JavaScript is disabled in your browser. Please enable JavaScript to view this website.
AB315449

Anti-Desmoglein 2/DSG2 antibody [EPR26639-18] - BSA and Azide free

  • BOND RX™ Validated
  • Recombinant
  • RabMAb
  • KO Validated
  • What is this?

Be the first to review this product! Submit a review

|

(0 Publication)

Knockout Tested Rabbit Recombinant Monoclonal Desmoglein 2/DSG2 antibody. Carrier free. Suitable for ICC/IF, WB, IHC-P and reacts with Human samples.

View Alternative Names

CDHF5, DSG2, Desmoglein-2, Cadherin family member 5, HDGC

9 Images
Immunocytochemistry/ Immunofluorescence - Anti-Desmoglein 2/DSG2 antibody [EPR26639-18] - BSA and Azide free (AB315449)
  • ICC/IF

Supplier Data

Immunocytochemistry/ Immunofluorescence - Anti-Desmoglein 2/DSG2 antibody [EPR26639-18] - BSA and Azide free (AB315449)

This data was developed using ab315448, the same antibody clone in a different buffer formulation.

Immunofluorescent analysis of 4% Paraformaldehyde-fixed, 0.1% Tween-20 permeabilized DSG2 KO HeLa (DSG2 knockout human cervical adenocarcinoma epithelial cell), ab261826 cells labelling Desmoglein 2/DSG2 with ab315448 at 1/1000 (0.517 ug/ml) dilution, followed by ab150081 Goat Anti-Rabbit IgG H&L (Alexa Fluor® 488) preadsorbed antibody at 1/1000 (2 ug/ml) dilution (Green).

Confocal image showing mainly membranous staining in wildtype HeLa cells, showing no staining in DSG2 knockout HeLa cells.
Image was taken with a confocal microscope (Leica-Microsystems, TCS SP8).

ab195889 Anti-alpha Tubulin mouse monoclonal antibody - Microtubule Marker (Alexa Fluor® 594) was used to counterstain tubulin at 1/200 (2.5ug/ml) dilution (Red). The Nuclear counterstain was DAPI (Blue).

Secondary antibody only control : Secondary antibody is ab150081 Goat Anti-Rabbit IgG H&L (Alexa Fluor® 488) preadsorbed at 1/1000 (2 ug/ml) dilution.

Immunohistochemistry (Formalin/PFA-fixed paraffin-embedded sections) - Anti-Desmoglein 2/DSG2 antibody [EPR26639-18] - BSA and Azide free (AB315449)
  • IHC-P

Supplier Data

Immunohistochemistry (Formalin/PFA-fixed paraffin-embedded sections) - Anti-Desmoglein 2/DSG2 antibody [EPR26639-18] - BSA and Azide free (AB315449)

This data was developed using ab315448, the same antibody clone in a different buffer formulation.

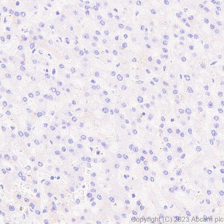
Immunohistochemical analysis of paraffin-embedded Human liver tissue labeling Desmoglein 2/DSG2 with ab315448 at 1/8000 (0.065 ug/ml) dilution, followed by a ready to use LeicaDS9800 (Bond™ Polymer Refine Detection).

Low expression tissue : no staining on human liver. The section was incubated with ab315448 for 10 mins at room temperature. The immunostaining was performed on a Leica Biosystems BOND® RX instrument. Incubate slides with 3% Hydrogen Peroxide for 10 mins at room temperature after secondary antibody incubation to reduce the background.

Counterstained with Hematoxylin.

Secondary antibody only control : Secondary antibody is a ready to use LeicaDS9800 (Bond™ Polymer Refine Detection).

Heat mediated antigen retrieval was performed with Tris-EDTA buffer (pH 9.0, Epitope Retrieval Solution2) for 20 mins.

