JavaScript is disabled in your browser. Please enable JavaScript to view this website.
AB249362

Anti-DEK antibody [EPR11034] - BSA and Azide free

Be the first to review this product! Submit a review

|

(0 Publication)

Rabbit Recombinant Monoclonal DEK antibody. Carrier free. Suitable for IHC-P, ICC/IF, IP, WB, Flow Cyt (Intra) and reacts with Human samples.

View Alternative Names

Protein DEK, DEK

7 Images
Immunohistochemistry (Formalin/PFA-fixed paraffin-embedded sections) - Anti-DEK antibody [EPR11034] - BSA and Azide free (AB249362)
  • IHC-P

Unknown

Immunohistochemistry (Formalin/PFA-fixed paraffin-embedded sections) - Anti-DEK antibody [EPR11034] - BSA and Azide free (AB249362)

This data was developed using ab166624, the same antibody clone in a different buffer formulation.

Immunohistochemical analysis of paraffin-embedded Human breast tissue labeling DEK with ab166624 at 1/250 dilution.

Perform heat mediated antigen retrieval with citrate buffer pH 6 before commencing with IHC staining protocol.

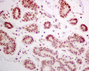
Immunohistochemistry (Formalin/PFA-fixed paraffin-embedded sections) - Anti-DEK antibody [EPR11034] - BSA and Azide free (AB249362)
  • IHC-P

Unknown

Immunohistochemistry (Formalin/PFA-fixed paraffin-embedded sections) - Anti-DEK antibody [EPR11034] - BSA and Azide free (AB249362)

This data was developed using ab166624, the same antibody clone in a different buffer formulation.

Immunohistochemical analysis of paraffin-embedded Human gastric carcinoma tissue labeling DEK with ab166624 at 1/250 dilution.

Perform heat mediated antigen retrieval with citrate buffer pH 6 before commencing with IHC staining protocol.

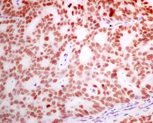
Immunoprecipitation - Anti-DEK antibody [EPR11034] - BSA and Azide free (AB249362)
  • IP

Unknown

Immunoprecipitation - Anti-DEK antibody [EPR11034] - BSA and Azide free (AB249362)

This data was developed using ab166624, the same antibody clone in a different buffer formulation.

Immunoprecipitation of DEK in pellet from HeLa cell lysate using ab166624 at 1/10 dilution, followed by western blot detection of DEK using as secondary an HRP-conjugated anti-rabbit IgG, which preferentially detects the non-reduced form of rabbit IgG.

All lanes:

Immunoprecipitation - Anti-DEK antibody [EPR11034] (<a href='/en-us/products/primary-antibodies/dek-antibody-epr11034-ab166624'>ab166624</a>) at 1/1000 dilution

All lanes:

immunoprecipitation pellet from HeLa cell lysate at 10 µg

Predicted band size: 42 kDa

false

Western blot - Anti-DEK antibody [EPR11034] - BSA and Azide free (AB249362)
  • WB

Lab

Western blot - Anti-DEK antibody [EPR11034] - BSA and Azide free (AB249362)

This data was developed using ab166624, the same antibody clone in a different buffer formulation.

Western blot : Rabbit Monoclonal[EPR11034] to DEK ab166624 staining at 1/2000 dilution, shown in green; Mouse anti-CANX (ab238078) loading control staining at 1/20,000 dilution, shown in magenta. A band was observed at 50 kDa in Wild-type HeLa cell lysates with no signal observed at this size in DEK knockout HeLa cell line. To generate this image, samples were run on an SDS-PAGE gel then transferred onto a nitrocellulose membrane. Membranes were blocked in 3pc Milk in TBS-0.1 % Tween® 20 (TBS-T) before incubation with primary antibodies overnight at 4°C. Blots were washed four times in TBS-T, incubated with secondary antibodies for 1 h at room temperature, washed again four times then imaged. Secondary antibodies used were Goat anti-Rabbit 800CW & Goat anti-Mouse 680RD at 1/20,000 dilution.

