JavaScript is disabled in your browser. Please enable JavaScript to view this website.
AB271829

Anti-Desmin antibody [Y66] - BSA and Azide free

Be the first to review this product! Submit a review

|

(2 Publications)

Rabbit Recombinant Monoclonal Desmin antibody. Carrier free. Suitable for WB, IHC-P, ICC/IF, Flow Cyt (Intra) and reacts with Mouse, Rat, Guinea pig, Human samples. Cited in 2 publications.

View Alternative Names

Desmin, DES

11 Images
Immunohistochemistry (Formalin/PFA-fixed paraffin-embedded sections) - Anti-Desmin antibody [Y66] - BSA and Azide free (AB271829)
  • IHC-P

Unknown

Immunohistochemistry (Formalin/PFA-fixed paraffin-embedded sections) - Anti-Desmin antibody [Y66] - BSA and Azide free (AB271829)

Immunohistochemistry (Formalin/PFA-fixed parffin-embedded sections) analysis of normal human urinary bladder tissue labelling Desmin with unpurified ab32362.

Perform heat mediated antigen retrieval before commencing with IHC staining protocol.

This data was developed using the same antibody clone in a different buffer formulation containing PBS, BSA, glycerol, and sodium azide (ab32362).

Immunohistochemistry (Formalin/PFA-fixed paraffin-embedded sections) - Anti-Desmin antibody [Y66] - BSA and Azide free (AB271829)
  • IHC-P

Unknown

Immunohistochemistry (Formalin/PFA-fixed paraffin-embedded sections) - Anti-Desmin antibody [Y66] - BSA and Azide free (AB271829)

Immunohistochemistry (Formalin/PFA-fixed parffin-embedded sections) analysis of normal human uterus tissue labelling Desmin with unpurified ab32362.

Perform heat mediated antigen retrieval before commencing with IHC staining protocol.

This data was developed using the same antibody clone in a different buffer formulation containing PBS, BSA, glycerol, and sodium azide (ab32362).

Immunohistochemistry (Formalin/PFA-fixed paraffin-embedded sections) - Anti-Desmin antibody [Y66] - BSA and Azide free (AB271829)
  • IHC-P

Unknown

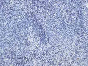
Immunohistochemistry (Formalin/PFA-fixed paraffin-embedded sections) - Anti-Desmin antibody [Y66] - BSA and Azide free (AB271829)

Immunohistochemistry (Formalin/PFA-fixed parffin-embedded sections) analysis of normal human tonsil tissue. Unpurified ab32362 shows negative staining.

Perform heat mediated antigen retrieval before commencing with IHC staining protocol.

This data was developed using the same antibody clone in a different buffer formulation containing PBS, BSA, glycerol, and sodium azide (ab32362).

Immunocytochemistry/ Immunofluorescence - Anti-Desmin antibody [Y66] - BSA and Azide free (AB271829)
  • ICC/IF

Unknown

Immunocytochemistry/ Immunofluorescence - Anti-Desmin antibody [Y66] - BSA and Azide free (AB271829)

Immunocytochemistry/Immunofluorescence analysis of A673 cells labelling Desmin with purified ab32362 at 1/50. Cells were fixed with 4% paraformaldehyde and permeabilized with 0.1% Triton X-100. ab150077, an Alexa Fluor® 488-conjugated goat anti-rabbit IgG (1/500) was used as the secondary antibody. DAPI (blue) was used as the nuclear counterstain.

Control : primary antibody (1/50) and secondary antibody, ab150120, an Alexa Fluor® 594-conjugated goat anti-mouse IgG (1/500).

This data was developed using the same antibody clone in a different buffer formulation containing PBS, BSA, glycerol, and sodium azide (ab32362).

