JavaScript is disabled in your browser. Please enable JavaScript to view this website.
AB243931

Anti-Desmin antibody [SP138] - BSA and Azide free

4

(1 Review)

|

(0 Publication)

Rabbit Recombinant Monoclonal Desmin antibody. Carrier free. Suitable for WB, IHC-P, ICC/IF and reacts with Human, Mouse, Rat samples.

View Alternative Names

Desmin, DES

9 Images
Immunohistochemistry (Formalin/PFA-fixed paraffin-embedded sections) - Anti-Desmin antibody [SP138] - BSA and Azide free (AB243931)
  • IHC-P

Supplier Data

Immunohistochemistry (Formalin/PFA-fixed paraffin-embedded sections) - Anti-Desmin antibody [SP138] - BSA and Azide free (AB243931)

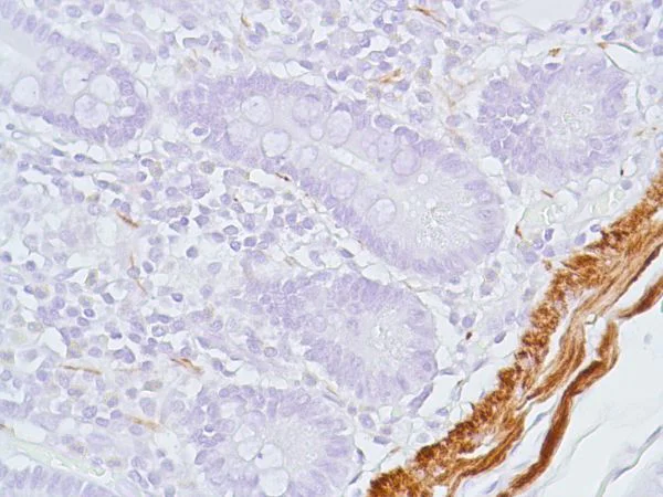
Formalin-fixed, paraffin-embedded human colon tissue stained for Desmin using ab227651 at 1/100 dilution in immunohistochemical analysis.

This data was developed using the same antibody clone in a different buffer formulation containing PBS, BSA, and sodium azide (ab227651).

Immunohistochemistry (Formalin/PFA-fixed paraffin-embedded sections) - Anti-Desmin antibody [SP138] - BSA and Azide free (AB243931)
  • IHC-P

Supplier Data

Immunohistochemistry (Formalin/PFA-fixed paraffin-embedded sections) - Anti-Desmin antibody [SP138] - BSA and Azide free (AB243931)

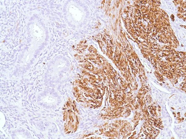
Formalin-fixed, paraffin-embedded human uterus endometrium tissue stained for Desmin using ab227651 at 1/100 dilution in immunohistochemical analysis.

This data was developed using the same antibody clone in a different buffer formulation containing PBS, BSA, and sodium azide (ab227651).

Immunohistochemistry (Formalin/PFA-fixed paraffin-embedded sections) - Anti-Desmin antibody [SP138] - BSA and Azide free (AB243931)
  • IHC-P

Supplier Data

Immunohistochemistry (Formalin/PFA-fixed paraffin-embedded sections) - Anti-Desmin antibody [SP138] - BSA and Azide free (AB243931)

