JavaScript is disabled in your browser. Please enable JavaScript to view this website.
AB32362

Anti-Desmin antibody [Y66] - Cytoskeleton Marker

5

(12 Reviews)

|

(248 Publications)

Anti-Desmin antibody [Y66] - Cytoskeleton Marker (ab32362) is a rabbit monoclonal antibody detecting Desmin in Western Blot, Flow Cytometry (Intra), Flow Cytometry, IHC-P, ICC/IF. Suitable for Guinea pig, Human, Mouse, Rat.

- Biophysical QC for unrivalled batch-batch consistency
- Over 170 publications
- Trusted since 2006

View Alternative Names

Desmin, DES

20 Images
Immunocytochemistry/ Immunofluorescence - Anti-Desmin antibody [Y66] - Cytoskeleton Marker (AB32362)
  • ICC/IF

Lab

Immunocytochemistry/ Immunofluorescence - Anti-Desmin antibody [Y66] - Cytoskeleton Marker (AB32362)

Immunofluorescence staining of Desmin using ab32362 in ab277612, which were differentiated for 10 days post induction.

The cells were fixed with 100% MeOH (5 min) and then blocked with 1% BSA/10% normal goat serum/0.3M glycine in 0.1% PBS-Tween for 1h. The cells were then incubated overnight at +4°C with ab32362 at 0.02 µg/mL and ab7291, Mouse monoclonal [DM1A] to alpha Tubulin, at 1/1000 dilution. Cells were then incubated with ab150081, Goat Anti-Rabbit IgG H&L (Alexa Fluor® 488) preadsorbed at 1/1000 dilution (shown in green) and ab150120, Goat Anti-Mouse IgG H&L (Alexa Fluor® 594) preadsorbed at 1/1000 dilution (shown in red). Nuclear DNA was labelled with DAPI (shown in blue).

Image was acquired with a high-content analyser (Operetta CLS, Perkin Elmer) and a maximum intensity projection of confocal sections is shown. Gamma is adjusted to 1.5 in all channels.

The antibody ab32362 gave comparable results using 4% formaldehyde fixation (10 min).

Immunohistochemistry (Formalin/PFA-fixed paraffin-embedded sections) - Anti-Desmin antibody [Y66] - Cytoskeleton Marker (AB32362)
  • IHC-P

Unknown

Immunohistochemistry (Formalin/PFA-fixed paraffin-embedded sections) - Anti-Desmin antibody [Y66] - Cytoskeleton Marker (AB32362)

Immunohistochemistry (Formalin/PFA-fixed parffin-embedded sections) analysis of normal human urinary bladder tissue labelling Desmin with unpurified ab32362.

Perform heat mediated antigen retrieval before commencing with IHC staining protocol.

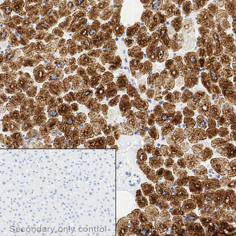
Immunohistochemistry (Formalin/PFA-fixed paraffin-embedded sections) - Anti-Desmin antibody [Y66] - Cytoskeleton Marker (AB32362)
  • IHC-P

Unknown

Immunohistochemistry (Formalin/PFA-fixed paraffin-embedded sections) - Anti-Desmin antibody [Y66] - Cytoskeleton Marker (AB32362)

Immunohistochemistry (Formalin/PFA-fixed parffin-embedded sections) analysis of normal human tonsil tissue. Unpurified ab32362 shows negative staining.

Perform heat mediated antigen retrieval before commencing with IHC staining protocol.

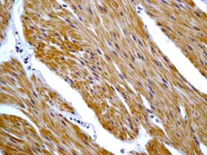
Immunohistochemistry (Formalin/PFA-fixed paraffin-embedded sections) - Anti-Desmin antibody [Y66] - Cytoskeleton Marker (AB32362)
  • IHC-P

Lab

Immunohistochemistry (Formalin/PFA-fixed paraffin-embedded sections) - Anti-Desmin antibody [Y66] - Cytoskeleton Marker (AB32362)

Immunohistochemical analysis of formalin fixed paraffin embedded human heart labelling Desmin with ab32362 at a concentration of 0.1 µg/ml. The immunostaining was performed on a Ventana DISCOVERY ULTRA (Roche Tissue Diagnostics) instrument with a OptiView DAB IHC Detection Kit. Heat mediated antigen retrieval was performed with DISCOVERY cell conditioning solution (CC1) 100°C, pH8.5 for 32mins.

