JavaScript is disabled in your browser. Please enable JavaScript to view this website.
AB277636

Anti-Decorin antibody [EPR24097-105]

  • BOND RX™ Validated
  • 20ul selling size
  • RabMAb
  • Recombinant
  • What is this?

Be the first to review this product! Submit a review

|

(11 Publications)

Anti-Decorin antibody [EPR24097-105] (ab277636) is a rabbit monoclonal antibody detecting Decorin in Western Blot, Flow Cytometry, IHC-P. Suitable for Human, Mouse, Rat.

- Biophysical QC for unrivalled batch-batch consistency

View Alternative Names

SLRR1B, DCN, Decorin, Bone proteoglycan II, PG-S2, PG40

9 Images
Immunohistochemistry (Formalin/PFA-fixed paraffin-embedded sections) - Anti-Decorin antibody [EPR24097-105] (AB277636)
  • IHC-P

Supplier Data

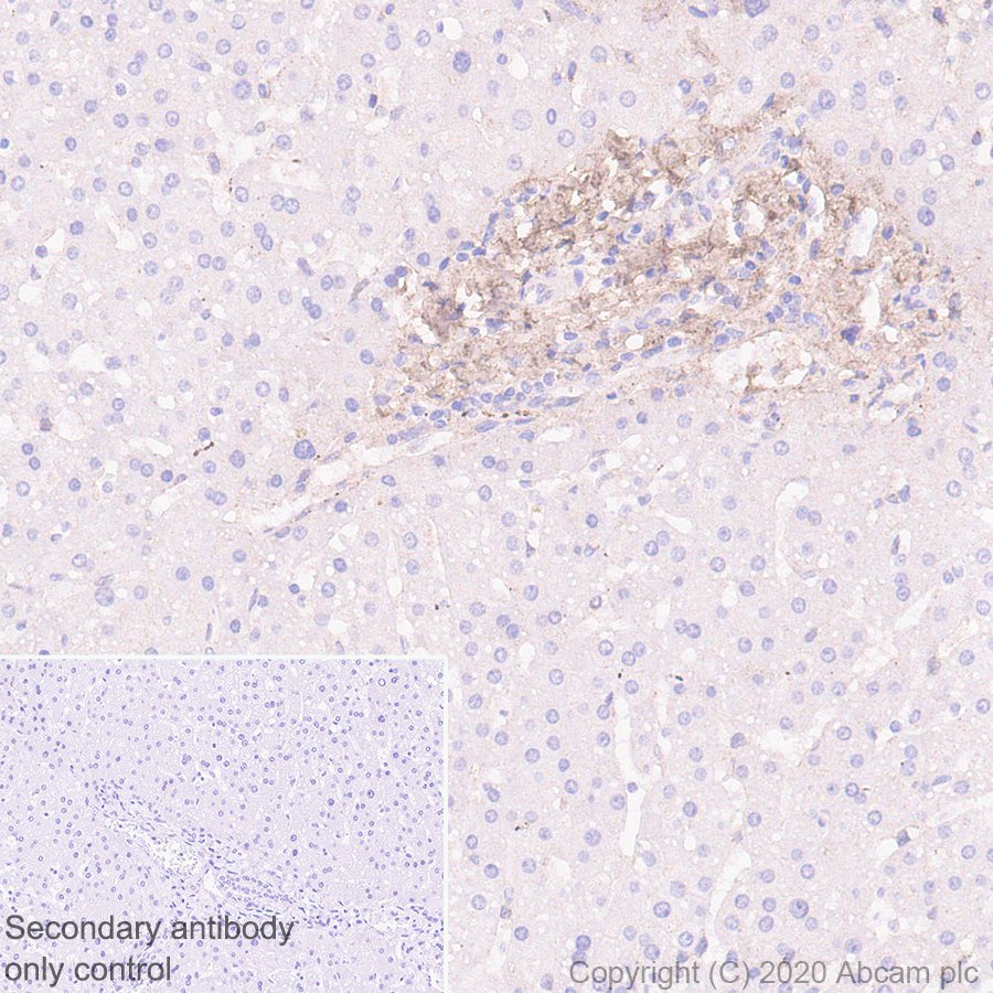
Immunohistochemistry (Formalin/PFA-fixed paraffin-embedded sections) - Anti-Decorin antibody [EPR24097-105] (AB277636)

Immunohistochemical analysis of paraffin-embedded Human liver tissue labeling Decorin with ab277636 at 1/2000 dilution followed by a ready to use Rabbit specific IHC polymer detection kit HRP/DAB (ab209101). Positive staining on stromal cells of human liver. The section was incubated with ab277636 for 30 mins at room temperature. The immunostaining was performed on a Leica Biosystems BOND® RX instrument. Counterstained with Hematoxylin.

