JavaScript is disabled in your browser. Please enable JavaScript to view this website.
AB32403

Anti-delta 1 Catenin/CAS (phospho Y228) antibody [E205]

Be the first to review this product! Submit a review

|

(3 Publications)

Rabbit Recombinant Monoclonal delta 1 Catenin/CAS phospho Y228 antibody. Suitable for WB, IHC-P and reacts with Human samples. Cited in 3 publications.

View Alternative Names

KIAA0384, CTNND1, Catenin delta-1, Cadherin-associated Src substrate, p120 catenin, p120(cas), CAS, p120(ctn)

3 Images
Western blot - Anti-delta 1 Catenin/CAS (phospho Y228) antibody [E205] (AB32403)
  • WB

Unknown

Western blot - Anti-delta 1 Catenin/CAS (phospho Y228) antibody [E205] (AB32403)

All lanes:

Western blot - Anti-delta 1 Catenin/CAS (phospho Y228) antibody [E205] (ab32403)

Lane 1:

HeLa cell lysate, untreated

Lane 2:

HeLa cell lysate, treated with Pervanandate

Lane 3:

HeLa cell lysate, treated with Phosphatase

Predicted band size: 108 kDa

Observed band size: 115 kDa

false

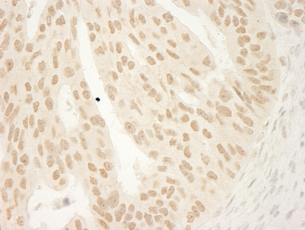
Immunohistochemistry (Formalin/PFA-fixed paraffin-embedded sections) - Anti-delta 1 Catenin/CAS (phospho Y228) antibody [E205] (AB32403)
  • IHC-P

Unknown

Immunohistochemistry (Formalin/PFA-fixed paraffin-embedded sections) - Anti-delta 1 Catenin/CAS (phospho Y228) antibody [E205] (AB32403)

ab32403 at a 1/50 dilution staining delta 1 Catenin/CAS in paraffin embedded breast carcinoma tissue sections by Immunohistochemistry.

Perform heat mediated antigen retrieval with citrate buffer pH 6 before commencing with IHC staining protocol.

Western blot - Anti-delta 1 Catenin/CAS (phospho Y228) antibody [E205] (AB32403)
  • WB

CiteAb

Western blot - Anti-delta 1 Catenin/CAS (phospho Y228) antibody [E205] (AB32403)

delta 1 Catenin/CAS (phospho Y228) western blot using anti-delta 1 Catenin/CAS (phospho Y228) antibody [E205] ab32403. Publication image and figure legend from Park, S. Y., Yoon, S., et al., 2017, Int J Mol Sci, PubMed 29207493.

ab32403 was used in this publication in western blot. This may not be the same as the application(s) guaranteed by Abcam. For a full list of applications guaranteed by Abcam for ab32403 please see the product overview.

90K interacts with E-cadherin, which affects the phosphorylation status of p120-catenin and thereby decreases the p120-catenin/E-cadherin association. (a) 90K was co-immunoprecipitated with E-cadherin and p120-catenin, but not with β-catenin. 293T cells were either transfected or treated with 90K (left panel) or 90K conditioned media (90K/CM) (right panel), followed by immunoprecipitation assay with an anti-myc antibody; (b) 90K/CM treatment decreased the interaction between p120-catenin and E-cadherin. 293T cells were treated with either ctrl/CM or 90K/CM for 16 h and immunoprecipitated with an anti-p120-catenin antibody; (c) Addition of 90K in 293T cell lysate decreased the interaction between p120-catenin and E-cadherin in vitro. Immunoprecipitation assay was performed by anti-p120-catenin antibody using 293T cell lysates added with or without 90K; (d) Knockdown of p120-catenin did not significantly affect the interaction between 90K and E-cadherin. 293T cells were transfected with 90K together with p120-catenin short hairpin RNA (shRNA), which is specific for either canine (C) or human (H) p120-catenin. The shRNA targeting canine p120-catenin, which cannot bind to human p120-catenin, was used as a negative control; (e) 90K/CM treatment affected the phosphorylation status of p120-catenin. 293T cells were treated with either ctrl/CM or 90K/CM for 16 h. p120-Catenin immuno-complex beads were followed by western blot analysis using antibodies against phospho-Ser, phospho-Thr, or phospho-Tyr; (f) 90K/CM treatment decreased phosphorylation of p120-catenin at Tyr-228 residue. 293T cells were treated with either ctrl/CM or 90K/CM for 16 h, and immunoblotted for phospho-Tyr-228-p120-catenin, p120-catenin, E-cadherin, and actin.