Immunohistochemistry (Formalin/PFA-fixed paraffin-embedded sections) - Anti-Desmin antibody [Y66] - BSA and Azide free (AB271829)
  • IHC-P

Unknown

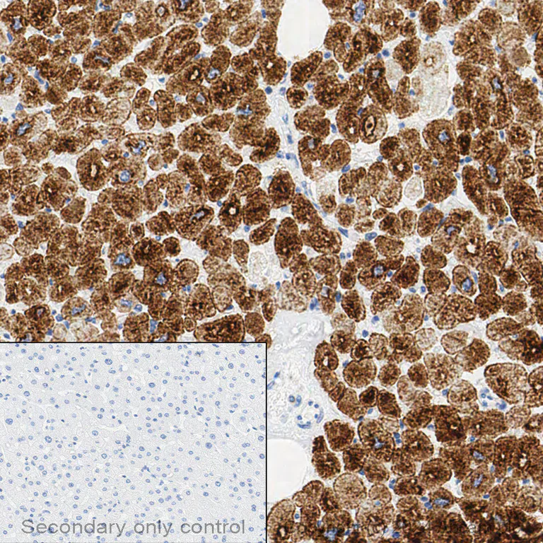
Immunohistochemistry (Formalin/PFA-fixed paraffin-embedded sections) - Anti-Desmin antibody [Y66] - BSA and Azide free (AB271829)

Immunohistochemistry (Formalin/PFA-fixed parffin-embedded sections) analysis of human skeletal muscle tissue labelling Desmin with unpurified ab32362.

Perform heat mediated antigen retrieval before commencing with IHC staining protocol.

This data was developed using the same antibody clone in a different buffer formulation containing PBS, BSA, glycerol, and sodium azide (ab32362).

Immunohistochemistry (Formalin/PFA-fixed paraffin-embedded sections) - Anti-Desmin antibody [Y66] - BSA and Azide free (AB271829)
  • IHC-P

Unknown

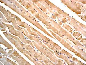
Immunohistochemistry (Formalin/PFA-fixed paraffin-embedded sections) - Anti-Desmin antibody [Y66] - BSA and Azide free (AB271829)

Immunohistochemistry (Formalin/PFA-fixed paraffin-embedded sections) analysis of human skeletal muscle tissue labelling Desmin with purified ab32362 at 1/2000. Heat mediated antigen retrieval was performed using Tris/EDTA buffer pH 9. ab97051, a HRP-conjugated goat anti-rabbit IgG (H+L) was used as the secondary antibody (1/500). Negative control using PBS instead of primary antibody. Counterstained with hematoxylin.

This data was developed using the same antibody clone in a different buffer formulation containing PBS, BSA, glycerol, and sodium azide (ab32362).

Immunohistochemistry (Formalin/PFA-fixed paraffin-embedded sections) - Anti-Desmin antibody [Y66] - BSA and Azide free (AB271829)
  • IHC-P

Unknown

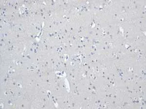
Immunohistochemistry (Formalin/PFA-fixed paraffin-embedded sections) - Anti-Desmin antibody [Y66] - BSA and Azide free (AB271829)

Immunohistochemistry (Formalin/PFA-fixed parffin-embedded sections) analysis of normal human brain tissue. Unpurified ab32362 shows negative staining.

Perform heat mediated antigen retrieval before commencing with IHC staining protocol.

This data was developed using the same antibody clone in a different buffer formulation containing PBS, BSA, glycerol, and sodium azide (ab32362).

Immunohistochemistry (Formalin/PFA-fixed paraffin-embedded sections) - Anti-Desmin antibody [Y66] - BSA and Azide free (AB271829)
  • IHC-P

Lab

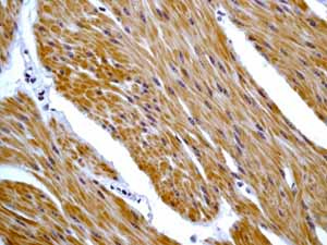
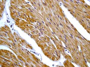
Immunohistochemistry (Formalin/PFA-fixed paraffin-embedded sections) - Anti-Desmin antibody [Y66] - BSA and Azide free (AB271829)

This data was developed using the same antibody clone in a different buffer formulation (ab32362).

