JavaScript is disabled in your browser. Please enable JavaScript to view this website.
AB309531

Anti-Deptor antibody [EPR26159-220]

  • BOND RX™ Validated
  • 20ul selling size
  • RabMAb
  • Recombinant
  • What is this?

Be the first to review this product! Submit a review

|

(0 Publication)

Rabbit Recombinant Monoclonal Deptor antibody. Suitable for WB, IHC-P, IP and reacts with Human, Rat samples.

View Alternative Names

DEPDC6, DEPTOR, DEP domain-containing mTOR-interacting protein, hDEPTOR, DEP domain-containing protein 6

8 Images
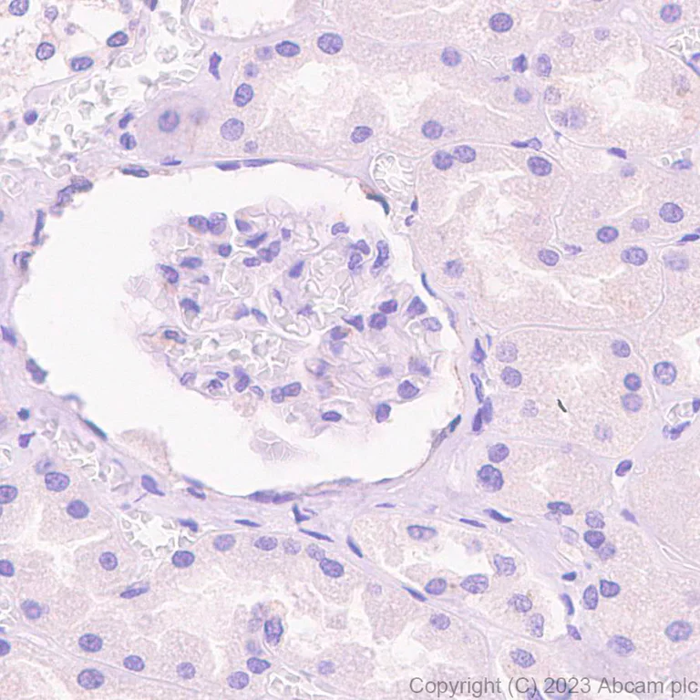
Immunohistochemistry (Formalin/PFA-fixed paraffin-embedded sections) - Anti-Deptor antibody [EPR26159-220] (AB309531)
  • IHC-P

Supplier Data

Immunohistochemistry (Formalin/PFA-fixed paraffin-embedded sections) - Anti-Deptor antibody [EPR26159-220] (AB309531)

Immunohistochemical analysis of paraffin-embedded Human kidney tissue labeling Deptor with ab309531 at 1/200 (2.56 ug/ml) followed by a ready to use LeicaDS9800 (Bond™ Polymer Refine Detection) was used. Low expression tissue : Nearly no staining on human kidney.The section was incubated with ab309531 for 30 mins at room temperature.The immunostaining was performed on a Leica Biosystems BOND® RX instrument Counterstained with Hematoxylin. Secondary antibody only control : Secondary antibody is a ready to use LeicaDS9800 (Bond™ Polymer Refine Detection) was used. Heat mediated antigen retrieval was performed with Tris-EDTA buffer (pH 9.0, Epitope Retrieval Solution2) for 20 mins

Immunohistochemistry (Formalin/PFA-fixed paraffin-embedded sections) - Anti-Deptor antibody [EPR26159-220] (AB309531)
  • IHC-P

Supplier Data

Immunohistochemistry (Formalin/PFA-fixed paraffin-embedded sections) - Anti-Deptor antibody [EPR26159-220] (AB309531)