Immunohistochemistry (Formalin/PFA-fixed paraffin-embedded sections) - Anti-Desmoglein 2/DSG2 antibody [EPR26639-18] - BSA and Azide free (AB315449)
  • IHC-P

Supplier Data

Immunohistochemistry (Formalin/PFA-fixed paraffin-embedded sections) - Anti-Desmoglein 2/DSG2 antibody [EPR26639-18] - BSA and Azide free (AB315449)

This data was developed using ab315448, the same antibody clone in a different buffer formulation.

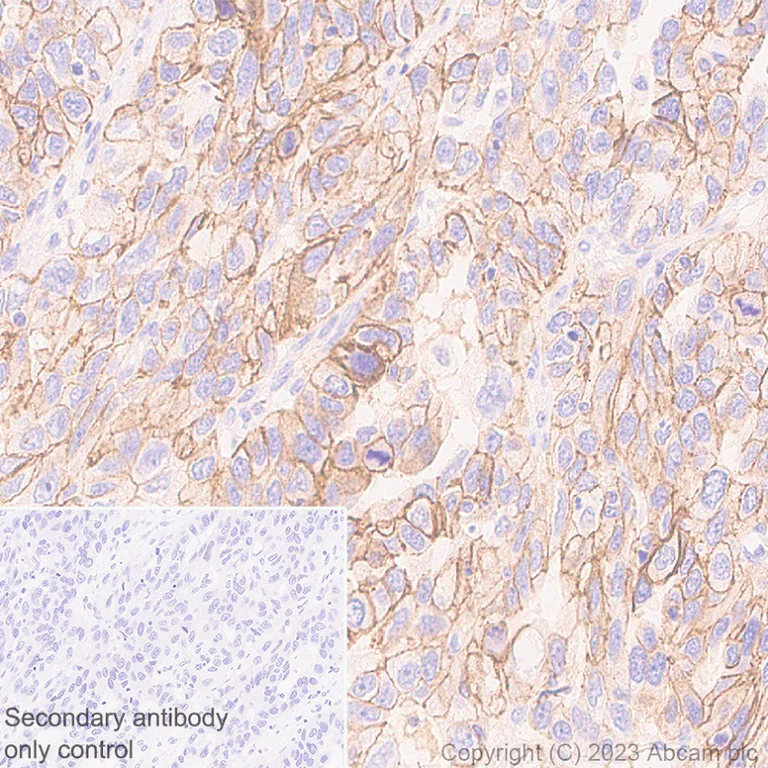
Immunohistochemical analysis of paraffin-embedded Human ovarian carcinoma tissue labeling Desmoglein 2/DSG2 with ab315448 at 1/8000 (0.065 ug/ml) dilution, followed by a ready to use LeicaDS9800 (Bond™ Polymer Refine Detection).

Positive staining on human ovarian carcinoma. The section was incubated with ab315448 for 10 mins at room temperature. The immunostaining was performed on a Leica Biosystems BOND® RX instrument. Incubate slides with 3% Hydrogen Peroxide for 10 mins at room temperature after secondary antibody incubation to reduce the background.

Counterstained with Hematoxylin.

Secondary antibody only control : Secondary antibody is a ready to use LeicaDS9800 (Bond™ Polymer Refine Detection).

Heat mediated antigen retrieval was performed with Tris-EDTA buffer (pH 9.0, Epitope Retrieval Solution2) for 20 mins.

Immunohistochemistry (Formalin/PFA-fixed paraffin-embedded sections) - Anti-Desmoglein 2/DSG2 antibody [EPR26639-18] - BSA and Azide free (AB315449)
  • IHC-P

Supplier Data

Immunohistochemistry (Formalin/PFA-fixed paraffin-embedded sections) - Anti-Desmoglein 2/DSG2 antibody [EPR26639-18] - BSA and Azide free (AB315449)

This data was developed using ab315448, the same antibody clone in a different buffer formulation.