Anti-Desmin antibody [Y66] ab32362 was incubated for 16mins at 37°C. Sections were counterstained with Hematoxylin II. Image inset shows absence of staining in secondary antibody only control.

Customers are encouraged to optimise antigen retrieval conditions, antibody concentration, incubation times and temperature for best results in their own IHC assay workflow (automated and manual).

Immunocytochemistry/ Immunofluorescence - Anti-Desmin antibody [Y66] - Cytoskeleton Marker (AB32362)
  • ICC/IF

Unknown

Immunocytochemistry/ Immunofluorescence - Anti-Desmin antibody [Y66] - Cytoskeleton Marker (AB32362)

Immunocytochemistry/Immunofluorescence analysis of A673 cells labelling Desmin with purified ab32362 at 1/50. Cells were fixed with 4% paraformaldehyde and permeabilized with 0.1% Triton X-100. ab150077 an Alexa Fluor® 488-conjugated goat anti-rabbit IgG (1/500) was used as the secondary antibody. DAPI (blue) was used as the nuclear counterstain.

Control : primary antibody (1/50) and secondary antibody ab150120 an Alexa Fluor® 594-conjugated goat anti-mouse IgG (1/500).

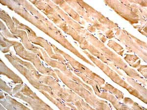
Immunohistochemistry (Formalin/PFA-fixed paraffin-embedded sections) - Anti-Desmin antibody [Y66] - Cytoskeleton Marker (AB32362)
  • IHC-P

Unknown

Immunohistochemistry (Formalin/PFA-fixed paraffin-embedded sections) - Anti-Desmin antibody [Y66] - Cytoskeleton Marker (AB32362)

Immunohistochemistry (Formalin/PFA-fixed parffin-embedded sections) analysis of human skeletal muscle tissue labelling Desmin with unpurified ab32362.

Perform heat mediated antigen retrieval before commencing with IHC staining protocol.

Immunohistochemistry (Formalin/PFA-fixed paraffin-embedded sections) - Anti-Desmin antibody [Y66] - Cytoskeleton Marker (AB32362)
  • IHC-P

Unknown

Immunohistochemistry (Formalin/PFA-fixed paraffin-embedded sections) - Anti-Desmin antibody [Y66] - Cytoskeleton Marker (AB32362)

Immunohistochemistry (Formalin/PFA-fixed parffin-embedded sections) analysis of normal human uterus tissue labelling Desmin with unpurified ab32362.

Perform heat mediated antigen retrieval before commencing with IHC staining protocol.

Immunocytochemistry/ Immunofluorescence - Anti-Desmin antibody [Y66] - Cytoskeleton Marker (AB32362)
  • ICC/IF

AbReview38459****

Immunocytochemistry/ Immunofluorescence - Anti-Desmin antibody [Y66] - Cytoskeleton Marker (AB32362)

Unpurified ab32362 staining Desmin (green) in Human skeletal muscle cells by ICC/IF (Immunocytochemistry/immunofluorescence). Cells were fixed with methacarn and blocked with 10% serum for 20 minutes at 22°C. Samples were incubated with primary antibody (1/150) for 12 hours. An Alexa Fluor® 488-conjugated Goat anti-rabbit IgG polyclonal (1/200) was used as the secondary antibody. Blue - DAPI-nuclei. Red - WGA. 40X objective.

This image is courtesy of an anonymous Abreview.

Immunohistochemistry (Formalin/PFA-fixed paraffin-embedded sections) - Anti-Desmin antibody [Y66] - Cytoskeleton Marker (AB32362)
  • IHC-P

Unknown

Immunohistochemistry (Formalin/PFA-fixed paraffin-embedded sections) - Anti-Desmin antibody [Y66] - Cytoskeleton Marker (AB32362)

Immunohistochemistry (Formalin/PFA-fixed paraffin-embedded sections) analysis of human skeletal muscle tissue labelling Desmin with purified ab32362 at 1/2000. Heat mediated antigen retrieval was performed using Tris/EDTA buffer pH 9. ab97051 a HRP-conjugated goat anti-rabbit IgG (H+L) was used as the secondary antibody (1/500). Negative control using PBS instead of primary antibody. Counterstained with hematoxylin.

