JavaScript is disabled in your browser. Please enable JavaScript to view this website.
AB218849

Anti-Desmocollin 2/3 antibody [7G6] - Extracellular domain

Be the first to review this product! Submit a review

|

(1 Publication)

Mouse Monoclonal Desmocollin 2 antibody. Carrier free. Suitable for IHC-P and reacts with Human samples. Cited in 1 publication. Immunogen corresponding to Recombinant Fragment Protein within Human DSC2.

View Alternative Names

CDHF2, DSC3, DSC2, Desmocollin-2, Cadherin family member 2, Desmocollin-3, Desmosomal glycoprotein II, Desmosomal glycoprotein III, CDHF3, DSC4, DSC3, Desmocollin-3, Cadherin family member 3, Desmocollin-4, HT-CP

1 Images
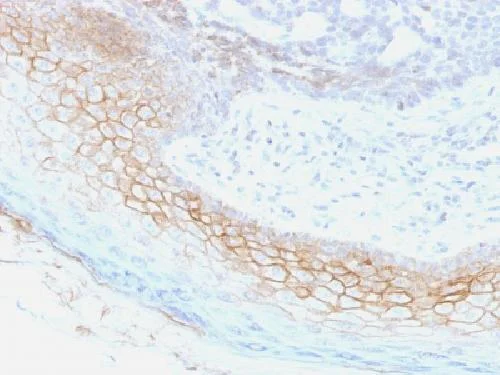
Immunohistochemistry (Formalin/PFA-fixed paraffin-embedded sections) - Anti-Desmocollin 2/3 antibody [7G6] - Extracellular domain (AB218849)
  • IHC-P

Supplier Data

Immunohistochemistry (Formalin/PFA-fixed paraffin-embedded sections) - Anti-Desmocollin 2/3 antibody [7G6] - Extracellular domain (AB218849)

Immunohistochemical analysis of formalin-fixed paraffin-embedded human skin tissue sections labeling Desmocollin 2/3 with ab218849 at 2 μg/mL.

Key facts

Host species

Mouse

Clonality

Monoclonal

Clone number

7G6

Isotype

IgG1

Light chain type

kappa

Carrier free

Yes

Reacts with

Human

Applications

IHC-P

applications

Immunogen

Recombinant Fragment Protein within Human DSC2. The exact immunogen used to generate this antibody is proprietary information.

Q02487

Reactivity data

{ "title": "Reactivity Data", "filters": { "stats": ["", "Species", "Dilution Info", "Notes"], "tabs": { "all-applications": {"fullname" : "All Applications", "shortname": "All Applications"}, "IHCP" : {"fullname" : "Immunohistochemistry (Formalin/PFA-fixed paraffin-embedded sections)", "shortname":"IHC-P"} }, "product-promise": { "all": "all", "testedAndGuaranteed": "tested", "guaranteed": "expected", "predicted": "predicted", "notRecommended": "not-recommended" } }, "values": { "Human": { "IHCP-species-checked": "testedAndGuaranteed", "IHCP-species-dilution-info": "1-2 µg/mL", "IHCP-species-notes": "<p></p> Perform heat-mediated antigen retrieval with Tris/EDTA buffer pH 9.0 before commencing with IHC staining protocol." }, "Mouse": { "IHCP-species-checked": "predicted", "IHCP-species-dilution-info": "", "IHCP-species-notes": "" }, "Rat": { "IHCP-species-checked": "predicted", "IHCP-species-dilution-info": "", "IHCP-species-notes": "" } } }

Properties and storage information

Form
Liquid
Purification technique
Affinity purification Protein G
Storage buffer
pH: 7.2 - 7.4 Constituents: PBS
Shipped at conditions
Blue Ice
Appropriate short-term storage duration
1-2 weeks
Appropriate short-term storage conditions
+4°C
Appropriate long-term storage conditions
-20°C
Aliquoting information
Upon delivery aliquot
Storage information
Avoid freeze / thaw cycle

Supplementary information

This supplementary information is collated from multiple sources and compiled automatically.

Desmocollin 2 also known as DSC2 is a cadherin protein and an important component of desmosomes which are structures that facilitate cell-cell adhesion in epithelial tissues. It has a molecular weight of approximately 100 kDa. This protein expresses strongly in tissues rich in desmosomes such as the epidermis and cardiac tissue. Desmocollin 2 stabilizes cells against shearing forces ensuring that they adhere tightly by interacting with other desmosomal proteins.
Biological function summary

Desmocollin 2 plays a role in maintaining tissue integrity and cohesion. It participates as a part of the desmosomal complex where it interacts with other cadherin family members like desmogleins and anchors to the intermediate filaments inside the cell. These interactions help to maintain the architecture and structural support during mechanical stress especially in tissues undergoing constant stress like the heart and skin.

Pathways

Desmocollin 2's mechanical role intersects with various cell signaling pathways. Notably it plays a role in the Wnt signaling pathway which is important for cell proliferation and differentiation. The protein also interacts with plakoglobin a protein involved in beta-catenin regulation within these pathways. Desmocollin 2's involvement in cell adhesion and signaling nodes suggests its contribution to further complex signaling cascades.

Desmocollin 2 mutations and disruptions associate with arrhythmogenic right ventricular cardiomyopathy (ARVC) and certain skin blistering conditions. In ARVC the weakened cell adhesion due to desmocollin 2 defects can lead to fibrofatty replacement of myocardium impacting cardiac function. The protein plakoglobin often appears as a related factor in these diseases as both proteins interact at the desmosomal junctions and contribute to cell adhesion integrity.

Product protocols

For this product, it's our understanding that no specific protocols are required. You can visit:

Target data

A component of desmosome cell-cell junctions which are required for positive regulation of cellular adhesion (PubMed : 33596089). Promotes timely incorporation of DSG2 into desmosome intercellular junctions and promotes interaction of desmosome cell junctions with intermediate filament cytokeratin, via modulation of DSP phosphorylation (PubMed : 33596089). Plays an important role in desmosome-mediated maintenance of intestinal epithelial cell intercellular adhesion strength and barrier function (PubMed : 33596089). Positively regulates wound healing of intestinal mucosa via promotion of epithelial cell migration, and also plays a role in mechanotransduction of force between intestinal epithelial cells and extracellular matrix (PubMed : 31967937). May contribute to epidermal cell positioning (stratification) by mediating differential adhesiveness between cells that express different isoforms. May promote p38MAPK signaling activation that facilitates keratinocyte migration (By similarity).
See full target information DSC2

Additional targets

DSC3

Publications (1)

Recent publications for all applications. Explore the full list and refine your search

Parasitology 148:341-353 PubMed33100232

2020

infections induce G cell cycle arrest and a senescence-like phenotype in endothelial host cells.

Applications

Unspecified application

Species

Unspecified reactive species

Zahady D Velásquez,Sara López-Osorio,Daniel Waiger,Carolina Manosalva,Learta Pervizaj-Oruqaj,Susanne Herold,Carlos Hermosilla,Anja Taubert
View all publications

Product promise

We are committed to supporting your work with high-quality reagents, and we're here for you every step of the way. In the unlikely event that one of our products does not perform as expected, you're protected by our Product Promise.
For full details, please see our Terms & Conditions

Please note: All products are 'FOR RESEARCH USE ONLY. NOT FOR USE IN DIAGNOSTIC OR THERAPEUTIC PROCEDURES'.

For licensing inquiries, please contact partnerships@abcam.com