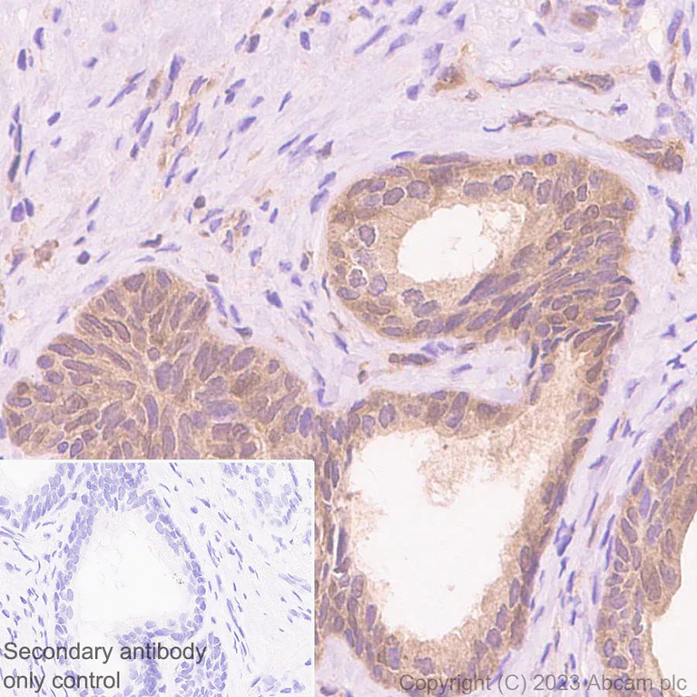
Immunohistochemical analysis of paraffin-embedded Human prostatic hype tissue labeling Deptor with ab309531 at 1/200 (2.56 ug/ml) followed by a ready to use LeicaDS9800 (Bond™ Polymer Refine Detection) was used. Positive staining on human prostatic hyperplasia (PMID : 31685947).The section was incubated with ab309531 for 30 mins at room temperature.The immunostaining was performed on a Leica Biosystems BOND® RX instrument Counterstained with Hematoxylin. Secondary antibody only control : Secondary antibody is a ready to use LeicaDS9800 (Bond™ Polymer Refine Detection) was used. Heat mediated antigen retrieval was performed with Tris-EDTA buffer (pH 9.0, Epitope Retrieval Solution2) for 20 mins

Immunohistochemistry (Formalin/PFA-fixed paraffin-embedded sections) - Anti-Deptor antibody [EPR26159-220] (AB309531)
  • IHC-P

Supplier Data

Immunohistochemistry (Formalin/PFA-fixed paraffin-embedded sections) - Anti-Deptor antibody [EPR26159-220] (AB309531)

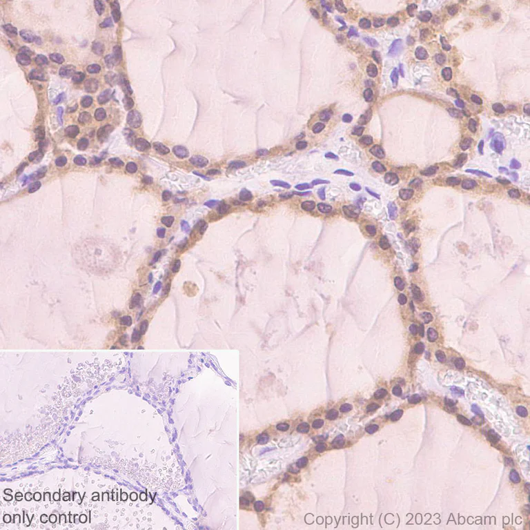
Immunohistochemical analysis of paraffin-embedded Human thyroid tissue labeling Deptor with ab309531 at 1/200 (2.56 ug/ml) followed by a ready to use LeicaDS9800 (Bond™ Polymer Refine Detection) was used. Positive staining on human thyroid.The section was incubated with ab309531 for 30 mins at room temperature.The immunostaining was performed on a Leica Biosystems BOND® RX instrument Counterstained with Hematoxylin. Secondary antibody only control : Secondary antibody is a ready to use LeicaDS9800 (Bond™ Polymer Refine Detection) was used. Heat mediated antigen retrieval was performed with Tris-EDTA buffer (pH 9.0, Epitope Retrieval Solution2) for 20 mins

Immunohistochemistry (Formalin/PFA-fixed paraffin-embedded sections) - Anti-Deptor antibody [EPR26159-220] (AB309531)
  • IHC-P

Supplier Data

Immunohistochemistry (Formalin/PFA-fixed paraffin-embedded sections) - Anti-Deptor antibody [EPR26159-220] (AB309531)

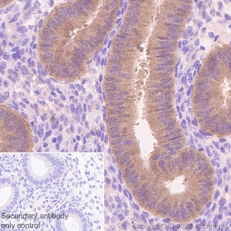
Immunohistochemical analysis of paraffin-embedded Human endometrium tissue labeling Deptor with ab309531 at 1/200 (2.56 ug/ml) followed by a ready to use LeicaDS9800 (Bond™ Polymer Refine Detection) was used. Positive staining on human endometrium.The section was incubated with ab309531 for 30 mins at room temperature.The immunostaining was performed on a Leica Biosystems BOND® RX instrument Counterstained with Hematoxylin. Secondary antibody only control : Secondary antibody is a ready to use LeicaDS9800 (Bond™ Polymer Refine Detection) was used. Heat mediated antigen retrieval was performed with Tris-EDTA buffer (pH 9.0, Epitope Retrieval Solution2) for 20 mins

