JavaScript is disabled in your browser. Please enable JavaScript to view this website.
AB221545

Anti-DEK antibody [EPR20401]

Be the first to review this product! Submit a review

|

(2 Publications)

Rabbit Recombinant Monoclonal DEK antibody. Suitable for IP, WB, ICC/IF, Flow Cyt (Intra), IHC-P and reacts with Human samples. Cited in 2 publications.

View Alternative Names

Protein DEK, DEK

13 Images
Western blot - Anti-DEK antibody [EPR20401] (AB221545)
  • WB

Supplier Data

Western blot - Anti-DEK antibody [EPR20401] (AB221545)

Blocking/Dilution buffer : 5% NFDM/TBST.

Exposure time : Lane 1-2 : 2 seconds; Lane 3 : 3 seconds.

Lanes 1 - 2:

Western blot - Anti-DEK antibody [EPR20401] (ab221545) at 1/2000 dilution

Lane 3:

Western blot - Anti-DEK antibody [EPR20401] (ab221545) at 1/10000 dilution

Lane 1:

K562 (human chronic myelogenous leukemia cell line from bone marrow) whole cell lysate at 20 µg

Lane 2:

293T (human epithelial cell line from embryonic kidney transformed with large T antigen) whole cell lysate at 20 µg

Lane 3:

HeLa (human epithelial cell line from cervix adenocarcinoma) whole cell lysate at 20 µg

Secondary

All lanes:

Western blot - Goat Anti-Rabbit IgG H&L (HRP) (<a href='/en-us/products/secondary-antibodies/goat-rabbit-igg-h-l-hrp-ab97051'>ab97051</a>) at 1/100000 dilution

Predicted band size: 42 kDa

Observed band size: 50 kDa

true

Western blot - Anti-DEK antibody [EPR20401] (AB221545)
  • WB

Lab

Western blot - Anti-DEK antibody [EPR20401] (AB221545)

Western blot : Rabbit Monoclonal[EPR20401] to DEK ab221545 staining at 1/2000 dilution, shown in green; Mouse anti-CANX (ab238078) loading control staining at 1/20,000 dilution, shown in magenta. A band was observed at 52 kDa in Wild-type HeLa ab271142 cell lysates with no signal observed at this size in DEK knockout HeLa ab274942 cell line. To generate this image, samples were run on an SDS-PAGE gel then transferred onto a nitrocellulose membrane. Membranes were blocked in 5pc Milk in TBS-0.1 % Tween® 20 (TBS-T) before incubation with primary antibodies overnight at 4 °C. Blots were washed four times in TBS-T, incubated with secondary antibodies for 1 h at room temperature, washed again four times then imaged. Secondary antibodies used were Goat anti-Rabbit 800CW & Goat anti-Mouse 680RD at 1/20,000 dilution.

All lanes:

Western blot - Anti-DEK antibody [EPR20401] (ab221545) at 1/2000 dilution

Lane 1:

Wild-type HeLa ab271142 at 20 µg

Lane 2:

Western blot - Human DEK knockout HeLa cell line (ab274942) at 20 µg

Lane 3:

T-47D at 20 µg

Lane 4:

K562 at 20 µg

Secondary

All lanes:

Goat anti-Rabbit 800CW & Goat anti-Mouse 680RD at 1/20000 dilution

Predicted band size: 52 kDa

Observed band size: 52 kDa

false

Immunocytochemistry/ Immunofluorescence - Anti-DEK antibody [EPR20401] (AB221545)
  • ICC/IF

Supplier Data

Immunocytochemistry/ Immunofluorescence - Anti-DEK antibody [EPR20401] (AB221545)

Immunofluorescent analysis of 4% paraformaldehyde-fixed 0.1% Triton X-100 permeabilized HeLa (human epithelial cell line from cervix adenocarcinoma) cells labeling DEK with ab221545 at 1/500 dilution followed by Goat Anti-Rabbit IgG H&L (Alexa Fluor® 488) (ab150077) secondary antibody at 1/1000 dilution (green). Confocal image showing nuclear and weak cytoplasmic staining on HeLa cell line.

The nuclear counter stain is DAPI (blue). Tubulin is detected with Anti-alpha Tubulin antibody [DM1A] - Microtubule Marker (Alexa Fluor® 594) (ab195889) (red) at 1/200 dilution.

