFA-fixed paraffin-embedded sections)", "shortname":"IHC-P"}, "WB" : {"fullname" : "Western blot", "shortname":"WB"} }, "product-promise": { "all": "all", "testedAndGuaranteed": "tested", "guaranteed": "expected", "predicted": "predicted", "notRecommended": "not-recommended" } }, "values": { "Human": { "IHCP-species-checked": "testedAndGuaranteed", "IHCP-species-dilution-info": "3.75 µg/mL", "IHCP-species-notes": "<p></p> Perform heat-mediated antigen retrieval before commencing with IHC staining protocol.", "WB-species-checked": "testedAndGuaranteed", "WB-species-dilution-info": "0.5-2 µg/mL", "WB-species-notes": "<p></p>" }, "Chimpanzee": { "IHCP-species-checked": "predicted", "IHCP-species-dilution-info": "", "IHCP-species-notes": "", "WB-species-checked": "predicted", "WB-species-dilution-info": "", "WB-species-notes": "" }, "Pig": { "IHCP-species-checked": "predicted", "IHCP-species-dilution-info": "", "IHCP-species-notes": "", "WB-species-checked": "predicted", "WB-species-dilution-info": "", "WB-species-notes": "" } } }

Properties and storage information

Form
Liquid
Purification technique
Affinity purification Immunogen
Storage buffer
pH: 7.3 Preservative: 0.02% Sodium azide Constituents: 99% Tris buffered saline, 0.5% BSA
Shipped at conditions
Blue Ice
Appropriate short-term storage duration
1-2 weeks
Appropriate short-term storage conditions
+4°C
Appropriate long-term storage conditions
-20°C
Aliquoting information
Upon delivery aliquot
Storage information
Avoid freeze / thaw cycle

Product protocols

For this product, it's our understanding that no specific protocols are required. You can visit:

Target data

May affect the rate of fibrils formation.
See full target information DCN

Publications (2)

Recent publications for all applications. Explore the full list and refine your search

Tissue engineering. Part A 26:1030-1041 PubMed32368948

2020

Engineering a Corneal Stromal Equivalent Using a Novel Multilayered Fabrication Assembly Technique.

Applications

Unspecified application

Species

Unspecified reactive species

Julia Fernández-Pérez,Peter W Madden,Mark Ahearne

Acta biomaterialia 93:97-110 PubMed30914256

2019

An in vitro and in vivo comparison of cartilage growth in chondrocyte-laden matrix metalloproteinase-sensitive poly(ethylene glycol) hydrogels with localized transforming growth factor β3.

Applications

Unspecified application

Species

Unspecified reactive species

Margaret C Schneider,Stanley Chu,Mark A Randolph,Stephanie J Bryant
View all publications

Product promise

We are committed to supporting your work with high-quality reagents, and we're here for you every step of the way. In the unlikely event that one of our products does not perform as expected, you're protected by our Product Promise.
For full details, please see our Terms & Conditions

Please note: All products are 'FOR RESEARCH USE ONLY. NOT FOR USE IN DIAGNOSTIC OR THERAPEUTIC PROCEDURES'.

For licensing inquiries, please contact partnerships@abcam.com