JavaScript is disabled in your browser. Please enable JavaScript to view this website.
AB217331

Anti-Dectin-1 antibody

Be the first to review this product! Submit a review

|

(5 Publications)

Rabbit Polyclonal Dectin-1 antibody. Suitable for WB, IHC-P and reacts with Mouse samples. Cited in 5 publications. Immunogen corresponding to Synthetic Peptide within Human CLEC7A aa 50-150 conjugated to Keyhole Limpet Haemocyanin.

View Alternative Names

CD369, BGR, CLECSF12, DECTIN1, UNQ539/PRO1082, CLEC7A, C-type lectin domain family 7 member A, Beta-glucan receptor, C-type lectin superfamily member 12, Dendritic cell-associated C-type lectin 1, DC-associated C-type lectin 1, Dectin-1

2 Images
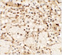
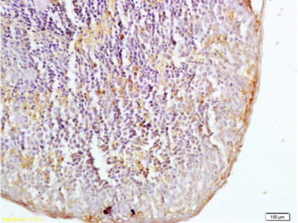
Immunohistochemistry (Formalin/PFA-fixed paraffin-embedded sections) - Anti-Dectin-1 antibody (AB217331)
  • IHC-P

Supplier Data

Immunohistochemistry (Formalin/PFA-fixed paraffin-embedded sections) - Anti-Dectin-1 antibody (AB217331)

Immunohistochemical analysis of formalin-fixed, paraffin-embedded mouse spleen tissue labeling Dectin-1 with ab217331 at 1/200 dilution, followed by secondary antibody detection and DAB staining.

Western blot - Anti-Dectin-1 antibody (AB217331)
  • WB

Supplier Data

Western blot - Anti-Dectin-1 antibody (AB217331)

All lanes:

Western blot - Anti-Dectin-1 antibody (ab217331) at 1/300 dilution

All lanes:

Mouse lung lysate

Secondary

All lanes:

Goat Anti-Rabbit IgG Antibody (H+L), HRP Conjugated at 1/5000 dilution

Predicted band size: 28 kDa

false

Key facts

Host species

Rabbit

Clonality

Polyclonal

Isotype

IgG

Carrier free

No

Reacts with

Mouse

Applications

IHC-P, WB

applications

Immunogen

Synthetic Peptide within Human CLEC7A aa 50-150 conjugated to Keyhole Limpet Haemocyanin. The exact immunogen used to generate this antibody is proprietary information.

Q9BXN2

Reactivity data

{ "title": "Reactivity Data", "filters": { "stats": ["", "Species", "Dilution Info", "Notes"], "tabs": { "all-applications": {"fullname" : "All Applications", "shortname": "All Applications"}, "WB" : {"fullname" : "Western blot", "shortname":"WB"}, "IHCP" : {"fullname" : "Immunohistochemistry (Formalin/PFA-fixed paraffin-embedded sections)", "shortname":"IHC-P"} }, "product-promise": { "all": "all", "testedAndGuaranteed": "tested", "guaranteed": "expected", "predicted": "predicted", "notRecommended": "not-recommended" } }, "values": { "Human": { "WB-species-checked": "predicted", "WB-species-dilution-info": "", "WB-species-notes": "", "IHCP-species-checked": "predicted", "IHCP-species-dilution-info": "", "IHCP-species-notes": "" }, "Mouse": { "WB-species-checked": "testedAndGuaranteed", "WB-species-dilution-info": "1/100 - 1/1000", "WB-species-notes": "<p></p>", "IHCP-species-checked": "testedAndGuaranteed", "IHCP-species-dilution-info": "1/100 - 1/500", "IHCP-species-notes": "<p></p>" } } }

Properties and storage information

Form
Liquid
Purification technique
Affinity purification Protein A
Storage buffer
pH: 7.4 Preservative: 0.02% Proclin 300 Constituents: 50% Glycerol (glycerin, glycerine), 48.98% TBS, 1X, 1% BSA
Shipped at conditions
Blue Ice
Appropriate short-term storage duration
1-2 weeks
Appropriate short-term storage conditions
+4°C
Appropriate long-term storage conditions
-20°C
Aliquoting information
Upon delivery aliquot
Storage information
Avoid freeze / thaw cycle