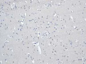
Immunohistochemistry (Formalin/PFA-fixed paraffin-embedded sections) - Anti-Desmin antibody [Y66] - Cytoskeleton Marker (AB32362)
  • IHC-P

Unknown

Immunohistochemistry (Formalin/PFA-fixed paraffin-embedded sections) - Anti-Desmin antibody [Y66] - Cytoskeleton Marker (AB32362)

Immunohistochemistry (Formalin/PFA-fixed parffin-embedded sections) analysis of normal human brain tissue. Unpurified ab32362 shows negative staining.

Perform heat mediated antigen retrieval before commencing with IHC staining protocol.

Immunocytochemistry/ Immunofluorescence - Anti-Desmin antibody [Y66] - Cytoskeleton Marker (AB32362)
  • ICC/IF

Unknown

Immunocytochemistry/ Immunofluorescence - Anti-Desmin antibody [Y66] - Cytoskeleton Marker (AB32362)

Immunocytochemistry/Immunofluorescence analysis of C2C12 (Mouse myoblasts myoblast) cells labeling Desmin with ab32362 at 1/500. Cells were fixed with 100% Methanol. ab150077 an Alexa Fluor® 488-conjugated goat anti-rabbit IgG (1/1000) was used as the secondary antibody. DAPI (blue) was used as the nuclear counterstain.

ab195889 Anti-alpha Tubulin antibody [DM1A] - Microtubule Marker (Alexa Fluor® 594) 1/200 was used as counterstain antibody.

Confocal image showing cytoplasmic staining on C2C12 cell line.

Immunocytochemistry/ Immunofluorescence - Anti-Desmin antibody [Y66] - Cytoskeleton Marker (AB32362)
  • ICC/IF

AbReview38457****

Immunocytochemistry/ Immunofluorescence - Anti-Desmin antibody [Y66] - Cytoskeleton Marker (AB32362)

Unpurified ab32362 staining Desmin (green) in Mouse aorta smooth muscle cells by ICC/IF (Immunocytochemistry/immunofluorescence). Cells were fixed with formalin and blocked with 10% serum for 20 minutes at 22°C. Samples were incubated with primary antibody (1/150) for 1 hour at 22°C. An Alexa Fluor® 488-conjugated Goat anti-rabbit IgG polyclonal (1/200) was used as the secondary antibody. Blue - nuclei.

This image is courtesy of an anonymous Abreview.

Flow Cytometry (Intracellular) - Anti-Desmin antibody [Y66] - Cytoskeleton Marker (AB32362)
  • Flow Cyt (Intra)

Unknown

Flow Cytometry (Intracellular) - Anti-Desmin antibody [Y66] - Cytoskeleton Marker (AB32362)

Intracellular Flow Cytometry analysis of C2C12 cells labelling Desmin with purified ab32362 at 1/70 (red). Cells were fixed with 2% paraformaldehyde. A FITC-conjugated goat anti-rabbit IgG (1/150) was used as the secondary antibody. Black - Isotype control, rabbit monoclonal IgG. Blue - Unlabelled control, cells without incubation with primary and secondary antibodies.

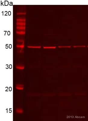
Western blot - Anti-Desmin antibody [Y66] - Cytoskeleton Marker (AB32362)
  • WB

AbReview38458****

Western blot - Anti-Desmin antibody [Y66] - Cytoskeleton Marker (AB32362)

All lanes:

Western blot - Anti-Desmin antibody [Y66] - Cytoskeleton Marker (ab32362) at 1/500 dilution

All lanes:

Human skeletal muscle whole tissue lysate at 20 µg

Secondary

All lanes:

IRDye® 680-conjugated anti-rabbit at 1/5000 dilution

Predicted band size: 54 kDa

Observed band size: 53 kDa

true

Exposure time: 50s

This image is courtesy of an anonymous Abreview

Western blot - Anti-Desmin antibody [Y66] - Cytoskeleton Marker (AB32362)
  • WB

Lab

Western blot - Anti-Desmin antibody [Y66] - Cytoskeleton Marker (AB32362)

Blocking and diluting buffer concentration : 5% NFDM/TBST.

The molecular weight observed is consistent with what has been described in the literature (PMID : 26041514, 32322014, and 28955862).

