JavaScript is disabled in your browser. Please enable JavaScript to view this website.
AB283692

Anti-Delta Opioid Receptor antibody [EPR24378-193]

  • BOND RX™ Validated
  • 20ul selling size
  • RabMAb
  • Recombinant
  • What is this?

Be the first to review this product! Submit a review

|

(0 Publication)

Rabbit Recombinant Monoclonal Delta Opioid Receptor antibody. Suitable for Dot, IHC-P and reacts with Mouse, Rat samples.

View Alternative Names

Delta-type opioid receptor, D-OR-1, DOR-1, K56, MSL-2, Oprd1

5 Images
Immunohistochemistry (Formalin/PFA-fixed paraffin-embedded sections) - Anti-Delta Opioid Receptor antibody [EPR24378-193] (AB283692)
  • IHC-P

Supplier Data

Immunohistochemistry (Formalin/PFA-fixed paraffin-embedded sections) - Anti-Delta Opioid Receptor antibody [EPR24378-193] (AB283692)

Immunohistochemical analysis of paraffin-embedded human epithelial tissue labeling Delta Opioid Receptor with ab283692 at 1/1000 (0.565 ug/ml) dilution followed by a ready to use LeicaDS9800 (Bond™ Polymer Refine Detection). Positive staining on (A) HEK-293T transfected with OPRD1 expression vector. No staining on (B) HEK-293T transfected with empty vector. The section was incubated with ab283692 for 30 mins at room temperature. The immunostaining was performed on a Leica Biosystems BOND® RX instrument Counterstained with Hematoxylin.

Secondary antibody only control : Secondary antibody is a ready to use LeicaDS9800 (Bond™ Polymer Refine Detection).

Heat mediated antigen retrieval with Tris-EDTA buffer (pH 9.0, epitope retrieval solution2) for 20 mins

Immunohistochemistry (Formalin/PFA-fixed paraffin-embedded sections) - Anti-Delta Opioid Receptor antibody [EPR24378-193] (AB283692)
  • IHC-P

Supplier Data

Immunohistochemistry (Formalin/PFA-fixed paraffin-embedded sections) - Anti-Delta Opioid Receptor antibody [EPR24378-193] (AB283692)

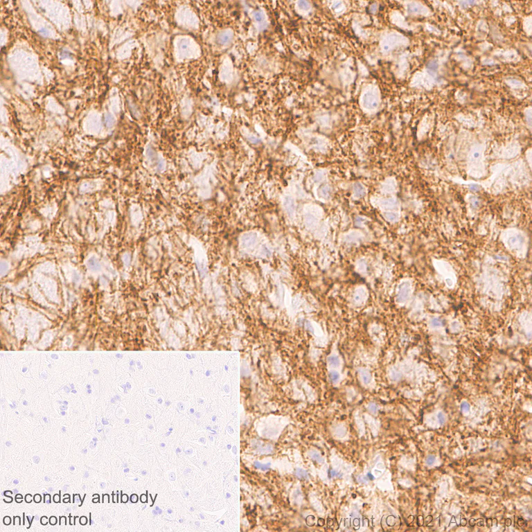
Immunohistochemical analysis of paraffin-embedded Mouse cerebrum tissue labeling Delta Opioid Receptor with ab283692 at 1/1000 (0.565 ug/ml) dilution followed by a ready to use LeicaDS9800 (Bond™ Polymer Refine Detection). Positive staining in mouse cerebrum. The section was incubated with ab283692 for 30 mins at room temperature. The immunostaining was performed on a Leica Biosystems BOND® RX instrument Counterstained with Hematoxylin.

Secondary antibody only control : Secondary antibody is a ready to use LeicaDS9800 (Bond™ Polymer Refine Detection).

Heat mediated antigen retrieval with Tris-EDTA buffer (pH 9.0, epitope retrieval solution2) for 20 mins

Immunohistochemistry (Formalin/PFA-fixed paraffin-embedded sections) - Anti-Delta Opioid Receptor antibody [EPR24378-193] (AB283692)
  • IHC-P

Supplier Data

Immunohistochemistry (Formalin/PFA-fixed paraffin-embedded sections) - Anti-Delta Opioid Receptor antibody [EPR24378-193] (AB283692)

Immunohistochemical analysis of paraffin-embedded Rat cerebrum tissue labeling Delta Opioid Receptor with ab283692 at 1/1000 (0.565 ug/ml) dilution followed by a ready to use LeicaDS9800 (Bond™ Polymer Refine Detection). The section was incubated with ab283692 for 30 mins at room temperature. The immunostaining was performed on a Leica Biosystems BOND® RX instrument Counterstained with Hematoxylin.

Secondary antibody only control : Secondary antibody is a ready to use LeicaDS9800 (Bond™ Polymer Refine Detection).

