JavaScript is disabled in your browser. Please enable JavaScript to view this website.
AB216591

Anti-DEGA antibody

Be the first to review this product! Submit a review

|

(0 Publication)

Rabbit Polyclonal DEGA antibody. Suitable for IHC-P and reacts with Mouse samples. Immunogen corresponding to Synthetic Peptide within Human AMIGO2 aa 1-100 conjugated to Keyhole Limpet Haemocyanin.

View Alternative Names

ALI1, AMIGO2, Amphoterin-induced protein 2, AMIGO-2, Alivin-1, Differentially expressed in gastric adenocarcinomas, DEGA

1 Images
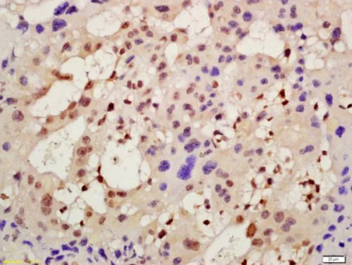
Immunohistochemistry (Formalin/PFA-fixed paraffin-embedded sections) - Anti-DEGA antibody (AB216591)
  • IHC-P

Supplier Data

Immunohistochemistry (Formalin/PFA-fixed paraffin-embedded sections) - Anti-DEGA antibody (AB216591)

Immunohistochemical analysis of formalin-fixed paraffin-embedded mouse placenta tissue, labeling DEGA using ab216591 at a 1/200 dilution, followed by conjugation to the secondary antibody and DAB staining.

Key facts

Host species

Rabbit

Clonality

Polyclonal

Isotype

IgG

Carrier free

No

Reacts with

Mouse

Applications

IHC-P

applications

Immunogen

Synthetic Peptide within Human AMIGO2 aa 1-100 conjugated to Keyhole Limpet Haemocyanin. The exact immunogen used to generate this antibody is proprietary information.

Q86SJ2

Reactivity data

{ "title": "Reactivity Data", "filters": { "stats": ["", "Species", "Dilution Info", "Notes"], "tabs": { "all-applications": {"fullname" : "All Applications", "shortname": "All Applications"}, "IHCP" : {"fullname" : "Immunohistochemistry (Formalin/PFA-fixed paraffin-embedded sections)", "shortname":"IHC-P"} }, "product-promise": { "all": "all", "testedAndGuaranteed": "tested", "guaranteed": "expected", "predicted": "predicted", "notRecommended": "not-recommended" } }, "values": { "Human": { "IHCP-species-checked": "predicted", "IHCP-species-dilution-info": "", "IHCP-species-notes": "" }, "Mouse": { "IHCP-species-checked": "testedAndGuaranteed", "IHCP-species-dilution-info": "1/100.00000 - 1/500.00000", "IHCP-species-notes": "<p></p>" } } }

You may be interested in:

AB313506

Human DEGA ELISA Kit

0

0 Reviews

View product

We recommend this product because it’s often used in the same experiment or related research.

We advise that you always check the datasheet to ensure it fits your experiments, or contact ourtechnical teamfor help.

Properties and storage information

Form
Liquid
Purification technique
Affinity purification Protein A
Storage buffer
pH: 7.4 Preservative: 0.02% Proclin 300 Constituents: 50% Glycerol (glycerin, glycerine), 48.98% TBS, 1X, 1% BSA
Shipped at conditions
Blue Ice
Appropriate short-term storage duration
1-2 weeks
Appropriate short-term storage conditions
+4°C
Appropriate long-term storage conditions
-20°C
Aliquoting information
Upon delivery aliquot
Storage information
Avoid freeze / thaw cycle

Supplementary information

This supplementary information is collated from multiple sources and compiled automatically.

The DEGA protein also known as DEGA-1 functions mechanically as a transmembrane protein involved in cellular adhesion. It has a mass of approximately 55 kDa and expresses widely in epithelial tissues where cellular interactions requiring adhesion are important for tissue integrity. DEGA is present in various cell types indicating its broad physiological relevance across tissues.
Biological function summary

This protein plays a role in modulating cell adhesion dynamics and contributes to tissue organization and stability. It forms part of adhesion complexes at the cellular surface interacting with cytoskeletal elements. Through these complexes DEGA helps maintain mechanical stability and signaling within epithelial cells making it an important component in tissue maintenance and repair.

Pathways

DEGA participates in cellular adhesion and signaling pathways essential for maintaining epithelial integrity. It interacts with proteins such as E-cadherin a well-known adhesion molecule forming a network that reinforces adhesion. This protein also integrates signals for pathway regulation playing a critical role in maintaining homeostasis in the epithelial layer.

DEGA is linked to epithelial-related conditions such as carcinomas where altered adhesion contributes to disease progression. It interacts with proteins involved in tumorigenesis such as E-cadherin and beta-catenin. The loss or dysfunction of DEGA can lead to disrupted cell adhesion contributing to the invasive characteristics of cancerous cells highlighting its importance in disease pathology.

Product protocols

For this product, it's our understanding that no specific protocols are required. You can visit:

Target data

Required for depolarization-dependent survival of cultured cerebellar granule neurons. May mediate homophilic as well as heterophilic cell-cell interaction with AMIGO1 or AMIGO3. May contribute to signal transduction through its intracellular domain. May be required for tumorigenesis of a subset of gastric adenocarcinomas.
See full target information AMIGO2

Product promise

We are committed to supporting your work with high-quality reagents, and we're here for you every step of the way. In the unlikely event that one of our products does not perform as expected, you're protected by our Product Promise.
For full details, please see our Terms & Conditions

Associated Products

Select an associated product type
Alternative Product
Primary Antibodies

AB84416

Anti-DEGA antibody

primary-antibodies

dega-antibody-ab84416

3

(2 reviews)

Please note: All products are 'FOR RESEARCH USE ONLY. NOT FOR USE IN DIAGNOSTIC OR THERAPEUTIC PROCEDURES'.

For licensing inquiries, please contact partnerships@abcam.com