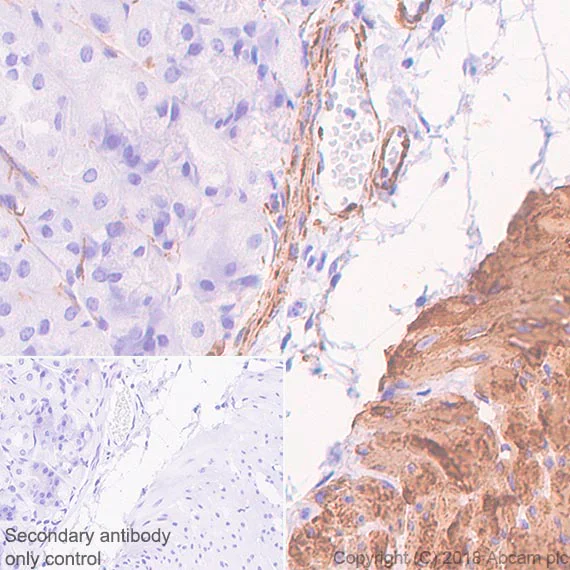
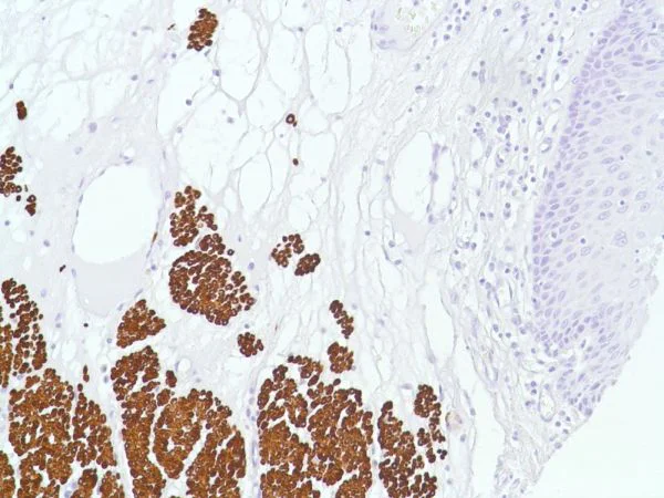
Formalin-fixed, paraffin-embedded human skeletal muscle tissue stained for Desmin using ab227651 at 1/100 dilution in immunohistochemical analysis.

This data was developed using the same antibody clone in a different buffer formulation containing PBS, BSA, and sodium azide (ab227651).

Immunohistochemistry (Formalin/PFA-fixed paraffin-embedded sections) - Anti-Desmin antibody [SP138] - BSA and Azide free (AB243931)
  • IHC-P

Unknown

Immunohistochemistry (Formalin/PFA-fixed paraffin-embedded sections) - Anti-Desmin antibody [SP138] - BSA and Azide free (AB243931)

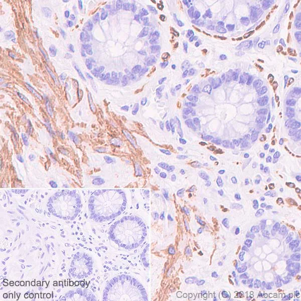
Immunohistochemistry (Formalin/PFA-fixed paraffin-embedded sections) analysis of Human colon tissue sections labeling Desmin with ab227651 at 1/100 dilution (1.32 µg/ml). Heat mediated antigen retrieval was performed Heat mediated antigen retrieval with Tris-EDTA buffer (pH 9.0, epitope retrieval solution 2) for 10 mins. Rabbit specific IHC polymer detection kit HRP/DAB (ab209101) was used as the secondary antibody. Negative control : PBS instead of the primary antibody. Hematoxylin was used as a counterstain.
This data was developed using the same antibody clone in a different buffer formulation containing PBS, BSA, glycerol, and sodium azide (ab227651)

Immunocytochemistry/ Immunofluorescence - Anti-Desmin antibody [SP138] - BSA and Azide free (AB243931)
  • ICC/IF

Unknown

Immunocytochemistry/ Immunofluorescence - Anti-Desmin antibody [SP138] - BSA and Azide free (AB243931)

Immunocytochemistry/ Immunofluorescence analysis of C2C12 (mouse myoblasts myoblast) cells labeling Desmin with purified ab227651 at 1/100 (1.3μg/ml). Cells were fixed in 4% paraformaldehyde and permeabilized with 0.1% Triton X-100. Cells were counterstained with ab195889 Anti-alpha Tubulin antibody [DM1A] - Microtubule Marker (Alexa Fluor® 594) 1/200 (2.5 μg/ml). Goat anti rabbit IgG (Alexa Fluor® 488, ab150077) was used as the secondary antibody at 1/1000 (2 μg/ml) dilution. DAPI (blue) was used as nuclear counterstain. PBS instead of the primary antibody was used as the secondary antibody only control.
This data was developed using the same antibody clone in a different buffer formulation containing PBS, BSA, glycerol, and sodium azide (ab227651).

