JavaScript is disabled in your browser. Please enable JavaScript to view this website.
AB32095

Anti-delta 1 Catenin/CAS antibody [YE372]

3

(1 Review)

|

(2 Publications)

Rabbit Recombinant Monoclonal delta 1 Catenin/CAS antibody. Suitable for IHC-P, IP, WB, Flow Cyt (Intra) and reacts with Human samples. Cited in 2 publications.

View Alternative Names

KIAA0384, CTNND1, Catenin delta-1, Cadherin-associated Src substrate, p120 catenin, p120(cas), CAS, p120(ctn)

4 Images
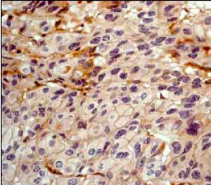
Immunohistochemistry (Formalin/PFA-fixed paraffin-embedded sections) - Anti-delta 1 Catenin/CAS antibody [YE372] (AB32095)
  • IHC-P

Unknown

Immunohistochemistry (Formalin/PFA-fixed paraffin-embedded sections) - Anti-delta 1 Catenin/CAS antibody [YE372] (AB32095)

ab32095 at a 1/100 dilution staining delta 1 Catenin/CAS in human breast carcinoma using Immunohistochemistry Paraffin Embedded Tissue.

Perform heat mediated antigen retrieval with citrate buffer pH 6 before commencing with IHC staining protocol.

Flow Cytometry (Intracellular) - Anti-delta 1 Catenin/CAS antibody [YE372] (AB32095)
  • Flow Cyt (Intra)

Lab

Flow Cytometry (Intracellular) - Anti-delta 1 Catenin/CAS antibody [YE372] (AB32095)

Intracellular Flow Cytometry analysis of HeLa (Human cervix adenocarcinoma epithelial cell) cells labeling delta 1 Catenin/CAS with purified ab32095 at 1/100 dilution (10 μg/mL) (Red). Cells were fixed with 4% Paraformaldehyde and permeabilised with 90% Methanol. A Goat anti rabbit IgG (Alexa Fluor® 488, ab150077) secondary antibody was used at 1/2000. Isotype control - Rabbit monoclonal IgG (Black). Unlabeled control - Cells without incubation with primary antibody and secondary antibody (Blue).

Immunoprecipitation - Anti-delta 1 Catenin/CAS antibody [YE372] (AB32095)
  • IP

Lab

Immunoprecipitation - Anti-delta 1 Catenin/CAS antibody [YE372] (AB32095)

Purified ab32095 at 1/50 dilution (2μg) immunoprecipitating delta 1 Catenin/CAS in HeLa whole cell lysate.
Lane 1 (input) : HeLa (Human cervix adenocarcinoma epithelial cell) whole cell lysate 10μg
Lane 2 (+) : ab32095 + HeLa whole cell lysate.
Lane 3 (-) : Rabbit monoclonal IgG (ab172730) instead of ab32095 in HeLa whole cell lysate.
VeriBlot for IP Detection Reagent (HRP) (ab131366) (1/1000 dilution) was used for Western blotting.
Blocking Buffer and concentration : 5% NFDM/TBST.
Diluting buffer and concentration : 5% NFDM/TBST.
Observed band size : 120 kDa
Multi-bands could be isoforms of delta 1 Catenin based on Uniprot.

All lanes:

Immunoprecipitation - Anti-delta 1 Catenin/CAS antibody [YE372] (ab32095)

Predicted band size: 108 kDa

false

Western blot - Anti-delta 1 Catenin/CAS antibody [YE372] (AB32095)
  • WB

Unknown

Western blot - Anti-delta 1 Catenin/CAS antibody [YE372] (AB32095)

All lanes:

Western blot - Anti-delta 1 Catenin/CAS antibody [YE372] (ab32095) at 1/5000 dilution

All lanes:

HeLa (Human cervix adenocarcinoma epithelial cell) whole cell lysate

Predicted band size: 108 kDa

Observed band size: 120 kDa

false

  • 519 Alexa Fluor® 488

    Alexa Fluor® 488 Anti-delta 1 Catenin/CAS antibody [YE372]

  • Carrier free

    Anti-delta 1 Catenin/CAS antibody [YE372] - BSA and Azide free

Key facts

Host species

Rabbit

Clonality

Monoclonal

Clone number

YE372

Isotype

IgG

Carrier free

No

Reacts with

Human

Applications

WB, IP, IHC-P, Flow Cyt (Intra)

applications

Immunogen

The exact immunogen used to generate this antibody is proprietary information.