Heat mediated antigen retrieval with Tris-EDTA buffer (pH 9.0, epitope retrieval solution2) for 20 mins

Immunohistochemistry (Formalin/PFA-fixed paraffin-embedded sections) - Anti-Delta Opioid Receptor antibody [EPR24378-193] (AB283692)
  • IHC-P

Supplier Data

Immunohistochemistry (Formalin/PFA-fixed paraffin-embedded sections) - Anti-Delta Opioid Receptor antibody [EPR24378-193] (AB283692)

Immunohistochemical analysis of paraffin-embedded Mouse liver tissue labeling Delta Opioid Receptor with ab283692 at 1/1000 (0.565 ug/ml) dilution followed by a ready to use LeicaDS9800 (Bond™ Polymer Refine Detection). The section was incubated with ab283692 for 30 mins at room temperature. The immunostaining was performed on a Leica Biosystems BOND® RX instrument Counterstained with Hematoxylin.

Secondary antibody only control : Secondary antibody is a ready to use LeicaDS9800 (Bond™ Polymer Refine Detection).

Negative control : no staining in mouse liver.

Heat mediated antigen retrieval with Tris-EDTA buffer (pH 9.0, epitope retrieval solution2) for 20 mins

Dot Blot - Anti-Delta Opioid Receptor antibody [EPR24378-193] (AB283692)
  • Dot

Supplier Data

Dot Blot - Anti-Delta Opioid Receptor antibody [EPR24378-193] (AB283692)

Dot blot analysis of Delta Opioid Receptor using ab283692 at 1/1000 (0.565 ug/ml) dilution followed by a Goat Anti-Rabbit IgG, (H+L), Peroxidase conjugated (ab97051) at 1/100000 dilution.

Lane 1 : Mouse OPRD1 immunogen protein

Lane 2 : Peptide common to other Opiod receptors

Lane 3 : Mouse OPRD1 N-terminal peptide

Lane 4 : Mouse OPRD1 C-terminal peptide

Exposure time : 3 minutes

Blocking and diluting buffer and concentration : 5% NFDM/TBST

  • Carrier free

    Anti-Delta Opioid Receptor antibody [EPR24378-193] - BSA and Azide free

Key facts

Host species

Rabbit

Clonality

Monoclonal

Clone number

EPR24378-193

Isotype

IgG

Carrier free

No

Reacts with

Mouse, Rat

Applications

Dot, IHC-P

applications

Immunogen

The exact immunogen used to generate this antibody is proprietary information.

Specificity

Application/Species-unsuitable IHC-P Human

Reactivity data

{ "title": "Reactivity Data", "filters": { "stats": ["", "Species", "Dilution Info", "Notes"], "tabs": { "all-applications": {"fullname" : "All Applications", "shortname": "All Applications"}, "IP" : {"fullname" : "Immunoprecipitation", "shortname":"IP"}, "FlowCyt" : {"fullname" : "Flow Cytometry", "shortname":"Flow Cyt"}, "Dot" : {"fullname" : "Dot Blot", "shortname":"Dot"}, "WB" : {"fullname" : "Western blot", "shortname":"WB"}, "IHCP" : {"fullname" : "Immunohistochemistry (Formalin/PFA-fixed paraffin-embedded sections)", "shortname":"IHC-P"}, "ICCIF" : {"fullname" : "Immunocytochemistry/ Immunofluorescence", "shortname":"ICC/IF"}, "IHCFr" : {"fullname" : "Immunohistochemistry (Frozen sections)", "shortname":"IHC-Fr"} }, "product-promise": { "all": "all", "testedAndGuaranteed": "tested", "guaranteed": "expected", "predicted": "predicted", "notRecommended": "not-recommended" } }, "values": { "Human": { "IP-species-checked": "notRecommended", "IP-species-dilution-info": "", "IP-species-notes": "", "FlowCyt-species-checked": "notRecommended", "FlowCyt-species-dilution-info": "", "FlowCyt-species-notes": "", "Dot-species-checked": "notRecommended", "Dot-species-dilution-info": "", "Dot-species-notes": "", "WB-species-checked": "notRecommended", "WB-species-dilution-info": "", "WB-species-notes": "<p></p>", "IHCP-species-checked": "notRecommended", "IHCP-species-dilution-info": "1/1000", "IHCP-species-notes": "<p></p>", "ICCIF-species-checked": "notRecommended", "ICCIF-species-dilution-info": "", "ICCIF-species-notes": "", "IHCFr-species-checked": "notRecommended", "IHCFr-species-dilution-info": "", "IHCFr-species-notes": "" }, "Mouse": { "IP-species-checked": "notRecommended", "IP-species-dilution-info": "", "IP-species-notes": "<p></p>", "FlowCyt-species-checked": "notRecommended", "FlowCyt-species-dilution-info": "", "FlowCyt-species-notes": "<p></p>", "Dot-species-checked": "testedAndGuaranteed", "Dot-species-dilution-info": "1/1000", "Dot-species-notes": "<p></p>", "WB-species-checked": "notRecommended", "WB-species-dilution-info": "", "WB-species-notes": "<p></p>", "IHCP-species-checked": "testedAndGuaranteed", "IHCP-species-dilution-info": "1/1000", "IHCP-species-notes": "<p></p>", "ICCIF-species-checked": "notRecommended", "ICCIF-species-dilution-info": "", "ICCIF-species-notes": "<p></p>", "IHCFr-species-checked": "notRecommended", "IHCFr-species-dilution-info": "", "IHCFr-species-notes": "<p></p>" }, "Rat": { "IP-species-checked": "notRecommended", "IP-species-dilution-info": "", "IP-species-notes": "<p></p>", "FlowCyt-species-checked": "notRecommended", "FlowCyt-species-dilution-info": "", "FlowCyt-species-notes": "<p></p>", "Dot-species-checked": "guaranteed", "Dot-species-dilution-info": "", "Dot-species-notes": "", "WB-species-checked": "notRecommended", "WB-species-dilution-info": "", "WB-species-notes": "<p></p>", "IHCP-species-checked": "testedAndGuaranteed", "IHCP-species-dilution-info": "1/1000", "IHCP-species-notes": "<p></p>", "ICCIF-species-checked": "notRecommended", "ICCIF-species-dilution-info": "", "ICCIF-species-notes": "<p></p>", "IHCFr-species-checked": "notRecommended", "IHCFr-species-dilution-info": "", "IHCFr-species-notes": "<p></p>" } } }