All lanes:

Western blot - Anti-DEK antibody [EPR11034] (<a href='/en-us/products/primary-antibodies/dek-antibody-epr11034-ab166624'>ab166624</a>) at 1/2000 dilution

Lane 1:

Wild-type HeLa at 20 µg

Lane 2:

Human DEK knockout HeLa cell line at 20 µg

Lane 3:

T-47D at 20 µg

Lane 4:

K562 at 20 µg

Secondary

All lanes:

Goat anti-Rabbit 800CW & Goat anti-Mouse 680RD at 1/20000 dilution

Predicted band size: 43 kDa

Observed band size: 50 kDa

false

Flow Cytometry (Intracellular) - Anti-DEK antibody [EPR11034] - BSA and Azide free (AB249362)
  • Flow Cyt (Intra)

Unknown

Flow Cytometry (Intracellular) - Anti-DEK antibody [EPR11034] - BSA and Azide free (AB249362)

This data was developed using ab166624, the same antibody clone in a different buffer formulation.

Intracellular Flow Cytometry analysis of HeLa (human cervix adenocarcinoma) cells labeling DEK (red) with ab166624 at a 1/2000 dilution. Cells were fixed with 4% paraformaldehyde and permeabilized with 90% methanol. A goat anti-rabbit IgG (Alexa Fluor® 488) (ab150077) was used as the secondary antibody at a 1/2000 dilution. Black - Rabbit monoclonal IgG (ab172730). Blue (unlabeled control) - Cells without incubation with the primary and secondary antibodies.

Immunocytochemistry/ Immunofluorescence - Anti-DEK antibody [EPR11034] - BSA and Azide free (AB249362)
  • ICC/IF

Unknown

Immunocytochemistry/ Immunofluorescence - Anti-DEK antibody [EPR11034] - BSA and Azide free (AB249362)

This data was developed using ab166624, the same antibody clone in a different buffer formulation.Immunofluorescence analysis of 293T cells labeling DEK with ab166624 at 1/100 dilution.

Western blot - Anti-DEK antibody [EPR11034] - BSA and Azide free (AB249362)
  • WB

Unknown

Western blot - Anti-DEK antibody [EPR11034] - BSA and Azide free (AB249362)

This data was developed using ab166624, the same antibody clone in a different buffer formulation.

All lanes:

Western blot - Anti-DEK antibody [EPR11034] (<a href='/en-us/products/primary-antibodies/dek-antibody-epr11034-ab166624'>ab166624</a>) at 1/1000 dilution

Lane 1:

293T cell lysates at 10 µg

Lane 2:

HeLa cell lysates at 10 µg

Lane 3:

Jurkat cell lysates at 10 µg

Lane 4:

K562 cell lysates at 10 µg

Predicted band size: 42 kDa

false

Key facts

Host species

Rabbit

Clonality

Monoclonal

Clone number

EPR11034

Isotype

IgG

Carrier free

Yes

Reacts with

Human

Applications

IHC-P, ICC/IF, Flow Cyt (Intra), WB, IP

applications

Immunogen

The exact immunogen used to generate this antibody is proprietary information.

Reactivity data

{ "title": "Reactivity Data", "filters": { "stats": ["", "Species", "Dilution Info", "Notes"], "tabs": { "all-applications": {"fullname" : "All Applications", "shortname": "All Applications"}, "IHCP" : {"fullname" : "Immunohistochemistry (Formalin/PFA-fixed paraffin-embedded sections)", "shortname":"IHC-P"}, "ICCIF" : {"fullname" : "Immunocytochemistry/ Immunofluorescence", "shortname":"ICC/IF"}, "IP" : {"fullname" : "Immunoprecipitation", "shortname":"IP"}, "WB" : {"fullname" : "Western blot", "shortname":"WB"}, "FlowCytIntra" : {"fullname" : "Flow Cytometry (Intracellular)", "shortname":"Flow Cyt (Intra)"} }, "product-promise": { "all": "all", "testedAndGuaranteed": "tested", "guaranteed": "expected", "predicted": "predicted", "notRecommended": "not-recommended" } }, "values": { "Human": { "IHCP-species-checked": "testedAndGuaranteed", "IHCP-species-dilution-info": "", "IHCP-species-notes": "<p></p> Perform heat-mediated antigen retrieval with citrate buffer pH 6 before commencing with IHC staining protocol.", "ICCIF-species-checked": "testedAndGuaranteed", "ICCIF-species-dilution-info": "", "ICCIF-species-notes": "<p></p>", "IP-species-checked": "testedAndGuaranteed", "IP-species-dilution-info": "", "IP-species-notes": "<p></p>", "WB-species-checked": "testedAndGuaranteed", "WB-species-dilution-info": "", "WB-species-notes": "<p></p>", "FlowCytIntra-species-checked": "testedAndGuaranteed", "FlowCytIntra-species-dilution-info": "", "FlowCytIntra-species-notes": "<p></p>" }, "Rat": { "IHCP-species-checked": "predicted", "IHCP-species-dilution-info": "", "IHCP-species-notes": "", "ICCIF-species-checked": "predicted", "ICCIF-species-dilution-info": "", "ICCIF-species-notes": "", "IP-species-checked": "predicted", "IP-species-dilution-info": "", "IP-species-notes": "", "WB-species-checked": "predicted", "WB-species-dilution-info": "", "WB-species-notes": "", "FlowCytIntra-species-checked": "predicted", "FlowCytIntra-species-dilution-info": "", "FlowCytIntra-species-notes": "" } } }

