JavaScript is disabled in your browser. Please enable JavaScript to view this website.
AB137101

Anti-delta Sarcoglycan antibody [EPR8706]

  • BOND RX™ Validated
  • 20ul selling size
  • Recombinant
  • Advanced Validation
  • RabMAb
  • What is this?

Be the first to review this product! Submit a review

|

(7 Publications)

Anti-delta Sarcoglycan antibody [EPR8706] (ab137101) is a rabbit monoclonal antibody detecting delta Sarcoglycan in Western Blot, IP, IHC-P, mIHC. Suitable for Human.

- Multiplex IHC validated on the Leica BOND® MAX using Opal reagents
- Biophysical QC for unrivalled batch-batch consistency

View Alternative Names

Delta-sarcoglycan, Delta-SG, 35 kDa dystrophin-associated glycoprotein, 35DAG, SGCD

6 Images
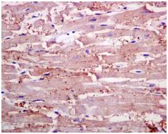
Immunohistochemistry (Formalin/PFA-fixed paraffin-embedded sections) - Anti-delta Sarcoglycan antibody [EPR8706] (AB137101)
  • IHC-P

Unknown

Immunohistochemistry (Formalin/PFA-fixed paraffin-embedded sections) - Anti-delta Sarcoglycan antibody [EPR8706] (AB137101)

Immunohistochemical analysis of paraffin-embedded Human heart tissue labelling delta Sarcoglycan with ab137101 at 1/100 dilution.

Perform heat mediated antigen retrieval before commencing with IHC staining protocol.

Multiplex immunohistochemistry - Anti-delta Sarcoglycan antibody [EPR8706] (AB137101)
  • mIHC

Supplier Data

Multiplex immunohistochemistry - Anti-delta Sarcoglycan antibody [EPR8706] (AB137101)

Fluorescence multiplex immunohistochemical analysis of the human skeletal muscle (Formalin/PFA-fixed paraffin-embedded sections). Panel A : merged staining of anti-delta Sarcoglycan (ab137101, red; Opal™690), anti-MYH2 (ab264036, cyan; Opal™520) and anti-MYH6 + Slow Skeletal Myosin Heavy chain (ab250868, gray; Opal™570) on human skeletal muscle. Panel B : anti-MYH2 stained on the fast twitch type 2A fibers. Panel C : anti-MYH6 + Slow Skeletal Myosin Heavy chain stained on skeletal muscle fiber subtypes. Panel D : anti-delta Sarcoglycan stained on membrane of skeletal muscle. Opal Polymer HRP Ms + Rb was used as a secondary antibody. The section was incubated in three rounds of staining : in the order of ab137101 at 1/1000 dilution (1.043 μg/ml), ab264036 at 1/1000 dilution (1.116 μg/ml) and ab250868 1/5000 dilution (0.209 μg/ml) for 30 mins at room temperature. Each round was followed by a separate fluorescent tyramide signal amplification system. DAPI (blue) was used as a nuclear counter stain. The immunostaining was performed on a Leica Biosystems BOND® RX instrument with an Opal™ 4-color kit. Image acquisition was performed with Leica SP8 confocal microscope. Heat mediated antigen retrieval with Tris-EDTA buffer (pH 9.0, epitope retrieval solution2) for 20 mins.

Multiplex immunohistochemistry - Anti-delta Sarcoglycan antibody [EPR8706] (AB137101)
  • mIHC

Supplier Data

Multiplex immunohistochemistry - Anti-delta Sarcoglycan antibody [EPR8706] (AB137101)

Fluorescence multiplex immunohistochemical analysis of the human cardiac muscle (Formalin/PFA-fixed paraffin-embedded sections). Panel A : merged staining of anti-delta Sarcoglycan (ab137101, red; Opal™690), anti-Titin (ab307446, green; Opal™520) and anti-Natriuretic peptides A (ab209232, magenta; Opal™570) on human cardiac muscle. Panel B : anti-Titin displayed nucleus and cytoplasm expression. Panel C : anti-Natriuretic peptides A displayed granular cytoplasmic expression. Panel D : anti-delta Sarcoglycan displayed membrane expression. Opal Polymer HRP Ms + Rb was used as a secondary antibody. The section was incubated in three rounds of staining : in the order of ab137101 at 1/1000 (1.043 μg/ml) dilution, ab307446 at 1/500 (0.95 μg/ml) dilution, and ab209232 at 1/3000 (0.241 μg/ml) dilution for 30 mins at room temperature. Each round was followed by a separate fluorescent tyramide signal amplification system. DAPI (blue) was used as a nuclear counter stain. The immunostaining was performed on a Leica Biosystems BOND® RX instrument with an Opal™ 4-color kit. Image acquisition was performed with Leica SP8 confocal microscope. Heat mediated antigen retrieval with Tris-EDTA buffer (pH 9.0, epitope retrieval solution2) for 20 mins.