false

Key facts

Host species

Rabbit

Clonality

Monoclonal

Clone number

E205

Isotype

IgG

Carrier free

No

Reacts with

Human

Applications

IHC-P, WB

applications

Immunogen

The exact immunogen used to generate this antibody is proprietary information.

Reactivity data

{ "title": "Reactivity Data", "filters": { "stats": ["", "Species", "Dilution Info", "Notes"], "tabs": { "all-applications": {"fullname" : "All Applications", "shortname": "All Applications"}, "ICCIF" : {"fullname" : "Immunocytochemistry/ Immunofluorescence", "shortname":"ICC/IF"}, "FlowCyt" : {"fullname" : "Flow Cytometry", "shortname":"Flow Cyt"}, "WB" : {"fullname" : "Western blot", "shortname":"WB"}, "IHCP" : {"fullname" : "Immunohistochemistry (Formalin/PFA-fixed paraffin-embedded sections)", "shortname":"IHC-P"} }, "product-promise": { "all": "all", "testedAndGuaranteed": "tested", "guaranteed": "expected", "predicted": "predicted", "notRecommended": "not-recommended" } }, "values": { "Human": { "ICCIF-species-checked": "notRecommended", "ICCIF-species-dilution-info": "", "ICCIF-species-notes": "<p></p>", "FlowCyt-species-checked": "notRecommended", "FlowCyt-species-dilution-info": "", "FlowCyt-species-notes": "<p></p>", "WB-species-checked": "testedAndGuaranteed", "WB-species-dilution-info": "1/5000 - 1/20000", "WB-species-notes": "<p></p>", "IHCP-species-checked": "testedAndGuaranteed", "IHCP-species-dilution-info": "1/50", "IHCP-species-notes": "<p></p>" }, "Mouse": { "ICCIF-species-checked": "notRecommended", "ICCIF-species-dilution-info": "", "ICCIF-species-notes": "", "FlowCyt-species-checked": "notRecommended", "FlowCyt-species-dilution-info": "", "FlowCyt-species-notes": "", "WB-species-checked": "predicted", "WB-species-dilution-info": "", "WB-species-notes": "", "IHCP-species-checked": "predicted", "IHCP-species-dilution-info": "", "IHCP-species-notes": "" }, "Rat": { "ICCIF-species-checked": "notRecommended", "ICCIF-species-dilution-info": "", "ICCIF-species-notes": "", "FlowCyt-species-checked": "notRecommended", "FlowCyt-species-dilution-info": "", "FlowCyt-species-notes": "", "WB-species-checked": "predicted", "WB-species-dilution-info": "", "WB-species-notes": "", "IHCP-species-checked": "predicted", "IHCP-species-dilution-info": "", "IHCP-species-notes": "" } } }

Product details

Patented technology
Our RabMAb® technology is a patented hybridoma-based technology for making rabbit monoclonal antibodies. For details on our patents, please refer to RabMAb® patents.

What are the advantages of a recombinant monoclonal antibody?
This product is a recombinant monoclonal antibody, which offers several advantages including:

  • - High batch-to-batch consistency and reproducibility
  • - Improved sensitivity and specificity
  • - Long-term security of supply
  • - Animal-free batch production

For more information, read more on recombinant antibodies.

Properties and storage information

Form
Liquid
Purification technique
Affinity purification Protein A
Storage buffer
pH: 7.2 - 7.4 Preservative: 0.01% Sodium azide Constituents: PBS, 50% Glycerol (glycerin, glycerine), 0.05% BSA
Shipped at conditions
Blue Ice
Appropriate short-term storage conditions
+4°C
Appropriate long-term storage conditions
-20°C
Aliquoting information
Upon delivery aliquot
Storage information
Avoid freeze / thaw cycle

Supplementary information

This supplementary information is collated from multiple sources and compiled automatically.

