JavaScript is disabled in your browser. Please enable JavaScript to view this website.
AB277643

Anti-Decorin antibody [EPR24097-105] - BSA and Azide free

4

(1 Review)

|

(1 Publication)

Rabbit Recombinant Monoclonal Decorin antibody. Carrier free. Suitable for Flow Cyt, WB, IHC-P and reacts with Human, Mouse, Rat samples. Cited in 1 publication.

View Alternative Names

SLRR1B, DCN, Decorin, Bone proteoglycan II, PG-S2, PG40

9 Images
Immunohistochemistry (Formalin/PFA-fixed paraffin-embedded sections) - Anti-Decorin antibody [EPR24097-105] - BSA and Azide free (AB277643)
  • IHC-P

Supplier Data

Immunohistochemistry (Formalin/PFA-fixed paraffin-embedded sections) - Anti-Decorin antibody [EPR24097-105] - BSA and Azide free (AB277643)

This data was developed using ab277636, the same antibody clone in a different buffer formulation.

Immunohistochemical analysis of paraffin-embedded Human liver tissue labeling Decorin with ab277636 at 1/2000 dilution followed by a ready to use Rabbit specific IHC polymer detection kit HRP/DAB (ab209101). Positive staining on stromal cells of human liver. The section was incubated with ab277636 for 30 mins at room temperature. The immunostaining was performed on a Leica Biosystems BOND® RX instrument. Counterstained with Hematoxylin.

Secondary antibody only control : Secondary antibody is a ready to use Rabbit specific IHC polymer detection kit HRP/DAB (ab209101).

Heat mediated antigen retrieval with Tris-EDTA buffer (pH 9.0, epitope retrieval solution2) for 20 mins.

Flow Cytometry - Anti-Decorin antibody [EPR24097-105] - BSA and Azide free (AB277643)
  • Flow Cyt

Supplier Data

Flow Cytometry - Anti-Decorin antibody [EPR24097-105] - BSA and Azide free (AB277643)

This data was developed using ab277636, the same antibody clone in a different buffer formulation.

Flow cytometric analysis of 4% paraformaldehyde-fixed, 90% methanol-permeabilized MG-63 (human osteosarcoma fibroblast) cells labelling Decorin with ab277636 at 1/50 dilution (Red) compared with a Rabbit monoclonal IgG (ab172730) (Black) isotype control and an unlabelled control (cells without incubation with primary antibody and secondary antibody) (Blue). A Goat anti rabbit IgG (Alexa Fluor® 488, ab150077) at 1/2000 dilution was used as the secondary antibody.

Immunohistochemistry (Formalin/PFA-fixed paraffin-embedded sections) - Anti-Decorin antibody [EPR24097-105] - BSA and Azide free (AB277643)
  • IHC-P

Supplier Data

Immunohistochemistry (Formalin/PFA-fixed paraffin-embedded sections) - Anti-Decorin antibody [EPR24097-105] - BSA and Azide free (AB277643)

This data was developed using ab277636, the same antibody clone in a different buffer formulation.

Immunohistochemical analysis of paraffin-embedded Human bladder cancer tissue labeling Decorin with ab277636 at 1/2000 dilution followed by a ready to use Rabbit specific IHC polymer detection kit HRP/DAB (ab209101). Positive staining on stromal cells of human bladder cancer. The section was incubated with ab277636 for 30 mins at room temperature. The immunostaining was performed on a Leica Biosystems BOND® RX instrument. Counterstained with Hematoxylin.

Secondary antibody only control : Secondary antibody is a ready to use Rabbit specific IHC polymer detection kit HRP/DAB (ab209101).

Heat mediated antigen retrieval with Tris-EDTA buffer (pH 9.0, epitope retrieval solution2) for 20 mins.

Immunohistochemistry (Formalin/PFA-fixed paraffin-embedded sections) - Anti-Decorin antibody [EPR24097-105] - BSA and Azide free (AB277643)
  • IHC-P

Supplier Data

Immunohistochemistry (Formalin/PFA-fixed paraffin-embedded sections) - Anti-Decorin antibody [EPR24097-105] - BSA and Azide free (AB277643)

This data was developed using ab277636, the same antibody clone in a different buffer formulation.