Epitope

ab32095 reacts with an epitope located in the N terminal region of delta 1 Catenin

Specificity

This antibody is specific for human delta 1 Catenin/CAS (isoform 1ABC and 968AA). It also detects splice isoforms 1, 1A, 1B, 1C, 1AB, 1AC, 1BC, 2, 2A, 2B, 2C, 2AB, 2AC, 2BC and 2ABC of delta 1 Catenin/CAS.

Reactivity data

{ "title": "Reactivity Data", "filters": { "stats": ["", "Species", "Dilution Info", "Notes"], "tabs": { "all-applications": {"fullname" : "All Applications", "shortname": "All Applications"}, "IHCP" : {"fullname" : "Immunohistochemistry (Formalin/PFA-fixed paraffin-embedded sections)", "shortname":"IHC-P"}, "IP" : {"fullname" : "Immunoprecipitation", "shortname":"IP"}, "WB" : {"fullname" : "Western blot", "shortname":"WB"}, "FlowCytIntra" : {"fullname" : "Flow Cytometry (Intracellular)", "shortname":"Flow Cyt (Intra)"} }, "product-promise": { "all": "all", "testedAndGuaranteed": "tested", "guaranteed": "expected", "predicted": "predicted", "notRecommended": "not-recommended" } }, "values": { "Human": { "IHCP-species-checked": "testedAndGuaranteed", "IHCP-species-dilution-info": "", "IHCP-species-notes": "<p></p>", "IP-species-checked": "testedAndGuaranteed", "IP-species-dilution-info": "1/50", "IP-species-notes": "<p></p>", "WB-species-checked": "testedAndGuaranteed", "WB-species-dilution-info": "1/1000 - 1/5000", "WB-species-notes": "<p></p>", "FlowCytIntra-species-checked": "testedAndGuaranteed", "FlowCytIntra-species-dilution-info": "1/100", "FlowCytIntra-species-notes": "<p><a href='/en-us/products/primary-antibodies/rabbit-igg-monoclonal-epr25a-isotype-control-ab172730'>ab172730</a> - Rabbit monoclonal IgG, is suitable for use as an isotype control with this antibody.</p>" } } }

Product details

Patented technology
Our RabMAb® technology is a patented hybridoma-based technology for making rabbit monoclonal antibodies. For details on our patents, please refer to RabMAb® patents.

What are the advantages of a recombinant monoclonal antibody?
This product is a recombinant monoclonal antibody, which offers several advantages including:

  • - High batch-to-batch consistency and reproducibility
  • - Improved sensitivity and specificity
  • - Long-term security of supply
  • - Animal-free batch production

For more information, read more on recombinant antibodies.

Properties and storage information

Form
Liquid
Purification technique
Affinity purification Protein A
Storage buffer
pH: 7.2 - 7.4 Preservative: 0.01% Sodium azide Constituents: PBS, 50% Glycerol (glycerin, glycerine), 0.05% BSA
Shipped at conditions
Blue Ice
Appropriate short-term storage conditions
+4°C
Appropriate long-term storage conditions
-20°C
Aliquoting information
Upon delivery aliquot
Storage information
Avoid freeze / thaw cycle

Supplementary information

This supplementary information is collated from multiple sources and compiled automatically.