Immunohistochemical analysis of formalin fixed paraffin embedded human heart labelling Desmin with ab32362 at a concentration of 0.1 µg/ml. The immunostaining was performed on a Ventana DISCOVERY ULTRA (Roche Tissue Diagnostics) instrument with a OptiView DAB IHC Detection Kit. Heat mediated antigen retrieval was performed with DISCOVERY cell conditioning solution (CC1) 100°C, pH8.5 for 32mins.

Anti-Desmin antibody [Y66] ab32362 was incubated for 16mins at 37°C. Sections were counterstained with Hematoxylin II. Image inset shows absence of staining in secondary antibody only control.

Customers are encouraged to optimise antigen retrieval conditions, antibody concentration, incubation times and temperature for best results in their own IHC assay workflow (automated and manual).

Flow Cytometry (Intracellular) - Anti-Desmin antibody [Y66] - BSA and Azide free (AB271829)
  • Flow Cyt (Intra)

Unknown

Flow Cytometry (Intracellular) - Anti-Desmin antibody [Y66] - BSA and Azide free (AB271829)

Intracellular Flow Cytometry analysis of C2C12 cells labelling Desmin with purified ab32362 at 1/70 (red). Cells were fixed with 2% paraformaldehyde. A FITC-conjugated goat anti-rabbit IgG (1/150) was used as the secondary antibody. Black - Isotype control, rabbit monoclonal IgG. Blue - Unlabelled control, cells without incubation with primary and secondary antibodies.

This data was developed using the same antibody clone in a different buffer formulation containing PBS, BSA, glycerol, and sodium azide (ab32362).

Immunocytochemistry/ Immunofluorescence - Anti-Desmin antibody [Y66] - BSA and Azide free (AB271829)
  • ICC/IF

Unknown

Immunocytochemistry/ Immunofluorescence - Anti-Desmin antibody [Y66] - BSA and Azide free (AB271829)

Immunocytochemistry/Immunofluorescence analysis of C2C12 (Mouse myoblasts myoblast) cells labeling Desmin with ab32362 at 1/500. Cells were fixed with 100% Methanol. ab150077, an Alexa Fluor® 488-conjugated goat anti-rabbit IgG (1/1000) was used as the secondary antibody. DAPI (blue) was used as the nuclear counterstain.

ab195889, Anti-alpha Tubulin antibody [DM1A] - Microtubule Marker (Alexa Fluor® 594) 1/200 was used as counterstain antibody.

Confocal image showing cytoplasmic staining on C2C12 cell line.

This data was developed using the same antibody clone in a different buffer formulation containing PBS, BSA, glycerol, and sodium azide (ab32362).

Western blot - Anti-Desmin antibody [Y66] - BSA and Azide free (AB271829)
  • WB

Lab

Western blot - Anti-Desmin antibody [Y66] - BSA and Azide free (AB271829)

Blocking and diluting buffer concentration : 5% NFDM/TBST.

The molecular weight observed is consistent with what has been described in the literature (PMID : 26041514, 32322014, and 28955862).

This data was developed using the same antibody clone in a different buffer formulation containing PBS, BSA, glycerol, and sodium azide (ab32362).

All lanes:

Western blot - Anti-Desmin antibody [Y66] - Cytoskeleton Marker (<a href='/en-us/products/primary-antibodies/desmin-antibody-y66-cytoskeleton-marker-ab32362'>ab32362</a>) at 1/1000 dilution

Lane 1:

Human skeletal muscle tissue lysate at 20 µg

Lane 2:

Mouse heart tissue lysate at 20 µg

Lane 3:

C2C12 (Mouse myoblasts myoblast) whole cell lysate at 20 µg

Secondary

All lanes:

Goat Anti-Rabbit IgG (HRP) with minimal cross-reactivity with human IgG at 1/2000 dilution