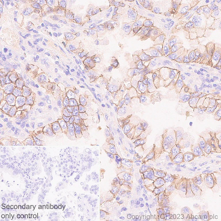
Immunohistochemical analysis of paraffin-embedded Human lung carcinoma tissue labeling Desmoglein 2/DSG2 with ab315448 at 1/8000 (0.065 ug/ml) dilution, followed by a ready to use LeicaDS9800 (Bond™ Polymer Refine Detection).

Positive staining on human lung carcinoma (PMID : 33217893). The section was incubated with ab315448 for 10 mins at room temperature. The immunostaining was performed on a Leica Biosystems BOND® RX instrument. Incubate slides with 3% Hydrogen Peroxide for 10 mins at room temperature after secondary antibody incubation to reduce the background.

Counterstained with Hematoxylin.

Secondary antibody only control : Secondary antibody is a ready to use LeicaDS9800 (Bond™ Polymer Refine Detection).

Heat mediated antigen retrieval was performed with Tris-EDTA buffer (pH 9.0, Epitope Retrieval Solution2) for 20 mins.

Immunohistochemistry (Formalin/PFA-fixed paraffin-embedded sections) - Anti-Desmoglein 2/DSG2 antibody [EPR26639-18] - BSA and Azide free (AB315449)
  • IHC-P

Supplier Data

Immunohistochemistry (Formalin/PFA-fixed paraffin-embedded sections) - Anti-Desmoglein 2/DSG2 antibody [EPR26639-18] - BSA and Azide free (AB315449)

This data was developed using ab315448, the same antibody clone in a different buffer formulation.

Immunohistochemical analysis of paraffin-embedded Human endometrium tissue labeling Desmoglein 2/DSG2 with ab315448 at 1/8000 (0.065 ug/ml) dilution, followed by a ready to use LeicaDS9800 (Bond™ Polymer Refine Detection).

Positive staining on human endometrium. The section was incubated with ab315448 for 10 mins at room temperature. The immunostaining was performed on a Leica Biosystems BOND® RX instrument. Incubate slides with 3% Hydrogen Peroxide for 10 mins at room temperature after secondary antibody incubation to reduce the background.

Counterstained with Hematoxylin.

Secondary antibody only control : Secondary antibody is a ready to use LeicaDS9800 (Bond™ Polymer Refine Detection).

Heat mediated antigen retrieval was performed with Tris-EDTA buffer (pH 9.0, Epitope Retrieval Solution2) for 20 mins.

Western blot - Anti-Desmoglein 2/DSG2 antibody [EPR26639-18] - BSA and Azide free (AB315449)
  • WB

Supplier Data

Western blot - Anti-Desmoglein 2/DSG2 antibody [EPR26639-18] - BSA and Azide free (AB315449)

This data was developed using ab315448, the same antibody clone in a different buffer formulation.

Blocking and diluting buffer and concentration : 5% NFDM/TBST.

In Western blot, ab315448 was shown to bind specifically to Desmoglein 2/DSG2. A band was observed at 90-160 kDa in wild-type HeLa cell lysates with whereas no signal observed at this size in Desmoglein 2/DSG2 knockout cell line ab261826 (knockout cell lysate ab257158).

The expression molecular weight observed is consistent with what has been described in the literature (PMID : 21841821).

In Western blot, Anti-GAPDH antibody [EPR16891] - Loading Control (ab181602) staining at 1/200000 dilution.

All lanes:

Western blot - Anti-Desmoglein 2/DSG2 antibody [EPR26639-18] (<a href='/en-us/products/primary-antibodies/desmoglein-2-dsg2-antibody-epr26639-18-ab315448'>ab315448</a>) at 1/1000 dilution

Lane 1:

Wild-type HeLa (human cervix adenocarcinoma epithelial cell) whole cell lysate at 20 µg

Lane 2:

DSG2 knockout HeLa whole cell lysate at 20 µg

Lane 3:

HepG2 (human hepatocellar carcinoma epithelial cell) whole cell lysate at 20 µg

Secondary

All lanes:

Western blot - Goat Anti-Rabbit IgG H&L (HRP) (<a href='/en-us/products/secondary-antibodies/goat-rabbit-igg-h-l-hrp-ab97051'>ab97051</a>) at 1/100000 dilution

Observed band size: 90-160 kDa,36 kDa

false

Exposure time: 37s

Western blot - Anti-Desmoglein 2/DSG2 antibody [EPR26639-18] - BSA and Azide free (AB315449)
  • WB

Supplier Data

Western blot - Anti-Desmoglein 2/DSG2 antibody [EPR26639-18] - BSA and Azide free (AB315449)

This data was developed using ab315448, the same antibody clone in a different buffer formulation.