Product details

ab249362 is the carrier-free version of ab166624.

Species reactivity
Mouse: We have preliminary internal testing data to indicate this antibody may not react with this species.
Please contact us for more information.

Patented technology
Our RabMAb® technology is a patented hybridoma-based technology for making rabbit monoclonal antibodies. For details on our patents, please refer to RabMAb® patents.

What are the advantages of a recombinant monoclonal antibody?
This product is a recombinant monoclonal antibody, which offers several advantages including:

  • - High batch-to-batch consistency and reproducibility
  • - Improved sensitivity and specificity
  • - Long-term security of supply
  • - Animal-free batch production

For more information, read more on recombinant antibodies.

Conjugation ready
Our carrier-free antibodies are typically supplied in a PBS-only formulation, purified and free of BSA, sodium azide and glycerol. This conjugation-ready format is designed for use with fluorochromes, metal isotopes, oligonucleotides, and enzymes, which makes them ideal for antibody labelling, functional and cell-based assays, flow-based assays (e.g. mass cytometry) and Multiplex Imaging applications.

Use our conjugation kits for antibody conjugates that are ready-to-use in as little as 20 minutes with 1 minute hands-on-time and 100% antibody recovery: available for fluorescent dyes, HRP, biotin and gold.

Compatibility
This product is compatible with the Maxpar® Antibody Labeling Kit from Fluidigm, without the need for antibody preparation. Maxpar® is a trademark of Fluidigm Canada Inc.

Properties and storage information

Form
Liquid
Purification technique
Affinity purification Protein A
Storage buffer
pH: 7.2 - 7.4 Constituents: PBS
Shipped at conditions
Blue Ice
Appropriate short-term storage conditions
+4°C
Appropriate long-term storage conditions
+4°C
Storage information
Do Not Freeze

Supplementary information

This supplementary information is collated from multiple sources and compiled automatically.

DEK is a nuclear phosphoprotein with an approximate mass of 45 kDa. Researchers often study DEK in the context of its function in chromatin organization and transcription regulation as it serves as an architectural chromatin protein. DEK expression is ubiquitous found in various tissues with high levels in actively dividing cells. It is essential in processes that require dynamic chromatin remodeling.
Biological function summary

DEK plays a role in maintaining genomic integrity and regulating transcription. It operates within a complex that interacts with histone proteins to modulate chromatin structure. DEK also affects mRNA splicing by interacting with the spliceosomal complex further underlining its role in transcription control. As a multifunctional protein DEK helps coordinate several essential cellular activities.

Pathways

DEK integrates into the p53 and Wnt signaling pathways. It influences cell cycle control and apoptosis within the p53 pathway interacting with proteins like MDM2 to affect p53 stability. Within the Wnt pathway DEK contributes to cell proliferation and differentiation by affecting beta-catenin levels and interacting with transcription factors involved in Wnt target gene expression.

DEK has strong connections to various types of cancers and autoimmune diseases. DEK overexpression is often associated with tumorigenesis particularly in acute myeloid leukemia where it collaborates with NUP214 fusion partners. In autoimmune disorders like systemic lupus erythematosus DEK may become an autoantigen and its interaction with proteins such as nucleolin could contribute to disease pathogenesis.

Product protocols

For this product, it's our understanding that no specific protocols are required. You can visit:

Target data

Involved in chromatin organization.
See full target information DEK

Product promise

We are committed to supporting your work with high-quality reagents, and we're here for you every step of the way. In the unlikely event that one of our products does not perform as expected, you're protected by our Product Promise.
For full details, please see our Terms & Conditions

Please note: All products are 'FOR RESEARCH USE ONLY. NOT FOR USE IN DIAGNOSTIC OR THERAPEUTIC PROCEDURES'.

For licensing inquiries, please contact partnerships@abcam.com