JavaScript is disabled in your browser. Please enable JavaScript to view this website.
AB241386

Anti-DEPDC5 antibody

Be the first to review this product! Submit a review

|

(1 Publication)

Rabbit Polyclonal DEPDC5 antibody. Suitable for IHC-P and reacts with Human samples. Cited in 1 publication. Immunogen corresponding to Recombinant Fragment Protein within Human DEPDC5 aa 350-450.

View Alternative Names

KIAA0645, DEPDC5, GATOR1 complex protein DEPDC5, DEP domain-containing protein 5

1 Images
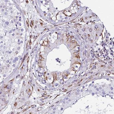
Immunohistochemistry (Formalin/PFA-fixed paraffin-embedded sections) - Anti-DEPDC5 antibody (AB241386)
  • IHC-P

Supplier Data

Immunohistochemistry (Formalin/PFA-fixed paraffin-embedded sections) - Anti-DEPDC5 antibody (AB241386)

Formalin-fixed, paraffin-embedded human testis tissue stained for DEPDC5 using ab241386 at 1/50 dilution in immunohistochemical analysis.

Key facts

Host species

Rabbit

Clonality

Polyclonal

Isotype

IgG

Carrier free

No

Reacts with

Human

Applications

IHC-P

applications

Immunogen

Recombinant Fragment Protein within Human DEPDC5 aa 350-450. The exact immunogen used to generate this antibody is proprietary information.

O75140

Reactivity data

{ "title": "Reactivity Data", "filters": { "stats": ["", "Species", "Dilution Info", "Notes"], "tabs": { "all-applications": {"fullname" : "All Applications", "shortname": "All Applications"}, "IHCP" : {"fullname" : "Immunohistochemistry (Formalin/PFA-fixed paraffin-embedded sections)", "shortname":"IHC-P"} }, "product-promise": { "all": "all", "testedAndGuaranteed": "tested", "guaranteed": "expected", "predicted": "predicted", "notRecommended": "not-recommended" } }, "values": { "Human": { "IHCP-species-checked": "testedAndGuaranteed", "IHCP-species-dilution-info": "1/50", "IHCP-species-notes": "<p></p>" }, "Mouse": { "IHCP-species-checked": "predicted", "IHCP-species-dilution-info": "", "IHCP-species-notes": "" } } }

Properties and storage information

Form
Liquid
Purification technique
Affinity purification Immunogen
Storage buffer
pH: 7.2 Preservative: 0.02% Sodium azide Constituents: PBS, 40% Glycerol (glycerin, glycerine)
Shipped at conditions
Blue Ice
Appropriate short-term storage duration
1-2 weeks
Appropriate short-term storage conditions
+4°C
Appropriate long-term storage conditions
-20°C
Aliquoting information
Upon delivery aliquot
Storage information
Avoid freeze / thaw cycle

Supplementary information

This supplementary information is collated from multiple sources and compiled automatically.

DEPDC5 also called DEP domain containing 5 is a protein that plays a significant role in various cellular processes. It belongs to a protein family known for its involvement in signal transduction. DEPDC5 has a mass of about 160 kDa. This protein expresses broadly in many tissues with notable presence in the brain and the liver indicating its potential importance in these organs.
Biological function summary

DEPDC5 acts as a negative regulator of the mTORC1 signaling pathway by being a part of the GATOR1 complex. This complex is involved in nutrient sensing and regulation of cell growth and metabolism. DEPDC5’s role in mTORC1 regulation links it to the control of protein synthesis and autophagy essential processes in maintaining cellular homeostasis. By interacting with other components of the GATOR1 complex DEPDC5 contributes not only to inhibiting mTORC1 activity but also to the broader metabolic balance.

Pathways

DEPDC5 is integral to the mTOR signaling pathway and the amino acid sensing pathways. The protein acts in coordination with other GATOR1 complex components such as NPRL2 and NPRL3 which together monitor nutrient availability and adapt cellular functions accordingly. These pathways highlight DEPDC5’s role in connecting nutrient signals to cellular growth responses showing its influence on critical regulatory networks affecting cell growth and proliferation.

Mutations in DEPDC5 have been linked to certain neurological disorders notably focal epilepsy. The protein’s involvement in the brain points to its connection with proper neural function where its disruption may lead to disease. Researchers have also found related proteins like MTOR and NPRL3 being associated in these epilepsy cases emphasizing the importance of DEPDC5 in neural signaling pathways and its potential as a target for therapeutic approaches.

Product protocols

For this product, it's our understanding that no specific protocols are required. You can visit:

Target data

As a component of the GATOR1 complex functions as an inhibitor of the amino acid-sensing branch of the mTORC1 pathway (PubMed : 23723238, PubMed : 25457612, PubMed : 29590090, PubMed : 29769719, PubMed : 31548394, PubMed : 35338845). In response to amino acid depletion, the GATOR1 complex has GTPase activating protein (GAP) activity and strongly increases GTP hydrolysis by RagA/RRAGA (or RagB/RRAGB) within heterodimeric Rag complexes, thereby turning them into their inactive GDP-bound form, releasing mTORC1 from lysosomal surface and inhibiting mTORC1 signaling (PubMed : 23723238, PubMed : 25457612, PubMed : 29590090, PubMed : 29769719, PubMed : 35338845). In the presence of abundant amino acids, the GATOR1 complex is negatively regulated by GATOR2, the other GATOR subcomplex, in this amino acid-sensing branch of the TORC1 pathway (PubMed : 23723238, PubMed : 25457612, PubMed : 29769719). Within the GATOR1 complex, DEPDC5 mediates direct interaction with the nucleotide-binding pocket of small GTPases Rag (RagA/RRAGA, RagB/RRAGB, RagC/RRAGC and/or RagD/RRAGD) and coordinates their nucleotide loading states by promoting RagA/RRAGA or RagB/RRAGB into their GDP-binding state and RagC/RRAGC or RagD/RRAGD into their GTP-binding state (PubMed : 29590090, PubMed : 35338845). However, it does not execute the GAP activity, which is mediated by NPRL2 (PubMed : 29590090).
See full target information DEPDC5

Publications (1)

Recent publications for all applications. Explore the full list and refine your search

Nature cancer : PubMed40999053

2025

SMAD4 induces opposite effects on metastatic growth from pancreatic tumors depending on the organ of residence.

Applications

Unspecified application

Species

Unspecified reactive species

Kaloyan M Tsanov,Francisco M Barriga,Yu-Jui Ho,Direna Alonso-Curbelo,Geulah Livshits,Sha Tian,Richard P Koche,Timour Baslan,Janelle Simon,Alexandra N Wuest,José Reyes,Jin Park,Wei Luan,John E Wilkinson,Umesh Bhanot,Jordana Ray-Kirton,Ignas Masilionis,Nevenka Dimitrova,Christine A Iacobuzio-Donahue,Ronan Chaligné,Dana Pe'er,Joan Massagué,Scott W Lowe
View all publications

Product promise

We are committed to supporting your work with high-quality reagents, and we're here for you every step of the way. In the unlikely event that one of our products does not perform as expected, you're protected by our Product Promise.
For full details, please see our Terms & Conditions

Please note: All products are 'FOR RESEARCH USE ONLY. NOT FOR USE IN DIAGNOSTIC OR THERAPEUTIC PROCEDURES'.

For licensing inquiries, please contact partnerships@abcam.com