All lanes:

Western blot - Anti-Desmin antibody [Y66] - Cytoskeleton Marker (ab32362) at 1/1000 dilution

Lane 1:

Human skeletal muscle tissue lysate at 20 µg

Lane 2:

Mouse heart tissue lysate at 20 µg

Lane 3:

C2C12 (Mouse myoblasts myoblast) whole cell lysate at 20 µg

Secondary

All lanes:

Goat Anti-Rabbit IgG (HRP) with minimal cross-reactivity with human IgG at 1/2000 dilution

Predicted band size: 54 kDa

Observed band size: 53 kDa,35-50 kDa

false

Exposure time: 3s

Immunohistochemistry (Formalin/PFA-fixed paraffin-embedded sections) - Anti-Desmin antibody [Y66] - Cytoskeleton Marker (AB32362)
  • IHC-P

PubMed

Immunohistochemistry (Formalin/PFA-fixed paraffin-embedded sections) - Anti-Desmin antibody [Y66] - Cytoskeleton Marker (AB32362)

Immunofluorescent analysis of Human mitochondria injected rabbit hearts sections stained for Desmin (Green) using ab32362. MTCO2, the human-specific mitochondrial marker was stained in red, and the nuclei was stained using the DNA stain DAPI (blue).

Image from Cowan DB et al. Intracoronary Delivery of Mitochondria to the Ischemic Heart for Cardioprotection. PLoS One 11:e0160889 (2016).

Western blot - Anti-Desmin antibody [Y66] - Cytoskeleton Marker (AB32362)
  • WB

Collaborator

Western blot - Anti-Desmin antibody [Y66] - Cytoskeleton Marker (AB32362)

Blocking buffer and concentration : 5% NFDM/TBST.

Diluting buffer and concentration : 5% NFDM /TBST.

All lanes:

Western blot - Anti-Desmin antibody [Y66] - Cytoskeleton Marker (ab32362) at 1/100000 dilution

Lane 1:

Guinea pig heart tissue lysate at 10 µg

Lane 2:

Guinea pig muscle tissue lysate at 10 µg

Secondary

All lanes:

Peroxidase-conjugated goat anti-rabbit IgG (H+L) at 1/1000 dilution

Predicted band size: 54 kDa

Observed band size: 53 kDa

false

Western blot - Anti-Desmin antibody [Y66] - Cytoskeleton Marker (AB32362)
  • WB

Lab

Western blot - Anti-Desmin antibody [Y66] - Cytoskeleton Marker (AB32362)

Blocking buffer and concentration : 5% NFDM/TBST.

Diluting buffer and concentration : 5% NFDM /TBST.

All lanes:

Western blot - Anti-Desmin antibody [Y66] - Cytoskeleton Marker (ab32362) at 1/500000 dilution

Lane 1:

Mouse heart tissue lysate at 20 µg

Lane 2:

Rat heart tissue lysate at 20 µg

Secondary

All lanes:

HRP-conjugated anti-rabbit IgG, specific to the non-reduced form of IgG at 1/1000 dilution

Predicted band size: 54 kDa

Observed band size: 53 kDa

false

Western blot - Anti-Desmin antibody [Y66] - Cytoskeleton Marker (AB32362)
  • WB

Lab

Western blot - Anti-Desmin antibody [Y66] - Cytoskeleton Marker (AB32362)

Blocking buffer and concentration : 5% NFDM/TBST.

Diluting buffer and concentration : 5% NFDM /TBST.

All lanes:

Western blot - Anti-Desmin antibody [Y66] - Cytoskeleton Marker (ab32362) at 1/500000 dilution

Lane 1:

Human skeletal muscle tissue lysate at 20 µg

Lane 2:

Human fetal heart tissue lysate at 20 µg

Lane 3:

Human fetal muscle tissue lysate at 20 µg

Secondary

All lanes:

HRP-conjugated anti-rabbit IgG, specific to the non-reduced form of IgG at 1/1000 dilution

Predicted band size: 54 kDa

Observed band size: 53 kDa

false

Western blot - Anti-Desmin antibody [Y66] - Cytoskeleton Marker (AB32362)
  • WB

CiteAb

Western blot - Anti-Desmin antibody [Y66] - Cytoskeleton Marker (AB32362)

Desmin western blot using anti-Desmin antibody [Y66] - Cytoskeleton Marker ab32362. Publication image and figure legend from Xu, M., Zhang, F., et al., 2016, PLoS One, PubMed 27907201.

ab32362 was used in this publication in western blot. This may not be the same as the application(s) guaranteed by Abcam. For a full list of applications guaranteed by Abcam for ab32362 please see the product overview.