Secondary antibody only control : Used PBS instead of primary antibody secondary antibody is Goat Anti-Rabbit IgG H&L (Alexa Fluor® 488) (ab150077) secondary antibody at 1/1000 dilution.

Immunohistochemistry (Formalin/PFA-fixed paraffin-embedded sections) - Anti-DEK antibody [EPR20401] (AB221545)
  • IHC-P

Supplier Data

Immunohistochemistry (Formalin/PFA-fixed paraffin-embedded sections) - Anti-DEK antibody [EPR20401] (AB221545)

Immunohistochemical analysis of paraffin-embedded human colon tissue labeling DEK with ab221545 at 1/500 dilution followed by Goat Anti-Rabbit IgG H&L (HRP) Ready to use. Nuclear staining on human colon is observed (PMID : 23902796). Counter stained with hematoxylin.

Secondary antibody only control : Used PBS instead of primary antibody secondary antibody is Goat Anti-Rabbit IgG H&L (HRP) Ready to use.

Perform heat mediated antigen retrieval with Tris/EDTA buffer pH 9.0 before commencing with IHC staining protocol.

Western blot - Anti-DEK antibody [EPR20401] (AB221545)
  • WB

Supplier Data

Western blot - Anti-DEK antibody [EPR20401] (AB221545)

Blocking/Dilution buffer : 5% NFDM/TBST.

All lanes:

Western blot - Anti-DEK antibody [EPR20401] (ab221545) at 1/2000 dilution

Lane 1:

Human fetal brain lysate at 10 µg

Lane 2:

Human fetal heart lysate at 10 µg

Lane 3:

Human fetal kidney lysate at 10 µg

Secondary

All lanes:

Goat Anti-Rabbit IgG Peroxidase Conjugate, specific to the non-reduced form of IgG at 1/4000 dilution

Predicted band size: 42 kDa

Observed band size: 50 kDa

true

Exposure time: 3min

Immunohistochemistry (Formalin/PFA-fixed paraffin-embedded sections) - Anti-DEK antibody [EPR20401] (AB221545)
  • IHC-P

Supplier Data

Immunohistochemistry (Formalin/PFA-fixed paraffin-embedded sections) - Anti-DEK antibody [EPR20401] (AB221545)

Immunohistochemical analysis of paraffin-embedded human colon cancer tissue labeling DEK with ab221545 at 1/500 dilution followed by Goat Anti-Rabbit IgG H&L (HRP) Ready to use. Strong nuclear staining on human colon cancer is observed (PMID : 23902796). Counter stained with hematoxylin.

Secondary antibody only control : Used PBS instead of primary antibody secondary antibody is Goat Anti-Rabbit IgG H&L (HRP) Ready to use.

Perform heat mediated antigen retrieval with Tris/EDTA buffer pH 9.0 before commencing with IHC staining protocol.

Immunohistochemistry (Formalin/PFA-fixed paraffin-embedded sections) - Anti-DEK antibody [EPR20401] (AB221545)
  • IHC-P

Supplier Data

Immunohistochemistry (Formalin/PFA-fixed paraffin-embedded sections) - Anti-DEK antibody [EPR20401] (AB221545)

Immunohistochemical analysis of paraffin-embedded human gastric cancer tissue labeling DEK with ab221545 at 1/500 dilution followed by Goat Anti-Rabbit IgG H&L (HRP) Ready to use. Nuclear staining on human gastric cancer is observed (PMID : 26998084). Counter stained with hematoxylin.

Secondary antibody only control : Used PBS instead of primary antibody secondary antibody is Goat Anti-Rabbit IgG H&L (HRP) Ready to use.

Perform heat mediated antigen retrieval with Tris/EDTA buffer pH 9.0 before commencing with IHC staining protocol.

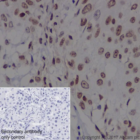
Immunohistochemistry (Formalin/PFA-fixed paraffin-embedded sections) - Anti-DEK antibody [EPR20401] (AB221545)
  • IHC-P

Supplier Data

Immunohistochemistry (Formalin/PFA-fixed paraffin-embedded sections) - Anti-DEK antibody [EPR20401] (AB221545)

Immunohistochemical analysis of paraffin-embedded human lung cancer tissue labeling DEK with ab221545 at 1/500 dilution followed by Goat Anti-Rabbit IgG H&L (HRP) Ready to use. Nuclear staining on human lung cancer is observed. Counter stained with hematoxylin.