Immunohistochemistry (Formalin/PFA-fixed paraffin-embedded sections) - Anti-Desmin antibody [SP138] - BSA and Azide free (AB243931)
  • IHC-P

Unknown

Immunohistochemistry (Formalin/PFA-fixed paraffin-embedded sections) - Anti-Desmin antibody [SP138] - BSA and Azide free (AB243931)

Immunohistochemistry (Formalin/PFA-fixed paraffin-embedded sections) analysis of Mouse stomach tissue sections labeling Desmin with ab227651 at 1/100 dilution (1.32 µg/ml). Heat mediated antigen retrieval was performed Heat mediated antigen retrieval with Tris-EDTA buffer (pH 9.0, epitope retrieval solution 2) for 10 mins. Rabbit specific IHC polymer detection kit HRP/DAB (ab209101) was used as the secondary antibody. Negative control : PBS instead of the primary antibody. Hematoxylin was used as a counterstain.
This data was developed using the same antibody clone in a different buffer formulation containing PBS, BSA, glycerol, and sodium azide (ab227651)

Immunohistochemistry (Formalin/PFA-fixed paraffin-embedded sections) - Anti-Desmin antibody [SP138] - BSA and Azide free (AB243931)
  • IHC-P

Supplier Data

Immunohistochemistry (Formalin/PFA-fixed paraffin-embedded sections) - Anti-Desmin antibody [SP138] - BSA and Azide free (AB243931)

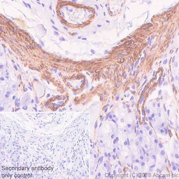
Formalin-fixed, paraffin-embedded human esophagus tissue stained for Desmin using ab227651 at 1/100 dilution in immunohistochemical analysis.

This data was developed using the same antibody clone in a different buffer formulation containing PBS, BSA, and sodium azide (ab227651).

Immunohistochemistry (Formalin/PFA-fixed paraffin-embedded sections) - Anti-Desmin antibody [SP138] - BSA and Azide free (AB243931)
  • IHC-P

Unknown

Immunohistochemistry (Formalin/PFA-fixed paraffin-embedded sections) - Anti-Desmin antibody [SP138] - BSA and Azide free (AB243931)

Immunohistochemistry (Formalin/PFA-fixed paraffin-embedded sections) analysis of Human skeletal muscle tissue sections labeling Desmin with ab227651 at 1/100 dilution (1.32 µg/ml). Heat mediated antigen retrieval was performed Heat mediated antigen retrieval with Tris-EDTA buffer (pH 9.0, epitope retrieval solution 2) for 10 mins. Rabbit specific IHC polymer detection kit HRP/DAB (ab209101) was used as the secondary antibody. Negative control : PBS instead of the primary antibody. Hematoxylin was used as a counterstain.
This data was developed using the same antibody clone in a different buffer formulation containing PBS, BSA, glycerol, and sodium azide (ab227651)

Immunohistochemistry (Formalin/PFA-fixed paraffin-embedded sections) - Anti-Desmin antibody [SP138] - BSA and Azide free (AB243931)
  • IHC-P

Unknown

Immunohistochemistry (Formalin/PFA-fixed paraffin-embedded sections) - Anti-Desmin antibody [SP138] - BSA and Azide free (AB243931)

Immunohistochemistry (Formalin/PFA-fixed paraffin-embedded sections) analysis of Rat stomach tissue sections labeling Desmin with ab227651 at 1/100 dilution (1.32 µg/ml). Heat mediated antigen retrieval was performed Heat mediated antigen retrieval with Tris-EDTA buffer (pH 9.0, epitope retrieval solution 2) for 10 mins. Rabbit specific IHC polymer detection kit HRP/DAB (ab209101) was used as the secondary antibody. Negative control : PBS instead of the primary antibody. Hematoxylin was used as a counterstain.
This data was developed using the same antibody clone in a different buffer formulation containing PBS, BSA, glycerol, and sodium azide (ab227651)

Key facts

Host species

Rabbit

Clonality

Monoclonal

Clone number

SP138

Isotype

IgG

Carrier free

Yes

Reacts with

Mouse, Rat, Human

Applications

IHC-P, WB, ICC/IF

applications

Immunogen

The exact immunogen used to generate this antibody is proprietary information.