Secondary antibody only control : Secondary antibody is a ready to use Rabbit specific IHC polymer detection kit HRP/DAB (ab209101).

Heat mediated antigen retrieval with Tris-EDTA buffer (pH 9.0, epitope retrieval solution2) for 20 mins.

Flow Cytometry - Anti-Decorin antibody [EPR24097-105] (AB277636)
  • Flow Cyt

Supplier Data

Flow Cytometry - Anti-Decorin antibody [EPR24097-105] (AB277636)

Flow cytometric analysis of 4% paraformaldehyde-fixed, 90% methanol-permeabilized MG-63 (human osteosarcoma fibroblast) cells labelling Decorin with ab277636 at 1/50 dilution (Red) compared with a Rabbit monoclonal IgG (ab172730) (Black) isotype control and an unlabelled control (cells without incubation with primary antibody and secondary antibody) (Blue). A Goat anti rabbit IgG (Alexa Fluor® 488, ab150077) at 1/2000 dilution was used as the secondary antibody.

Immunohistochemistry (Formalin/PFA-fixed paraffin-embedded sections) - Anti-Decorin antibody [EPR24097-105] (AB277636)
  • IHC-P

Supplier Data

Immunohistochemistry (Formalin/PFA-fixed paraffin-embedded sections) - Anti-Decorin antibody [EPR24097-105] (AB277636)

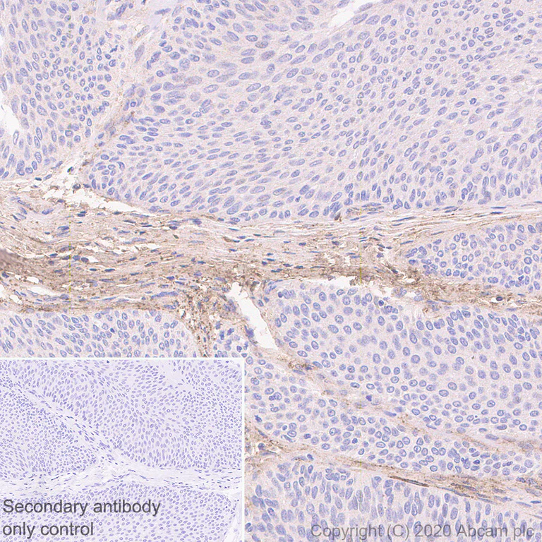
Immunohistochemical analysis of paraffin-embedded Human bladder cancer tissue labeling Decorin with ab277636 at 1/2000 dilution followed by a ready to use Rabbit specific IHC polymer detection kit HRP/DAB (ab209101). Positive staining on stromal cells of human bladder cancer. The section was incubated with ab277636 for 30 mins at room temperature. The immunostaining was performed on a Leica Biosystems BOND® RX instrument. Counterstained with Hematoxylin.

Secondary antibody only control : Secondary antibody is a ready to use Rabbit specific IHC polymer detection kit HRP/DAB (ab209101).

Heat mediated antigen retrieval with Tris-EDTA buffer (pH 9.0, epitope retrieval solution2) for 20 mins.

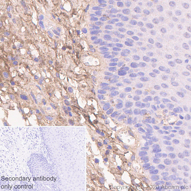
Immunohistochemistry (Formalin/PFA-fixed paraffin-embedded sections) - Anti-Decorin antibody [EPR24097-105] (AB277636)
  • IHC-P

Supplier Data

Immunohistochemistry (Formalin/PFA-fixed paraffin-embedded sections) - Anti-Decorin antibody [EPR24097-105] (AB277636)

Immunohistochemical analysis of paraffin-embedded Human esophagus tissue labeling Decorin with ab277636 at 1/2000 dilution followed by a ready to use Rabbit specific IHC polymer detection kit HRP/DAB (ab209101). Positive staining on stromal cells of human esophagus (PMID : 19212830). The section was incubated with ab277636 for 30 mins at room temperature. The immunostaining was performed on a Leica Biosystems BOND® RX instrument. Counterstained with Hematoxylin.

