JavaScript is disabled in your browser. Please enable JavaScript to view this website.
AB217921

Anti-DENND2D antibody

Be the first to review this product! Submit a review

|

(0 Publication)

Rabbit Polyclonal DENND2D antibody. Suitable for IHC-P and reacts with Human samples. Immunogen corresponding to Synthetic Peptide within Human DENND2D aa 200-250 conjugated to Keyhole Limpet Haemocyanin.

View Alternative Names

DENN domain-containing protein 2D, DENND2D

1 Images
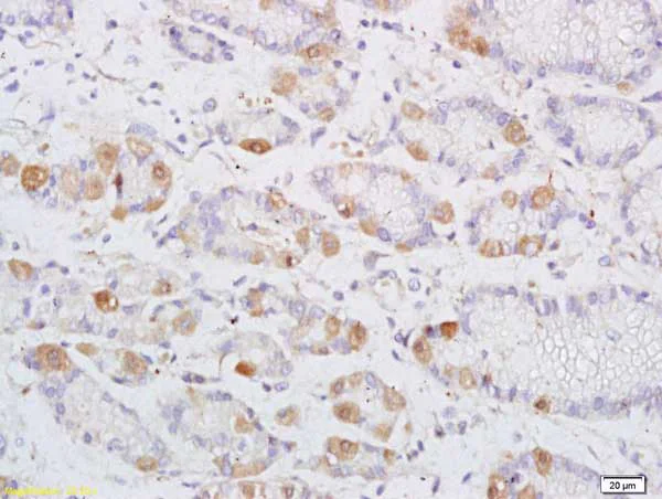
Immunohistochemistry (Formalin/PFA-fixed paraffin-embedded sections) - Anti-DENND2D antibody (AB217921)
  • IHC-P

Supplier Data

Immunohistochemistry (Formalin/PFA-fixed paraffin-embedded sections) - Anti-DENND2D antibody (AB217921)

Immunohistochemical analysis of formalin-fixed, paraffin-embedded human colon carcinoma tissue labeling DENND2D with ab217921 at 1/200 dilution, followed by secondary antibody detection and DAB staining.

Key facts

Host species

Rabbit

Clonality

Polyclonal

Isotype

IgG

Carrier free

No

Reacts with

Human

Applications

IHC-P

applications

Immunogen

Synthetic Peptide within Human DENND2D aa 200-250 conjugated to Keyhole Limpet Haemocyanin. The exact immunogen used to generate this antibody is proprietary information.

Q9H6A0

Reactivity data

{ "title": "Reactivity Data", "filters": { "stats": ["", "Species", "Dilution Info", "Notes"], "tabs": { "all-applications": {"fullname" : "All Applications", "shortname": "All Applications"}, "IHCP" : {"fullname" : "Immunohistochemistry (Formalin/PFA-fixed paraffin-embedded sections)", "shortname":"IHC-P"} }, "product-promise": { "all": "all", "testedAndGuaranteed": "tested", "guaranteed": "expected", "predicted": "predicted", "notRecommended": "not-recommended" } }, "values": { "Human": { "IHCP-species-checked": "testedAndGuaranteed", "IHCP-species-dilution-info": "1/100 - 1/500", "IHCP-species-notes": "<p></p>" }, "Mouse": { "IHCP-species-checked": "predicted", "IHCP-species-dilution-info": "", "IHCP-species-notes": "" }, "Rat": { "IHCP-species-checked": "predicted", "IHCP-species-dilution-info": "", "IHCP-species-notes": "" } } }

Properties and storage information

Form
Liquid
Purification technique
Affinity purification Protein A
Storage buffer
pH: 7.4 Preservative: 0.02% Proclin 300 Constituents: 50% Glycerol (glycerin, glycerine), 48.98% TBS, 1X, 1% BSA
Shipped at conditions
Blue Ice
Appropriate short-term storage duration
1-2 weeks
Appropriate short-term storage conditions
+4°C
Appropriate long-term storage conditions
-20°C
Aliquoting information
Upon delivery aliquot
Storage information
Avoid freeze / thaw cycle

Supplementary information

This supplementary information is collated from multiple sources and compiled automatically.

DENND2D also known as DENN domain-containing 2D functions as a guanine nucleotide exchange factor (GEF) activating small GTPases in the Rab family. This protein plays a role in vesicular transport mechanisms within cells. With a molecular mass of approximately 119 kDa DENND2D exhibits expression in various tissues including the brain and liver suggesting diverse functionality in different physiological processes.
Biological function summary

DENND2D regulates intracellular trafficking by modulating the activation state of Rab GTPases. Rab GTPases themselves are key in controlling vesicle movement aiding in cellular logistics. While not a part of a larger protein complex DENND2D interacts closely with several specific Rab proteins determining their activity and consequently affecting cellular distribution of molecules and organelles.

Pathways

DENND2D influences the Rab GTPase family which links it to pathways like endocytosis and exocytosis. Through its GEF activity it establishes interaction with essential proteins such as Rab9 facilitating vesicular trafficking necessary for maintaining cellular homeostasis. These pathways ensure that cells respond efficiently to environmental changes by controlling the import and export of materials.

Altered DENND2D function links to conditions like cancer and neurodegenerative diseases. In some instances abnormal activity or expression of DENND2D can impact cellular transport which may contribute to cancer through disrupted signaling pathways. Meanwhile links between Rab GTPases and neurodegenerative diseases reveal potential DENND2D's indirect involvement offering insights into targeted therapeutic strategies through proteins such as Rab9-associated pathways.

Product protocols

For this product, it's our understanding that no specific protocols are required. You can visit:

Target data

Guanine nucleotide exchange factor (GEF) which may activate RAB9A and RAB9B. Promotes the exchange of GDP to GTP, converting inactive GDP-bound Rab proteins into their active GTP-bound form.
See full target information DENND2D

Product promise

We are committed to supporting your work with high-quality reagents, and we're here for you every step of the way. In the unlikely event that one of our products does not perform as expected, you're protected by our Product Promise.
For full details, please see our Terms & Conditions

Please note: All products are 'FOR RESEARCH USE ONLY. NOT FOR USE IN DIAGNOSTIC OR THERAPEUTIC PROCEDURES'.

For licensing inquiries, please contact partnerships@abcam.com