Reactivity data

{ "title": "Reactivity Data", "filters": { "stats": ["", "Species", "Dilution Info", "Notes"], "tabs": { "all-applications": {"fullname" : "All Applications", "shortname": "All Applications"}, "WB" : {"fullname" : "Western blot", "shortname":"WB"}, "IHCP" : {"fullname" : "Immunohistochemistry (Formalin/PFA-fixed paraffin-embedded sections)", "shortname":"IHC-P"}, "ICCIF" : {"fullname" : "Immunocytochemistry/ Immunofluorescence", "shortname":"ICC/IF"} }, "product-promise": { "all": "all", "testedAndGuaranteed": "tested", "guaranteed": "expected", "predicted": "predicted", "notRecommended": "not-recommended" } }, "values": { "Human": { "WB-species-checked": "testedAndGuaranteed", "WB-species-dilution-info": "", "WB-species-notes": "<p></p>", "IHCP-species-checked": "testedAndGuaranteed", "IHCP-species-dilution-info": "", "IHCP-species-notes": "<p></p>", "ICCIF-species-checked": "guaranteed", "ICCIF-species-dilution-info": "", "ICCIF-species-notes": "" }, "Mouse": { "WB-species-checked": "guaranteed", "WB-species-dilution-info": "", "WB-species-notes": "<p></p>", "IHCP-species-checked": "testedAndGuaranteed", "IHCP-species-dilution-info": "", "IHCP-species-notes": "<p></p>", "ICCIF-species-checked": "testedAndGuaranteed", "ICCIF-species-dilution-info": "", "ICCIF-species-notes": "<p></p>" }, "Rat": { "WB-species-checked": "guaranteed", "WB-species-dilution-info": "", "WB-species-notes": "<p></p>", "IHCP-species-checked": "testedAndGuaranteed", "IHCP-species-dilution-info": "", "IHCP-species-notes": "<p></p>", "ICCIF-species-checked": "guaranteed", "ICCIF-species-dilution-info": "", "ICCIF-species-notes": "" }, "Cow": { "WB-species-checked": "predicted", "WB-species-dilution-info": "", "WB-species-notes": "", "IHCP-species-checked": "predicted", "IHCP-species-dilution-info": "", "IHCP-species-notes": "", "ICCIF-species-checked": "predicted", "ICCIF-species-dilution-info": "", "ICCIF-species-notes": "" }, "Dog": { "WB-species-checked": "predicted", "WB-species-dilution-info": "", "WB-species-notes": "", "IHCP-species-checked": "predicted", "IHCP-species-dilution-info": "", "IHCP-species-notes": "", "ICCIF-species-checked": "predicted", "ICCIF-species-dilution-info": "", "ICCIF-species-notes": "" }, "Frog": { "WB-species-checked": "predicted", "WB-species-dilution-info": "", "WB-species-notes": "", "IHCP-species-checked": "predicted", "IHCP-species-dilution-info": "", "IHCP-species-notes": "", "ICCIF-species-checked": "predicted", "ICCIF-species-dilution-info": "", "ICCIF-species-notes": "" }, "Pig": { "WB-species-checked": "predicted", "WB-species-dilution-info": "", "WB-species-notes": "", "IHCP-species-checked": "predicted", "IHCP-species-dilution-info": "", "IHCP-species-notes": "", "ICCIF-species-checked": "predicted", "ICCIF-species-dilution-info": "", "ICCIF-species-notes": "" } } }

You may be interested in:

AB277430

Human Desmin ELISA Kit

0

0 Reviews

View product

We recommend this product because it’s often used in the same experiment or related research.

We advise that you always check the datasheet to ensure it fits your experiments, or contact ourtechnical teamfor help.

Product details

Properties and storage information

Form
Liquid
Purification technique
Affinity purification Protein A/G
Purification notes
Purified from TCS by protein A/G.
Storage buffer
pH: 7.2 - 7.4 Constituents: PBS
Shipped at conditions
Blue Ice
Appropriate short-term storage conditions
+4°C
Appropriate long-term storage conditions
+4°C
Storage information
Do Not Freeze

Supplementary information

This supplementary information is collated from multiple sources and compiled automatically.

Desmin also referred to as Desmin 20 is an intermediate filament protein with a molecular weight of approximately 53 kDa. Primarily found in muscle cells desmin provides structural integrity to cells being an important component of the cytoskeleton. Desmin expression is highly specific to cardiac skeletal and smooth muscle tissues and it can be detected using desmin marker techniques like desmin IHC (Immunohistochemistry). Desmin staining or desmin stain methods are commonly employed in diagnostic labs to visualize this protein within tissue samples.
Biological function summary

Desmin plays a significant role in maintaining cellular architecture by anchoring organelles such as nuclei and mitochondria within the cytoplasm. It associates with other proteins to form desmin intermediate filament networks which facilitate force transmission and maintain mechanical integrity. This protein does not operate in isolation but is part of a larger complex of cytoskeletal elements that reinforce muscle cell shape and resilience. Its interactions and binding with other cytoskeletal components confirm its essential role in muscle structure.