Secondary antibody only control : Secondary antibody is a ready to use Rabbit specific IHC polymer detection kit HRP/DAB (ab209101).

Heat mediated antigen retrieval with Tris-EDTA buffer (pH 9.0, epitope retrieval solution2) for 20 mins.

Immunohistochemistry (Formalin/PFA-fixed paraffin-embedded sections) - Anti-Decorin antibody [EPR24097-105] (AB277636)
  • IHC-P

Supplier Data

Immunohistochemistry (Formalin/PFA-fixed paraffin-embedded sections) - Anti-Decorin antibody [EPR24097-105] (AB277636)

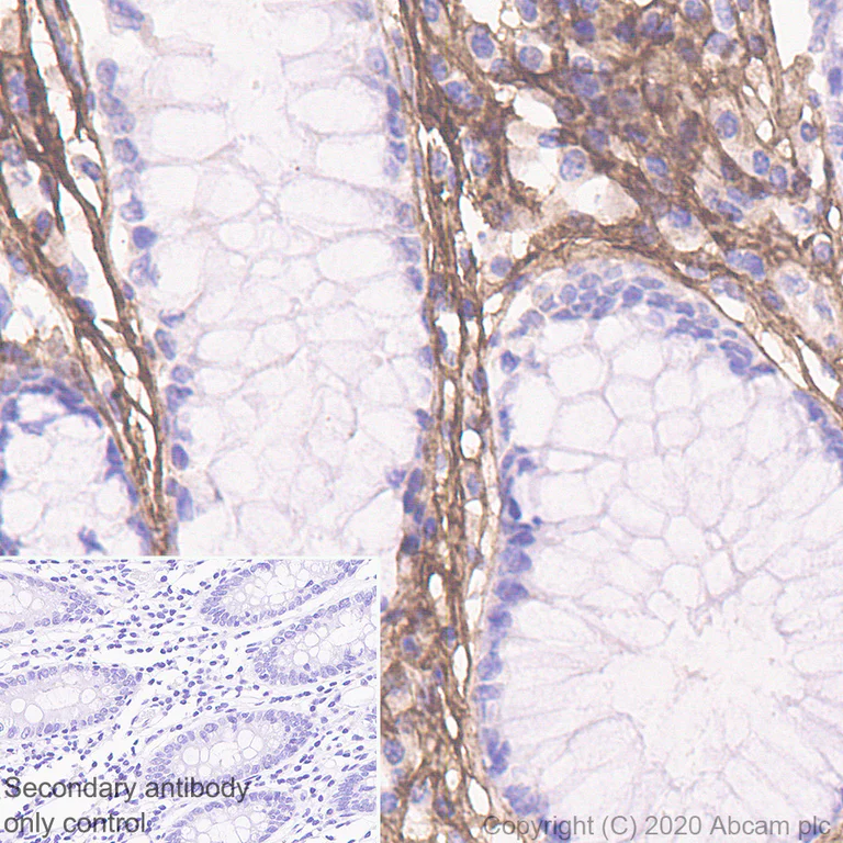
Immunohistochemical analysis of paraffin-embedded Human colon tissue labeling Decorin with ab277636 at 1/2000 dilution followed by a ready to use Rabbit specific IHC polymer detection kit HRP/DAB (ab209101). Positive staining on stromal cells of human colon (PMID : 32824864). The section was incubated with ab277636 for 30 mins at room temperature. The immunostaining was performed on a Leica Biosystems BOND® RX instrument. Counterstained with Hematoxylin.

Secondary antibody only control : Secondary antibody is a ready to use Rabbit specific IHC polymer detection kit HRP/DAB (ab209101).