Secondary antibody only control : Used PBS instead of primary antibody secondary antibody is Goat Anti-Rabbit IgG H&L (HRP) Ready to use.

Perform heat mediated antigen retrieval with Tris/EDTA buffer pH 9.0 before commencing with IHC staining protocol.

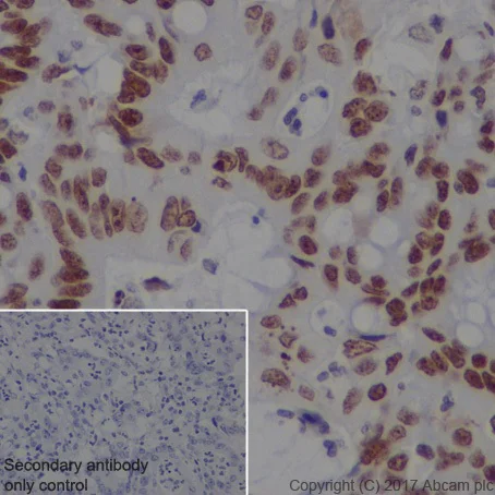
Immunohistochemistry (Formalin/PFA-fixed paraffin-embedded sections) - Anti-DEK antibody [EPR20401] (AB221545)
  • IHC-P

Supplier Data

Immunohistochemistry (Formalin/PFA-fixed paraffin-embedded sections) - Anti-DEK antibody [EPR20401] (AB221545)

Immunohistochemical analysis of paraffin-embedded human breast cancer tissue labeling DEK with ab221545 at 1/500 dilution followed by Goat Anti-Rabbit IgG H&L (HRP) Ready to use. Weak cytoplasmic and strong nuclear staining on human breast cancer is observed (PMID : 26459608). Counter stained with hematoxylin.

Secondary antibody only control : Used PBS instead of primary antibody secondary antibody is Goat Anti-Rabbit IgG H&L (HRP) Ready to use.

Perform heat mediated antigen retrieval with Tris/EDTA buffer pH 9.0 before commencing with IHC staining protocol.

Immunoprecipitation - Anti-DEK antibody [EPR20401] (AB221545)
  • IP

Supplier Data

Immunoprecipitation - Anti-DEK antibody [EPR20401] (AB221545)

DEK was immunoprecipitated from 0.35 mg of HeLa (human epithelial cell line from cervix adenocarcinoma) whole cell lysate with ab221545 at 1/30 dilution. Western blot was performed from the immunoprecipitate using ab221545 at 1/1000 dilution. VeriBlot for IP Detection Reagent (HRP) (ab131366), was used for detection at 1/10000 dilution.

Lane 1 : HeLa whole cell lysate 10 μg (Input).

Lane 2 : ab221545 IP in HeLa whole cell lysate.

Lane 3 : Rabbit monoclonal IgG (ab172730) instead of ab221545 in HeLa whole cell lysate.

Blocking and dilution buffer and concentration : 5% NFDM/TBST.

Exposure time : 3 seconds.

All lanes:

Immunoprecipitation - Anti-DEK antibody [EPR20401] (ab221545)

Predicted band size: 42 kDa

false

Immunocytochemistry/ Immunofluorescence - Anti-DEK antibody [EPR20401] (AB221545)
  • ICC/IF

Supplier Data

Immunocytochemistry/ Immunofluorescence - Anti-DEK antibody [EPR20401] (AB221545)

Immunofluorescent analysis of 4% paraformaldehyde-fixed 0.1% Triton X-100 permeabilized HEK-293T (human epithelial cell line from embryonic kidney transformed with large T antigen) cells labeling DEK with ab221545 at 1/500 dilution followed by Goat Anti-Rabbit IgG H&L (Alexa Fluor® 488) (ab150077) secondary antibody at 1/1000 dilution (green). Confocal image showing nuclear and weak cytoplasmic staining on HEK-293T cell line.

The nuclear counter stain is DAPI (blue). Tubulin is detected with Anti-alpha Tubulin antibody [DM1A] - Microtubule Marker (Alexa Fluor® 594) (ab195889) (red) at 1/200 dilution.