Predicted band size: 54 kDa

Observed band size: 53 kDa,35-50 kDa

false

Exposure time: 3s

  • Unconjugated

    Anti-Desmin antibody [Y66] - Cytoskeleton Marker

  • 519 Alexa Fluor® 488

    Alexa Fluor® 488 Anti-Desmin antibody [Y66] - Cytoskeleton Marker

  • 660 APC

    APC Anti-Desmin antibody [Y66] - Cytoskeleton Marker

  • 565 Alexa Fluor® 555

    Alexa Fluor® 555 Anti-Desmin antibody [Y66] - Cytoskeleton Marker

  • 578 PE

    PE Anti-Desmin antibody [Y66] - Cytoskeleton Marker

  • HRP

    HRP Anti-Desmin antibody [Y66] - Cytoskeleton Marker

  • 665 Alexa Fluor® 647

    Alexa Fluor® 647 Anti-Desmin antibody [Y66] - Cytoskeleton Marker

  • 617 Alexa Fluor® 594

    Alexa Fluor® 594 Anti-Desmin antibody [Y66] - Cytoskeleton Marker

  • Biotin

    Biotin Anti-Desmin antibody [Y66] - Cytoskeleton Marker

Key facts

Host species

Rabbit

Clonality

Monoclonal

Clone number

Y66

Isotype

IgG

Carrier free

Yes

Reacts with

Mouse, Rat, Guinea pig, Human

Applications

WB, Flow Cyt (Intra), ICC/IF, IHC-P

applications

Immunogen

The exact immunogen used to generate this antibody is proprietary information.

Epitope

ab32362 reacts with an epitope located in the C terminal region of desmin.

Reactivity data

{ "title": "Reactivity Data", "filters": { "stats": ["", "Species", "Dilution Info", "Notes"], "tabs": { "all-applications": {"fullname" : "All Applications", "shortname": "All Applications"}, "WB" : {"fullname" : "Western blot", "shortname":"WB"}, "IHCP" : {"fullname" : "Immunohistochemistry (Formalin/PFA-fixed paraffin-embedded sections)", "shortname":"IHC-P"}, "ICCIF" : {"fullname" : "Immunocytochemistry/ Immunofluorescence", "shortname":"ICC/IF"}, "FlowCytIntra" : {"fullname" : "Flow Cytometry (Intracellular)", "shortname":"Flow Cyt (Intra)"} }, "product-promise": { "all": "all", "testedAndGuaranteed": "tested", "guaranteed": "expected", "predicted": "predicted", "notRecommended": "not-recommended" } }, "values": { "Human": { "WB-species-checked": "testedAndGuaranteed", "WB-species-dilution-info": "", "WB-species-notes": "<p></p>", "IHCP-species-checked": "testedAndGuaranteed", "IHCP-species-dilution-info": "", "IHCP-species-notes": "<p></p>", "ICCIF-species-checked": "testedAndGuaranteed", "ICCIF-species-dilution-info": "", "ICCIF-species-notes": "<p></p>", "FlowCytIntra-species-checked": "guaranteed", "FlowCytIntra-species-dilution-info": "", "FlowCytIntra-species-notes": "" }, "Mouse": { "WB-species-checked": "testedAndGuaranteed", "WB-species-dilution-info": "", "WB-species-notes": "<p></p>", "IHCP-species-checked": "guaranteed", "IHCP-species-dilution-info": "", "IHCP-species-notes": "", "ICCIF-species-checked": "testedAndGuaranteed", "ICCIF-species-dilution-info": "", "ICCIF-species-notes": "<p></p>", "FlowCytIntra-species-checked": "testedAndGuaranteed", "FlowCytIntra-species-dilution-info": "", "FlowCytIntra-species-notes": "<p><a href='/en-us/products/primary-antibodies/rabbit-igg-monoclonal-epr25a-isotype-control-ab172730'>ab172730</a> - Rabbit monoclonal IgG, is suitable for use as an isotype control with this antibody.</p>" }, "Rat": { "WB-species-checked": "testedAndGuaranteed", "WB-species-dilution-info": "", "WB-species-notes": "<p></p>", "IHCP-species-checked": "guaranteed", "IHCP-species-dilution-info": "", "IHCP-species-notes": "", "ICCIF-species-checked": "guaranteed", "ICCIF-species-dilution-info": "", "ICCIF-species-notes": "", "FlowCytIntra-species-checked": "guaranteed", "FlowCytIntra-species-dilution-info": "", "FlowCytIntra-species-notes": "" }, "Guinea pig": { "WB-species-checked": "testedAndGuaranteed", "WB-species-dilution-info": "", "WB-species-notes": "<p></p>", "IHCP-species-checked": "guaranteed", "IHCP-species-dilution-info": "", "IHCP-species-notes": "", "ICCIF-species-checked": "guaranteed", "ICCIF-species-dilution-info": "", "ICCIF-species-notes": "", "FlowCytIntra-species-checked": "guaranteed", "FlowCytIntra-species-dilution-info": "", "FlowCytIntra-species-notes": "" } } }