Heat mediated antigen retrieval with Tris-EDTA buffer (pH 9.0, epitope retrieval solution2) for 20 mins

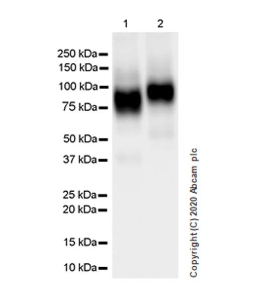
Western blot - Anti-Decorin antibody [EPR24097-105] (AB277636)
  • WB

Lab

Western blot - Anti-Decorin antibody [EPR24097-105] (AB277636)

Blocking and diluting buffer and concentration : 5% NFDM/TBST.

The observed MW is consistent with what has been described in the literature (PMID : 12601001, 29561836, 8702652, 12623288).

Exposure time : 48 seconds.

All lanes:

Western blot - Anti-Decorin antibody [EPR24097-105] (ab277636) at 1/1000 dilution

Lane 1:

MG-63 (human osteosarcoma fibroblast) whole cell lysate at 20 µg

Lane 2:

Mouse uterus tissue lysate at 20 µg

Lane 3:

Rat uterus tissue lysate at 20 µg

Lane 4:

Mouse colon tissue lysate at 20 µg

Lane 5:

Rat colon tissue lysate at 20 µg

Secondary

All lanes:

Western blot - Goat Anti-Rabbit IgG H&L (HRP) (<a href='/en-us/products/secondary-antibodies/goat-rabbit-igg-h-l-hrp-ab97051'>ab97051</a>) at 1/100000 dilution

Predicted band size: 40 kDa

Observed band size: 90-140 kDa

false

Western blot - Anti-Decorin antibody [EPR24097-105] (AB277636)
  • WB

Lab

Western blot - Anti-Decorin antibody [EPR24097-105] (AB277636)

Blocking and diluting buffer and concentration : 5% NFDM/TBST.

The observed MW is consistent with what has been described in the literature (PMID : 12601001, 29561836, 8702652, 12623288).

Lower expression tissue : liver (PMID : 1611907).

Exposure time : Lane 1 : 8 seconds; Lanes 2-4 : 48 seconds.

All lanes:

Western blot - Anti-Decorin antibody [EPR24097-105] (ab277636) at 1/1000 dilution

Lane 1:

Human uterus tissue lysate at 20 µg

Lane 2:

Human pancreas tissue lysate at 20 µg

Lane 3:

Human placenta tissue lysate at 20 µg

Lane 4:

Human liver tissue lysate at 20 µg

Secondary

All lanes:

Western blot - VeriBlot for IP Detection Reagent (HRP) (<a href='/en-us/products/reagents/veriblot-for-ip-detection-reagent-hrp-ab131366'>ab131366</a>) at 1/1000 dilution

Predicted band size: 40 kDa

Observed band size: 90-140 kDa

false

Western blot - Anti-Decorin antibody [EPR24097-105] (AB277636)
  • WB

Lab

Western blot - Anti-Decorin antibody [EPR24097-105] (AB277636)

Blocking and diluting buffer and concentration : 5% NFDM/TBST.

The observed MW is consistent with what has been described in the literature (PMID : 12601001, 29561836, 8702652, 12623288).

Negative control : HT-1080 (PMID : 8702652).

Exposure time : 3 minutes.

All lanes:

Western blot - Anti-Decorin antibody [EPR24097-105] (ab277636) at 1/1000 dilution

Lane 1:

Human pancreas tissue lysate at 20 µg

Lane 2:

HT-1080 (human fibrosarcoma epithelial cell) whole cell lysate at 20 µg

Secondary

All lanes:

Western blot - VeriBlot for IP Detection Reagent (HRP) (<a href='/en-us/products/reagents/veriblot-for-ip-detection-reagent-hrp-ab131366'>ab131366</a>) at 1/1000 dilution

Predicted band size: 40 kDa

Observed band size: 90-140 kDa

false

Western blot - Anti-Decorin antibody [EPR24097-105] (AB277636)
  • WB

Lab

Western blot - Anti-Decorin antibody [EPR24097-105] (AB277636)

Blocking and diluting buffer and concentration : 5% NFDM/TBST.

The observed MW is consistent with what has been described in the literature (PMID : 12601001, 29561836, 8702652, 12623288).