Pathways

Desmin links closely to the cell structure and function pathways providing stability during muscle contraction processes. It interacts with other proteins including actin and tubulin within the cytoskeleton network ensuring coordinated responses to mechanical stress. Specifically desmin integrates into pathways related to the maintenance of the sarcomere structure thereby connecting to additional important proteins like myosin and dystrophin which collectively uphold muscular function and integrity.

Desmin mutations can lead to myopathies such as desmin-related myopathy (DRM) or cardiomyopathy where the structural disruptions result in abnormal muscle function. These conditions typically manifest as muscle weakness or cardiac abnormalities. Furthermore its relationship to the sarcomere suggests interactions with proteins like dystrophin in muscular dystrophies where desmin integrity critically influences disease progression and severity. Understanding desmin's link to such disorders underpins its role as a diagnostic marker and a potential therapeutic target in muscle-related diseases.

Product protocols

For this product, it's our understanding that no specific protocols are required. You can visit:

Target data

Muscle-specific type III intermediate filament essential for proper muscular structure and function. Plays a crucial role in maintaining the structure of sarcomeres, inter-connecting the Z-disks and forming the myofibrils, linking them not only to the sarcolemmal cytoskeleton, but also to the nucleus and mitochondria, thus providing strength for the muscle fiber during activity (PubMed : 25358400). In adult striated muscle they form a fibrous network connecting myofibrils to each other and to the plasma membrane from the periphery of the Z-line structures (PubMed : 24200904, PubMed : 25394388, PubMed : 26724190). May act as a sarcomeric microtubule-anchoring protein : specifically associates with detyrosinated tubulin-alpha chains, leading to buckled microtubules and mechanical resistance to contraction. Required for nuclear membrane integrity, via anchoring at the cell tip and nuclear envelope, resulting in maintenance of microtubule-derived intracellular mechanical forces (By similarity). Contributes to the transcriptional regulation of the NKX2-5 gene in cardiac progenitor cells during a short period of cardiomyogenesis and in cardiac side population stem cells in the adult. Plays a role in maintaining an optimal conformation of nebulette (NEB) on heart muscle sarcomeres to bind and recruit cardiac alpha-actin (By similarity).
See full target information DES

Product promise

We are committed to supporting your work with high-quality reagents, and we're here for you every step of the way. In the unlikely event that one of our products does not perform as expected, you're protected by our Product Promise.
For full details, please see our Terms & Conditions

Associated Products

Select an associated product type
Alternative Product
Primary Antibodies

AB185033

Alexa Fluor® 488 Anti-Desmin antibody [Y66] - Cytoskeleton Marker

primary-antibodies

alexa-fluor-488-desmin-antibody-y66-cytoskeleton-marker-ab185033

0

(0 reviews)

Alternative Product
Primary Antibodies

AB224935

PE Anti-Desmin antibody [Y66] - Cytoskeleton Marker

primary-antibodies

pe-desmin-antibody-y66-cytoskeleton-marker-ab224935

0

(0 reviews)

Alternative Product
Primary Antibodies

AB32362

Anti-Desmin antibody [Y66] - Cytoskeleton Marker

primary-antibodies

desmin-antibody-y66-cytoskeleton-marker-ab32362

5

(12 reviews)

Alternative Product
Primary Antibodies

AB216616

Anti-Desmin antibody [Y66] - Low endotoxin, Azide free

primary-antibodies

desmin-antibody-y66-low-endotoxin-azide-free-ab216616

0

(0 reviews)

Alternative Product
Primary Antibodies

AB271829

Anti-Desmin antibody [Y66] - BSA and Azide free

primary-antibodies

desmin-antibody-y66-bsa-and-azide-free-ab271829

0

(0 reviews)

Alternative Product
Primary Antibodies

AB195177

Alexa Fluor® 647 Anti-Desmin antibody [Y66] - Cytoskeleton Marker

primary-antibodies

alexa-fluor-647-desmin-antibody-y66-cytoskeleton-marker-ab195177

5

(1 reviews)

Alternative Product
Primary Antibodies

AB203419

Alexa Fluor® 594 Anti-Desmin antibody [Y66] - Cytoskeleton Marker

primary-antibodies

alexa-fluor-594-desmin-antibody-y66-cytoskeleton-marker-ab203419

0

(0 reviews)

Please note: All products are 'FOR RESEARCH USE ONLY. NOT FOR USE IN DIAGNOSTIC OR THERAPEUTIC PROCEDURES'.

For licensing inquiries, please contact partnerships@abcam.com