Delta 1 Catenin also known as CAS or δ-catenin is a member of the p120-catenin subfamily weighing around 122 kDa. It is predominantly expressed in the central nervous system where it localizes at the synapses. Apart from its neural distribution delta 1 Catenin also appears in epithelial tissues. This protein plays an important role in cell-cell adhesion by interacting with cadherins at the cytoplasmic side of the plasma membrane thereby facilitating the formation and maintenance of adherens junctions.
Biological function summary

Delta 1 Catenin participates in the regulation of synaptic stability and plasticity. As part of a protein complex it binds to the juxtamembrane domain of cadherins influencing actin cytoskeletal dynamics. Through this interaction delta 1 Catenin modulates signal transduction pathways that are essential for neuronal differentiation and synapse formation. In epithelial cells it is also involved in creating cell shapes and promoting tissue integrity.

Pathways

Delta 1 Catenin is essential in the Wnt signaling and Rho GTPase pathways. Within these pathways its interaction with E-cadherin and other catenins influences gene expression and cellular behaviors like migration and proliferation. The Wnt signaling pathway includes proteins such as β-catenin which works alongside delta 1 Catenin to regulate transcriptional activities pivotal for developmental processes and cancer progression.

Delta 1 Catenin has associations with neurodegenerative diseases and certain cancers. In Alzheimer’s disease alterations in delta 1 Catenin may disrupt synaptic connectivity contributing to cognitive decline. In cancer particularly prostate and colorectal its interaction with proteins like β-catenin potentially leads to changes in cell adhesion and metastasis. Such involvement makes delta 1 Catenin a significant target for therapeutic intervention.

Product protocols

For this product, it's our understanding that no specific protocols are required. You can visit:

Target data

Key regulator of cell-cell adhesion that associates with and regulates the cell adhesion properties of both C-, E- and N-cadherins, being critical for their surface stability (PubMed : 14610055, PubMed : 20371349). Promotes localization and retention of DSG3 at cell-cell junctions, via its interaction with DSG3 (PubMed : 18343367). Beside cell-cell adhesion, regulates gene transcription through several transcription factors including ZBTB33/Kaiso2 and GLIS2, and the activity of Rho family GTPases and downstream cytoskeletal dynamics (PubMed : 10207085, PubMed : 20371349). Implicated both in cell transformation by SRC and in ligand-induced receptor signaling through the EGF, PDGF, CSF-1 and ERBB2 receptors (PubMed : 17344476).
See full target information CTNND1 phospho Y228

Publications (3)

Recent publications for all applications. Explore the full list and refine your search

International journal of molecular sciences 18: PubMed29207493

2017

Glycoprotein 90K Promotes E-Cadherin Degradation in a Cell Density-Dependent Manner via Dissociation of E-Cadherin-p120-Catenin Complex.

Applications

Unspecified application

Species

Unspecified reactive species

So-Yeon Park,Somy Yoon,Eun Gene Sun,Rui Zhou,Jeong A Bae,Young-Woo Seo,Jung-Il Chae,Man-Jeong Paik,Hyung-Ho Ha,Hangun Kim,Kyung Keun Kim

Cancer immunology research 2:1103-12 PubMed25204776

2014

IL4 limits the efficacy of tumor-targeted antibody therapy in a murine model.

Applications

WB

Species

Unspecified reactive species

Rishi Surana,Shangzi Wang,Wei Xu,Sandra A Jablonski,Louis M Weiner

Journal of clinical pathology 65:315-9 PubMed22259181

2012

Phosphorylated p120-catenin expression has predictive value for oral cancer progression.

Applications

Unspecified application

Species

Unspecified reactive species

Li-Wei Ma,Zeng-Tong Zhou,Qing-Bo He,Wei-Wen Jiang
View all publications

Product promise

We are committed to supporting your work with high-quality reagents, and we're here for you every step of the way. In the unlikely event that one of our products does not perform as expected, you're protected by our Product Promise.
For full details, please see our Terms & Conditions

Please note: All products are 'FOR RESEARCH USE ONLY. NOT FOR USE IN DIAGNOSTIC OR THERAPEUTIC PROCEDURES'.

For licensing inquiries, please contact partnerships@abcam.com