Product protocols

For this product, it's our understanding that no specific protocols are required. You can visit:

Target data

Lectin that functions as a pattern recognizing receptor (PRR) specific for beta-1,3-linked and beta-1,6-linked glucans, which constitute cell wall constituents from pathogenic bacteria and fungi (PubMed : 11567029, PubMed : 12423684). Necessary for the TLR2-mediated inflammatory response and activation of NF-kappa-B : upon beta-glucan binding, recruits SYK via its ITAM motif and promotes a signaling cascade that activates some CARD domain-BCL10-MALT1 (CBM) signalosomes, leading to the activation of NF-kappa-B and MAP kinase p38 (MAPK11, MAPK12, MAPK13 and/or MAPK14) pathways which stimulate expression of genes encoding pro-inflammatory cytokines and chemokines (By similarity). Enhances cytokine production in macrophages and dendritic cells (By similarity). Mediates production of reactive oxygen species in the cell (By similarity). Mediates phagocytosis of C.albicans conidia (PubMed : 17230442). Binds T-cells in a way that does not involve their surface glycans and plays a role in T-cell activation. Stimulates T-cell proliferation. Induces phosphorylation of SCIMP after binding beta-glucans (By similarity).
See full target information CLEC7A

Publications (5)

Recent publications for all applications. Explore the full list and refine your search

Scientific reports 15:29741 PubMed40804251

2025

HSF1 in macrophages suppressed the progression of asthma via modulating SIRPα/SHP2-Dectin-1/ SYK mediated ROS and inflammatory responses.

Applications

Unspecified application

Species

Unspecified reactive species

Xiaojuan Liu,Yingqian Zhang,Huifang Wu,Jingli Zhang,Yingxue Wang,Huifeng Zhang

Scientific reports 15:15583 PubMed40320408

2025

Irisin suppressed the progression of TBI via modulating AMPK/MerTK/autophagy and SYK/ROS/inflammatory signaling.

Applications

Unspecified application

Species

Unspecified reactive species

Kuo Zhang,Yihui Du,Sihui Yang,Guozhu Sun

Frontiers in immunology 15:1361351 PubMed38846954

2024

CLEC7A regulates M2 macrophages to suppress the immune microenvironment and implies poorer prognosis of glioma.

Applications

Unspecified application

Species

Unspecified reactive species

Jinchao Wang,Xiaoru Li,Kai Wang,Kaiji Li,Yalong Gao,Jianye Xu,Ruilong Peng,Xu Zhang,Shu Zhang,Yuan Zhou,Shangchen Xu,Jianning Zhang

Molecular neurodegeneration 19:25 PubMed38493185

2024

Rejuvenating aged microglia by p16-siRNA-loaded nanoparticles increases amyloid-β clearance in animal models of Alzheimer's disease.

Applications

Unspecified application

Species

Unspecified reactive species

Hyo Jung Shin,In Soo Kim,Seung Gyu Choi,Kayoung Lee,Hyewon Park,Juhee Shin,Dayoung Kim,Jaewon Beom,Yoon Young Yi,Deepak Prasad Gupta,Gyun Jee Song,Won-Suk Chung,C Justin Lee,Dong Woon Kim

Zoological research 42:650-659 PubMed34472226

2021

Deletion of phosphatidylserine flippase β-subunit in satellite cells leads to delayed skeletal muscle regeneration.

Applications

Unspecified application

Species

Unspecified reactive species

Kuan-Xiang Sun,Xiao-Yan Jiang,Xiao Li,Yu-Jing Su,Ju-Lin Wang,Lin Zhang,Ye-Ming Yang,Xian-Jun Zhu
View all publications

Product promise

We are committed to supporting your work with high-quality reagents, and we're here for you every step of the way. In the unlikely event that one of our products does not perform as expected, you're protected by our Product Promise.
For full details, please see our Terms & Conditions

Please note: All products are 'FOR RESEARCH USE ONLY. NOT FOR USE IN DIAGNOSTIC OR THERAPEUTIC PROCEDURES'.

For licensing inquiries, please contact partnerships@abcam.com