Blocking and diluting buffer and concentration : 5% NFDM/TBST.

Low expression : Daudi(PMID : 29301346)

The identity of the band between 50 kDa and 37 kDa is unknown.

In Western blot, Anti-GAPDH antibody [EPR16891] - Loading Control (ab181602) staining at 1/200000 dilution.

All lanes:

Western blot - Anti-Desmoglein 2/DSG2 antibody [EPR26639-18] (<a href='/en-us/products/primary-antibodies/desmoglein-2-dsg2-antibody-epr26639-18-ab315448'>ab315448</a>) at 1/1000 dilution

Lane 1:

K-562 (human chronic myelogenous leukemia lymphoblast) whole cell lysate at 20 µg

Lane 2:

Daudi (human Burkitt’s lymphoma lymphoblast) whole cell lysate at 20 µg

Secondary

All lanes:

Western blot - Goat Anti-Rabbit IgG H&L (HRP) (<a href='/en-us/products/secondary-antibodies/goat-rabbit-igg-h-l-hrp-ab97051'>ab97051</a>) at 1/100000 dilution

Observed band size: 90-160 kDa,36 kDa

false

Exposure time: 3m

Western blot - Anti-Desmoglein 2/DSG2 antibody [EPR26639-18] - BSA and Azide free (AB315449)
  • WB

Supplier Data

Western blot - Anti-Desmoglein 2/DSG2 antibody [EPR26639-18] - BSA and Azide free (AB315449)

This data was developed using ab315448, the same antibody clone in a different buffer formulation.

Blocking and diluting buffer and concentration : 5% NFDM/TBST.

Low expression : skeletal muscle (PMID : 22457526).

In Western blot, Anti-GAPDH antibody [EPR16891] - Loading Control (ab181602) staining at 1/200000 dilution.

All lanes:

Western blot - Anti-Desmoglein 2/DSG2 antibody [EPR26639-18] (<a href='/en-us/products/primary-antibodies/desmoglein-2-dsg2-antibody-epr26639-18-ab315448'>ab315448</a>) at 1/1000 dilution

Lane 1:

Human colon tissue lysate at 20 µg

Lane 2:

Human skeletal muscle tissue lysate at 20 µg

Secondary

All lanes:

Western blot - Goat Anti-Rabbit IgG H&L (HRP) (<a href='/en-us/products/secondary-antibodies/goat-rabbit-igg-h-l-hrp-ab97051'>ab97051</a>) at 1/100000 dilution

Observed band size: 90-160 kDa,36 kDa

false

Exposure time: 37s

Western blot - Anti-Desmoglein 2/DSG2 antibody [EPR26639-18] - BSA and Azide free (AB315449)
  • WB

Supplier Data

Western blot - Anti-Desmoglein 2/DSG2 antibody [EPR26639-18] - BSA and Azide free (AB315449)

This data was developed using ab315448, the same antibody clone in a different buffer formulation.

Low expression : liver.

In Western blot, Anti-GAPDH antibody [EPR16891] - Loading Control (ab181602) staining at 1/200000 dilution.

