JavaScript is disabled in your browser. Please enable JavaScript to view this website.
AB79400

Anti-delta 1 Catenin/CAS (phospho T916) antibody [EPR2383]

Be the first to review this product! Submit a review

|

(1 Publication)

Rabbit Recombinant Monoclonal delta 1 Catenin/CAS phospho T916 antibody. Suitable for WB, IHC-P and reacts with Human samples. Cited in 1 publication.

View Alternative Names

KIAA0384, CTNND1, Catenin delta-1, Cadherin-associated Src substrate, p120 catenin, p120(cas), CAS, p120(ctn)

2 Images
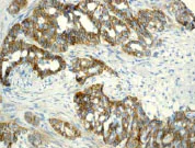
Immunohistochemistry (Formalin/PFA-fixed paraffin-embedded sections) - Anti-delta 1 Catenin/CAS (phospho T916) antibody [EPR2383] (AB79400)
  • IHC-P

Unknown

Immunohistochemistry (Formalin/PFA-fixed paraffin-embedded sections) - Anti-delta 1 Catenin/CAS (phospho T916) antibody [EPR2383] (AB79400)

ab79400 at 1/100 dilution staining delta 1 Catenin/CAS in human ovarian carcinoma by Immunohistochemistry using paraffin-embedded tissue.

Perform heat mediated antigen retrieval with EDTA buffer pH 9 before commencing with IHC staining protocol.

Western blot - Anti-delta 1 Catenin/CAS (phospho T916) antibody [EPR2383] (AB79400)
  • WB

Unknown

Western blot - Anti-delta 1 Catenin/CAS (phospho T916) antibody [EPR2383] (AB79400)

All lanes:

Western blot - Anti-delta 1 Catenin/CAS (phospho T916) antibody [EPR2383] (ab79400) at 1/50000 dilution

Lane 1:

293T cell lysates, untreated at 10 µg

Lane 2:

293T cell lysates, treated with calyculin A at 10 µg

Secondary

All lanes:

Goat anti-rabbit HRP at 1/2000 dilution

Predicted band size: 108 kDa

Observed band size: 100 kDa,108 kDa

false

Key facts

Host species

Rabbit

Clonality

Monoclonal

Clone number

EPR2383

Isotype

IgG

Carrier free

No

Reacts with

Human

Applications

IHC-P, WB

applications

Immunogen

The exact immunogen used to generate this antibody is proprietary information.

Reactivity data

{ "title": "Reactivity Data", "filters": { "stats": ["", "Species", "Dilution Info", "Notes"], "tabs": { "all-applications": {"fullname" : "All Applications", "shortname": "All Applications"}, "IP" : {"fullname" : "Immunoprecipitation", "shortname":"IP"}, "FlowCyt" : {"fullname" : "Flow Cytometry", "shortname":"Flow Cyt"}, "WB" : {"fullname" : "Western blot", "shortname":"WB"}, "IHCP" : {"fullname" : "Immunohistochemistry (Formalin/PFA-fixed paraffin-embedded sections)", "shortname":"IHC-P"} }, "product-promise": { "all": "all", "testedAndGuaranteed": "tested", "guaranteed": "expected", "predicted": "predicted", "notRecommended": "not-recommended" } }, "values": { "Human": { "IP-species-checked": "notRecommended", "IP-species-dilution-info": "", "IP-species-notes": "<p></p>", "FlowCyt-species-checked": "notRecommended", "FlowCyt-species-dilution-info": "", "FlowCyt-species-notes": "<p></p>", "WB-species-checked": "testedAndGuaranteed", "WB-species-dilution-info": "1/5000 - 1/50000", "WB-species-notes": "<p></p>", "IHCP-species-checked": "testedAndGuaranteed", "IHCP-species-dilution-info": "1/100 - 1/250", "IHCP-species-notes": "<p></p>" } } }

Product details

Species reactivity
Mouse, Rat: We have preliminary internal testing data to indicate this antibody may not react with these species.
Please contact us for more information.

Patented technology
Our RabMAb® technology is a patented hybridoma-based technology for making rabbit monoclonal antibodies. For details on our patents, please refer to RabMAb® patents.