Immunoprecipitation - Anti-Deptor antibody [EPR26159-220] (AB309531)
  • IP

Supplier Data

Immunoprecipitation - Anti-Deptor antibody [EPR26159-220] (AB309531)

Deptor was immunoprecipitated from 0.35 mg MCF7 (human breast adenocarcinoma epithelial cell) whole cell lysate with ab309531 at 1/30 dilution (2ug in 0.35mg lysates). Western blot was performed on the immunoprecipitate using ab309531 at 1/1000 dilution. VeriBlot for IP secondary antibody(HRP)(ab131366) was used at 1/5000 dilution. Lane 1 : MCF7 (human breast adenocarcinoma epithelial cell) whole cell lysate Lane 2 : ab309531 IP in MCF7 (human breast adenocarcinoma epithelial cell) whole cell lysate Lane 3 : Rabbit monoclonal IgG (ab172730) instead of ab309531 in MCF7 whole cell lysate Blocking and dilution buffer and concentration : 5% NFDM/TBST. Exposure time : 58 seconds

All lanes:

Immunoprecipitation - Anti-Deptor antibody [EPR26159-220] (ab309531) at 1/30 dilution

All lanes:

MCF7 (human breast adenocarcinoma epithelial cell) whole cell lysate

Secondary

All lanes:

Immunoprecipitation - VeriBlot for IP Detection Reagent (HRP) (<a href='/en-us/products/reagents/veriblot-for-ip-detection-reagent-hrp-ab131366'>ab131366</a>) at 1/5000 dilution

false

Exposure time: 58s

Western blot - Anti-Deptor antibody [EPR26159-220] (AB309531)
  • WB

Supplier Data

Western blot - Anti-Deptor antibody [EPR26159-220] (AB309531)

Blocking and diluting buffer and concentration : 5% NFDM/TBST.

Low expression : PC-3 (PMID : 19446321)

The identity of the lower MW band at approximately 35kDa is unknown. The band may represent a Deptor degradation product (PMID : 34519269).

This blot was developed using a high sensitivity ECL substrate. The high-sensitivity ECL substrate used allows for the detection of proteins in the mid-femtogram range.

In Western blot, anti-GAPDH antibody (ab181602) loading control staining at 1/200000 dilution.

All lanes:

Western blot - Anti-Deptor antibody [EPR26159-220] (ab309531) at 1/1000 dilution

Lane 1:

Human cerebellum tissue lysate at 20 µg

Lane 2:

MCF7 (human breast adenocarcinoma epithelial cell) whole cell lysate at 20 µg

Lane 3:

PC-3 (human prostate adenocarcinoma epithelial cell) whole cell lysate at 20 µg

Secondary

All lanes:

Western blot - Goat Anti-Rabbit IgG H&L (HRP) (<a href='/en-us/products/secondary-antibodies/goat-rabbit-igg-h-l-hrp-ab97051'>ab97051</a>) at 1/100000 dilution

Observed band size: 48 kDa,34 kDa

true

Exposure time: 3min

Western blot - Anti-Deptor antibody [EPR26159-220] (AB309531)
  • WB

Supplier Data

Western blot - Anti-Deptor antibody [EPR26159-220] (AB309531)

Blocking and diluting buffer and concentration : 5% NFDM/TBST

This blot was developed using a high sensitivity ECL substrate. The high-sensitivity ECL substrate used allows for the detection of proteins in the mid-femtogram range.

The identity of the lower MW band at approximately 35kDa is unknown. The band may represent a Deptor degradation product (PMID : 34519269).

In Western blot, anti-GAPDH antibody (ab181602) loading control staining at 1/200000 dilution.

All lanes:

Western blot - Anti-Deptor antibody [EPR26159-220] (ab309531) at 1/1000 dilution

Lane 1:

Untreated HeLa (human cervix adenocarcinoma epithelial cell) whole cell lysate at 20 µg

Lane 2:

HeLa serum starved overnight, whole cell lysate at 20 µg

Secondary

All lanes:

Western blot - Goat Anti-Rabbit IgG H&L (HRP) (<a href='/en-us/products/secondary-antibodies/goat-rabbit-igg-h-l-hrp-ab97051'>ab97051</a>) at 1/100000 dilution

Observed band size: 48 kDa,34 kDa

true

Exposure time: 3min

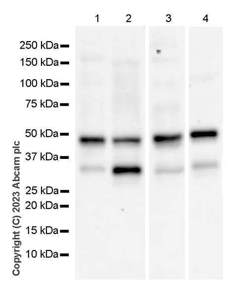
Western blot - Anti-Deptor antibody [EPR26159-220] (AB309531)
  • WB

Supplier Data

Western blot - Anti-Deptor antibody [EPR26159-220] (AB309531)

Blocking and diluting buffer and concentration : 5% NFDM/TBST.