TWEAK significantly increased the expression of α-SMA, vimentin, desmin in LX-2 cells and changed the cell morphology.The mRNA (A) and protein (B) of α-SMA, vimentin, desmin in LX-2 cells treated with 40 ng/ml and 100 ng/ml TWEAK for 24 h were analyzed by qRT-PCR and western blot. β-actin served as an internal control. Data are presented as mean ± SD of three independent experiments. (C) Phalloidin stained actin cytoskeleton (green) in LX-2 cells. The nuclear was stained by DAPI (blue). The data shown here are from three independent experiments with similar results. Scale bars, 50um. *p<0.05,**p<0.005,***p<0.0005,****p<0.0001.

false

  • 519 Alexa Fluor® 488

    Alexa Fluor® 488 Anti-Desmin antibody [Y66] - Cytoskeleton Marker

  • 660 APC

    APC Anti-Desmin antibody [Y66] - Cytoskeleton Marker

  • 565 Alexa Fluor® 555

    Alexa Fluor® 555 Anti-Desmin antibody [Y66] - Cytoskeleton Marker

  • 578 PE

    PE Anti-Desmin antibody [Y66] - Cytoskeleton Marker

  • HRP

    HRP Anti-Desmin antibody [Y66] - Cytoskeleton Marker

  • Carrier free

    Anti-Desmin antibody [Y66] - BSA and Azide free

  • 665 Alexa Fluor® 647

    Alexa Fluor® 647 Anti-Desmin antibody [Y66] - Cytoskeleton Marker

  • 617 Alexa Fluor® 594

    Alexa Fluor® 594 Anti-Desmin antibody [Y66] - Cytoskeleton Marker

  • Biotin

    Biotin Anti-Desmin antibody [Y66] - Cytoskeleton Marker

Key facts

Host species

Rabbit

Clonality

Monoclonal

Clone number

Y66

Isotype

IgG

Carrier free

No

Reacts with

Mouse, Rat, Guinea pig, Human

Applications

Flow Cyt (Intra), ICC/IF, WB, IHC-P

applications

Immunogen

The exact immunogen used to generate this antibody is proprietary information.

Epitope

ab32362 reacts with an epitope located in the C terminal region of desmin.

Reactivity data

{ "title": "Reactivity Data", "filters": { "stats": ["", "Species", "Dilution Info", "Notes"], "tabs": { "all-applications": {"fullname" : "All Applications", "shortname": "All Applications"}, "IHCP" : {"fullname" : "Immunohistochemistry (Formalin/PFA-fixed paraffin-embedded sections)", "shortname":"IHC-P"}, "ICCIF" : {"fullname" : "Immunocytochemistry/ Immunofluorescence", "shortname":"ICC/IF"}, "IP" : {"fullname" : "Immunoprecipitation", "shortname":"IP"}, "WB" : {"fullname" : "Western blot", "shortname":"WB"}, "FlowCytIntra" : {"fullname" : "Flow Cytometry (Intracellular)", "shortname":"Flow Cyt (Intra)"} }, "product-promise": { "all": "all", "testedAndGuaranteed": "tested", "guaranteed": "expected", "predicted": "predicted", "notRecommended": "not-recommended" } }, "values": { "Human": { "IHCP-species-checked": "testedAndGuaranteed", "IHCP-species-dilution-info": "1/2000", "IHCP-species-notes": "<p></p> Perform heat-mediated antigen retrieval before commencing with IHC staining protocol.", "ICCIF-species-checked": "testedAndGuaranteed", "ICCIF-species-dilution-info": "1/100 - 1/1000", "ICCIF-species-notes": "<p></p>", "IP-species-checked": "notRecommended", "IP-species-dilution-info": "", "IP-species-notes": "<p></p>", "WB-species-checked": "testedAndGuaranteed", "WB-species-dilution-info": "1/100000", "WB-species-notes": "<p></p>", "FlowCytIntra-species-checked": "guaranteed", "FlowCytIntra-species-dilution-info": "", "FlowCytIntra-species-notes": "" }, "Mouse": { "IHCP-species-checked": "guaranteed", "IHCP-species-dilution-info": "", "IHCP-species-notes": "", "ICCIF-species-checked": "testedAndGuaranteed", "ICCIF-species-dilution-info": "1/100 - 1/1000", "ICCIF-species-notes": "<p></p>", "IP-species-checked": "notRecommended", "IP-species-dilution-info": "", "IP-species-notes": "<p></p>", "WB-species-checked": "testedAndGuaranteed", "WB-species-dilution-info": "1/100000", "WB-species-notes": "<p></p>", "FlowCytIntra-species-checked": "testedAndGuaranteed", "FlowCytIntra-species-dilution-info": "1/70", "FlowCytIntra-species-notes": "<p><a href='/en-us/products/primary-antibodies/rabbit-igg-monoclonal-epr25a-isotype-control-ab172730'>ab172730</a> - Rabbit monoclonal IgG, is suitable for use as an isotype control with this antibody.</p>" }, "Rat": { "IHCP-species-checked": "guaranteed", "IHCP-species-dilution-info": "", "IHCP-species-notes": "", "ICCIF-species-checked": "guaranteed", "ICCIF-species-dilution-info": "", "ICCIF-species-notes": "", "IP-species-checked": "notRecommended", "IP-species-dilution-info": "", "IP-species-notes": "<p></p>", "WB-species-checked": "testedAndGuaranteed", "WB-species-dilution-info": "1/100000", "WB-species-notes": "<p></p>", "FlowCytIntra-species-checked": "guaranteed", "FlowCytIntra-species-dilution-info": "", "FlowCytIntra-species-notes": "" }, "Guinea pig": { "IHCP-species-checked": "guaranteed", "IHCP-species-dilution-info": "", "IHCP-species-notes": "", "ICCIF-species-checked": "guaranteed", "ICCIF-species-dilution-info": "", "ICCIF-species-notes": "", "IP-species-checked": "notRecommended", "IP-species-dilution-info": "", "IP-species-notes": "<p></p>", "WB-species-checked": "testedAndGuaranteed", "WB-species-dilution-info": "1/100000", "WB-species-notes": "<p></p>", "FlowCytIntra-species-checked": "guaranteed", "FlowCytIntra-species-dilution-info": "", "FlowCytIntra-species-notes": "" } } }

