JavaScript is disabled in your browser. Please enable JavaScript to view this website.
AB228343

Anti-Desmoglein 1/DSG1 antibody [EPR6766(B)] - BSA and Azide free

Be the first to review this product! Submit a review

|

(1 Publication)

Rabbit Recombinant Monoclonal Desmoglein 1/DSG1 antibody. Carrier free. Suitable for WB and reacts with Human samples. Cited in 1 publication.

View Alternative Names

CDHF4, DSG1, Desmoglein-1, Cadherin family member 4, Desmosomal glycoprotein 1, Pemphigus foliaceus antigen, DG1, DGI

2 Images
Immunohistochemistry (Formalin/PFA-fixed paraffin-embedded sections) - Anti-Desmoglein 1/DSG1 antibody [EPR6766(B)] - BSA and Azide free (AB228343)
  • IHC-P

Supplier Data

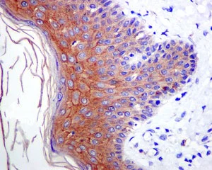
Immunohistochemistry (Formalin/PFA-fixed paraffin-embedded sections) - Anti-Desmoglein 1/DSG1 antibody [EPR6766(B)] - BSA and Azide free (AB228343)

ab124798, at a 1/250 dilution, staining Desmoglein 1/DSG1 in paraffin embedded human skin tissue by Immunohistochemistry.

This data was developed using the same antibody clone in a different buffer formulation containing PBS, BSA, glycerol, and sodium azide (ab124798).

Perform heat mediated antigen retrieval with citrate buffer pH 6 before commencing with IHC staining protocol.

Western blot - Anti-Desmoglein 1/DSG1 antibody [EPR6766(B)] - BSA and Azide free (AB228343)
  • WB

Lab

Western blot - Anti-Desmoglein 1/DSG1 antibody [EPR6766(B)] - BSA and Azide free (AB228343)

This data was developed using the same antibody clone in a different buffer formulation containing PBS, BSA, glycerol, and sodium azide (ab124798). Blocking and diluting buffer and concentration : 5% NFDM/TBST. ab181602 was used as GAPDH loading control. We recommend using 1%SDS Hot lysis prepare method to get desired Western Blot results.

All lanes:

Western blot - Anti-Desmoglein 1/DSG1 antibody [EPR6766(B)] (<a href='/en-us/products/primary-antibodies/desmoglein-1-dsg1-antibody-epr6766b-ab124798'>ab124798</a>) at 1/10000 dilution

Lane 1:

Human skin lysate prepared in RIPA lysis method at 20 µg

Lane 2:

Human skin lysate prepared in 1%SDS Hot lysis method at 20 µg

Secondary

All lanes:

Goat Anti-Rabbit IgG (HRP) with minimal cross-reactivity with human IgG at 1/20000 dilution

Predicted band size: 114 kDa

Observed band size: 160 kDa

false

Exposure time: 20s

Key facts

Host species

Rabbit

Clonality

Monoclonal

Clone number

EPR6766(B)

Isotype

IgG

Carrier free

Yes

Reacts with

Human

Applications

WB

applications

Immunogen

The exact immunogen used to generate this antibody is proprietary information.

Reactivity data

{ "title": "Reactivity Data", "filters": { "stats": ["", "Species", "Dilution Info", "Notes"], "tabs": { "all-applications": {"fullname" : "All Applications", "shortname": "All Applications"}, "IHCP" : {"fullname" : "Immunohistochemistry (Formalin/PFA-fixed paraffin-embedded sections)", "shortname":"IHC-P"}, "WB" : {"fullname" : "Western blot", "shortname":"WB"} }, "product-promise": { "all": "all", "testedAndGuaranteed": "tested", "guaranteed": "expected", "predicted": "predicted", "notRecommended": "not-recommended" } }, "values": { "Human": { "IHCP-species-checked": "notRecommended", "IHCP-species-dilution-info": "", "IHCP-species-notes": "<p>antigen retrieval is recommended.</p>", "WB-species-checked": "testedAndGuaranteed", "WB-species-dilution-info": "", "WB-species-notes": "<p></p>" }, "Mouse": { "IHCP-species-checked": "notRecommended", "IHCP-species-dilution-info": "", "IHCP-species-notes": "", "WB-species-checked": "notRecommended", "WB-species-dilution-info": "", "WB-species-notes": "<p></p>" }, "Rat": { "IHCP-species-checked": "notRecommended", "IHCP-species-dilution-info": "", "IHCP-species-notes": "", "WB-species-checked": "notRecommended", "WB-species-dilution-info": "", "WB-species-notes": "<p></p>" } } }

Product details

ab228343 is the carrier-free version of ab124798.