What are the advantages of a recombinant monoclonal antibody?
This product is a recombinant monoclonal antibody, which offers several advantages including:

  • - High batch-to-batch consistency and reproducibility
  • - Improved sensitivity and specificity
  • - Long-term security of supply
  • - Animal-free batch production

For more information, read more on recombinant antibodies.

Properties and storage information

Form
Liquid
Purification technique
Affinity purification Protein A
Storage buffer
pH: 7.2 - 7.4 Preservative: 0.01% Sodium azide Constituents: PBS, 50% Tissue culture supernatant, 40% Glycerol (glycerin, glycerine), 0.05% BSA
Shipped at conditions
Blue Ice
Appropriate short-term storage conditions
+4°C
Appropriate long-term storage conditions
-20°C
Storage information
Stable for 12 months at -20°C

Supplementary information

This supplementary information is collated from multiple sources and compiled automatically.

Delta 1 Catenin also known as CAS or δ-catenin is a member of the p120-catenin subfamily weighing around 122 kDa. It is predominantly expressed in the central nervous system where it localizes at the synapses. Apart from its neural distribution delta 1 Catenin also appears in epithelial tissues. This protein plays an important role in cell-cell adhesion by interacting with cadherins at the cytoplasmic side of the plasma membrane thereby facilitating the formation and maintenance of adherens junctions.
Biological function summary

Delta 1 Catenin participates in the regulation of synaptic stability and plasticity. As part of a protein complex it binds to the juxtamembrane domain of cadherins influencing actin cytoskeletal dynamics. Through this interaction delta 1 Catenin modulates signal transduction pathways that are essential for neuronal differentiation and synapse formation. In epithelial cells it is also involved in creating cell shapes and promoting tissue integrity.

Pathways

Delta 1 Catenin is essential in the Wnt signaling and Rho GTPase pathways. Within these pathways its interaction with E-cadherin and other catenins influences gene expression and cellular behaviors like migration and proliferation. The Wnt signaling pathway includes proteins such as β-catenin which works alongside delta 1 Catenin to regulate transcriptional activities pivotal for developmental processes and cancer progression.

Delta 1 Catenin has associations with neurodegenerative diseases and certain cancers. In Alzheimer’s disease alterations in delta 1 Catenin may disrupt synaptic connectivity contributing to cognitive decline. In cancer particularly prostate and colorectal its interaction with proteins like β-catenin potentially leads to changes in cell adhesion and metastasis. Such involvement makes delta 1 Catenin a significant target for therapeutic intervention.

Product protocols

For this product, it's our understanding that no specific protocols are required. You can visit:

Target data

Key regulator of cell-cell adhesion that associates with and regulates the cell adhesion properties of both C-, E- and N-cadherins, being critical for their surface stability (PubMed : 14610055, PubMed : 20371349). Promotes localization and retention of DSG3 at cell-cell junctions, via its interaction with DSG3 (PubMed : 18343367). Beside cell-cell adhesion, regulates gene transcription through several transcription factors including ZBTB33/Kaiso2 and GLIS2, and the activity of Rho family GTPases and downstream cytoskeletal dynamics (PubMed : 10207085, PubMed : 20371349). Implicated both in cell transformation by SRC and in ligand-induced receptor signaling through the EGF, PDGF, CSF-1 and ERBB2 receptors (PubMed : 17344476).
See full target information CTNND1 phospho T916

Publications (1)

Recent publications for all applications. Explore the full list and refine your search

Nature communications 16:7832 PubMed40846865

2025

Centromere protection requires strict mitotic inactivation of the Bloom syndrome helicase complex.

Applications

Unspecified application

Species

Unspecified reactive species

María Fernández-Casañas,Eleftheria Karanika,Umit Aliyaskarova,Tomisin Olukoga,Alex D Herbert,Antony W Oliver,Matthew Day,Adrijana Crncec,Kok-Lung Chan
View all publications

Product promise

We are committed to supporting your work with high-quality reagents, and we're here for you every step of the way. In the unlikely event that one of our products does not perform as expected, you're protected by our Product Promise.
For full details, please see our Terms & Conditions

Please note: All products are 'FOR RESEARCH USE ONLY. NOT FOR USE IN DIAGNOSTIC OR THERAPEUTIC PROCEDURES'.

For licensing inquiries, please contact partnerships@abcam.com