The identity of the lower MW band at approximately 35kDa is unknown. The band may represent a Deptor degradation product (PMID : 34519269).

This blot was developed using a high sensitivity ECL substrate. The high-sensitivity ECL substrate used allows for the detection of proteins in the mid-femtogram range.

Exposure time :

Lane 1-3 : 3 minutes

Lane 4 : 81 seconds

All lanes:

Western blot - Anti-Deptor antibody [EPR26159-220] (ab309531) at 1/1000 dilution

Lane 1:

Rat brain tissue lysate at 20 µg

Lane 2:

Rat liver tissue lysate at 20 µg

Lane 3:

Rat spleen tissue lysate at 20 µg

Lane 4:

AR42J (rat pancreatic tumor epithelial cell) whole cell lysate at 20 µg

Secondary

All lanes:

Western blot - Goat Anti-Rabbit IgG H&L (HRP) (<a href='/en-us/products/secondary-antibodies/goat-rabbit-igg-h-l-hrp-ab97051'>ab97051</a>) at 1/100000 dilution

Observed band size: 48 kDa,34 kDa

true

  • Carrier free

    Anti-Deptor antibody [EPR26159-220] - BSA and Azide free

Key facts

Host species

Rabbit

Clonality

Monoclonal

Clone number

EPR26159-220

Isotype

IgG

Carrier free

No

Reacts with

Human, Rat

Applications

IHC-P, WB, IP

applications

Immunogen

The exact immunogen used to generate this antibody is proprietary information.

Reactivity data

{ "title": "Reactivity Data", "filters": { "stats": ["", "Species", "Dilution Info", "Notes"], "tabs": { "all-applications": {"fullname" : "All Applications", "shortname": "All Applications"}, "WB" : {"fullname" : "Western blot", "shortname":"WB"}, "IHCP" : {"fullname" : "Immunohistochemistry (Formalin/PFA-fixed paraffin-embedded sections)", "shortname":"IHC-P"}, "IP" : {"fullname" : "Immunoprecipitation", "shortname":"IP"}, "ICCIF" : {"fullname" : "Immunocytochemistry/ Immunofluorescence", "shortname":"ICC/IF"}, "FlowCytIntra" : {"fullname" : "Flow Cytometry (Intracellular)", "shortname":"Flow Cyt (Intra)"} }, "product-promise": { "all": "all", "testedAndGuaranteed": "tested", "guaranteed": "expected", "predicted": "predicted", "notRecommended": "not-recommended" } }, "values": { "Human": { "WB-species-checked": "testedAndGuaranteed", "WB-species-dilution-info": "1/1000", "WB-species-notes": "<p></p>", "IHCP-species-checked": "testedAndGuaranteed", "IHCP-species-dilution-info": "1/200", "IHCP-species-notes": "<p></p>", "IP-species-checked": "testedAndGuaranteed", "IP-species-dilution-info": "1/30", "IP-species-notes": "<p></p>", "ICCIF-species-checked": "notRecommended", "ICCIF-species-dilution-info": "", "ICCIF-species-notes": "<p></p>", "FlowCytIntra-species-checked": "notRecommended", "FlowCytIntra-species-dilution-info": "", "FlowCytIntra-species-notes": "<p></p>" }, "Mouse": { "WB-species-checked": "notRecommended", "WB-species-dilution-info": "", "WB-species-notes": "<p></p>", "IHCP-species-checked": "notRecommended", "IHCP-species-dilution-info": "", "IHCP-species-notes": "<p></p>", "IP-species-checked": "notRecommended", "IP-species-dilution-info": "", "IP-species-notes": "", "ICCIF-species-checked": "notRecommended", "ICCIF-species-dilution-info": "", "ICCIF-species-notes": "", "FlowCytIntra-species-checked": "notRecommended", "FlowCytIntra-species-dilution-info": "", "FlowCytIntra-species-notes": "" }, "Rat": { "WB-species-checked": "testedAndGuaranteed", "WB-species-dilution-info": "1/1000", "WB-species-notes": "<p></p>", "IHCP-species-checked": "notRecommended", "IHCP-species-dilution-info": "", "IHCP-species-notes": "<p></p>", "IP-species-checked": "guaranteed", "IP-species-dilution-info": "", "IP-species-notes": "", "ICCIF-species-checked": "notRecommended", "ICCIF-species-dilution-info": "", "ICCIF-species-notes": "", "FlowCytIntra-species-checked": "notRecommended", "FlowCytIntra-species-dilution-info": "", "FlowCytIntra-species-notes": "" } } }

Product details

Patented technology
Our RabMAb® technology is a patented hybridoma-based technology for making rabbit monoclonal antibodies. For details on our patents, please refer to RabMAb® patents.