All lanes:

Western blot - Anti-Desmoglein 2/DSG2 antibody [EPR26639-18] (<a href='/en-us/products/primary-antibodies/desmoglein-2-dsg2-antibody-epr26639-18-ab315448'>ab315448</a>) at 1/1000 dilution

Lane 1:

Human colon tissue lysate at 20 µg

Lane 2:

Human liver tissue lysate at 20 µg

Secondary

All lanes:

Western blot - Goat Anti-Rabbit IgG H&L (HRP) (<a href='/en-us/products/secondary-antibodies/goat-rabbit-igg-h-l-hrp-ab97051'>ab97051</a>) at 1/100000 dilution

Observed band size: 90-160 kDa,36 kDa

false

Exposure time: 15s

  • Unconjugated

    Anti-Desmoglein 2/DSG2 antibody [EPR26639-18]

Key facts

Host species

Rabbit

Clonality

Monoclonal

Clone number

EPR26639-18

Isotype

IgG

Carrier free

Yes

Reacts with

Human

Applications

IHC-P, ICC/IF, WB

applications

Immunogen

The exact immunogen used to generate this antibody is proprietary information.

Reactivity data

{ "title": "Reactivity Data", "filters": { "stats": ["", "Species", "Dilution Info", "Notes"], "tabs": { "all-applications": {"fullname" : "All Applications", "shortname": "All Applications"}, "ICCIF" : {"fullname" : "Immunocytochemistry/ Immunofluorescence", "shortname":"ICC/IF"}, "WB" : {"fullname" : "Western blot", "shortname":"WB"}, "IHCP" : {"fullname" : "Immunohistochemistry (Formalin/PFA-fixed paraffin-embedded sections)", "shortname":"IHC-P"}, "FlowCyt" : {"fullname" : "Flow Cytometry", "shortname":"Flow Cyt"}, "IP" : {"fullname" : "Immunoprecipitation", "shortname":"IP"} }, "product-promise": { "all": "all", "testedAndGuaranteed": "tested", "guaranteed": "expected", "predicted": "predicted", "notRecommended": "not-recommended" } }, "values": { "Human": { "ICCIF-species-checked": "testedAndGuaranteed", "ICCIF-species-dilution-info": "", "ICCIF-species-notes": "<p></p>", "WB-species-checked": "testedAndGuaranteed", "WB-species-dilution-info": "", "WB-species-notes": "<p></p>", "IHCP-species-checked": "testedAndGuaranteed", "IHCP-species-dilution-info": "", "IHCP-species-notes": "<p></p>", "FlowCyt-species-checked": "notRecommended", "FlowCyt-species-dilution-info": "", "FlowCyt-species-notes": "<p></p>", "IP-species-checked": "notRecommended", "IP-species-dilution-info": "", "IP-species-notes": "<p></p>" }, "Mouse": { "ICCIF-species-checked": "notRecommended", "ICCIF-species-dilution-info": "", "ICCIF-species-notes": "<p></p>", "WB-species-checked": "notRecommended", "WB-species-dilution-info": "", "WB-species-notes": "<p></p>", "IHCP-species-checked": "notRecommended", "IHCP-species-dilution-info": "", "IHCP-species-notes": "<p></p>", "FlowCyt-species-checked": "notRecommended", "FlowCyt-species-dilution-info": "", "FlowCyt-species-notes": "", "IP-species-checked": "notRecommended", "IP-species-dilution-info": "", "IP-species-notes": "" }, "Rat": { "ICCIF-species-checked": "notRecommended", "ICCIF-species-dilution-info": "", "ICCIF-species-notes": "", "WB-species-checked": "notRecommended", "WB-species-dilution-info": "", "WB-species-notes": "<p></p>", "IHCP-species-checked": "notRecommended", "IHCP-species-dilution-info": "", "IHCP-species-notes": "<p></p>", "FlowCyt-species-checked": "notRecommended", "FlowCyt-species-dilution-info": "", "FlowCyt-species-notes": "", "IP-species-checked": "notRecommended", "IP-species-dilution-info": "", "IP-species-notes": "" } } }

Product details

ab315449 is the carrier-free version of ab315448.

Patented technology
Our RabMAb® technology is a patented hybridoma-based technology for making rabbit monoclonal antibodies. For details on our patents, please refer to RabMAb® patents.