Immunohistochemical analysis of paraffin-embedded Human esophagus tissue labeling Decorin with ab277636 at 1/2000 dilution followed by a ready to use Rabbit specific IHC polymer detection kit HRP/DAB (ab209101). Positive staining on stromal cells of human esophagus (PMID : 19212830). The section was incubated with ab277636 for 30 mins at room temperature. The immunostaining was performed on a Leica Biosystems BOND® RX instrument. Counterstained with Hematoxylin.

Secondary antibody only control : Secondary antibody is a ready to use Rabbit specific IHC polymer detection kit HRP/DAB (ab209101).

Heat mediated antigen retrieval with Tris-EDTA buffer (pH 9.0, epitope retrieval solution2) for 20 mins.

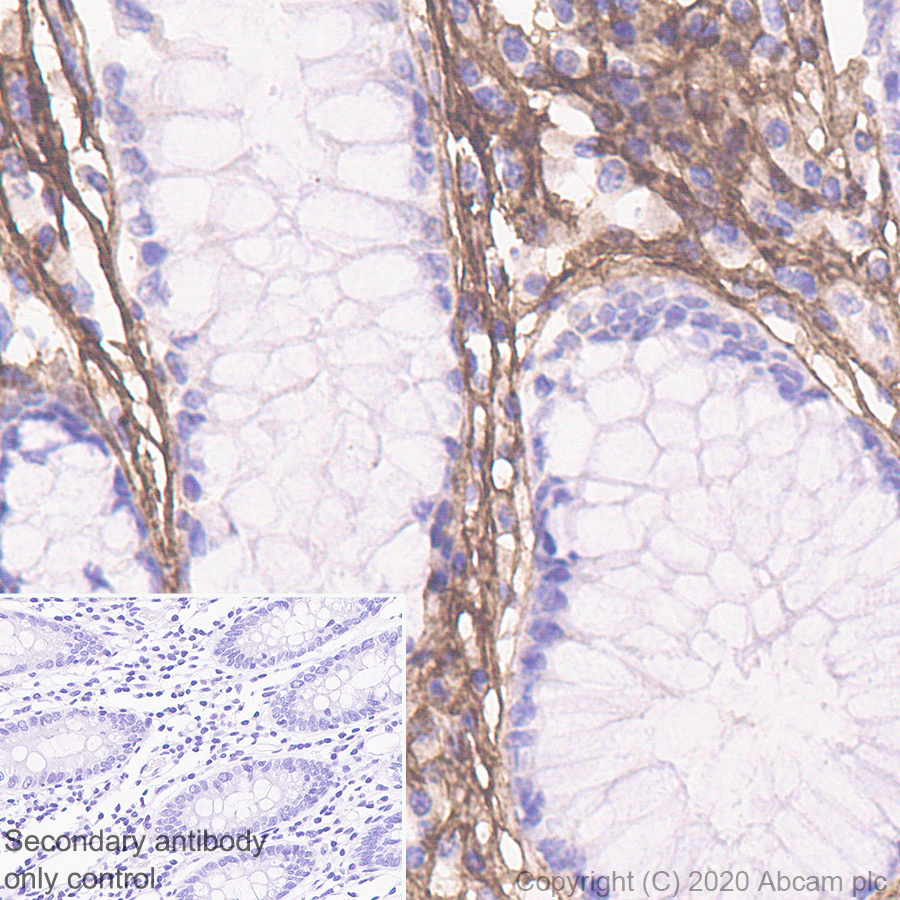
Immunohistochemistry (Formalin/PFA-fixed paraffin-embedded sections) - Anti-Decorin antibody [EPR24097-105] - BSA and Azide free (AB277643)
  • IHC-P

Supplier Data

Immunohistochemistry (Formalin/PFA-fixed paraffin-embedded sections) - Anti-Decorin antibody [EPR24097-105] - BSA and Azide free (AB277643)

This data was developed using ab277636, the same antibody clone in a different buffer formulation.