Multiplex immunohistochemistry - Anti-delta Sarcoglycan antibody [EPR8706] (AB137101)
  • mIHC

Supplier Data

Multiplex immunohistochemistry - Anti-delta Sarcoglycan antibody [EPR8706] (AB137101)

Fluorescence multiplex immunohistochemical analysis of the human skeletal muscle (Formalin/PFA-fixed paraffin-embedded sections). Panel A : merged staining of anti-delta Sarcoglycan (ab137101, green; Opal™690), anti-Fast Myosin Skeletal Heavy chain + MYH4 (ab221149, magenta; Opal™520) and anti-Slow Skeletal Myosin Heavy chain (ab234431, red; Opal™570) on human skeletal muscle. Panel B : anti-Fast Myosin Skeletal Heavy chain + MYH4 stained on fast type fibers. Panel C : anti-Slow Skeletal Myosin Heavy chain stained on slow type fibers. Panel D : anti-delta Sarcoglycan stained on membrane of skeletal muscle. Opal Polymer HRP Ms + Rb was used as a secondary antibody. The section was incubated in three rounds of staining : in the order of ab137101 at 1/1000 (1.043 μg/ml), ab221149 at 1/1000 (0.505 μg/ml, and ab234431 at 1/4000 (0.255 μg/ml) for 30 mins at room temperature. Each round was followed by a separate fluorescent tyramide signal amplification system. DAPI (blue) was used as a nuclear counter stain. The immunostaining was performed on a Leica Biosystems BOND® RX instrument with an Opal™ 4-color kit. Image acquisition was performed with Leica SP8 confocal microscope. Heat mediated antigen retrieval with Tris-EDTA buffer (pH 9.0, epitope retrieval solution2) for 20 mins.

Immunoprecipitation - Anti-delta Sarcoglycan antibody [EPR8706] (AB137101)
  • IP

Lab

Immunoprecipitation - Anti-delta Sarcoglycan antibody [EPR8706] (AB137101)

Purified ab137101 at 1/20 dilution (1μg) immunoprecipitating delta Sarcoglycan in Human skeletal muscle lysate.
Lane 1 (input) : Human skeletal muscle lysate 10μg
Lane 2 (+) : ab137101 + Human skeletal muscle lysate.
Lane 3 (-) : Rabbit monoclonal IgG (ab172730) instead of ab137101 in Human skeletal muscle lysate.
VeriBlot for IP Detection Reagent (HRP) (ab131366) (1/1000 dilution) was used for Western blotting.
Blocking Buffer and concentration : 5% NFDM/TBST.
Diluting buffer and concentration : 5% NFDM/TBST.
Observed band size : 35 kDa

All lanes:

Immunoprecipitation - Anti-delta Sarcoglycan antibody [EPR8706] (ab137101)

Predicted band size: 32 kDa

false

Western blot - Anti-delta Sarcoglycan antibody [EPR8706] (AB137101)
  • WB

Unknown

Western blot - Anti-delta Sarcoglycan antibody [EPR8706] (AB137101)

All lanes:

Western blot - Anti-delta Sarcoglycan antibody [EPR8706] (ab137101) at 1/1000 dilution

Lane 1:

Human fetal heart lysate at 10 µg

Lane 2:

Human skeletal muscle lysate at 10 µg

Secondary

All lanes:

Goat anti-rabbit HRP at 1/2000 dilution

Predicted band size: 32 kDa

Observed band size: 35 kDa

false

  • Carrier free

    Anti-delta Sarcoglycan antibody [EPR8706] - BSA and Azide free

  • 665 Alexa Fluor® 647

    Alexa Fluor® 647 Anti-delta Sarcoglycan antibody [EPR8706]

Key facts

Host species

Rabbit

Clonality

Monoclonal

Clone number

EPR8706

Isotype

IgG

Carrier free

No

Reacts with

Human

Applications

WB, IP, IHC-P, mIHC

applications

Immunogen

The exact immunogen used to generate this antibody is proprietary information.