What are the advantages of a recombinant monoclonal antibody?
This product is a recombinant monoclonal antibody, which offers several advantages including:

  • - High batch-to-batch consistency and reproducibility
  • - Improved sensitivity and specificity
  • - Long-term security of supply
  • - Animal-free batch production

For more information, read more on recombinant antibodies.

Conjugation ready
Our carrier-free antibodies are typically supplied in a PBS-only formulation, purified and free of BSA, sodium azide and glycerol. This conjugation-ready format is designed for use with fluorochromes, metal isotopes, oligonucleotides, and enzymes, which makes them ideal for antibody labelling, functional and cell-based assays, flow-based assays (e.g. mass cytometry) and Multiplex Imaging applications.

Use our conjugation kits for antibody conjugates that are ready-to-use in as little as 20 minutes with 1 minute hands-on-time and 100% antibody recovery: available for fluorescent dyes, HRP, biotin and gold.

Compatibility
This product is compatible with the Maxpar® Antibody Labeling Kit from Fluidigm, without the need for antibody preparation. Maxpar® is a trademark of Fluidigm Canada Inc.

Properties and storage information

Form
Liquid
Purification technique
Affinity purification Protein A
Storage buffer
pH: 7.2 - 7.4 Constituents: PBS
Shipped at conditions
Blue Ice
Appropriate short-term storage conditions
+4°C
Appropriate long-term storage conditions
+4°C

Supplementary information

This supplementary information is collated from multiple sources and compiled automatically.

Desmoglein 2 (DSG2) is a member of the desmoglein family of proteins sometimes referred to as desmoglein-2 or DSG 2. This protein is a calcium-binding transmembrane glycoprotein and part of the cadherin family with a molecular mass of approximately 122 kDa. DSG2 plays a mechanical role in cell-cell adhesion by forming desmosomes which are specialized structures for maintaining the integrity of tissues. DSG2 is mainly expressed in epithelial cells including those found in the heart skin and certain internal organs.
Biological function summary

DSG2 contributes to the structural stability of tissues by locking cells together forming a mechanical and signaling function. The protein is integral to the composition of desmosomes complexes that include other components such as plakoglobin and desmoplakin. These complexes strengthen intercellular adhesion which is essential for tissues that experience constant physical stress like the heart and skin. DSG2 actively participates in cell signaling impacting cellular behavior and communication.

Pathways

DSG2 plays significant roles in the heart development and epidermal differentiation pathways. DSG2 interacts with several other proteins including plakoglobin and desmoplakin to maintain cellular adhesion and tissue morphogenesis. In the cardiac setting the heart development pathway connects DSG2 with other proteins essential for maintaining the integrity and signaling within the cardiac muscle. This interaction helps modulate pathways that ensure proper cardiac function and repair processes.

DSG2 is linked to arrhythmogenic right ventricular cardiomyopathy (ARVC) which affects the heart's rhythm and muscle structure. DSG2 mutations can disrupt desmosomal structure weakening cell adhesion and leading to disease. Another related disorder is pemphigus vulgaris an autoimmune disease where antibodies target DSG2 among other desmogleins disrupting cell adhesion in the skin and mucous membranes. In ARVC DSG2 frequently connects with other proteins like plakoglobin that are involved in desmosomal interactions leading to the structural and functional deficits seen in the disease.

Product protocols

For this product, it's our understanding that no specific protocols are required. You can visit:

Target data

Component of intercellular desmosome junctions. Involved in the interaction of plaque proteins and intermediate filaments mediating cell-cell adhesion.
See full target information DSG2

Product promise

We are committed to supporting your work with high-quality reagents, and we're here for you every step of the way. In the unlikely event that one of our products does not perform as expected, you're protected by our Product Promise.
For full details, please see our Terms & Conditions

Please note: All products are 'FOR RESEARCH USE ONLY. NOT FOR USE IN DIAGNOSTIC OR THERAPEUTIC PROCEDURES'.

For licensing inquiries, please contact partnerships@abcam.com