Product details

ab271829 is the carrier-free version of ab32362.

Patented technology
Our RabMAb® technology is a patented hybridoma-based technology for making rabbit monoclonal antibodies. For details on our patents, please refer to RabMAb® patents.

What are the advantages of a recombinant monoclonal antibody?
This product is a recombinant monoclonal antibody, which offers several advantages including:

  • - High batch-to-batch consistency and reproducibility
  • - Improved sensitivity and specificity
  • - Long-term security of supply
  • - Animal-free batch production

For more information, read more on recombinant antibodies.

Conjugation ready
Our carrier-free antibodies are typically supplied in a PBS-only formulation, purified and free of BSA, sodium azide and glycerol. This conjugation-ready format is designed for use with fluorochromes, metal isotopes, oligonucleotides, and enzymes, which makes them ideal for antibody labelling, functional and cell-based assays, flow-based assays (e.g. mass cytometry) and Multiplex Imaging applications.

Use our conjugation kits for antibody conjugates that are ready-to-use in as little as 20 minutes with 1 minute hands-on-time and 100% antibody recovery: available for fluorescent dyes, HRP, biotin and gold.

Compatibility
This product is compatible with the Maxpar® Antibody Labeling Kit from Fluidigm, without the need for antibody preparation. Maxpar® is a trademark of Fluidigm Canada Inc.

Properties and storage information

Form
Liquid
Purification technique
Affinity purification Protein A
Storage buffer
pH: 7.2 - 7.4 Constituents: PBS
Shipped at conditions
Blue Ice
Appropriate short-term storage conditions
+4°C
Appropriate long-term storage conditions
+4°C
Storage information
Do Not Freeze

Supplementary information

This supplementary information is collated from multiple sources and compiled automatically.

Desmin also referred to as Desmin 20 is an intermediate filament protein with a molecular weight of approximately 53 kDa. Primarily found in muscle cells desmin provides structural integrity to cells being an important component of the cytoskeleton. Desmin expression is highly specific to cardiac skeletal and smooth muscle tissues and it can be detected using desmin marker techniques like desmin IHC (Immunohistochemistry). Desmin staining or desmin stain methods are commonly employed in diagnostic labs to visualize this protein within tissue samples.
Biological function summary

Desmin plays a significant role in maintaining cellular architecture by anchoring organelles such as nuclei and mitochondria within the cytoplasm. It associates with other proteins to form desmin intermediate filament networks which facilitate force transmission and maintain mechanical integrity. This protein does not operate in isolation but is part of a larger complex of cytoskeletal elements that reinforce muscle cell shape and resilience. Its interactions and binding with other cytoskeletal components confirm its essential role in muscle structure.