Exposure time : 15 seconds.

All lanes:

Western blot - Anti-Decorin antibody [EPR24097-105] (ab277636) at 1/1000 dilution

Lane 1:

Human colon tissue treated with PNGase F lysate at 20 µg

Lane 2:

Human colon tissue lysate at 20 µg

Secondary

All lanes:

Western blot - Goat Anti-Rabbit IgG H&L (HRP) (<a href='/en-us/products/secondary-antibodies/goat-rabbit-igg-h-l-hrp-ab97051'>ab97051</a>) at 1/20000 dilution

Predicted band size: 40 kDa

Observed band size: 90-140 kDa

false

Key facts

Host species

Rabbit

Clonality

Monoclonal

Clone number

EPR24097-105

Isotype

IgG

Carrier free

No

Reacts with

Mouse, Rat, Human

Applications

Flow Cyt, IHC-P, WB

applications

Immunogen

The exact immunogen used to generate this antibody is proprietary information.

Reactivity data

{ "title": "Reactivity Data", "filters": { "stats": ["", "Species", "Dilution Info", "Notes"], "tabs": { "all-applications": {"fullname" : "All Applications", "shortname": "All Applications"}, "ICCIF" : {"fullname" : "Immunocytochemistry/ Immunofluorescence", "shortname":"ICC/IF"}, "IP" : {"fullname" : "Immunoprecipitation", "shortname":"IP"}, "FlowCyt" : {"fullname" : "Flow Cytometry", "shortname":"Flow Cyt"}, "WB" : {"fullname" : "Western blot", "shortname":"WB"}, "IHCP" : {"fullname" : "Immunohistochemistry (Formalin/PFA-fixed paraffin-embedded sections)", "shortname":"IHC-P"} }, "product-promise": { "all": "all", "testedAndGuaranteed": "tested", "guaranteed": "expected", "predicted": "predicted", "notRecommended": "not-recommended" } }, "values": { "Human": { "ICCIF-species-checked": "notRecommended", "ICCIF-species-dilution-info": "", "ICCIF-species-notes": "<p></p>", "IP-species-checked": "notRecommended", "IP-species-dilution-info": "", "IP-species-notes": "<p></p>", "FlowCyt-species-checked": "testedAndGuaranteed", "FlowCyt-species-dilution-info": "1/50", "FlowCyt-species-notes": "<p></p>", "WB-species-checked": "testedAndGuaranteed", "WB-species-dilution-info": "1/1000", "WB-species-notes": "<p></p>", "IHCP-species-checked": "testedAndGuaranteed", "IHCP-species-dilution-info": "1/2000", "IHCP-species-notes": "<p></p>" }, "Mouse": { "ICCIF-species-checked": "notRecommended", "ICCIF-species-dilution-info": "", "ICCIF-species-notes": "<p></p>", "IP-species-checked": "notRecommended", "IP-species-dilution-info": "", "IP-species-notes": "<p></p>", "FlowCyt-species-checked": "guaranteed", "FlowCyt-species-dilution-info": "", "FlowCyt-species-notes": "", "WB-species-checked": "testedAndGuaranteed", "WB-species-dilution-info": "1/1000", "WB-species-notes": "<p></p>", "IHCP-species-checked": "notRecommended", "IHCP-species-dilution-info": "1/2000", "IHCP-species-notes": "<p></p>" }, "Rat": { "ICCIF-species-checked": "notRecommended", "ICCIF-species-dilution-info": "", "ICCIF-species-notes": "<p></p>", "IP-species-checked": "notRecommended", "IP-species-dilution-info": "", "IP-species-notes": "<p></p>", "FlowCyt-species-checked": "guaranteed", "FlowCyt-species-dilution-info": "", "FlowCyt-species-notes": "", "WB-species-checked": "testedAndGuaranteed", "WB-species-dilution-info": "1/1000", "WB-species-notes": "<p></p>", "IHCP-species-checked": "notRecommended", "IHCP-species-dilution-info": "1/2000", "IHCP-species-notes": "<p></p>" } } }

Product details

What is this antibody validated in?
Anti-Decorin antibody [EPR24097-105] (ab277636) is a rabbit recombinant monoclonal antibody and is validated for use in Western Blot (WB), Flow Cytometry (Flow Cyt), Immunohistochemistry (IHC-P) in Human, Mouse, Rat samples.