Product details

Anti-Desmin antibody [Y66] - Cytoskeleton Marker (ab32362) was developed by Abcam using patented rabbit monoclonal antibody technology and is validated for use in Flow Cyt (Intra), ICC/IF, IHC-P, WB in guinea pig, human, mouse, rat samples.

Anti-Desmin antibody [Y66] - Cytoskeleton Marker (ab32362) has been cited over 176 times in peer reviewed journals and is trusted by the scientific community.

Abcams high quality manufacturing and validation processes ensure Anti-Desmin antibody [Y66] - Cytoskeleton Marker (ab32362) has high sensitivity and specificity alongside high lot-to-lot consistency and reproducibility.

Anti-Desmin antibody [Y66] - Cytoskeleton Marker (ab32362) has 12 independent reviews from customers.

Anti-Desmin antibody [Y66] - Cytoskeleton Marker (ab32362) specifically detects Desmin (UniProt ID: P17661; Molecular weight: 53kDa) and is sold in 100 uL and 1 mL selling sizes.

Conjugation-ready, carrier free format available for antibody clone Y66 - ab271829.

Antibody clone Y66 is also available pre-conjugated to a variety of labels for your convenience - Alexa Fluor® 488, Alexa Fluor® 647, HRP, Biotin, Alexa Fluor® 594, Alexa Fluor® 555, APC, PE (ab18533, ab195177, ab195178, ab19763, ab23419, ab23422, ab224934, ab224935).

Desmin is a crucial muscle-specific type III intermediate filament protein essential for maintaining the structural integrity of muscle cells. Mutations in Desmin can lead to myopathy and cardiomyopathy, causing muscle weakness and heart disease. Utilizing Desmin as a biomarker can significantly aid in diagnosing these conditions and guiding treatment strategies.

Patented technology
Our RabMAb® technology is a patented hybridoma-based technology for making rabbit monoclonal antibodies. For details on our patents, please refer to RabMAb® patents.

What are the advantages of a recombinant monoclonal antibody?
This product is a recombinant monoclonal antibody, which offers several advantages including:

  • - High batch-to-batch consistency and reproducibility
  • - Improved sensitivity and specificity
  • - Long-term security of supply
  • - Animal-free batch production

For more information, read more on recombinant antibodies.

