JavaScript is disabled in your browser. Please enable JavaScript to view this website.
AB248954

Anti-Desmocollin 1 antibody [EPR8220] - BSA and Azide free

Be the first to review this product! Submit a review

|

(0 Publication)

Rabbit Recombinant Monoclonal Desmocollin 1 antibody. Carrier free. Suitable for WB and reacts with Human, Transfected cell lysate, Mouse, Rat samples.

View Alternative Names

CDHF1, DSC1, Desmocollin-1, Cadherin family member 1, Desmosomal glycoprotein 2/3, DG2/DG3

2 Images
Western blot - Anti-Desmocollin 1 antibody [EPR8220] - BSA and Azide free (AB248954)
  • WB

Unknown

Western blot - Anti-Desmocollin 1 antibody [EPR8220] - BSA and Azide free (AB248954)

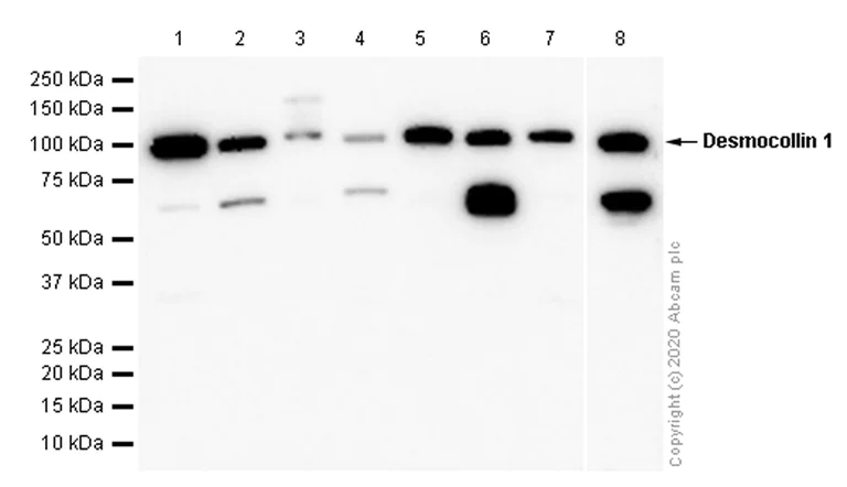
We are unsure about the extra bands. They might be the deglycosylated forms as described in PMID : 25918164.

This data was developed using the same antibody clone in a different buffer formulation containing PBS, BSA, glycerol, and sodium azide (ab150382).

All lanes:

Western blot - Anti-Desmocollin 1 antibody [EPR8220] (<a href='/en-us/products/primary-antibodies/desmocollin-1-antibody-epr8220-ab150382'>ab150382</a>) at 1/10000 dilution

Lane 1:

A375 (Human malignant melanoma epithelial cell) whole cell lysate at 20 µg

Lane 2:

A431 (Human epidermoid carcinoma epithelial cell) whole cell lysate at 20 µg

Lane 3:

Human skin lysate at 20 µg

Lane 4:

Mouse brain lysate at 20 µg

Lane 5:

Mouse spleen lysate at 20 µg

Lane 6:

Mouse kidney lysate at 20 µg

Lane 7:

Rat brain lysate at 20 µg

Lane 8:

Rat kidney lysate at 20 µg

Secondary

All lanes:

Goat Anti-Rabbit IgG (HRP) with minimal cross-reactivity with human IgG at 1/2000 dilution

Predicted band size: 100 kDa

Observed band size: 100 kDa

false

Western blot - Anti-Desmocollin 1 antibody [EPR8220] - BSA and Azide free (AB248954)
  • WB

Lab

Western blot - Anti-Desmocollin 1 antibody [EPR8220] - BSA and Azide free (AB248954)

This data was developed using the same antibody clone in a different buffer formulation containing PBS, BSA, glycerol, and sodium azide (ab150382).

Blocking and diluting buffer and concentration : 5% NFDM/TBST

All lanes:

Western blot - Anti-Desmocollin 1 antibody [EPR8220] (<a href='/en-us/products/primary-antibodies/desmocollin-1-antibody-epr8220-ab150382'>ab150382</a>) at 1/500000 dilution

Lane 1:

Empty vector transfected 293T (Human embryonic kidney epithelial cell) whole cell lysate

Lane 2:

293T cells transfected with myc-his tagged full length Desmocollin-1 expression vector, whole cell lysate

Lane 3:

293T cells transfected with myc-his tagged full length Desmocollin-2 expression vector, whole cell lysate

Lane 4:

293T cells transfected with myc-his tagged full length Desmocollin-3 expression vector, whole cell lysate

Secondary

All lanes:

Western blot - Goat Anti-Rabbit IgG H&L (HRP) (<a href='/en-us/products/secondary-antibodies/goat-rabbit-igg-h-l-hrp-ab97051'>ab97051</a>) at 1/20000 dilution

Predicted band size: 100 kDa

Observed band size: 100 kDa

false

Exposure time: 7s

Key facts

Host species

Rabbit

Clonality

Monoclonal

Clone number

EPR8220

Isotype

IgG

Carrier free

Yes

Reacts with

Mouse, Rat, Human

Applications

WB

applications

Immunogen

The exact immunogen used to generate this antibody is proprietary information.