What is the molecular weight of Decorin?
Anti-Decorin [EPR24097-105] (ab277636) specifically detects a band for Decorin (UniProt: P07585) at a molecular weight of 40kDa.

Trial sizes available!
Test your antibody or perform pre-screening before committing to a larger quantity. Sold in 10µl. Discover our selection of trial-size antibodies.

Other related products
We have a range of other formats of antibody clone [EPR24097-105] also available for your convenience: ab277636, Carrier free - ab277643, Alexa Fluor® 647 - ab281326, Alexa Fluor® 488 - ab281756

Patented technology
Our RabMAb® technology is a patented hybridoma-based technology for making rabbit monoclonal antibodies. For details on our patents, please refer to RabMAb® patents.

What are the advantages of a recombinant monoclonal antibody?
This product is a recombinant monoclonal antibody, which offers several advantages including:

  • - High batch-to-batch consistency and reproducibility
  • - Improved sensitivity and specificity
  • - Long-term security of supply
  • - Animal-free batch production

For more information, read more on recombinant antibodies.

Properties and storage information

Form
Liquid
Purification technique
Affinity purification Protein A
Storage buffer
Preservative: 0.01% Sodium azide Constituents: PBS, 40% Glycerol (glycerin, glycerine), 0.05% BSA
Shipped at conditions
Blue Ice
Appropriate short-term storage duration
1-2 weeks
Appropriate short-term storage conditions
+4°C
Appropriate long-term storage conditions
-20°C
Aliquoting information
Upon delivery aliquot
Storage information
Avoid freeze / thaw cycle

Product protocols

For this product, it's our understanding that no specific protocols are required. You can visit:

Target data

May affect the rate of fibrils formation.
See full target information DCN

Publications (11)

Recent publications for all applications. Explore the full list and refine your search

Nature communications 16:8295 PubMed40957887

2025

A mesothelial differentiation gateway drives fibrosis.

Applications

Unspecified application

Species

Unspecified reactive species

Safwen Kadri,Adrian Fischer,Martin Mück-Häusl,Wei Han,Amal Kadri,Yue Lin,Lin Yang,Shaoping Hu,Haifeng Ye,Pushkar Ramesh,Meshal Ansari,Herbert B Schiller,Hans-Günther Machens,Yuval Rinkevich

Cancer immunology, immunotherapy : CII 74:43 PubMed39751915

2025

Transferrin receptor uptakes iron from tumor-associated neutrophils to regulate invasion patterns of OSCC.

Applications

Unspecified application

Species

Unspecified reactive species

Qian Si,Yuhan Wang,Wanqiu Lu,Zijian Liu,Yuxian Song,Sheng Chen,Shu Xia,Huiling Li,Pei Weng,Yue Jing,Qiuya Yu,Feng Zhu,Xiaoxin Zhang,Xiaofeng Huang,Yanhong Ni

The Journal of clinical investigation 135: PubMed39531316

2024

Inflammatory crosstalk impairs phagocytic receptors and aggravates atherosclerosis in clonal hematopoiesis in mice.

Applications

Unspecified application

Species

Unspecified reactive species

Wenli Liu,Brian D Hardaway,Eunyoung Kim,Jessica Pauli,Justus Leonard Wettich,Mustafa Yalcinkaya,Cheng-Chieh Hsu,Tong Xiao,Muredach P Reilly,Ira Tabas,Lars Maegdefessel,Kai Schlepckow,Christian Haass,Nan Wang,Alan R Tall

Nature communications 15:8737 PubMed39384741

2024

Single-cell transcriptomics reveals aberrant skin-resident cell populations and identifies fibroblasts as a determinant in rosacea.

Applications

Unspecified application

Species

Unspecified reactive species

Mengting Chen,Li Yang,Peijie Zhou,Suoqin Jin,Zheng Wu,Zixin Tan,Wenqin Xiao,San Xu,Yan Zhu,Mei Wang,Dan Jian,Fangfen Liu,Yan Tang,Zhixiang Zhao,Yingxue Huang,Wei Shi,Hongfu Xie,Qing Nie,Ben Wang,Zhili Deng,Ji Li

Frontiers in cellular and infection microbiology 14:1425367 PubMed39145305

2024

Progranulin inhibits autophagy to facilitate intracellular colonization of through the PGRN/mTOR/DCN axis in gastric epithelial cells.