Patented technology
Our RabMAb® technology is a patented hybridoma-based technology for making rabbit monoclonal antibodies. For details on our patents, please refer to RabMAb® patents.

What are the advantages of a recombinant monoclonal antibody?
This product is a recombinant monoclonal antibody, which offers several advantages including:

  • - High batch-to-batch consistency and reproducibility
  • - Improved sensitivity and specificity
  • - Long-term security of supply
  • - Animal-free batch production

For more information, read more on recombinant antibodies.

Conjugation ready
Our carrier-free antibodies are typically supplied in a PBS-only formulation, purified and free of BSA, sodium azide and glycerol. This conjugation-ready format is designed for use with fluorochromes, metal isotopes, oligonucleotides, and enzymes, which makes them ideal for antibody labelling, functional and cell-based assays, flow-based assays (e.g. mass cytometry) and Multiplex Imaging applications.

Use our conjugation kits for antibody conjugates that are ready-to-use in as little as 20 minutes with 1 minute hands-on-time and 100% antibody recovery: available for fluorescent dyes, HRP, biotin and gold.

Compatibility
This product is compatible with the Maxpar® Antibody Labeling Kit from Fluidigm, without the need for antibody preparation. Maxpar® is a trademark of Fluidigm Canada Inc.

Properties and storage information

Form
Liquid
Purification technique
Affinity purification Protein A
Storage buffer
pH: 7.2 - 7.4 Constituents: PBS
Shipped at conditions
Blue Ice
Appropriate short-term storage conditions
+4°C
Appropriate long-term storage conditions
+4°C
Storage information
Do Not Freeze

Supplementary information

This supplementary information is collated from multiple sources and compiled automatically.

Desmoglein 1 often abbreviated as DSG1 or Desmoglein-1 is a protein that plays a significant mechanical role in cell adhesion. This protein with a molecular mass of approximately 122 kDa belongs to the cadherin superfamily. It is mainly expressed in the epidermis specifically in the outermost layers of the skin. Desmoglein 1 is an important component of desmosomes which are specialized cell structures responsible for maintaining the integrity of epithelial tissues.
Biological function summary

Desmogleins including Desmoglein 1 facilitate adhesion between keratinocytes the predominant cell type in the epidermis. Desmoglein 1 interacts intimately within the desmosome complex contributing to the mechanical stability and cohesion of the cellular layers in the skin. These interactions help form a barrier that protects underlying tissues from environmental assaults and water loss. It is important in the process of epidermal differentiation important for proper skin formation structure and function.

Pathways

Desmoglein 1 integrates into several signaling and structural pathways related to cell adhesion and epidermal maintenance. Desmoglein 1 is prominently involved in the Wnt signaling pathway which is important for skin development and renewal. This involvement establishes its functional link with other adhesion proteins such as desmocollins and regulatory molecules like plakoglobin which mediate the cytoskeletal association within desmosomes.

Desmoglein 1 has clinical relevance in conditions such as pemphigus foliaceus and skin inflammation disorders. Antibodies targeting DSG1 often referred to as anti-Desmoglein 1 antibodies play a pathogenic role in pemphigus foliaceus disrupting cell adhesion and resulting in blistering. Additionally Desmoglein 1's interaction with other proteins like Desmoglein 3 becomes altered in certain auto-immune diseases disturbing normal skin integrity and leading to disease phenotypes.

Product protocols

For this product, it's our understanding that no specific protocols are required. You can visit:

Target data

Component of intercellular desmosome junctions. Involved in the interaction of plaque proteins and intermediate filaments mediating cell-cell adhesion.
See full target information DSG1

Publications (1)

Recent publications for all applications. Explore the full list and refine your search

Cell reports methods 3:100595 PubMed37741277

2023

Dual-modality imaging of immunofluorescence and imaging mass cytometry for whole-slide imaging and accurate segmentation.

Applications

Unspecified application

Species

Unspecified reactive species

Eun Na Kim,Phyllis Zixuan Chen,Dario Bressan,Monika Tripathi,Ahmad Miremadi,Massimiliano di Pietro,Lisa M Coussens,Gregory J Hannon,Rebecca C Fitzgerald,Lizhe Zhuang,Young Hwan Chang
View all publications

Product promise

We are committed to supporting your work with high-quality reagents, and we're here for you every step of the way. In the unlikely event that one of our products does not perform as expected, you're protected by our Product Promise.
For full details, please see our Terms & Conditions

Please note: All products are 'FOR RESEARCH USE ONLY. NOT FOR USE IN DIAGNOSTIC OR THERAPEUTIC PROCEDURES'.

For licensing inquiries, please contact partnerships@abcam.com