What are the advantages of a recombinant monoclonal antibody?
This product is a recombinant monoclonal antibody, which offers several advantages including:

  • - High batch-to-batch consistency and reproducibility
  • - Improved sensitivity and specificity
  • - Long-term security of supply
  • - Animal-free batch production

For more information, read more on recombinant antibodies.

Properties and storage information

Form
Liquid
Purification technique
Affinity purification Protein A
Storage buffer
pH: 7.2 - 7.4 Preservative: 0.01% Sodium azide Constituents: PBS, 40% Glycerol (glycerin, glycerine), 0.05% BSA
Shipped at conditions
Blue Ice
Appropriate short-term storage duration
1-2 weeks
Appropriate short-term storage conditions
+4°C
Appropriate long-term storage conditions
-20°C
Aliquoting information
Upon delivery aliquot
Storage information
Avoid freeze / thaw cycle

Supplementary information

This supplementary information is collated from multiple sources and compiled automatically.

DEPTOR also known as DEP domain-containing mTOR-interacting protein functions as a subunit of the mTOR (mechanistic Target of Rapamycin) complexes. This protein has a molecular weight of approximately 48 kDa and is expressed extensively in tissues such as skeletal muscle adipose tissue and the brain. DEPTOR directly interacts with the mTOR complexes modulating their activity. Its exact mechanical role involves binding to mTOR and influencing the assembly and function of mTOR complex 1 (mTORC1) and mTOR complex 2 (mTORC2).
Biological function summary

DEPTOR is important for the regulation of cell growth and metabolism. It is a component of the mTORC1 and mTORC2 two key protein complexes that control cell proliferation survival and autophagy. DEPTOR acts as an inhibitor within these complexes reducing their activity. By regulating the mTOR signaling pathway it helps balance anabolic and catabolic processes within the cell. Without proper DEPTOR function cells may grow unchecked leading to various issues including metabolic dysregulation.

Pathways

DEPTOR plays a significant role in the mTOR signaling pathway and the PI3K/AKT pathway. In the mTOR pathway DEPTOR controls the activity of mTORC1 and mTORC2 which are essential for translating signaling into cellular response. The PI3K/AKT pathway also involves DEPTOR as it relates to insulin signaling and glucose homeostasis. Proteins such as AKT and S6K work in this complex to transmit signals impacting numerous cellular activities. The dynamic balance it maintains within these pathways is critical for normal cellular function and metabolism.

DEPTOR is associated with conditions such as cancer and type 2 diabetes. In cancers its reduced expression allows for unchecked mTOR activity driving tumor growth and survival. Conversely unregulated expression can lead to increased cell apoptosis. DEPTOR's dysregulation in the context of type 2 diabetes affects glucose metabolism through interactions with the PI3K/AKT pathway. It also interacts with proteins like IRS-1 influencing insulin sensitivity and leading to metabolic disorders. DEPTOR's regulation of these pathways suggests potential therapeutic targets in these diseases.

Product protocols

For this product, it's our understanding that no specific protocols are required. You can visit:

Target data

Negative regulator of the mTORC1 and mTORC2 complexes : inhibits the protein kinase activity of MTOR, thereby inactivating both complexes (PubMed : 19446321, PubMed : 22017875, PubMed : 22017876, PubMed : 22017877, PubMed : 25936805, PubMed : 29382726, PubMed : 34519268, PubMed : 34519269). DEPTOR inhibits mTORC1 and mTORC2 to induce autophagy (PubMed : 22017875, PubMed : 22017876, PubMed : 22017877). In contrast to AKT1S1/PRAS40, only partially inhibits mTORC1 activity (PubMed : 34519268, PubMed : 34519269).
See full target information DEPTOR

Product promise

We are committed to supporting your work with high-quality reagents, and we're here for you every step of the way. In the unlikely event that one of our products does not perform as expected, you're protected by our Product Promise.
For full details, please see our Terms & Conditions

Please note: All products are 'FOR RESEARCH USE ONLY. NOT FOR USE IN DIAGNOSTIC OR THERAPEUTIC PROCEDURES'.

For licensing inquiries, please contact partnerships@abcam.com