Properties and storage information

Form
Liquid
Purification technique
Affinity purification Protein A
Storage buffer
pH: 7.2 - 7.4 Preservative: 0.01% Sodium azide Constituents: 59% PBS, 40% Glycerol (glycerin, glycerine), 0.05% BSA
Shipped at conditions
Blue Ice
Appropriate short-term storage duration
1-2 weeks
Appropriate short-term storage conditions
+4°C
Appropriate long-term storage conditions
-20°C
Aliquoting information
Upon delivery aliquot
Storage information
Avoid freeze / thaw cycle

Supplementary information

This supplementary information is collated from multiple sources and compiled automatically.

Desmin also referred to as Desmin 20 is an intermediate filament protein with a molecular weight of approximately 53 kDa. Primarily found in muscle cells desmin provides structural integrity to cells being an important component of the cytoskeleton. Desmin expression is highly specific to cardiac skeletal and smooth muscle tissues and it can be detected using desmin marker techniques like desmin IHC (Immunohistochemistry). Desmin staining or desmin stain methods are commonly employed in diagnostic labs to visualize this protein within tissue samples.
Biological function summary

Desmin plays a significant role in maintaining cellular architecture by anchoring organelles such as nuclei and mitochondria within the cytoplasm. It associates with other proteins to form desmin intermediate filament networks which facilitate force transmission and maintain mechanical integrity. This protein does not operate in isolation but is part of a larger complex of cytoskeletal elements that reinforce muscle cell shape and resilience. Its interactions and binding with other cytoskeletal components confirm its essential role in muscle structure.

Pathways

Desmin links closely to the cell structure and function pathways providing stability during muscle contraction processes. It interacts with other proteins including actin and tubulin within the cytoskeleton network ensuring coordinated responses to mechanical stress. Specifically desmin integrates into pathways related to the maintenance of the sarcomere structure thereby connecting to additional important proteins like myosin and dystrophin which collectively uphold muscular function and integrity.

Desmin mutations can lead to myopathies such as desmin-related myopathy (DRM) or cardiomyopathy where the structural disruptions result in abnormal muscle function. These conditions typically manifest as muscle weakness or cardiac abnormalities. Furthermore its relationship to the sarcomere suggests interactions with proteins like dystrophin in muscular dystrophies where desmin integrity critically influences disease progression and severity. Understanding desmin's link to such disorders underpins its role as a diagnostic marker and a potential therapeutic target in muscle-related diseases.

Product protocols

For this product, it's our understanding that no specific protocols are required. You can visit:

Target data

Muscle-specific type III intermediate filament essential for proper muscular structure and function. Plays a crucial role in maintaining the structure of sarcomeres, inter-connecting the Z-disks and forming the myofibrils, linking them not only to the sarcolemmal cytoskeleton, but also to the nucleus and mitochondria, thus providing strength for the muscle fiber during activity (PubMed : 25358400). In adult striated muscle they form a fibrous network connecting myofibrils to each other and to the plasma membrane from the periphery of the Z-line structures (PubMed : 24200904, PubMed : 25394388, PubMed : 26724190). May act as a sarcomeric microtubule-anchoring protein : specifically associates with detyrosinated tubulin-alpha chains, leading to buckled microtubules and mechanical resistance to contraction. Required for nuclear membrane integrity, via anchoring at the cell tip and nuclear envelope, resulting in maintenance of microtubule-derived intracellular mechanical forces (By similarity). Contributes to the transcriptional regulation of the NKX2-5 gene in cardiac progenitor cells during a short period of cardiomyogenesis and in cardiac side population stem cells in the adult. Plays a role in maintaining an optimal conformation of nebulette (NEB) on heart muscle sarcomeres to bind and recruit cardiac alpha-actin (By similarity).
See full target information DES

Publications (248)

Recent publications for all applications. Explore the full list and refine your search

Nature communications 16:8404 PubMed40998795

2025

Injectable therapeutic system incorporating neurogenesis-programmed stem cells concomitantly promoting muscle regeneration treats stress urinary incontinence.

Applications

Unspecified application

Species

Unspecified reactive species

Wenzhuo Fang,Xuan Du,Ranxing Yang,Meng Liu,Ming Yang,Yangwang Jin,Guo Gao,Qiang Fu,Ying Wang

Regenerative biomaterials 12:rbaf090 PubMed40979828

2025

Plasma-derived mitochondrial transplantation attenuates paraspinal muscle atrophy following spinal surgery.