Secondary antibody only control : Used PBS instead of primary antibody secondary antibody is Goat Anti-Rabbit IgG H&L (Alexa Fluor® 488) (ab150077) secondary antibody at 1/1000 dilution.

Immunocytochemistry/ Immunofluorescence - Anti-DEK antibody [EPR20401] (AB221545)
  • ICC/IF

Supplier Data

Immunocytochemistry/ Immunofluorescence - Anti-DEK antibody [EPR20401] (AB221545)

Immunofluorescent analysis of 4% paraformaldehyde-fixed 0.1% Triton X-100 permeabilized K562 (human chronic myelogenous leukemia cell line from bone marrow) cells labeling DEK with ab221545 at 1/500 dilution followed by Goat Anti-Rabbit IgG H&L (Alexa Fluor® 488) (ab150077) secondary antibody at 1/1000 dilution (green). Confocal image showing nuclear and weak cytoplasmic staining on K562 cell line.

The nuclear counter stain is DAPI (blue). Tubulin is detected with Anti-alpha Tubulin antibody [DM1A] - Microtubule Marker (Alexa Fluor® 594) (ab195889) (red) at 1/200 dilution.

Secondary antibody only control : Used PBS instead of primary antibody secondary antibody is Goat Anti-Rabbit IgG H&L (Alexa Fluor® 488) (ab150077) secondary antibody at 1/1000 dilution.

Flow Cytometry (Intracellular) - Anti-DEK antibody [EPR20401] (AB221545)
  • Flow Cyt (Intra)

Supplier Data

Flow Cytometry (Intracellular) - Anti-DEK antibody [EPR20401] (AB221545)

Intracellular flow cytometric analysis of 4% paraformaldehyde-fixed K562 (human chronic myelogenous leukemia cell line from bone marrow) cell line labeling DEK with ab221545 at 1/500 dilution (red) compared with a Rabbit IgG, monoclonal [EPR25A] - Isotype Control (ab172730) (black) and an unlabeled control (cells without incubation with primary antibody and secondary antibody) (blue). Goat Anti-Rabbit IgG H&L (Alexa Fluor® 488) (ab150077) at 1/2000 dilution was used as the secondary antibody.

  • Carrier free

    Anti-DEK antibody [EPR20401] - BSA and Azide free

Key facts

Host species

Rabbit

Clonality

Monoclonal

Clone number

EPR20401

Isotype

IgG

Carrier free

No

Reacts with

Human

Applications

WB, IHC-P, Flow Cyt (Intra), ICC/IF, IP

applications

Immunogen

The exact immunogen used to generate this antibody is proprietary information.

Reactivity data

{ "title": "Reactivity Data", "filters": { "stats": ["", "Species", "Dilution Info", "Notes"], "tabs": { "all-applications": {"fullname" : "All Applications", "shortname": "All Applications"}, "IP" : {"fullname" : "Immunoprecipitation", "shortname":"IP"}, "WB" : {"fullname" : "Western blot", "shortname":"WB"}, "ICCIF" : {"fullname" : "Immunocytochemistry/ Immunofluorescence", "shortname":"ICC/IF"}, "FlowCytIntra" : {"fullname" : "Flow Cytometry (Intracellular)", "shortname":"Flow Cyt (Intra)"}, "IHCP" : {"fullname" : "Immunohistochemistry (Formalin/PFA-fixed paraffin-embedded sections)", "shortname":"IHC-P"} }, "product-promise": { "all": "all", "testedAndGuaranteed": "tested", "guaranteed": "expected", "predicted": "predicted", "notRecommended": "not-recommended" } }, "values": { "Human": { "IP-species-checked": "testedAndGuaranteed", "IP-species-dilution-info": "1/30", "IP-species-notes": "<p></p> Perform heat-mediated antigen retrieval with Tris/EDTA buffer pH 9.0 before commencing with IHC staining protocol.", "WB-species-checked": "testedAndGuaranteed", "WB-species-dilution-info": "1/2000", "WB-species-notes": "<p></p>", "ICCIF-species-checked": "testedAndGuaranteed", "ICCIF-species-dilution-info": "1/500", "ICCIF-species-notes": "<p></p>", "FlowCytIntra-species-checked": "testedAndGuaranteed", "FlowCytIntra-species-dilution-info": "1/500", "FlowCytIntra-species-notes": "<p></p>", "IHCP-species-checked": "testedAndGuaranteed", "IHCP-species-dilution-info": "1/500", "IHCP-species-notes": "<p></p> Perform heat-mediated antigen retrieval with Tris/EDTA buffer pH 9.0 before commencing with IHC staining protocol." } } }

Product details

Patented technology
Our RabMAb® technology is a patented hybridoma-based technology for making rabbit monoclonal antibodies. For details on our patents, please refer to RabMAb® patents.