Immunohistochemical analysis of paraffin-embedded Human colon tissue labeling Decorin with ab277636 at 1/2000 dilution followed by a ready to use Rabbit specific IHC polymer detection kit HRP/DAB (ab209101). Positive staining on stromal cells of human colon (PMID : 32824864). The section was incubated with ab277636 for 30 mins at room temperature. The immunostaining was performed on a Leica Biosystems BOND® RX instrument. Counterstained with Hematoxylin.

Secondary antibody only control : Secondary antibody is a ready to use Rabbit specific IHC polymer detection kit HRP/DAB (ab209101).

Heat mediated antigen retrieval with Tris-EDTA buffer (pH 9.0, epitope retrieval solution2) for 20 mins

Western blot - Anti-Decorin antibody [EPR24097-105] - BSA and Azide free (AB277643)
  • WB

Lab

Western blot - Anti-Decorin antibody [EPR24097-105] - BSA and Azide free (AB277643)

This data was developed using ab277636, the same antibody clone in a different buffer formulation.

Blocking and diluting buffer and concentration : 5% NFDM/TBST

The observed MW is consistent with what has been described in the literature (PMID : 12601001, 29561836, 8702652, 12623288).

Exposure time : 48 seconds

All lanes:

Western blot - Anti-Decorin antibody [EPR24097-105] (<a href='/en-us/products/primary-antibodies/decorin-antibody-epr24097-105-ab277636'>ab277636</a>) at 1/1000 dilution

Lane 1:

MG-63 (human osteosarcoma fibroblast) whole cell lysate at 20 µg

Lane 2:

Mouse uterus tissue lysate at 20 µg

Lane 3:

Rat uterus tissue lysate at 20 µg

Lane 4:

Mouse colon tissue lysate at 20 µg

Lane 5:

Rat colon tissue lysate at 20 µg

Secondary

All lanes:

Western blot - Goat Anti-Rabbit IgG H&L (HRP) (<a href='/en-us/products/secondary-antibodies/goat-rabbit-igg-h-l-hrp-ab97051'>ab97051</a>) at 1/100000 dilution

Predicted band size: 40 kDa

Observed band size: 90-140 kDa

false

Western blot - Anti-Decorin antibody [EPR24097-105] - BSA and Azide free (AB277643)
  • WB

Lab

Western blot - Anti-Decorin antibody [EPR24097-105] - BSA and Azide free (AB277643)

This data was developed using ab277636, the same antibody clone in a different buffer formulation.

Blocking and diluting buffer and concentration : 5% NFDM/TBST.

The observed MW is consistent with what has been described in the literature (PMID : 12601001, 29561836, 8702652, 12623288).

Lower expression tissue : liver (PMID : 1611907).

Exposure time : Lane 1 : 8 seconds; Lanes 2-4 : 48 seconds.

All lanes:

Western blot - Anti-Decorin antibody [EPR24097-105] (<a href='/en-us/products/primary-antibodies/decorin-antibody-epr24097-105-ab277636'>ab277636</a>) at 1/1000 dilution

Lane 1:

Human uterus tissue lysate at 20 µg

Lane 2:

Human pancreas tissue lysate at 20 µg

Lane 3:

Human placenta tissue lysate at 20 µg

Lane 4:

Human liver tissue lysate at 20 µg

Secondary

All lanes:

Western blot - VeriBlot for IP Detection Reagent (HRP) (<a href='/en-us/products/reagents/veriblot-for-ip-detection-reagent-hrp-ab131366'>ab131366</a>) at 1/1000 dilution

Predicted band size: 40 kDa

Observed band size: 90-140 kDa

false

Western blot - Anti-Decorin antibody [EPR24097-105] - BSA and Azide free (AB277643)
  • WB

Lab

Western blot - Anti-Decorin antibody [EPR24097-105] - BSA and Azide free (AB277643)

Blocking and diluting buffer and concentration : 5% NFDM/TBST

The observed MW is consistent with what has been described in the literature (PMID : 12601001, 29561836, 8702652, 12623288).

