JavaScript is disabled in your browser. Please enable JavaScript to view this website.
AB64479

Anti-delta 1 Catenin/CAS antibody

Be the first to review this product! Submit a review

|

(2 Publications)

Rabbit Polyclonal delta 1 Catenin/CAS antibody. Suitable for IHC-P and reacts with Human samples. Cited in 2 publications.

View Alternative Names

KIAA0384, CTNND1, Catenin delta-1, Cadherin-associated Src substrate, p120 catenin, p120(cas), CAS, p120(ctn)

1 Images
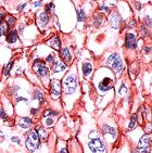
Immunohistochemistry (Formalin/PFA-fixed paraffin-embedded sections) - Anti-delta 1 Catenin/CAS antibody (AB64479)
  • IHC-P

Unknown

Immunohistochemistry (Formalin/PFA-fixed paraffin-embedded sections) - Anti-delta 1 Catenin/CAS antibody (AB64479)

ab64479, at a dilution of 1/100, staining delta 1 Catenin/CAS in formalin fixed, paraffin embedded human breast carcinoma tissue by Immunohistochemistry.

Key facts

Host species

Rabbit

Clonality

Polyclonal

Isotype

IgG

Carrier free

No

Reacts with

Human

Applications

IHC-P

applications

Immunogen

The exact immunogen used to generate this antibody is proprietary information.

Reactivity data

{ "title": "Reactivity Data", "filters": { "stats": ["", "Species", "Dilution Info", "Notes"], "tabs": { "all-applications": {"fullname" : "All Applications", "shortname": "All Applications"}, "IHCP" : {"fullname" : "Immunohistochemistry (Formalin/PFA-fixed paraffin-embedded sections)", "shortname":"IHC-P"} }, "product-promise": { "all": "all", "testedAndGuaranteed": "tested", "guaranteed": "expected", "predicted": "predicted", "notRecommended": "not-recommended" } }, "values": { "Human": { "IHCP-species-checked": "testedAndGuaranteed", "IHCP-species-dilution-info": "1/100", "IHCP-species-notes": "<p>1/100 for 30 min at room temperature.</p>" } } }

Properties and storage information

Form
Liquid
Purification technique
Affinity purification Immunogen
Storage buffer
pH: 7.6 Preservative: 0.1% Sodium azide Constituents: PBS, 1% BSA
Shipped at conditions
Blue Ice
Appropriate long-term storage conditions
-20°C
Aliquoting information
Upon delivery aliquot
Storage information
Avoid freeze / thaw cycle

Supplementary information

This supplementary information is collated from multiple sources and compiled automatically.

Delta 1 Catenin also known as CAS or δ-catenin is a member of the p120-catenin subfamily weighing around 122 kDa. It is predominantly expressed in the central nervous system where it localizes at the synapses. Apart from its neural distribution delta 1 Catenin also appears in epithelial tissues. This protein plays an important role in cell-cell adhesion by interacting with cadherins at the cytoplasmic side of the plasma membrane thereby facilitating the formation and maintenance of adherens junctions.
Biological function summary

Delta 1 Catenin participates in the regulation of synaptic stability and plasticity. As part of a protein complex it binds to the juxtamembrane domain of cadherins influencing actin cytoskeletal dynamics. Through this interaction delta 1 Catenin modulates signal transduction pathways that are essential for neuronal differentiation and synapse formation. In epithelial cells it is also involved in creating cell shapes and promoting tissue integrity.

Pathways

Delta 1 Catenin is essential in the Wnt signaling and Rho GTPase pathways. Within these pathways its interaction with E-cadherin and other catenins influences gene expression and cellular behaviors like migration and proliferation. The Wnt signaling pathway includes proteins such as β-catenin which works alongside delta 1 Catenin to regulate transcriptional activities pivotal for developmental processes and cancer progression.

Delta 1 Catenin has associations with neurodegenerative diseases and certain cancers. In Alzheimer’s disease alterations in delta 1 Catenin may disrupt synaptic connectivity contributing to cognitive decline. In cancer particularly prostate and colorectal its interaction with proteins like β-catenin potentially leads to changes in cell adhesion and metastasis. Such involvement makes delta 1 Catenin a significant target for therapeutic intervention.

Product protocols

For this product, it's our understanding that no specific protocols are required. You can visit:

Target data

Key regulator of cell-cell adhesion that associates with and regulates the cell adhesion properties of both C-, E- and N-cadherins, being critical for their surface stability (PubMed : 14610055, PubMed : 20371349). Promotes localization and retention of DSG3 at cell-cell junctions, via its interaction with DSG3 (PubMed : 18343367). Beside cell-cell adhesion, regulates gene transcription through several transcription factors including ZBTB33/Kaiso2 and GLIS2, and the activity of Rho family GTPases and downstream cytoskeletal dynamics (PubMed : 10207085, PubMed : 20371349). Implicated both in cell transformation by SRC and in ligand-induced receptor signaling through the EGF, PDGF, CSF-1 and ERBB2 receptors (PubMed : 17344476).
See full target information CTNND1

Publications (2)

Recent publications for all applications. Explore the full list and refine your search

PloS one 15:e0241484 PubMed33151982

2020

High expression of Tie-2 predicts poor prognosis in primary high grade serous ovarian cancer.

Applications

Unspecified application

Species

Unspecified reactive species

Minna Sopo,Hanna Sallinen,Kirsi Hämäläinen,Annukka Kivelä,Seppo Ylä-Herttuala,Veli-Matti Kosma,Leea Keski-Nisula,Maarit Anttila

Oncology letters 20:1462-1468 PubMed32724389

2020

Role of ubiquitin-conjugating enzyme E2T in the carcinogenesis and progression of pancreatic cancer.

Applications

Unspecified application

Species

Unspecified reactive species

Yuan-Wen Zheng,Peng-Fei Gao,Ming-Ze Ma,Yong Chen,Chun-You Li
View all publications

Product promise

We are committed to supporting your work with high-quality reagents, and we're here for you every step of the way. In the unlikely event that one of our products does not perform as expected, you're protected by our Product Promise.
For full details, please see our Terms & Conditions

Please note: All products are 'FOR RESEARCH USE ONLY. NOT FOR USE IN DIAGNOSTIC OR THERAPEUTIC PROCEDURES'.

For licensing inquiries, please contact partnerships@abcam.com