What are the advantages of a recombinant monoclonal antibody?
This product is a recombinant monoclonal antibody, which offers several advantages including:

  • - High batch-to-batch consistency and reproducibility
  • - Improved sensitivity and specificity
  • - Long-term security of supply
  • - Animal-free batch production

For more information, read more on recombinant antibodies.

Properties and storage information

Form
Liquid
Purification technique
Affinity purification Protein A
Storage buffer
pH: 7.2 - 7.4 Preservative: 0.01% Sodium azide Constituents: PBS, 40% Glycerol (glycerin, glycerine), 0.05% BSA
Shipped at conditions
Blue Ice
Appropriate short-term storage duration
1-2 weeks
Appropriate short-term storage conditions
+4°C
Appropriate long-term storage conditions
-20°C
Aliquoting information
Upon delivery aliquot
Storage information
Avoid freeze / thaw cycle

Supplementary information

This supplementary information is collated from multiple sources and compiled automatically.

DEK is a nuclear phosphoprotein with an approximate mass of 45 kDa. Researchers often study DEK in the context of its function in chromatin organization and transcription regulation as it serves as an architectural chromatin protein. DEK expression is ubiquitous found in various tissues with high levels in actively dividing cells. It is essential in processes that require dynamic chromatin remodeling.
Biological function summary

DEK plays a role in maintaining genomic integrity and regulating transcription. It operates within a complex that interacts with histone proteins to modulate chromatin structure. DEK also affects mRNA splicing by interacting with the spliceosomal complex further underlining its role in transcription control. As a multifunctional protein DEK helps coordinate several essential cellular activities.

Pathways

DEK integrates into the p53 and Wnt signaling pathways. It influences cell cycle control and apoptosis within the p53 pathway interacting with proteins like MDM2 to affect p53 stability. Within the Wnt pathway DEK contributes to cell proliferation and differentiation by affecting beta-catenin levels and interacting with transcription factors involved in Wnt target gene expression.

DEK has strong connections to various types of cancers and autoimmune diseases. DEK overexpression is often associated with tumorigenesis particularly in acute myeloid leukemia where it collaborates with NUP214 fusion partners. In autoimmune disorders like systemic lupus erythematosus DEK may become an autoantigen and its interaction with proteins such as nucleolin could contribute to disease pathogenesis.

Product protocols

For this product, it's our understanding that no specific protocols are required. You can visit:

Target data

Involved in chromatin organization.
See full target information DEK

Publications (2)

Recent publications for all applications. Explore the full list and refine your search

Cancer management and research 12:8137-8147 PubMed32982411

2020

MiR-138-5p Inhibits the Proliferation of Gastric Cancer Cells by Targeting DEK.

Applications

Unspecified application

Species

Unspecified reactive species

Wei Zhang,Kai Liao,Dongning Liu

Molecular medicine reports 17:1065-1070 PubMed29115492

2017

Epithelial‑mesenchymal transition in colorectal carcinoma cells is mediated by DEK/IMP3.

Applications

Unspecified application

Species

Unspecified reactive species

Shuping You,Yun Guan,Weihong Li
View all publications

Product promise

We are committed to supporting your work with high-quality reagents, and we're here for you every step of the way. In the unlikely event that one of our products does not perform as expected, you're protected by our Product Promise.
For full details, please see our Terms & Conditions

Associated Products

Select an associated product type
Alternative Product
Primary Antibodies

AB166624

Anti-DEK antibody [EPR11034]

primary-antibodies

dek-antibody-epr11034-ab166624

0

(0 reviews)

Please note: All products are 'FOR RESEARCH USE ONLY. NOT FOR USE IN DIAGNOSTIC OR THERAPEUTIC PROCEDURES'.

For licensing inquiries, please contact partnerships@abcam.com