Negative control : HT-1080 (PMID : 8702652).

Exposure time : 3 minutes

All lanes:

Western blot - Anti-Decorin antibody [EPR24097-105] (<a href='/en-us/products/primary-antibodies/decorin-antibody-epr24097-105-ab277636'>ab277636</a>) at 1/1000 dilution

Lane 1:

Human pancreas tissue lysate at 20 µg

Lane 2:

HT-1080 (human fibrosarcoma epithelial cell) whole cell lysate at 20 µg

Secondary

All lanes:

Western blot - VeriBlot for IP Detection Reagent (HRP) (<a href='/en-us/products/reagents/veriblot-for-ip-detection-reagent-hrp-ab131366'>ab131366</a>) at 1/1000 dilution

Predicted band size: 40 kDa

Observed band size: 90-140 kDa

false

Western blot - Anti-Decorin antibody [EPR24097-105] - BSA and Azide free (AB277643)
  • WB

Lab

Western blot - Anti-Decorin antibody [EPR24097-105] - BSA and Azide free (AB277643)

This data was developed using ab277636, the same antibody clone in a different buffer formulation.

Blocking and diluting buffer and concentration : 5% NFDM/TBST

The observed MW is consistent with what has been described in the literature (PMID : 12601001, 29561836, 8702652, 12623288).

Exposure time : 15 seconds.

All lanes:

Western blot - Anti-Decorin antibody [EPR24097-105] (<a href='/en-us/products/primary-antibodies/decorin-antibody-epr24097-105-ab277636'>ab277636</a>) at 1/1000 dilution

Lane 1:

Human colon tissue treated with PNGase F lysate at 20 µg

Lane 2:

Human colon tissue lysate at 20 µg

Secondary

All lanes:

Western blot - Goat Anti-Rabbit IgG H&L (HRP) (<a href='/en-us/products/secondary-antibodies/goat-rabbit-igg-h-l-hrp-ab97051'>ab97051</a>) at 1/20000 dilution

Predicted band size: 40 kDa

Observed band size: 90-140 kDa

false

Key facts

Host species

Rabbit

Clonality

Monoclonal

Clone number

EPR24097-105

Isotype

IgG

Carrier free

Yes

Reacts with

Mouse, Rat, Human

Applications

IHC-P, Flow Cyt, WB

applications

Immunogen

The exact immunogen used to generate this antibody is proprietary information.

Reactivity data

{ "title": "Reactivity Data", "filters": { "stats": ["", "Species", "Dilution Info", "Notes"], "tabs": { "all-applications": {"fullname" : "All Applications", "shortname": "All Applications"}, "ICCIF" : {"fullname" : "Immunocytochemistry/ Immunofluorescence", "shortname":"ICC/IF"}, "IP" : {"fullname" : "Immunoprecipitation", "shortname":"IP"}, "FlowCyt" : {"fullname" : "Flow Cytometry", "shortname":"Flow Cyt"}, "WB" : {"fullname" : "Western blot", "shortname":"WB"}, "IHCP" : {"fullname" : "Immunohistochemistry (Formalin/PFA-fixed paraffin-embedded sections)", "shortname":"IHC-P"} }, "product-promise": { "all": "all", "testedAndGuaranteed": "tested", "guaranteed": "expected", "predicted": "predicted", "notRecommended": "not-recommended" } }, "values": { "Human": { "ICCIF-species-checked": "notRecommended", "ICCIF-species-dilution-info": "", "ICCIF-species-notes": "<p></p>", "IP-species-checked": "notRecommended", "IP-species-dilution-info": "", "IP-species-notes": "<p></p>", "FlowCyt-species-checked": "testedAndGuaranteed", "FlowCyt-species-dilution-info": "", "FlowCyt-species-notes": "<p></p>", "WB-species-checked": "testedAndGuaranteed", "WB-species-dilution-info": "", "WB-species-notes": "<p></p>", "IHCP-species-checked": "testedAndGuaranteed", "IHCP-species-dilution-info": "", "IHCP-species-notes": "<p></p>" }, "Mouse": { "ICCIF-species-checked": "notRecommended", "ICCIF-species-dilution-info": "", "ICCIF-species-notes": "<p></p>", "IP-species-checked": "notRecommended", "IP-species-dilution-info": "", "IP-species-notes": "<p></p>", "FlowCyt-species-checked": "guaranteed", "FlowCyt-species-dilution-info": "", "FlowCyt-species-notes": "", "WB-species-checked": "testedAndGuaranteed", "WB-species-dilution-info": "", "WB-species-notes": "<p></p>", "IHCP-species-checked": "notRecommended", "IHCP-species-dilution-info": "", "IHCP-species-notes": "<p></p>" }, "Rat": { "ICCIF-species-checked": "notRecommended", "ICCIF-species-dilution-info": "", "ICCIF-species-notes": "<p></p>", "IP-species-checked": "notRecommended", "IP-species-dilution-info": "", "IP-species-notes": "<p></p>", "FlowCyt-species-checked": "guaranteed", "FlowCyt-species-dilution-info": "", "FlowCyt-species-notes": "", "WB-species-checked": "testedAndGuaranteed", "WB-species-dilution-info": "", "WB-species-notes": "<p></p>", "IHCP-species-checked": "notRecommended", "IHCP-species-dilution-info": "", "IHCP-species-notes": "<p></p>" } } }