Product details

Patented technology
Our RabMAb® technology is a patented hybridoma-based technology for making rabbit monoclonal antibodies. For details on our patents, please refer to RabMAb® patents.

What are the advantages of a recombinant monoclonal antibody?
This product is a recombinant monoclonal antibody, which offers several advantages including:

  • - High batch-to-batch consistency and reproducibility
  • - Improved sensitivity and specificity
  • - Long-term security of supply
  • - Animal-free batch production

For more information, read more on recombinant antibodies.

Properties and storage information

Form
Liquid
Purification technique
Affinity purification Protein A
Storage buffer
pH: 7.2 - 7.4 Preservative: 0.01% Sodium azide Constituents: PBS, 40% Glycerol (glycerin, glycerine), 0.05% BSA
Shipped at conditions
Blue Ice
Appropriate short-term storage duration
1-2 weeks
Appropriate short-term storage conditions
+4°C
Appropriate long-term storage conditions
-20°C
Aliquoting information
Upon delivery aliquot
Storage information
Avoid freeze / thaw cycle

Supplementary information

This supplementary information is collated from multiple sources and compiled automatically.

The Delta Opioid Receptor also known as DOR is a G protein-coupled receptor involved in the modulation of pain mood and neuroprotection. It is a transmembrane protein with a mass around 40 kDa. The receptor is often expressed in the central nervous system particularly in areas such as the brain and spinal cord. Due to its role in analgesic pathways the receptor's function is of great interest for pain management therapies. Present in various tissues the presence of delta opioid receptors can influence different physiological processes.
Biological function summary

Delta opioid receptors participate in the modulation of neurotransmitter release neuronal excitability and neurogenesis. These receptors form part of a complex that includes other opioid receptors such as mu and kappa receptors interacting to fine-tune the body's response to pain and stress. Activation of delta opioid receptors results in analgesic effects making them potential targets for therapeutic interventions in pain management. Their expression in peripheral tissues also suggests roles in immune and inflammatory responses.

Pathways

Delta opioid receptors fit into the opioid receptor signaling cascades that influence pain perception and reward mechanisms. The major pathways include the adenylate cyclase inhibition pathway which reduces the production of cAMP and the MAPK cascade promoting cell survival and differentiation. These receptors commonly interact with G proteins such as Gi/o proteins to mediate cellular responses. Delta 5029 and delta 193 are segments of research focusing on specific pathways where delta 193 relates to receptor trafficking and delta 5029 involves receptor desensitization mechanisms.

Delta opioid receptors are linked to conditions like chronic pain and depression. Alterations in delta opioid receptor expression or function contribute to these disorders suggesting their involvement in pathological states. Through their involvement in opioid signaling they connect to disorders characterized by altered brain chemistry such as depression. Proteins interacting with delta receptors in these contexts include other opioid receptors which share overlapping roles in emotional regulation and pain perception. Antagonists or agonists like anti-delta antibodies are researched for potential therapeutic applications in these diseases.

Product protocols

For this product, it's our understanding that no specific protocols are required. You can visit:

Target data

G-protein coupled receptor that functions as a receptor for endogenous enkephalins and for a subset of other opioids. Ligand binding causes a conformation change that triggers signaling via guanine nucleotide-binding proteins (G proteins) and modulates the activity of down-stream effectors, such as adenylate cyclase. Signaling leads to the inhibition of adenylate cyclase activity. Inhibits neurotransmitter release by reducing calcium ion currents and increasing potassium ion conductance. Plays a role in the perception of pain and in opiate-mediated analgesia. Plays a role in developing analgesic tolerance to morphine.
See full target information Oprd1

Product promise

We are committed to supporting your work with high-quality reagents, and we're here for you every step of the way. In the unlikely event that one of our products does not perform as expected, you're protected by our Product Promise.
For full details, please see our Terms & Conditions

Please note: All products are 'FOR RESEARCH USE ONLY. NOT FOR USE IN DIAGNOSTIC OR THERAPEUTIC PROCEDURES'.

For licensing inquiries, please contact partnerships@abcam.com