Applications

Unspecified application

Species

Unspecified reactive species

Ikhyun Lim,Seong-Hoon Kim,Mi Jin Kim,Chang-Koo Yun,Kyunghoon Min,Yong-Soo Choi

Bioactive materials 54:466-491 PubMed40918736

2025

Bifunctional adECM bioscaffold with STIM1-ASCs and IGF-2 promotes functional masseter VML repair via myogenesis and fibrosis suppression.

Applications

Unspecified application

Species

Unspecified reactive species

Wei Liang,Rigele Ao,Mengli Xu,Mengying Jin,Meng Han,Zimo Wang,Wanwen Dang,Hongxu Wu,Weibo Lin,Yonghuan Zhen,Tao Xu,Yang An

iScience 28:112932 PubMed40678531

2025

Intercellular communication between hepatic stellate cells and myofibroblasts mediated by osteopontin and FGF18 promotes liver fibrosis.

Applications

Unspecified application

Species

Unspecified reactive species

Takao Seki,Sachiko Komazawa-Sakon,Takashi Nishina,Tetuo Mikami,Hideo Yagita,Katsuhide Okunishi,Minoru Tanaka,Yuichi Tsuchiya,Hiroyasu Nakano

American journal of translational research 17:4187-4197 PubMed40672597

2025

Sirtuin 3 modulation by high phosphates: a potential mechanism in muscle aging and sarcopenia.

Applications

Unspecified application

Species

Unspecified reactive species

Chao Xu,Ling Xiong,Junhu Chen,Qingcheng Liu,Fang Wang,Xianxian Fu,Juan Huo,Yufei Bu,Shiyu Chen,Qian Liu

Oncology letters 29:238 PubMed40486087

2025

Misdiagnosis of esophageal leiomyoma combined with adrenal cortical adenoma as esophageal cancer with adrenal metastasis by fluorine-18-fluorodeoxyglucose positron emission tomography: A case report.

Applications

Unspecified application

Species

Unspecified reactive species

Xiaoming Sun,Lin Lv,Daming Fan,Yubin Huang,Liangming Zhu,Haibo Liu

iScience 28:112473 PubMed40469100

2025

PDCL3 promotes the vasculogenic mimicry of glioma-associated mesenchymal stem cells through VEGFR-2 in glioma environment.

Applications

Unspecified application

Species

Unspecified reactive species

Yihao Wang,Zhen Liu,Dongye Yi,Sujie Gu,Zesheng Peng,Haofei Wang,Peng Lv,Wei Xiang,Xiaobing Jiang,Peng Fu

Nature communications 16:5165 PubMed40461482

2025

Efficient generation of germline chimeras in a non-rodent species using rabbit induced pluripotent stem cells.

Applications

Unspecified application

Species

Unspecified reactive species

Hong-Thu Pham,Florence Perold,Yannicke Pijoff,Nathalie Doerflinger,Sylvie Rival-Gervier,Maëlle Givelet,Anaïs Moulin,Manon Ressaire,Emilie Da Silva Fernandes,Valeska Bidault,Luc Jouneau,Véronique Duranthon,Florence Wianny,Bertrand Pain,Ingrid Plotton,Thierry Joly,Marielle Afanassieff,Pierre Savatier,Nathalie Beaujean

Stem cell research & therapy 16:217 PubMed40312752

2025

Bone marrow mesenchymal stem cells alleviate liver fibrosis after rat liver transplantation through JAK1/STAT5 pathway.

Applications

Unspecified application

Species

Unspecified reactive species

Zhuyuan Si,Shengqiao Zhao,Zhixin Zhang,Tianran Chen,Ruofan Wang,Chong Dong,Kai Wang,Chao Sun,Zhuolun Song,Zhongyang Shen,Wei Gao

BMC nephrology 26:201 PubMed40259237

2025

CIAPIN1 attenuates ferroptosis via regulating PI3K/AKT pathway in LPS-induced podocytes.

Applications

Unspecified application

Species

Unspecified reactive species

Ziqing Zhang,Jinmiao Ma,Minyu Shi,Jingcong Huang,Zhenyu Xu
View all publications

Product promise

We are committed to supporting your work with high-quality reagents, and we're here for you every step of the way. In the unlikely event that one of our products does not perform as expected, you're protected by our Product Promise.
For full details, please see our Terms & Conditions

Please note: All products are 'FOR RESEARCH USE ONLY. NOT FOR USE IN DIAGNOSTIC OR THERAPEUTIC PROCEDURES'.

For licensing inquiries, please contact partnerships@abcam.com