Reactivity data

{ "title": "Reactivity Data", "filters": { "stats": ["", "Species", "Dilution Info", "Notes"], "tabs": { "all-applications": {"fullname" : "All Applications", "shortname": "All Applications"}, "mIHC" : {"fullname" : "Multiplex immunohistochemistry", "shortname":"mIHC"}, "IHCP" : {"fullname" : "Immunohistochemistry (Formalin/PFA-fixed paraffin-embedded sections)", "shortname":"IHC-P"}, "ICCIF" : {"fullname" : "Immunocytochemistry/ Immunofluorescence", "shortname":"ICC/IF"}, "IP" : {"fullname" : "Immunoprecipitation", "shortname":"IP"}, "WB" : {"fullname" : "Western blot", "shortname":"WB"} }, "product-promise": { "all": "all", "testedAndGuaranteed": "tested", "guaranteed": "expected", "predicted": "predicted", "notRecommended": "not-recommended" } }, "values": { "Human": { "mIHC-species-checked": "testedAndGuaranteed", "mIHC-species-dilution-info": "1.043 µg/mL", "mIHC-species-notes": "<p></p> Perform heat-mediated antigen retrieval with Tris/EDTA buffer pH 9.0 before commencing with IHC staining protocol.", "IHCP-species-checked": "testedAndGuaranteed", "IHCP-species-dilution-info": "1/100 - 1/250", "IHCP-species-notes": "<p></p> Perform heat-mediated antigen retrieval before commencing with IHC staining protocol.", "ICCIF-species-checked": "notRecommended", "ICCIF-species-dilution-info": "", "ICCIF-species-notes": "<p></p>", "IP-species-checked": "testedAndGuaranteed", "IP-species-dilution-info": "1/10 - 1/100", "IP-species-notes": "<p></p>", "WB-species-checked": "testedAndGuaranteed", "WB-species-dilution-info": "1/1000 - 1/10000", "WB-species-notes": "<p></p>" } } }

Product details

What is this antibody validated in?
Anti-delta Sarcoglycan antibody [EPR8706] (ab137101) is a rabbit recombinant monoclonal antibody and is validated for use in Western Blot (WB), Immunoprecipitation (IP), Immunohistochemistry (IHC-P), Multiplex IHC (mIHC) in Human samples.

What is the molecular weight of delta Sarcoglycan?
Anti-delta Sarcoglycan [EPR8706] (ab137101) specifically detects a band for delta Sarcoglycan (UniProt: Q92629) at a molecular weight of 32kDa.

Trial sizes available!
Test your antibody or perform pre-screening before committing to a larger quantity. Sold in 10µl. Discover our selection of trial-size antibodies.

Other related products
We have a range of other formats of antibody clone [EPR8706] also available for your convenience: ab137101, Carrier free - ab240108, Alexa Fluor® 647 - ab319130

Patented technology
Our RabMAb® technology is a patented hybridoma-based technology for making rabbit monoclonal antibodies. For details on our patents, please refer to RabMAb® patents.

What are the advantages of a recombinant monoclonal antibody?
This product is a recombinant monoclonal antibody, which offers several advantages including:

  • - High batch-to-batch consistency and reproducibility
  • - Improved sensitivity and specificity
  • - Long-term security of supply
  • - Animal-free batch production

For more information, read more on recombinant antibodies.

Properties and storage information

Form
Liquid
Purification technique
Affinity purification Protein A
Storage buffer
pH: 7.2 - 7.4 Preservative: 0.01% Sodium azide Constituents: PBS, 50% Tissue culture supernatant, 40% Glycerol (glycerin, glycerine), 0.05% BSA
Shipped at conditions
Blue Ice
Appropriate short-term storage conditions
+4°C
Appropriate long-term storage conditions
-20°C
Aliquoting information
Upon delivery aliquot
Storage information
Avoid freeze / thaw cycle

Supplementary information

This supplementary information is collated from multiple sources and compiled automatically.

Delta Sarcoglycan also known as SGCD is a protein component of the sarcoglycan complex. It has an approximate mass of 35 kDa. Delta Sarcoglycan localizes predominantly in skeletal and cardiac muscle tissues. This protein forms part of a set of transmembrane glycoproteins which are integral to the muscle cell membrane. It plays an important role in maintaining the structural integrity of muscle cells by linking the sarcolemma to the extracellular matrix.
Biological function summary

Delta Sarcoglycan associates with other sarcoglycan proteins to form the sarcoglycan complex. This complex is an essential part of the dystrophin-associated glycoprotein complex (DAGC) which connects the cytoskeleton of a muscle fiber to the extracellular matrix. The proper function of this complex is essential for muscle stability during contraction and relaxation preventing damage to the muscle fibers. It interacts with dystrophin an essential adapter protein which anchors the sarcolemma to the cytoskeleton.

Pathways

Delta Sarcoglycan plays an integral role in maintaining the integrity of the dystrophin-glycoprotein complex pathway which is vital for muscle function. It also involves the adhesion and signaling pathways that influence muscle cell adhesion and communication. It shows a relationship with dystrophin where mutations in genes coding for any component including delta Sarcoglycan disrupt these pathways and affect muscle tissue integrity.