Delta 1 Catenin also known as CAS or δ-catenin is a member of the p120-catenin subfamily weighing around 122 kDa. It is predominantly expressed in the central nervous system where it localizes at the synapses. Apart from its neural distribution delta 1 Catenin also appears in epithelial tissues. This protein plays an important role in cell-cell adhesion by interacting with cadherins at the cytoplasmic side of the plasma membrane thereby facilitating the formation and maintenance of adherens junctions.
Biological function summary

Delta 1 Catenin participates in the regulation of synaptic stability and plasticity. As part of a protein complex it binds to the juxtamembrane domain of cadherins influencing actin cytoskeletal dynamics. Through this interaction delta 1 Catenin modulates signal transduction pathways that are essential for neuronal differentiation and synapse formation. In epithelial cells it is also involved in creating cell shapes and promoting tissue integrity.

Pathways

Delta 1 Catenin is essential in the Wnt signaling and Rho GTPase pathways. Within these pathways its interaction with E-cadherin and other catenins influences gene expression and cellular behaviors like migration and proliferation. The Wnt signaling pathway includes proteins such as β-catenin which works alongside delta 1 Catenin to regulate transcriptional activities pivotal for developmental processes and cancer progression.

Delta 1 Catenin has associations with neurodegenerative diseases and certain cancers. In Alzheimer’s disease alterations in delta 1 Catenin may disrupt synaptic connectivity contributing to cognitive decline. In cancer particularly prostate and colorectal its interaction with proteins like β-catenin potentially leads to changes in cell adhesion and metastasis. Such involvement makes delta 1 Catenin a significant target for therapeutic intervention.

Product protocols

For this product, it's our understanding that no specific protocols are required. You can visit:

Target data

Key regulator of cell-cell adhesion that associates with and regulates the cell adhesion properties of both C-, E- and N-cadherins, being critical for their surface stability (PubMed : 14610055, PubMed : 20371349). Promotes localization and retention of DSG3 at cell-cell junctions, via its interaction with DSG3 (PubMed : 18343367). Beside cell-cell adhesion, regulates gene transcription through several transcription factors including ZBTB33/Kaiso2 and GLIS2, and the activity of Rho family GTPases and downstream cytoskeletal dynamics (PubMed : 10207085, PubMed : 20371349). Implicated both in cell transformation by SRC and in ligand-induced receptor signaling through the EGF, PDGF, CSF-1 and ERBB2 receptors (PubMed : 17344476).
See full target information CTNND1

Publications (2)

Recent publications for all applications. Explore the full list and refine your search

Scientific reports 15:29716 PubMed40804095

2025

Methylation-induced suppression of BEX1 activates AKT/ERK/STAT3 signaling pathways regulating cell cycle and apoptosis in glioma.

Applications

Unspecified application

Species

Unspecified reactive species

Li-Zhi Xiao,Shi Feng,Zhen He,Rui Mao,Kai Qian,Zhi-Ying Zhou,Huabao Cai,Mengyu Zhao,Cunzhi Wang,Tianhang Yu,Zi-Yu Zhao,Jie Li

Nature cell biology 22:97-107 PubMed31907411

2020

p120-catenin-dependent collective brain infiltration by glioma cell networks.

Applications

Unspecified application

Species

Unspecified reactive species

Pavlo G Gritsenko,Nader Atlasy,Cindy E J Dieteren,Anna C Navis,Jan-Hendrik Venhuizen,Cornelia Veelken,Dirk Schubert,Amparo Acker-Palmer,Bart A Westerman,Thomas Wurdinger,William Leenders,Pieter Wesseling,Hendrik G Stunnenberg,Peter Friedl
View all publications

Product promise

We are committed to supporting your work with high-quality reagents, and we're here for you every step of the way. In the unlikely event that one of our products does not perform as expected, you're protected by our Product Promise.
For full details, please see our Terms & Conditions

Please note: All products are 'FOR RESEARCH USE ONLY. NOT FOR USE IN DIAGNOSTIC OR THERAPEUTIC PROCEDURES'.

For licensing inquiries, please contact partnerships@abcam.com