Applications

Unspecified application

Species

Unspecified reactive species

Linlin Liu,Miao Xiang,Jiaqi Zhou,Zongjiao Ren,Wenjing Shi,Xianhong Du,Xiaoyan Fu,Panpan Li,Hongyan Wang

Nature genetics 56:442-457 PubMed38361033

2024

Multi-omic profiling of clear cell renal cell carcinoma identifies metabolic reprogramming associated with disease progression.

Applications

Unspecified application

Species

Unspecified reactive species

Junyi Hu,Shao-Gang Wang,Yaxin Hou,Zhaohui Chen,Lilong Liu,Ruizhi Li,Nisha Li,Lijie Zhou,Yu Yang,Liping Wang,Liang Wang,Xiong Yang,Yichen Lei,Changqi Deng,Yang Li,Zhiyao Deng,Yuhong Ding,Yingchun Kuang,Zhipeng Yao,Yang Xun,Fan Li,Heng Li,Jia Hu,Zheng Liu,Tao Wang,Yi Hao,Xuanmao Jiao,Wei Guan,Zhen Tao,Shancheng Ren,Ke Chen

Nature cardiovascular research 3:60-75 PubMed38362011

2024

Suppression of IL-1β promotes beneficial accumulation of fibroblast-like cells in atherosclerotic plaques in clonal hematopoiesis.

Applications

Unspecified application

Species

Unspecified reactive species

Trevor P Fidler,Andrew Dunbar,Eunyoung Kim,Brian Hardaway,Jessica Pauli,Chenyi Xue,Sandra Abramowicz,Tong Xiao,Kavi O'Connor,Nadja Sachs,Nan Wang,Lars Maegdefessel,Ross Levine,Muredach Reilly,Alan R Tall

Chemical biology & drug design 103:e14429 PubMed38230769

2024

Stachydrine represses the proliferation and enhances cell cycle arrest and apoptosis of breast cancer cells via PLA2G2A/DCN axis.

Applications

Unspecified application

Species

Unspecified reactive species

Zhen Zhai,Tianlong Mu,Lina Zhao,Dongsheng Zhu,Xin Zhong,Yiliang Li,Chen Liang,Wei Li,Qingyuan Zhou

Pharmaceutics 15: PubMed37514060

2023

Bio-Enhanced Neoligaments Graft Bearing FE002 Primary Progenitor Tenocytes: Allogeneic Tissue Engineering & Surgical Proofs-of-Concept for Hand Ligament Regenerative Medicine.

Applications

Unspecified application

Species

Unspecified reactive species

Annick Jeannerat,Joachim Meuli,Cédric Peneveyre,Sandra Jaccoud,Michèle Chemali,Axelle Thomas,Zhifeng Liao,Philippe Abdel-Sayed,Corinne Scaletta,Nathalie Hirt-Burri,Lee Ann Applegate,Wassim Raffoul,Alexis Laurent

Journal of oral pathology & medicine : official publication of the International Association of Oral Pathologists and the American Academy of Oral Pathology 52:20-28 PubMed36308714

2022

Relationship of biglycan and decorin expression with clinicopathological features and prognosis in patients with oral squamous cell carcinoma.

Applications

Unspecified application

Species

Unspecified reactive species

Miaomiao Liu,Wei Wang,Songlin Piao,Yuchen Shen,Zhengmiao Li,Wentong Ding,Jichen Li,Wuliji Saiyin
View all publications

Product promise

We are committed to supporting your work with high-quality reagents, and we're here for you every step of the way. In the unlikely event that one of our products does not perform as expected, you're protected by our Product Promise.
For full details, please see our Terms & Conditions

Please note: All products are 'FOR RESEARCH USE ONLY. NOT FOR USE IN DIAGNOSTIC OR THERAPEUTIC PROCEDURES'.

For licensing inquiries, please contact partnerships@abcam.com