Delta Sarcoglycan mutations are primarily linked to limb-girdle muscular dystrophy type 2F (LGMD2F) and specific types of cardiomyopathy. These conditions manifest through progressive muscle weakness and deterioration emphasizing the protein's significance in muscle health. Mutations in the dystrophin protein can exacerbate these diseases further illustrating the important synergy between dystrophin and sarcoglycan complex including delta Sarcoglycan in maintaining muscle integrity.

Product protocols

For this product, it's our understanding that no specific protocols are required. You can visit:

Target data

Component of the sarcoglycan complex, a subcomplex of the dystrophin-glycoprotein complex which forms a link between the F-actin cytoskeleton and the extracellular matrix.
See full target information Delta-sarcoglycan

Publications (7)

Recent publications for all applications. Explore the full list and refine your search

Cell reports 43:114149 PubMed38678560

2024

Thbs1 regulates skeletal muscle mass in a TGFβ-Smad2/3-ATF4-dependent manner.

Applications

Unspecified application

Species

Unspecified reactive species

Davy Vanhoutte,Tobias G Schips,Rachel A Minerath,Jiuzhou Huo,Naga Swathi Sree Kavuri,Vikram Prasad,Suh-Chin Lin,Michael J Bround,Michelle A Sargent,Christopher M Adams,Jeffery D Molkentin

Molecular therapy. Methods & clinical development 28:284-299 PubMed36816759

2023

Systemic γ-sarcoglycan AAV gene transfer results in dose-dependent correction of muscle deficits in the LGMD 2C/R5 mouse model.

Applications

Unspecified application

Species

Unspecified reactive species

Young-Eun Seo,Stephen H Baine,Amber N Kempton,Oliver C Rogers,Sarah Lewis,Kaitlin Adegboye,Alex Haile,Danielle A Griffin,Ellyn L Peterson,Eric R Pozsgai,Rachael A Potter,Louise R Rodino-Klapac

Pharmaceuticals (Basel, Switzerland) 14: PubMed34067869

2021

Metronomic 5-Fluorouracil Delivery Primes Skeletal Muscle for Myopathy but Does Not Cause Cachexia.

Applications

Unspecified application

Species

Unspecified reactive species

Dean G Campelj,Cara A Timpani,Tabitha Cree,Aaron C Petersen,Alan Hayes,Craig A Goodman,Emma Rybalka

Cancers 12: PubMed33348673

2020

The Paradoxical Effect of PARP Inhibitor BGP-15 on Irinotecan-Induced Cachexia and Skeletal Muscle Dysfunction.

Applications

Unspecified application

Species

Unspecified reactive species

Dean G Campelj,Cara A Timpani,Aaron C Petersen,Alan Hayes,Craig A Goodman,Emma Rybalka

JCI insight 5: PubMed30964448

2019

ERK1/2 signaling induces skeletal muscle slow fiber-type switching and reduces muscular dystrophy disease severity.

Applications

Unspecified application

Species

Unspecified reactive species

Justin G Boyer,Vikram Prasad,Taejeong Song,Donghoon Lee,Xing Fu,Kelly M Grimes,Michelle A Sargent,Sakthivel Sadayappan,Jeffery D Molkentin

eLife 5: PubMed27669143

2016

Thrombospondin expression in myofibers stabilizes muscle membranes.

Applications

WB

Species

Unspecified reactive species

Davy Vanhoutte,Tobias G Schips,Jennifer Q Kwong,Jennifer Davis,Andoria Tjondrokoesoemo,Matthew J Brody,Michelle A Sargent,Onur Kanisicak,Hong Yi,Quan Q Gao,Joseph E Rabinowitz,Talila Volk,Elizabeth M McNally,Jeffery D Molkentin

Human molecular genetics 25:1192-202 PubMed26744329

2016

Genetic overexpression of Serpina3n attenuates muscular dystrophy in mice.

Applications

Unspecified application

Species

Unspecified reactive species

Andoria Tjondrokoesoemo,Tobias Schips,Onur Kanisicak,Michelle A Sargent,Jeffery D Molkentin
View all publications

Product promise

We are committed to supporting your work with high-quality reagents, and we're here for you every step of the way. In the unlikely event that one of our products does not perform as expected, you're protected by our Product Promise.
For full details, please see our Terms & Conditions

Please note: All products are 'FOR RESEARCH USE ONLY. NOT FOR USE IN DIAGNOSTIC OR THERAPEUTIC PROCEDURES'.

For licensing inquiries, please contact partnerships@abcam.com