Product details

ab277643 is the carrier-free version of ab277636.

Patented technology
Our RabMAb® technology is a patented hybridoma-based technology for making rabbit monoclonal antibodies. For details on our patents, please refer to RabMAb® patents.

What are the advantages of a recombinant monoclonal antibody?
This product is a recombinant monoclonal antibody, which offers several advantages including:

  • - High batch-to-batch consistency and reproducibility
  • - Improved sensitivity and specificity
  • - Long-term security of supply
  • - Animal-free batch production

For more information, read more on recombinant antibodies.

Conjugation ready
Our carrier-free antibodies are typically supplied in a PBS-only formulation, purified and free of BSA, sodium azide and glycerol. This conjugation-ready format is designed for use with fluorochromes, metal isotopes, oligonucleotides, and enzymes, which makes them ideal for antibody labelling, functional and cell-based assays, flow-based assays (e.g. mass cytometry) and Multiplex Imaging applications.

Use our conjugation kits for antibody conjugates that are ready-to-use in as little as 20 minutes with 1 minute hands-on-time and 100% antibody recovery: available for fluorescent dyes, HRP, biotin and gold.

Compatibility
This product is compatible with the Maxpar® Antibody Labeling Kit from Fluidigm, without the need for antibody preparation. Maxpar® is a trademark of Fluidigm Canada Inc.

Properties and storage information

Form
Liquid
Purification technique
Affinity purification Protein A
Storage buffer
Constituents: PBS
Shipped at conditions
Blue Ice
Appropriate short-term storage conditions
+4°C
Appropriate long-term storage conditions
+4°C

Product protocols

For this product, it's our understanding that no specific protocols are required. You can visit:

Target data

May affect the rate of fibrils formation.
See full target information DCN

Publications (1)

Recent publications for all applications. Explore the full list and refine your search

Communications biology 7:577 PubMed38755434

2024

Fibroblasts' secretome from calcified and non-calcified dermis in Pseudoxanthoma elasticum differently contributes to elastin calcification.

Applications

Unspecified application

Species

Unspecified reactive species

Francesco Demetrio Lofaro,Sonia Costa,Maria Luisa Simone,Daniela Quaglino,Federica Boraldi
View all publications

Product promise

We are committed to supporting your work with high-quality reagents, and we're here for you every step of the way. In the unlikely event that one of our products does not perform as expected, you're protected by our Product Promise.
For full details, please see our Terms & Conditions

Please note: All products are 'FOR RESEARCH USE ONLY. NOT FOR USE IN DIAGNOSTIC OR THERAPEUTIC PROCEDURES'.

For licensing inquiries, please contact partnerships@abcam.com