Pathways

Desmin links closely to the cell structure and function pathways providing stability during muscle contraction processes. It interacts with other proteins including actin and tubulin within the cytoskeleton network ensuring coordinated responses to mechanical stress. Specifically desmin integrates into pathways related to the maintenance of the sarcomere structure thereby connecting to additional important proteins like myosin and dystrophin which collectively uphold muscular function and integrity.

Desmin mutations can lead to myopathies such as desmin-related myopathy (DRM) or cardiomyopathy where the structural disruptions result in abnormal muscle function. These conditions typically manifest as muscle weakness or cardiac abnormalities. Furthermore its relationship to the sarcomere suggests interactions with proteins like dystrophin in muscular dystrophies where desmin integrity critically influences disease progression and severity. Understanding desmin's link to such disorders underpins its role as a diagnostic marker and a potential therapeutic target in muscle-related diseases.

Product protocols

For this product, it's our understanding that no specific protocols are required. You can visit:

Target data

Muscle-specific type III intermediate filament essential for proper muscular structure and function. Plays a crucial role in maintaining the structure of sarcomeres, inter-connecting the Z-disks and forming the myofibrils, linking them not only to the sarcolemmal cytoskeleton, but also to the nucleus and mitochondria, thus providing strength for the muscle fiber during activity (PubMed : 25358400). In adult striated muscle they form a fibrous network connecting myofibrils to each other and to the plasma membrane from the periphery of the Z-line structures (PubMed : 24200904, PubMed : 25394388, PubMed : 26724190). May act as a sarcomeric microtubule-anchoring protein : specifically associates with detyrosinated tubulin-alpha chains, leading to buckled microtubules and mechanical resistance to contraction. Required for nuclear membrane integrity, via anchoring at the cell tip and nuclear envelope, resulting in maintenance of microtubule-derived intracellular mechanical forces (By similarity). Contributes to the transcriptional regulation of the NKX2-5 gene in cardiac progenitor cells during a short period of cardiomyogenesis and in cardiac side population stem cells in the adult. Plays a role in maintaining an optimal conformation of nebulette (NEB) on heart muscle sarcomeres to bind and recruit cardiac alpha-actin (By similarity).
See full target information DES

Publications (2)

Recent publications for all applications. Explore the full list and refine your search

Cancer cell 39:1227-1244.e20 PubMed34297917

2021

Single-cell analysis defines a pancreatic fibroblast lineage that supports anti-tumor immunity.

Applications

Unspecified application

Species

Unspecified reactive species

Colin Hutton,Felix Heider,Adrian Blanco-Gomez,Antonia Banyard,Alexander Kononov,Xiaohong Zhang,Saadia Karim,Viola Paulus-Hock,Dale Watt,Nina Steele,Samantha Kemp,Elizabeth K J Hogg,Joanna Kelly,Rene-Filip Jackstadt,Filipa Lopes,Matteo Menotti,Luke Chisholm,Angela Lamarca,Juan Valle,Owen J Sansom,Caroline Springer,Angeliki Malliri,Richard Marais,Marina Pasca di Magliano,Santiago Zelenay,Jennifer P Morton,Claus Jørgensen

Experimental and therapeutic medicine 21:322 PubMed33732295

2021

Effects of shRNA-mediated silencing of PDE5A3 on intracellular cGMP and free Ca levels and human prostate smooth muscle cell proliferation from benign prostatic hyperplasia.

Applications

Unspecified application

Species

Unspecified reactive species

Zheng Xu,Yuzheng Ge,Ke Jiang,Luwei Xu,Jiageng Zhu,Changcheng Zhou,Liuhua Zhou,Ruipeng Jia
View all publications

Product promise

We are committed to supporting your work with high-quality reagents, and we're here for you every step of the way. In the unlikely event that one of our products does not perform as expected, you're protected by our Product Promise.
For full details, please see our Terms & Conditions

Please note: All products are 'FOR RESEARCH USE ONLY. NOT FOR USE IN DIAGNOSTIC OR THERAPEUTIC PROCEDURES'.

For licensing inquiries, please contact partnerships@abcam.com