JavaScript is disabled in your browser. Please enable JavaScript to view this website.
AB198904

Anti-Desmocollin 1 antibody

Be the first to review this product! Submit a review

|

(2 Publications)

Rabbit Polyclonal Desmocollin 1 antibody. Suitable for IHC-P and reacts with Human samples. Cited in 2 publications. Immunogen corresponding to Synthetic Peptide within Human DSC1.

View Alternative Names

CDHF1, DSC1, Desmocollin-1, Cadherin family member 1, Desmosomal glycoprotein 2/3, DG2/DG3

2 Images
Immunohistochemistry (Formalin/PFA-fixed paraffin-embedded sections) - Anti-Desmocollin 1 antibody (AB198904)
  • IHC-P

Supplier Data

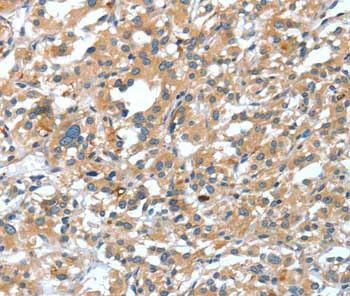
Immunohistochemistry (Formalin/PFA-fixed paraffin-embedded sections) - Anti-Desmocollin 1 antibody (AB198904)

Immunohistochemical analysis of paraffin-embedded Human liver cancer tissue labeling Desmocollin 1 with ab198904 at 1/40 dilution.

Immunohistochemistry (Formalin/PFA-fixed paraffin-embedded sections) - Anti-Desmocollin 1 antibody (AB198904)
  • IHC-P

Supplier Data

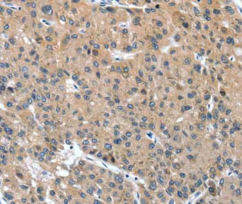
Immunohistochemistry (Formalin/PFA-fixed paraffin-embedded sections) - Anti-Desmocollin 1 antibody (AB198904)

Immunohistochemical analysis of paraffin-embedded Human thyroid cancer tissue labeling Desmocollin 1 with ab198904 at 1/40 dilution.

Key facts

Host species

Rabbit

Clonality

Polyclonal

Isotype

IgG

Carrier free

No

Reacts with

Human

Applications

IHC-P

applications

Immunogen

Synthetic Peptide within Human DSC1. The exact immunogen used to generate this antibody is proprietary information.

Q08554

Reactivity data

{ "title": "Reactivity Data", "filters": { "stats": ["", "Species", "Dilution Info", "Notes"], "tabs": { "all-applications": {"fullname" : "All Applications", "shortname": "All Applications"}, "IHCP" : {"fullname" : "Immunohistochemistry (Formalin/PFA-fixed paraffin-embedded sections)", "shortname":"IHC-P"} }, "product-promise": { "all": "all", "testedAndGuaranteed": "tested", "guaranteed": "expected", "predicted": "predicted", "notRecommended": "not-recommended" } }, "values": { "Human": { "IHCP-species-checked": "testedAndGuaranteed", "IHCP-species-dilution-info": "1/50 - 1/200", "IHCP-species-notes": "<p></p>" }, "Mouse": { "IHCP-species-checked": "predicted", "IHCP-species-dilution-info": "", "IHCP-species-notes": "" } } }

Properties and storage information

Form
Liquid
Purification technique
Affinity purification Immunogen
Storage buffer
pH: 7.4 Preservative: 0.05% Sodium azide Constituents: PBS, 50% Glycerol (glycerin, glycerine)
Shipped at conditions
Blue Ice
Appropriate short-term storage duration
1-2 weeks
Appropriate short-term storage conditions
+4°C
Appropriate long-term storage conditions
-20°C
Aliquoting information
Upon delivery aliquot
Storage information
Avoid freeze / thaw cycle

Supplementary information

This supplementary information is collated from multiple sources and compiled automatically.

Desmocollin 1 also known as DSC1 belongs to the desmocollin subfamily of cadherin proteins. It acts mechanically by facilitating cell-cell adhesion within epithelial tissue. DSC1 is a desmosomal cadherin playing a fundamental role in maintaining the structural integrity of tissues that undergo mechanical stress. This protein displays an approximate specific mass of 100 kDa. Its expression typically localizes to the suprabasal layers of stratified squamous epithelia such as the skin.
Biological function summary

Desmocollin 1 contributes by linking the extracellular matrix with the cellular cytoskeleton through desmosomal plaques. It takes part in desmosome complexes by partnering with other cadherins including desmogleins and linker proteins like plakoglobin and plakophilins. This linkage strengthens adhesion between keratinocytes which enhances the resilience of epithelial barriers.

Pathways

Desmocollin 1 plays an important role in the regulation of cell adhesion pathways and intracellular signaling. It interacts within the desmosome assembly pathway which is responsible for forming stable cell-cell junctions. Another related pathway includes the signal transduction pathways where desmocollin 1 associates with proteins like plakoglobin which links desmosomes to cytoplasmic signaling networks that can influence cell behavior.

Desmocollin 1 connects mainly to skin-related issues like pemphigus foliaceus and certain types of skin carcinomas. Pemphigus foliaceus involves autoantibodies targeting components of the desmosome like desmogleins disrupting desmocollin 1's adhesion role leading to blistering. In skin carcinomas alterations in the expression or function of desmocollin 1 may lead to structural integrity loss contributing to cancer invasion. Understanding these associations helps in developing therapeutic strategies targeting the interplay between desmocollin 1 and associated proteins within affected tissues.

Product protocols

For this product, it's our understanding that no specific protocols are required. You can visit:

Target data

A component of desmosome cell-cell junctions which are required for positive regulation of cellular adhesion (By similarity). Required for desmosome adhesion strength between the granular layers of the epidermis, as a result moderates epidermal proliferation and differentiation (By similarity). Is therefore required to maintain postnatal epidermal barrier function and normal hair follicle morphology into adulthood (By similarity).
See full target information DSC1

Publications (2)

Recent publications for all applications. Explore the full list and refine your search

Cellular & molecular biology letters 28:68 PubMed37620794

2023

Desmocollin-1 is associated with pro-metastatic phenotype of luminal A breast cancer cells and is modulated by parthenolide.

Applications

Unspecified application

Species

Unspecified reactive species

Petr Lapcik,Petr Sulc,Lucia Janacova,Katerina Jilkova,David Potesil,Pavla Bouchalova,Petr Müller,Pavel Bouchal

The FEBS journal 283:1574-94 PubMed26918856

2016

ADAM28 is expressed by epithelial cells in human normal tissues and protects from C1q-induced cell death.

Applications

Unspecified application

Species

Unspecified reactive species

Yuka Miyamae,Satsuki Mochizuki,Masayuki Shimoda,Kentaro Ohara,Hitoshi Abe,Shuji Yamashita,Saiko Kazuno,Takashi Ohtsuka,Hiroki Ochiai,Yuko Kitagawa,Yasunori Okada
View all publications

Product promise

We are committed to supporting your work with high-quality reagents, and we're here for you every step of the way. In the unlikely event that one of our products does not perform as expected, you're protected by our Product Promise.
For full details, please see our Terms & Conditions

Please note: All products are 'FOR RESEARCH USE ONLY. NOT FOR USE IN DIAGNOSTIC OR THERAPEUTIC PROCEDURES'.

For licensing inquiries, please contact partnerships@abcam.com