Reactivity data

{ "title": "Reactivity Data", "filters": { "stats": ["", "Species", "Dilution Info", "Notes"], "tabs": { "all-applications": {"fullname" : "All Applications", "shortname": "All Applications"}, "WB" : {"fullname" : "Western blot", "shortname":"WB"} }, "product-promise": { "all": "all", "testedAndGuaranteed": "tested", "guaranteed": "expected", "predicted": "predicted", "notRecommended": "not-recommended" } }, "values": { "Human": { "WB-species-checked": "testedAndGuaranteed", "WB-species-dilution-info": "", "WB-species-notes": "<p></p>" }, "Mouse": { "WB-species-checked": "testedAndGuaranteed", "WB-species-dilution-info": "", "WB-species-notes": "<p></p>" }, "Rat": { "WB-species-checked": "testedAndGuaranteed", "WB-species-dilution-info": "", "WB-species-notes": "<p></p>" }, "Transfected cell lysate": { "WB-species-checked": "testedAndGuaranteed", "WB-species-dilution-info": "", "WB-species-notes": "<p></p>" } } }

Product details

ab248954 is the carrier-free version of ab150382.

Patented technology
Our RabMAb® technology is a patented hybridoma-based technology for making rabbit monoclonal antibodies. For details on our patents, please refer to RabMAb® patents.

What are the advantages of a recombinant monoclonal antibody?
This product is a recombinant monoclonal antibody, which offers several advantages including:

  • - High batch-to-batch consistency and reproducibility
  • - Improved sensitivity and specificity
  • - Long-term security of supply
  • - Animal-free batch production

For more information, read more on recombinant antibodies.

Conjugation ready
Our carrier-free antibodies are typically supplied in a PBS-only formulation, purified and free of BSA, sodium azide and glycerol. This conjugation-ready format is designed for use with fluorochromes, metal isotopes, oligonucleotides, and enzymes, which makes them ideal for antibody labelling, functional and cell-based assays, flow-based assays (e.g. mass cytometry) and Multiplex Imaging applications.

Use our conjugation kits for antibody conjugates that are ready-to-use in as little as 20 minutes with 1 minute hands-on-time and 100% antibody recovery: available for fluorescent dyes, HRP, biotin and gold.

Compatibility
This product is compatible with the Maxpar® Antibody Labeling Kit from Fluidigm, without the need for antibody preparation. Maxpar® is a trademark of Fluidigm Canada Inc.

Properties and storage information

Form
Liquid
Purification technique
Affinity purification Protein A
Storage buffer
pH: 7.2 - 7.4 Constituents: PBS
Shipped at conditions
Blue Ice
Appropriate short-term storage conditions
+4°C
Appropriate long-term storage conditions
+4°C
Storage information
Do Not Freeze

Supplementary information

This supplementary information is collated from multiple sources and compiled automatically.

Desmocollin 1 also known as DSC1 belongs to the desmocollin subfamily of cadherin proteins. It acts mechanically by facilitating cell-cell adhesion within epithelial tissue. DSC1 is a desmosomal cadherin playing a fundamental role in maintaining the structural integrity of tissues that undergo mechanical stress. This protein displays an approximate specific mass of 100 kDa. Its expression typically localizes to the suprabasal layers of stratified squamous epithelia such as the skin.
Biological function summary

Desmocollin 1 contributes by linking the extracellular matrix with the cellular cytoskeleton through desmosomal plaques. It takes part in desmosome complexes by partnering with other cadherins including desmogleins and linker proteins like plakoglobin and plakophilins. This linkage strengthens adhesion between keratinocytes which enhances the resilience of epithelial barriers.

Pathways

Desmocollin 1 plays an important role in the regulation of cell adhesion pathways and intracellular signaling. It interacts within the desmosome assembly pathway which is responsible for forming stable cell-cell junctions. Another related pathway includes the signal transduction pathways where desmocollin 1 associates with proteins like plakoglobin which links desmosomes to cytoplasmic signaling networks that can influence cell behavior.

Desmocollin 1 connects mainly to skin-related issues like pemphigus foliaceus and certain types of skin carcinomas. Pemphigus foliaceus involves autoantibodies targeting components of the desmosome like desmogleins disrupting desmocollin 1's adhesion role leading to blistering. In skin carcinomas alterations in the expression or function of desmocollin 1 may lead to structural integrity loss contributing to cancer invasion. Understanding these associations helps in developing therapeutic strategies targeting the interplay between desmocollin 1 and associated proteins within affected tissues.

Product protocols

For this product, it's our understanding that no specific protocols are required. You can visit:

Target data

A component of desmosome cell-cell junctions which are required for positive regulation of cellular adhesion (By similarity). Required for desmosome adhesion strength between the granular layers of the epidermis, as a result moderates epidermal proliferation and differentiation (By similarity). Is therefore required to maintain postnatal epidermal barrier function and normal hair follicle morphology into adulthood (By similarity).
See full target information DSC1

Product promise

We are committed to supporting your work with high-quality reagents, and we're here for you every step of the way. In the unlikely event that one of our products does not perform as expected, you're protected by our Product Promise.
For full details, please see our Terms & Conditions

Please note: All products are 'FOR RESEARCH USE ONLY. NOT FOR USE IN DIAGNOSTIC OR THERAPEUTIC PROCEDURES'.

For licensing inquiries, please contact partnerships@abcam.com